Kiến thức niềng răng

NIỀNG 4 RĂNG CỬA MẤT THỜI GIAN BAO LÂU VÀ GIÁ BAO NHIÊU?

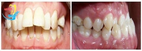
NIỀNG 4 RĂNG CỬA MẤT THỜI GIAN BAO LÂU VÀ GIÁ BAO NHIÊU?

“Chào chuyên gia Nha Khoa Lạc Việt, có thể cho em biết niềng 4 răng cửa mất thời gian bao lâu và chi phí ra sao không ạ? Hàm răng em 4 chiếc răng cửa bị khấp khểnh nhìn xấu lắm ạ, thời gian này em đang rảnh nên muốn đi chỉnh răng thẩm mỹ luôn nên nhờ bác sỹ tư vấn giúp ạ. Hy vọng sớm nhận được câu trả lời từ bác sỹ. Em xin cảm ơn!” Mỹ Hạnh – Ba Vì, Hà Nội
Xem chi tiết
Nguyên nhân tiêu xương hàm? Niềng răng có khắc phục được không?

Nguyên nhân tiêu xương hàm? Niềng răng có khắc phục được không?

Tiêu xương hàm niềng răng được không là thắc mắc nhiều bệnh nhân hiện nay bởi làm ảnh hưởng đến cuộc sống hàng ngày. Bác sĩ Lạc Việt Intech đã và đang hơn 10 năm trong nghề cùng phân tích nguyên nhân, hâu quả và kết luận việc tiêu xương hàm có niềng răng được không chính xác nhất.
Xem chi tiết
NHỮNG NGƯỜI CÓ RĂNG KHỂNH LÀ ĐẸP HAY XẤU?

NHỮNG NGƯỜI CÓ RĂNG KHỂNH LÀ ĐẸP HAY XẤU?

Trước đây mọi người thường cho rằng những ai có răng khểnh rất duyên và xinh đẹp, nhưng thực tế tại các cuộc thi sắc đẹp, thì tiêu chí của một hoa hậu cần phải có nụ cười hay hàm răng trắng, đều và thẳng, đặc biệt khi cười không được để hở lợi và không hô. Như vậy những người có răng khểnh chưa chắc đã là những người phụ nữ đẹp!
Xem chi tiết
Nguyên nhân, cách khắc phục gây lệch nhân trung sau niềng răng

Nguyên nhân, cách khắc phục gây lệch nhân trung sau niềng răng

Nguyên nhân gây lệch nhân trung sau niềng răng và cách khắc phục do bác sĩ có nhiều năm kinh nghiệm chia sẻ, bởi chỉnh nha là phương pháp điều trị các trình trạng hô móm, thưa, chen chúc để cải thiện cả về chức năng và thẩm mỹ cho khách hàng nhưng không phải ca nào củng mang lại thành công.
Xem chi tiết
Hỏi đáp: Niềng răng có vĩnh viễn không? Tuổi thọ bao lâu?

Hỏi đáp: Niềng răng có vĩnh viễn không? Tuổi thọ bao lâu?

Niềng răng là phương pháp sử dụng các khí cụ như mắc cài, dây cung, máng trong suốt để tác động lực, dịch chuyển răng về đúng vị trí nhằm cải thiện thẩm mỹ và chức năng ăn nhai. Tuy nhiên, nhiều khách hàng còn băn khoăn rằng “Liệu kết quả điều trị niềng răng có ổn định hay không? Niềng răng có vĩnh viễn không?”. Trong bài viết dưới đây, chúng tôi sẽ làm rõ vấn đề này.
Xem chi tiết
NHỮNG LƯU Ý KHI NIỀNG RĂNG ĐỂ KHÔNG ẢNH HƯỞNG ĐẾN KẾT QUẢ

NHỮNG LƯU Ý KHI NIỀNG RĂNG ĐỂ KHÔNG ẢNH HƯỞNG ĐẾN KẾT QUẢ

Niềng răng là một kỹ thuật chỉnh nha khá phức tạp và để đạt được kết quả tối ưu nhất thì việc đòi hỏi phải thực hiện bởi bác sỹ giỏi và trang thiết bị công nghệ hiện đại là chưa đủ. Chính bệnh nhân với những lưu ý khi niềng răng là một trong các yếu tố quyết định đến kết quả điều trị. Vậy cần phải lưu ý những điều gì? Hãy cùng tìm hiểu ngay dưới đây!
Xem chi tiết
NHẬT KÝ NIỀNG RĂNG – NHỮNG DẤU HIỆU KHI MỚI NIỀNG RĂNG BẠN SẼ TRẢI QUA

NHẬT KÝ NIỀNG RĂNG – NHỮNG DẤU HIỆU KHI MỚI NIỀNG RĂNG BẠN SẼ TRẢI QUA

Niềng răng có đau không? Niềng răng có đáng sợ như lời đồn không? Hãy cùng theo dõi bài viết những dấu hiệu khi mới niềng răng bạn sẽ trải qua để hiểu hơn nhé!
Xem chi tiết
PHƯƠNG PHÁP CHỈNH HÀM MÓM CHO TỪNG DẠNG MÓM

PHƯƠNG PHÁP CHỈNH HÀM MÓM CHO TỪNG DẠNG MÓM

Việc điều chỉnh răng móm sẽ giúp khuôn mặt cân đối hơn, thẩm mỹ hơn và ngăn chặn những ảnh hưởng xấu đến sức khỏe. Tuy nhiên không phải trường hợp nào cũng áp dụng cách điều chỉnh giống nhau. Khi có ý định chỉnh hàm móm, chúng ta cần xác định được mình thuộc dạng móm nào để từ đó lựa chọn phương pháp nào phù hợp. Hãy cùng tìm hiểu ngay sau đây!
Xem chi tiết
Niềng răng chơi thể thao được không? Cần lưu ý những điều gì?

Niềng răng chơi thể thao được không? Cần lưu ý những điều gì?

Bạn đã bao giờ thắc mắc rằng, khi gắn các mắc cài lên thân răng để điều trị chỉnh nha thì bạn có thể chơi thể thao hoặc tham gia các hoạt động thể chất mạnh được không? Có cần phải lưu ý những gì để đảm bảo an toàn cho bản thân mình? Hãy cùng tìm hiểu câu trả lời qua bài viết dưới đây nhé!
Xem chi tiết
NHA SỸ TƯ VẤN CÁCH LÀM MIỆNG HẾT MÓM TRIỆT ĐỂ VÀ AN TOÀN NHẤT!

NHA SỸ TƯ VẤN CÁCH LÀM MIỆNG HẾT MÓM TRIỆT ĐỂ VÀ AN TOÀN NHẤT!

Ngày nay với kỹ thuật nha khoa hiện đại, răng móm và những tác hại do nó gây ra sẽ không còn là vấn đề đáng lo nữa. Tuy nhiên cách làm miệng hết móm nào mang lại hiệu quả triệt để và an toàn nhất không phải ai cũng biết. Hãy cùng nha sỹ tìm hiểu vấn để này ngay dưới đây!
Xem chi tiết
Niềng răng chỉnh lệch đường giữa là gì? Có hiệu quả không?

Niềng răng chỉnh lệch đường giữa là gì? Có hiệu quả không?

Bạn tự thấy mình gặp phải vấn đề lệch đường giữa răng gây mất thẩm mỹ, hoặc bạn vừa trở về từ phòng khám nha khoa và bác sĩ nói rằng bạn bị lệch đường giữa. Bạn băn khoăn “niềng răng chỉnh lệch đường giữa là gì? có hiệu quả không” Hãy cùng tìm hiểu nhé.
Xem chi tiết
RĂNG MÓM – NGUYÊN NHÂN VÀ CÁC CÁCH ĐIỀU TRỊ DỨT ĐIỂM

RĂNG MÓM – NGUYÊN NHÂN VÀ CÁC CÁCH ĐIỀU TRỊ DỨT ĐIỂM

RĂNG MÓM – NGUYÊN NHÂN VÀ CÁC CÁCH ĐIỀU TRỊ DỨT ĐIỂM
Xem chi tiết
NẮN CHỈNH RĂNG – GIẢI PHÁP TỐI ƯU CHO HÀM RĂNG KHẤP KHỂNH

NẮN CHỈNH RĂNG – GIẢI PHÁP TỐI ƯU CHO HÀM RĂNG KHẤP KHỂNH

Sở hữu một hàm răng khấp khểnh, chen chúc là điều không mong muốn của tất cả mọi người. Răng khấp khểnh không những làm cho nụ cười của bạn kém duyên mà còn là nguyên nhân dẫn tời nhiều bệnh lý răng miệng khác. Với những bước tiến mới của nền nha khoa nước nhà, vấn đề xử lý răng khấp khểnh, lệch lạc đã không còn khó khăn, có nhiều phương pháp để điều trị, trong đó phương pháp nắn chỉnh răng hay còn gọi là niềng răng khấp khểnh là phương pháp mang lại nhiều lợi ích nhất.
Xem chi tiết
MÓM DUYÊN LÀ SAO VÀ PHẢI LÀM SAO VỚI NHỮNG TRƯỜNG HỢP KÉM DUYÊN?

MÓM DUYÊN LÀ SAO VÀ PHẢI LÀM SAO VỚI NHỮNG TRƯỜNG HỢP KÉM DUYÊN?

Răng móm là một dạng khuyết điểm răng miệng khá phổ biến khiến cho khuôn mặt trở nên bất cân đối, kém thẩm mỹ. Tuy nhiên vẫn có nhiều trường hợp móm nhưng trông vẫn duyên, vẫn đẹp. Vậy móm duyên là sao và đối với những trường hợp kém duyên phải làm thế nào? Hãy cùng tìm hiểu ngay dưới đây!
Xem chi tiết
MINI – VÍT CHỈNH NHA (MINI-SCREW) ỨNG DỤNG TRONG NIỀNG RĂNG HÔ

MINI – VÍT CHỈNH NHA (MINI-SCREW) ỨNG DỤNG TRONG NIỀNG RĂNG HÔ

Răng hô là tình trạng khá phổ biến trong cộng đồng, có nhiều phương pháp để điều trị như niềng răng chỉnh nha, bọc răng sứ thẩm mỹ, phẫu thuật xương hàm … trong đó niềng răng hô là phương pháp tốt nhất, đem lại cho bệnh nhân nhiều lợi ích như tiết kiệm chi phí, kết quả thẩm mỹ hoàn hảo, ăn nhai tốt, kết quả điều trị lâu dài … Niềng răng hô là một thủ thuật điều trị khó, đối với người trưởng thành, vấn đề kiểm soát neo chặn trong điều trị niềng răng hô rất khó khăn, do vậy kết quả điều trị có nhiều hạn chế, trước đây khi chưa có mini vít niềng răng (Mini screw) thì răng hô rất khó được giải quyết bằng chỉnh nha, ngày nay với sự ra đời của mini – vít chỉnh nha đã giúp cho quá trình điều trị răng hô dễ dàng hơn.
Xem chi tiết

Đăng ký tư vấn

Vui lòng để lại thông tin và nhu cầu của Quý Khách để được tư vấn

Đặt lịch hẹn Messenger Liên hệ Zalo Địa chỉ