RĂNG MÓM – NGUYÊN NHÂN VÀ CÁC CÁCH ĐIỀU TRỊ DỨT ĐIỂM

Quản trị viên
23/08/2024

Răng móm là dạng sai lệch phổ biến, vừa gây mất thẩm mỹ khuôn mặt lại vừa ảnh hưởng tới sức khỏe. Những người không may mắn sở hữu khuyết điểm này đều có nhu cầu chỉnh nha thẩm mỹ triệt để và nhanh chóng. Tuy nhiên trước khi điều trị chúng ta cần xác định nguyên nhân gây ra để từ đó lựa chọn phương pháp khắc phục lý tưởng nhất.

 

Khắc phục răng móm để cải thiện thẩm mỹ khuôn mặt (*)

(*) Lưu ý hiệu quả khác nhau trong từng trường hợp cụ thể

 

1. Nguyên nhân gây nên răng móm

Có khá nhiều nguyên nhân khác nhau khiến răng bị móm. Trong đó, theo thống kê của nha khoa thế giới, có đến 70% người bị móm là do di truyền từ cha mẹ, ông bà, những người có cùng huyết thống và bị móm. Ngoài ra các thói quen lúc còn bé như mút tay, đẩy lưỡi, thở miệng, ngậm ti giả đều có thể là nguyên nhân gây nên răng móm phổ biến hiện nay

70% trường hợp răng bị móm là do di truyền

Xét nguyên nhân làm răng bị móm dựa trên tính chất của răng móm, chúng ta có thể chia thành hai loại:

Răng móm do răng sai lệch

Đây là tình trạng do răng hàm dưới phát triển quá đà chìa ra ngoài hoặc răng hàm trên kém phát triển nên mọc lùi vào trong, hoặc cả hai cùng đồng thời xảy ra tạo nên sự bất cân đối giữ hai hàm.

Hàm móm do xương hàm sai lệch

Các trường hợp này là do xương hàm dưới phát triển quá mức, chìa ra ngoài quá đà hoặc do xương hàm trên kém phát triển nên bị lùi vào trong. Nhiều trường hợp nặng hơn còn bị sai lệch đồng thời cả hai hàm.

Răng móm do cả răng và xương hàm cùng sai lệch

Có những trường hợp phức tạp hơn cả là bị móm đồng thời cả hai dạng do răng và do xương hàm. Lúc này sẽ phải kết hợp cách chữa hàm móm và cách chữa răng móm để mang lại kết quả tối ưu.

 

2. Các phương pháp khắc phục răng móm triệt để

Tại sao móm lại được chia thành các dạng móm do răng và móm do hàm. Đó là bởi các sai lệch này khác nhau và cần phải được nhận định đúng để từ đó đưa ra phương pháp khắc phục triệt để.

Phương pháp chỉnh răng móm với trường hợp do xương hàm

Đối với các bệnh nhân răng bị móm do xương hàm thì phương pháp được chỉ định duy nhất mang lại hiệu quả triệt để là phẫu thuật. Bác sỹ sẽ tiến hành can thiệp lên xương hàm, cắt bớt phần xương bị móm rồi đẩy lùi hàm về phía sau theo tỷ lệ chuẩn khớp cắn giữa hai hàm. Phẫu thuật mang lại hiệu quả triệt để và nhanh chóng chỉ sau một lần điều trị.

Phẫu thuật là phương pháp duy nhất chỉnh móm do xương hàm gây ra (*)

(*) Lưu ý hiệu quả khác nhau trong từng trường hợp cụ thể

Phương pháp chỉnh răng móm với trường hợp do răng

Móm do răng có nhiều cách khắc phục, nhưng trong đó niềng răng là phương pháp mang lại hiệu quả triệt để và được ưa chuộng nhất. Thông qua các khí cụ như mắc cài, dây cung và khay niềng gắn lên bề mặt, răng sẽ được tác động lực kéo bền bỉ, giúp di chuyển từ từ đến vị trí mong muốn trên cung hàm, chấm dứt khuyết điểm răng móm.

Niềng răng là phương pháp tối ưu nhất cho các trường hợp móm do răng gây ra

Niềng răng móm thẩm mỹ không chỉ mang lại hiệu quả triệt để vĩnh viễn mà còn có nhiều ưu điểm nổi trội khác như:

– Tính thẩm mỹ tối ưu do đồng thời điều chỉnh các sai lệch như răng hô vẩu, răng thưa, khấp khểnh…

– Không hề xâm lấn cấu trúc của răng hay xương hàm nên đảm bảo an toàn tuyệt đối

– Các loại niềng răng móm đa dạng với chi phí khác nhau nhưng vẫn mang lại hiệu quả cao, đáp ứng điều kiện chi trả của mọi đối tượng khách hàng.

Ngoài niềng răng, có thể áp dụng phương pháp mài răng bọc sứ để chỉnh móm với các dòng răng toàn sứ cao cấp, cho thời hạn sử dụng hàng chục năm thậm chí cả đời nếu được chăm sóc cẩn thận.

 

3. Chỉnh răng móm tại trung tâm nha khoa uy tín

Dù răng bị móm do răng hay do xương hàm và áp dụng phương pháp nào để điều trị thì đều phải được thực hiện tại trung tâm nha khoa uy tín để tránh tình trạng tiền mất tật mang, tốn kém thời gian. Những sai lệch do chỉnh nha răng móm không đúng cách sẽ rất nguy hiểm và điều chỉnh lại rất khó, tốn kém nhiều chi phí.

Vì vậy giữa hàng loạt các trung tâm nha khoa được mở ra, bạn phải lựa chọn được địa chỉ nha khoa uy tín, chất lượng để đảm bảo đạt nhanh chóng đạt hiệu quả tối ưu, an toàn tuyệt đối và chi phí hợp lý. Nha khoa Lạc Việt suốt hơn 10 năm chỉnh nha thẩm mỹ đã thực hiện thành công hàng ngàn ca thẩm mỹ răng hàm mặt, trở thành một trong những lựa chọn hàng đầu của khách hàng.

Nếu quý khách hàng đang muốn implant nha khoa hãy tới ngay Lạc Việt Intech để có hàm răng đẹp nhất nhé!

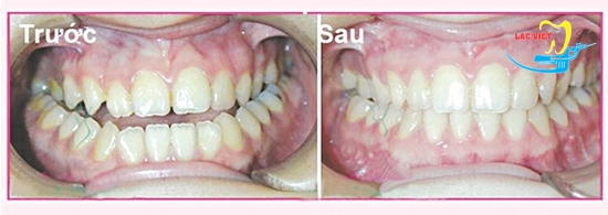
Kết quả một trường hợp niềng răng móm tại nha khoa Lạc Việt (*)

(*) Lưu ý hiệu quả khác nhau trong từng trường hợp cụ thể

Phòng khám răng Lạc Việt sở hữu đội ngũ các bác sỹ tay nghề giỏi, chuyên môn sâu và giàu kinh nghiệm, cùng sự hỗ trợ của trang thiết bị và công nghệ hiện đại. Với tiêu chí lấy chất lượng điều trị làm mục tiêu và đảm bảo chi phí chỉnh răng móm hợp lý nhất, nha khoa Lạc Việt đã trở thành trung tâm nha khoa uy tín, giá rẻ nhất.

Trên đây là giải đáp của chúng tôi về các nguyên nhân gây nên răng móm và cách khắc phục triệt để. Để được tư vấn chi tiết hơn, xin vui lòng liên hệ Hotline 0972.181.011 hoặc tới phòng khám để được bác sỹ kiểm tra và tư vấn trực tiếp. Nha khoa Lạc Việt luôn sẵn sàng giải đáp mọi thắc mắc của bạn về sức khỏe răng miệng!

Chia sẻ

Tin cùng chủ đề

Đăng ký tư vấn

Vui lòng để lại thông tin và nhu cầu của Quý Khách để được tư vấn

Đối tác của Nha khoa lạc việt intech

Osstem Implant
Osstem Implant
test
test1
Đặt lịch hẹn Messenger Liên hệ Zalo Địa chỉ