NIỀNG 4 RĂNG CỬA MẤT THỜI GIAN BAO LÂU VÀ GIÁ BAO NHIÊU?

Quản trị viên
23/08/2024

“Chào chuyên gia Nha Khoa Lạc Việt, có thể cho em biết niềng 4 răng cửa mất thời gian bao lâu và chi phí ra sao không ạ? Hàm răng em 4 chiếc răng cửa bị khấp khểnh nhìn xấu lắm ạ, thời gian này em đang rảnh nên muốn đi chỉnh răng thẩm mỹ luôn nên nhờ bác sỹ tư vấn giúp ạ. Hy vọng sớm nhận được câu trả lời từ bác sỹ. Em xin cảm ơn!”

Mỹ Hạnh – Ba Vì, Hà Nội

 

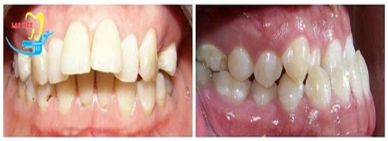
Niềng 4 răng cửa mất bao lâu và giá bao nhiêu là vấn đề rất nhiều người quan tâm

Trả lời:

Chào Mỹ Hạnh thân mến!

Cảm ơn bạn đã gửi câu hỏi tới trung tâm Lạc Việt, chúng tôi rất cảm kích về sự tin yêu của bạn dành cho cơ sở, với câu hỏi về việc “niềng 4 răng cửa mất thời gian bao lâu và chi phí ra sao”, các chuyên gia xin được giải đáp ngay sau đây bạn nhé!

 

1. Niềng 4 răng cửa có được không?

Theo như những gì bạn mô tả ở trên thì các bác sỹ cũng chưa thể biết được là 4 răng cửa hàm trên của bạn là nằm ở vị trí nào, nằm trong hàm hay dưới hàm, hay chỉ thụt vào so với các răng còn lại. Nếu như móm hay còn gọi là tình trạng khớp cắn ngược thì răng hàm dưới sẽ phủ hàm trên, còn trường hợp 4 răng cửa chỉ thụt vào so với các răng còn lại nhưng vẫn nằm phía ngoài so với hàm dưới thì không phải gọi là móm.

Răng cửa bị chìa ra ngoài gây nên tình trạng hô hoặc móm

Trong 2 trường hợp trên, nếu móm quá nhiều thì phương pháp điều trị hô 4 răng cửa sẽ phức tạp và tốn nhiều thời gian hơn so với những trường hợp bình thường, còn tình trạng cắn ngược như thế ngoài vấn đề chỉnh răng còn phải chỉnh cả khớp cắn vì vậy không thể niềng 4 răng cửa được bạn nhé. Còn răng bị thụt vào trong so với các răng hàm trên nhưng không phải cắn ngược thì điều trị 4 răng cửa sẽ khá đơn giản so với khớp cắn ngược, bác sỹ sẽ chỉ định mang hàm nong rộng sau đó dùng mắc cài để sắp xếp lại răng.

Kỹ thuật niềng răng mắc cài là quá trình tác động từ từ vào răng, giúp dịch chuyển răng về vị trí thẩm mỹ như mong muốn nhất. Quá trình này sẽ diễn ra từ từ nhờ lực kéo được tạo ra bởi các mắc cài, dây cung và dây thun liên hàm. Lực kéo này được tính toán tương đối chính xác bởi bác sỹ khi tăng lực cho dây cung và dây thun.

 

2. Niềng 4 răng cửa mất thời gian bao lâu?

Thời gian trị hô 4 răng cửa có thể mất từ 12 – 18 tháng, tùy thuộc vào tình trạng thực tế của bạn. Sau khi thăm khám cụ thể tại trung tâm, nha sỹ sẽ thông báo cho bạn niềng 4 răng cửa mất thời gian bao lâu chính xác nhất. Thông thường, sau khi tháo khí cụ niềng răng bạn sẽ cần đeo thêm khí cụ định hình trong vòng 1 vài tháng để cố định lại phần chân răng.

Hiện nay, giải pháp điều trị răng hô, móm, khấp khểnh tốt nhất là áp dụng công nghệ mắc cài Smart Clip – chúng đã và đang được ứng dụng hầu hết ở các trung tâm nha khoa lớn trên thế giới, mang lại hiệu quả tối ưu cho khách hàng.

Mắc cài Smart Clip là hệ thống mắc cài linh động số 1 hiện nay

Một vài ưu điểm nổi bật bạn có thể tham khảo như sau:

+ Cho phép chỉnh hàm răng đều đặn, sát khít và thẳng hàng với nhau đồng thời đưa khớp cắn về chuẩn tỉ lệ nhờ vào hệ thống mắc cài linh động nhất hiện nay.

+ Hiệu quả sau cùng đạt được theo đúng lộ trình mà bác sỹ dự liệu trong phác đồ điều trị, không xảy ra những sai khác làm ảnh hưởng tới tiến trình di chuyển của răng.

+ Thời gian điều trị được rút ngắn tối đa nhờ vào sư dụng hệ thống mắc cài linh động và hiên đại, giúp răng di chuyển nhanh chóng về vị trí thẩm mỹ mong muốn.

+ Phần xương răng đều ổn định và vững chắc, sau khi kết thúc chỉnh răng mà không bị xâm lấn tới cấu trúc hoặc yếu đi.

 

3. Chi phí niềng 4 răng cửa giá bao nhiêu?

Về chi phí của dịch vụ này, bạn có thể tham khảo bảng giá chi tiết đang được áp dụng tại Nha Khoa Lạc Việt như sau:

Bảng giá niềng răng mắc cài mặt ngoài:

 

GÓI DỊCH VỤ LOẠI KHÍ CỤ SỬ DỤNG CHỈ ĐỊNH ĐIỀU TRỊ GIÁ GỐC GIÁ ƯU ĐÃI TRẢ THẲNG GIÁ ƯU ĐÃI TRẢ GÓP 50%
Mắc cài kim loại buộc chun đơn giản - Mắc cài Tomy (Nhật) hoặc OrthoQuest (Hàn Quốc).
- Dây cung CO - BA và hệ thống khí cụ sinh lực tiêu chuẩn cơ.
- Răng thưa dưới 0,5mm.
- Răng khấp khểnh không quá 0,5mm
30.000.000 24.000.000 27.000.000
Mắc cài kim loại buộc chun tiêu chuẩn - Mắc cài UGSL 3M Unitek MBT Slot 0.22 (Mỹ).
- Dây cung NI - TI kích hoạt nhiệt tự trình HA.
- Hệ thống cố định dây cung Ligature
- Hệ thống khí cụ đóng khoảng kích hoạt biến nhiệt Multiloop
Mọi loại sai lệch: Hô, móm, khấp khểnh, thưa,... và mọi độ tuổi. 38.000.000 30.400.000 34.200.000
Mắc cài kim loại tự động. - Mắc cài kim loại tự động AO - MBT Slot 0.22 phủ nano titanium (không ma sát) của american orthodontics (Mỹ).
- Dây cung NI - TI kích hoạt nhiệt tự trình HA.
- Hệ thống cố định dây cung bằng khóa titanium nguyên khối.
- Hệ thống khí cụ đóng khoảng kích hoạt biền nhiệt Multiloop.
Mọi loại sai lệch: Hô, móm, khấp khểnh, thưa,... và mọi độ tuổi. 44.000.000 35.200.000 39.600.000
Mắc cài sứ buộc chun - Mắc cài sứ Symetri Clear MBT Slot 0.22 của Ormco(Mỹ).
- Dây cung NI - TI kích hoạt nhiệt tự trình HA.
- Hệ thống cố định dây cung Ligature
- Hệ thống khí cụ đóng khoảng kích hoạt biến nhiệt Multiloop
Mọi loại sai lệch: Hô, móm, khấp khểnh, thưa,... và mọi độ tuổi. 40.000.000 35.000.000 37.000.000
Mắc cài sứ tự động - Mắc cài sứ tự động Damon Clear 2 Slot 0.22 của Ormco(Mỹ).
- Dây cung NI - TI kích hoạt nhiệt tự trình HA.
- Hệ thống cố định dây cung bằng nắp khóa zirconium nguyên khối
- Hệ thống khí cụ đóng khoảng kích hoạt biến nhiệt Multiloop.
Mọi loại sai lệch: Hô, móm, khấp khểnh, thưa,... và mọi độ tuổi. 60.000.000 51.200.000 55.000.000

>>>> HÓT: KHUYẾN MẠI 30% CHI PHÍ NIỀNG RĂNG – CHI TIẾT CLICK TẠI ĐÂY

Nếu còn bất kỳ băn khoăn hay thắc mắc nào về vấn đề niềng 4 răng cửa mất thời gian bao lâu hay niềng 4 răng cửa có được không hoặc bạn đang cần giải đáp implant răng là gì vui lòng liên hệ với nha khoa Lạc Việt theo địa chỉ và hotline:

Chia sẻ

Tin cùng chủ đề

Đăng ký tư vấn

Vui lòng để lại thông tin và nhu cầu của Quý Khách để được tư vấn

Đối tác của Nha khoa lạc việt intech

Osstem Implant
Osstem Implant
test
test1
Đặt lịch hẹn Messenger Liên hệ Zalo Địa chỉ