PHƯƠNG PHÁP CHỈNH HÀM MÓM CHO TỪNG DẠNG MÓM

Quản trị viên
23/08/2024

1. Khái quát răng móm là gì?

Trước khi đi vào tìm hiểu các dạng răng móm cũng như các phương pháp chỉnh hàm móm, chúng ta cần nắm được răng móm nghĩa là gì.

Răng móm là dạng sai lệch khá phổ biến hiện nay

Răng móm là một dạng sai lệch do khớp cắn gây ra, tương quan hai hàm không đạt tỷ lệ chuẩn, gây bất cân đối và hài hòa. Nhiều trường hợp nặng hơn, hai hàm bị trái ngược hoàn toàn với tương quan tự nhiên của hàm răng.

Biểu hiện dễ nhận biết của răng móm là bạn sẽ thấy hàm răng trên ở bên trong so với hàm dưới.

 

2. Nhận biết các dạng răng móm để chọn phương pháp chỉnh hàm móm phù hợp

Răng móm có hai dạng là móm do răng và móm do xương hàm.

Móm do răng là tình trạng xương hàm trên và hàm dưới đạt tỷ lệ chuẩn nhưng do răng hàm dưới phát triển quá mức nên bị chìa ra ngoài so với cung hàm và so với hàm trên.

Móm do xương hàm là tình trạng do hàm trên kém phát triển trong khi xương hàm dưới lại phát triển quá mạnh hoặc do khe hở môi vòm miệng làm xương hàm trên bị ngưng phát triển và luôn ở phía trong so với hàm dưới.

Phương pháp chỉnh hàm móm với trường hợp do răng gây ra

Với tình trạng móm do răng, bác sỹ sẽ chỉ định một trong hai phương pháp chỉnh sửa hàm móm là mài răng bọc sứ hoặc niềng răng.

– Mài răng bọc sứ là phương pháp bao gồm hai thao tác chính là mài răng và bọc sứ. Đúng như tên gọi, bác sỹ sẽ tiến hành mài những chiếc răng bị chìa ra ngoài ở hàm dưới sao cho phương thẳng đứng và đều đặn trên cung hàm. Sau đó mão sứ sẽ được thiết kế với hình dáng và màu sắc giống hệt răng thật để bọc lên bên ngoài, bảo vệ trụ răng đã mài.

Mài răng bọc sứ mang lại hiệu quả chỉnh hàm móm nhanh chóng

Tuy nhiên phương pháp chỉnh hàm móm này chỉ được chỉ định với những trường hợp bị móm nhẹ do việc mài răng chỉ được mài ở mức độ nhất định để không xâm lấn tủy.

–  Niềng răng hàm móm là phương pháp thông qua các khí cụ như mắc cài, dây cung hoặc khay niềng để tác động lực kéo lên răng, đưa răng di chuyển từ từ đến vị trí mong muốn.

Niềng răng hàm móm là phương pháp được nhiều người ưa chuộng

Chỉnh sửa hàm móm bằng niềng răng được nhiều người ưa chuộng bởi mang lại hiệu quả thẩm mỹ tối ưu vĩnh viễn và an toàn tuyệt đối.

Phương pháp chỉnh hàm móm đối với trường hợp do xương hàm gây ra

Khi gặp phải tình trạng này thì không có cách nào có thể khắc phục ngoài thực hiện phẫu thuật chỉnh hình xương hàm. Bác sỹ sẽ can thiệp xương hàm và điều chỉnh lại hai vòm hàm theo tỷ lệ chuẩn, chấm dứt sai lệch, khôi phục khớp cắn.

Phẫu thuật là phương pháp duy nhất dành cho trường hợp móm do xương hàm

Ngoài ra cũng có khá nhiều trường hợp bị móm ở cả 2 dạng do răng và do xương hàm. Lúc này bác sỹ sẽ tiến hành phẫu thuật chỉnh hàm trước, sau đó chờ vết thương hồi phục và thực hiện quá trình niềng răng. Hai phương pháp chỉnh hàm móm này sẽ hỗ trợ với nhau để mang lại kết quả tối ưu nhất.

 

3. Chỉnh hàm móm tại nha khoa Lạc Việt

Dù bạn thuộc dạng răng móm nào và áp dụng phương pháp điều trị nào thì việc lựa chọn trung tâm nha khoa uy tín để thực hiện là rất quan trọng.

Hiện nay khi nhu cầu thẩm mỹ răng hàm mặt tăng cao, các trung tâm nha khoa ngày càng được mở ra nhiều hơn. Tuy nhiên không phải địa chỉ nào cũng đạt chất lượng. Vì thế để tránh tình trạng tiền mất tật mang và tốn kém thời gian, hãy lựa chọn chỉnh hàm móm tại trung tâm nha khoa đáp ứng các tiêu chí sau:

– Đội ngũ bác sỹ tay nghề giỏi, chuyên môn sâu và giàu kinh nghiệm

– Trang thiết bị máy móc hiện đại và phòng khám vô trùng tuyệt đối

– Ứng cụng các công nghệ tiên tiến trên thế giới vào chỉnh sửa hàm móm nói riêng và thẩm mỹ răng hàm mặt nói chung

– Dịch vụ chăm sóc bệnh nhân chất lượng cao và chi phí điều trị hợp lý

Hiện nay tại nha khoa Lạc Việt, mọi ca chỉnh hàm móm đều được thực hiện bởi các bác sỹ là thạc sỹ răng hàm mặt của đại học Y Hà Nội, đã được đào tạo chuyên sâu về chỉnh nha tại các trường danh tiếng của Pháp và Mỹ. Hỗ trợ bác sỹ trong quá trình niềng răng hàm móm nói riêng và chỉnh sửa hàm móm nói chung là hệ thống máy móc hiện đại bậc nhất.

Nha khoa Lạc Việt hiểu rõ tầm quan trọng của việc tiếp thu các công nghệ tiên tiến vào chỉnh hàm móm nên đã không ngừng học hỏi và ứng dụng thành công suốt thời gian qua.

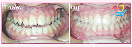
Kết quả một trường hợp chỉnh hàm móm tại nha khoa Lạc Việt (*)

(*) Lưu ý hiệu quả khác nhau trong từng trường hợp cụ thể

Với tiêu chí lấy chất lượng điều trị làm mục tiêu trên hết và đảm bảo chi phí hợp lý nhất, nha khoa Lạc Việt đã trở thành sự lựa chọn hàng đầu về trung tâm nha khoa uy tín, giá rẻ. Nếu cô chú/anh chị còn chưa hiểu rõ cắm implant là sao thì hãy để bác sĩ của Lạc Việt Intech chia sẻ chi tiết nhé!

Trên đây là giải đáp của chúng tôi về vấn đề các dạng răng móm và phương pháp chỉnh hàm móm tương ứng. Để biết chính xác bạn thuộc dạng nào cũng như phương pháp nào phù hợp nhất, hãy tới phòng khám đề bác sỹ trực tiếp kiểm tra và tư vấn chi tiết.

Mọi vấn đề khác về sức khỏe răng miệng cần được giải đáp xin vui lòng liên hệ Hotline 0971.066.726. Nha khoa Lạc Việt chúc bạn luôn luôn tự tin với hàm răng chắc – khỏe – đẹp!

Chia sẻ

Tin cùng chủ đề

Đăng ký tư vấn

Vui lòng để lại thông tin và nhu cầu của Quý Khách để được tư vấn

Đối tác của Nha khoa lạc việt intech

Osstem Implant
Osstem Implant
test
test1
Đặt lịch hẹn Messenger Liên hệ Zalo Địa chỉ