MÓM DUYÊN LÀ SAO VÀ PHẢI LÀM SAO VỚI NHỮNG TRƯỜNG HỢP KÉM DUYÊN?

Quản trị viên
23/08/2024

Răng móm là một dạng khuyết điểm răng miệng khá phổ biến khiến cho khuôn mặt trở nên bất cân đối, kém thẩm mỹ. Tuy nhiên vẫn có nhiều trường hợp móm nhưng trông vẫn duyên, vẫn đẹp. Vậy móm duyên là sao và đối với những trường hợp kém duyên phải làm thế nào? Hãy cùng tìm hiểu ngay dưới đây!

 

Móm duyên là sao và có cần khắc phục không?

 

1. Móm duyên là sao?

Móm duyên là những trường hợp bị móm ở mức độ nhẹ và không gây ảnh hưởng nhiều đến thẩm mỹ khuôn mặt. Tuy nhiên những người bị móm mà vẫn duyên thường là người vốn dĩ có khuôn mặt xinh đẹp, hài hòa.

Tuy nhiên móm duyên không có nghĩa không ảnh hưởng đến sức khỏe. Nếu tình trạng này duy trì lâu dài, đặc biệt với các trường hợp móm do răng gây ra thì theo thời gian, răng hàm dưới sẽ ngày càng chìa ra ngoài, gây ảnh hưởng xấu đến sức khỏe:

– Vệ sinh khó khăn gây nên các bệnh lý răng sâu, viêm lợi, viêm nha chu…

– Ảnh hưởng đến chức năng nhai của răng do khớp cắn bị lệch, ăn uống mất ngon miệng. Lâu dài tình trạng này sẽ ảnh hưởng đến hệ tiêu hóa, nhất là dạ dày.

– Ảnh hưởng đến chức năng phát âm của răng, giao tiếp mất tự tin vì nói không rõ ràng.

– Càng ngày răng càng yếu đi và chìa ra ngoài, gây mất thẩm mỹ trầm trọng.

Vì vậy móm duyên là sao và dù bạn sở hữu hàm răng móm duyên thì việc điều chỉnh vẫn rất cần thiết để ngăn chặn những ảnh hưởng xấu ở trên.

Ngoài ra, chúng tôi có thể khẳng định rằng nếu hàm răng bị móm của bạn được điều chỉnh, chắc chắn khuôn mặt của bạn sẽ xinh đẹp hơn rất nhiều bởi sự cân đối, hài hòa trên khuôn mặt luôn là yếu tố quan trọng.

>>>>> Có thể bạn muốn biết: Niềng răng móm không cần phẫu thuật- Hiệu quả như thế nào

 

2. Răng móm duyên hay kém duyên đều cần được điều chỉnh

Móm duyên là sao như đã nói ở trên là nó phụ thuộc vào tổng thể khuôn mặt chúng ta. Và chắc chắn chính người bị móm sẽ tự biết rằng nếu khuyết điểm này được chỉnh sửa sẽ mang lại khuôn mặt hoàn hảo hơn. Vì vậy dù răng móm duyên hay kém duyên thì đa phần mọi người đều mong muốn khắc phục triệt để.

Hiện nay với kỹ thuật nha khoa hiện đại, bị móm phải làm sao không còn là vấn đề đáng lo ngại nữa. Có nhiều cách để khắc phục tình trạng này và cụ thể mỗi trường hợp tương ứng với phương pháp nào sẽ được bác sỹ chỉ định sau khi kiểm tra và xác định dạng răng móm.

Có 2 dạng móm, đó là móm do răng và móm do xương hàm. Ngoài ra cũng có khá nhiều trường hợp bị đồng thời cả răng và xương hàm.

Bị móm phải làm sao với trường hợp móm do xương hàm

Đây là những trường hợp do xương hàm dưới phát triển quá mức hoặc xương hàm trên kém phát triển gây nên khớp cắn ngược. Lúc này phương pháp duy nhất mang lại hiệu quả là phẫu thuật, cắt bớt phần xương hàm và đẩy về vị trí đạt tỷ lệ chuẩn khớp cắn giữa hai hàm.

Phẫu thuật chỉnh hàm hô do xương hàm gây ra (*)

(*) Lưu ý hiệu quả khác nhau trong từng trường hợp cụ thể

Bị móm phải làm sao với trường hợp móm do răng

Móm do răng là khi cung hàm chuẩn khớp cắn nhưng răng bị chìa ra ngoài so với cung hàm dưới và so với hàm trên. Với những trường hợp này thì phẫu thuật không mang lại hiệu quả nữa mà sẽ áp dụng các phương pháp đơn giản hơn. Đó là mài răng bọc sứ và niềng răng.

Mài răng bọc sứ tuy mang lại hiệu quả thẩm mỹ cao và nhanh chóng nhưng chỉ khắc phục được trường hợp móm nhẹ. Vì vậy móm duyên là sao, là những trường hợp móm nhẹ thì mài răng bọc sứ là phương pháp rất lý tưởng.

Được ưa chuộng hơn là niềng răng. Niềng răng sở hữu nhiều ưu điểm nổi trội như: mang lại hiệu quả thẩm mỹ tối ưu do khắc phục đồng thời các sai lệch khác, kết quả mang giá trị vĩnh viễn với mọi trường hợp móm nặng hay nhẹ, an toàn tuyệt đối do không tác động cấu trúc của răng và xương hàm, có nhiều loại khí cụ với chi phí khác nhau nên phù hợp với mọi đối tượng khách hàng.

Niềng răng là phương pháp chỉnh móm mang lại hiệu quả tối ưu nhất

 

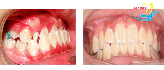
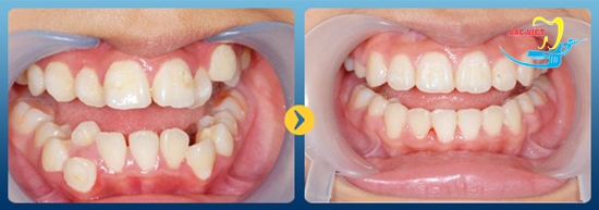
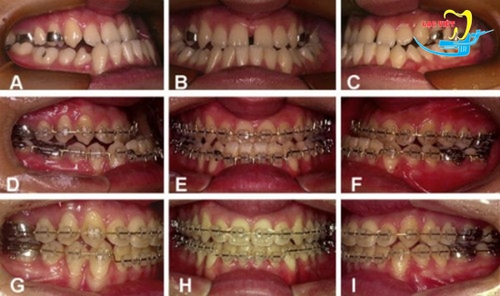
3. Hình ảnh trước và sau khi niềng răng móm tại nha khoa Lạc Việt

Móm duyên là sao và cách nào khắc phục triệt để sẽ không còn đáng lo ngại khi thực hiện điều chỉnh tại trung tâm nha khoa uy tín. Đó là nơi hội tụ đầy đủ các yếu tố:

– Đội ngũ bác sỹ tay nghề giỏi, chuyên môn sâu và giàu kinh nghiệm

– Trang thiết bị máy móc hiện đại và công nghệ tiên tiến

– Dịch vụ chăm sóc bệnh nhân tốt và chi phí hợp lý

Hiện nay tại nha khoa Lạc Việt, mọi ca niềng răng móm nói riêng và niềng răng thẩm mỹ nói chung đều được thực hiện bởi các bác sỹ là thạc sỹ răng hàm mặt của trường đại học Y Hà Nội, đã được đào tạo chỉnh nha chuyên sâu tại nước ngoài. Cùng sự hỗ trợ của hệ thống máy móc hiện đại và ứng dụng các công nghệ tiên tiến, nha khoa Lạc Việt đã thực hiện thành công hàng ngàn ca niềng răng thẩm mỹ.

 Một vài hình ảnh trước và sau khi niềng răng móm tại nha khoa Lạc Việt (*)

(*) Lưu ý hiệu quả khác nhau trong từng trường hợp cụ thể

Với tiêu chí lấy chất lượng điều trị làm mục tiêu và đảm bảo chi phí hợp lý nhất, nha khoa Lạc Việt đã trở thành một trong những lựa chọn hàng đầu về trung tâm nha khoa uy tín, giá rẻ.

Trên đây là giải đáp của chúng tôi về vấn đề móm duyên là sao và phương pháp khắc phục đối với khuyết điểm này. Để được tư vấn chi tiết hơn, xin vui lòng liên hệ Hotline 0972.181.011 hoặc tới phòng khám để bác sỹ kiểm tra, xác định tình trạng và tư vấn phương pháp điều trị phù hợp. Nếu bạn cần trồng răng implant thì hãy tới ngay Lạc Việt Intech nhé!

Nha khoa uy tín Lạc Việt chúc bạn sớm lấy lại hàm răng như mong muốn!

Chia sẻ

Tin cùng chủ đề

Đăng ký tư vấn

Vui lòng để lại thông tin và nhu cầu của Quý Khách để được tư vấn

Đối tác của Nha khoa lạc việt intech

Osstem Implant
Osstem Implant
test
test1
Đặt lịch hẹn Messenger Liên hệ Zalo Địa chỉ