NHA SỸ TƯ VẤN CÁCH LÀM MIỆNG HẾT MÓM TRIỆT ĐỂ VÀ AN TOÀN NHẤT!

Quản trị viên
23/08/2024

Ngày nay với kỹ thuật nha khoa hiện đại, răng móm và những tác hại do nó gây ra sẽ không còn là vấn đề đáng lo nữa. Tuy nhiên cách làm miệng hết móm nào mang lại hiệu quả triệt để và an toàn nhất không phải ai cũng biết. Hãy cùng nha sỹ tìm hiểu vấn để này ngay dưới đây!

 

Răng móm gây ảnh hưởng đến thẩm mỹ khuôn mặt và sức khỏe

 

1. Cách làm miệng hết móm tùy thuộc vào nguyên nhân gây ra

Trước khi tìm hiểu các cách trị móm, chúng ta phải nắm được biểu hiện của sai lệch này cũng như các dạng của nó.

Răng móm là tình trạng hàm dưới bị chìa ra ngoài so với hàm trên và với cấu trúc khuôn mặt. Khi khép miệng lại, răng hàm dưới sẽ phủ lên bên ngoài răng cửa hàm trên.

Cũng như răng hô, răng móm được chia thành 2 dạng là móm do răng và móm do xương hàm.

Cách làm miệng hết móm với trường hợp móm do răng

Móm do răng là tình trạng phổ biến nhất, là những trường hợp răng hàm dưới phát triển quá mức, chìa ra ngoài so với các răng trên cung hàm và so với khuôn mặt. Lúc này có 2 cách chữa móm được áp dụng nhiều nhất là niềng răng và bọc răng sứ thẩm mỹ.

Mài răng bọc sứ là phương pháp bao gồm 2 thao tác chính là mài răng và bọc sứ. Bác sỹ sẽ tiến hành mài 5 mặt răng những chiếc sai lệch sao cho phương thằng đứng trên cung hàm, sau đó thiết kế mão sứ bọc lên bên ngoài để bảo vệ trụ răng đã mài. Mão sứ có màu sắc và hình dáng giống hệt răng thật nên mang tính thẩm mỹ cao. Cách chữa răng móm này mang lại hiệu quả nhanh chóng nhưng chỉ được chỉ định với những trường hợp móm nhẹ bởi tính chất mài răng tác động đến cấu trúc của răng.

Mài răng bọc sứ mang lại hiệu quả nhanh chóng

Niềng răng móm được ưa chuộng hơn hết nhờ những giá trị nổi trội. Thông qua các khí cụ như mắc cài, dây cung hoặc khay niềng, răng được tác động lực kéo và di chuyển từ từ đến vị trí mong muốn. Niềng răng là cách làm miệng hết móm mang đến hiệu quả thẩm mỹ tối ưu nhất và an toàn nhất do không hề ảnh hưởng đến cấu trúc của răng và xương hàm. Đặc biệt, kết quả đạt được sẽ có giá trị vĩnh viễn, không tái phát.

Cách làm miệng hết móm với trường hợp móm do xương hàm

Dạng móm này là do xương hàm trên kém phát triển hơn xương hàm dưới hoặc do xương hàm dưới phát triển quá mức chìa ra ngoài gây nên. Những trường hợp này sẽ khó điều trị hơn, chỉ niềng răng không thể mang lại hiệu quả trọn vẹn mà phải kết hợp cả phẫu thuật chỉnh hình.

Các trường hợp móm do xương hàm sẽ được chỉ định phẫu thuật

 

2. Niềng răng là cách làm miệng hết móm triệt để và an toàn nhất

Như đã nói ở trên, với các trường hợp móm do răng thì niềng răng là phương pháp mang lại hiệu quả thẩm mỹ tối ưu nhất. Sau khi kết thúc điều trị, răng không chỉ đều đặn thẳng hàng mà còn giúp cải thiện khớp cắn, khôi phục chứ năng ăn nhai của răng.

Niềng răng là cách trị móm xóa tan mọi lo ngại về việc bọc răng sứ ảnh hưởng đến cấu trúc của răng hay phẫu thuật ảnh hưởng đến cấu trúc xương hàm. Hiện nay các loại khí cụ niềng răng ngày càng đa dạng với chi phí khác nhau để đáp ứng điều kiện chi trả của mọi đối tượng khách hàng.

Cách làm miệng hết móm bằng mắc cài cố định

Đây là phương pháp sử dụng các loại mắc cài như mắc cài kim loại, mắc cài sứ, mắc cài mặt trong và mắc cài tự buộc và dây cung gắn cố định lên mặt răng. Qua đó tác động lực kéo giúp răng dịch chuyển về vị trí mong muốn.

Cách làm miệng hết móm bằng niềng răng không mắc cài

 

Có nhiều người muốn áp dụng niềng răng để chỉnh răng móm nhưng e ngại trong thời gian điều trị gắn mắc cài lên mặt răng gây mất thẩm mỹ, nhất là những người phải thường xuyên giao tiếp. Vì vậy để đáp ứng nhu cầu thẩm mỹ cho các trường hợp này, phương pháp niềng răng không mắc cài đã ra đời. Phương pháp này còn được gọi là niềng răng trong suốt bởi khay niềng được làm từ chất liệu trong suốt, ôm sát mặt răng và đưa răng di chuyển đến vị trí mong muốn. Ưu điểm của phương pháp này là tính thẩm mỹ cao, dễ dàng tháo lắp vệ sinh. Tuy nhiên không được chỉ định cho các trường hợp sai lệch nặng bởi chỉ có thể tác động lực kéo nhất định.

 

3. Cách làm miệng hết móm tại nha khoa Lạc Việt

Dù lựa chọn cách trị móm nào thì đều phải được thực hiện tại địa chỉ niềng răng uy tín để đảm bảo kết quả và an toàn tuyệt đối. Hiện nay tại nha khoa Lạc Việt, mọi ca điều chỉnh răng móm đều được thực hiện bởi các bác sỹ giỏi, giàu kinh nghiệm và chuyên môn sâu cùng sự hỗ trợ của trang thiết bị và công nghệ hiện đại.

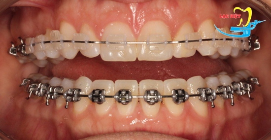
Kết quả một trường hợp niềng răng móm tại nha khoa Lạc Việt (*)

(*) Lưu ý hiệu quả khác nhau trong từng trường hợp cụ thể

Đặc biệt nha khoa Lạc Việt đã được chuyển giao độc quyền và ứng dụng thành công công nghệ niềng răng mắc cài 3M UGSL. Đây là một sáng chế của các chuyên gia nha khoa hàng đầu tai bệnh viện răng hàm mặt Forsyth Hoa Kỳ. Cách chữa răng móm tiên tiến này giúp hỗ trợ niềng răng nhanh chóng và an toàn tuyệt đối nhờ hệ thống mắc cài linh động và thông minh. 

Nhờ ứng dụng công nghệ niềng răng tiên tiến mà hiện nay tại địa chỉ nha khoa uy tín Lạc Việt đã có khắc phục được rất nhiều trường hợp mà trước đây chỉ phẫu thuật mới mang lại hiệu quả. Ngoài ra, cắm ghép implant cũng là một dịch vụ được nhiều quý khách hàng lựa chọn tại Lạc Việt Intech.

Trên đây là giải đáp của chúng tôi về cách làm miệng hết móm triệt để và an toàn nhất. Mọi vấn đề khác về sức khỏe răng miệng cần được tư vấn xin vui lòng liên hệ Hotline 0972.181.011. Nha khoa Lạc Việt chúc bạn luôn luôn sở hữu hàm răng chắc khỏe, bền đẹp!

Chia sẻ

Tin cùng chủ đề

Đăng ký tư vấn

Vui lòng để lại thông tin và nhu cầu của Quý Khách để được tư vấn

Đối tác của Nha khoa lạc việt intech

Osstem Implant
Osstem Implant
test
test1
Đặt lịch hẹn Messenger Liên hệ Zalo Địa chỉ