NHỮNG LƯU Ý KHI NIỀNG RĂNG ĐỂ KHÔNG ẢNH HƯỞNG ĐẾN KẾT QUẢ

Quản trị viên
23/08/2024

Niềng răng là một kỹ thuật chỉnh nha khá phức tạp và để đạt được kết quả tối ưu nhất thì việc đòi hỏi phải thực hiện bởi bác sỹ giỏi và trang thiết bị công nghệ hiện đại là chưa đủ. Chính bệnh nhân với những lưu ý khi niềng răng là một trong các yếu tố quyết định đến kết quả điều trị. Vậy cần phải lưu ý những điều gì? Hãy cùng tìm hiểu ngay dưới đây!

 

Chăm sóc răng niềng tốt để đạt kết quả cao và an toàn

 

1. Tại sao cần phải đặc biệt lưu ý khi niềng răng?

Bản chất của niềng răng là phương pháp thông qua các khi cụ như mắc cài, dây cung hoặc khay niềng để tác động lực kéo lên răng, đưa răng di chuyển từ từ đến vị trí mong muốn. Do đó trong thời gian điều trị, răng sẽ không được ổn định và luôn trong tình trạng di chuyển từng bước. Chính vì tính chất di chuyển đó mà răng sẽ yếu hơn bình thường.

Ngoài ra các mắc cài cũng cần được chăm sóc cẩn thận để tránh tình trạng bung tuột, sai lệch làm lệch hướng di chuyển của răng, kéo dài thời gian điều trị.

Chính những lý do trên mà bệnh nhân cần phải tuân theo những điều cần lưu ý khi niềng răng để đảm bảo an toàn và rút ngắn thời gian điều trị.

 

2. Tổng hợp những lưu ý khi niềng răng

Dưới đây là những điều cần lưu ý khi niềng răng từ các chuyên gia nha khoa hàng đầu thế giới:

Lưu ý khi niềng răng về vấn đề vệ sinh răng miệng

Việc đeo các mắc cài lên răng sẽ tạo nên nhiều kẽ hở để thức ăn và vi khuẩn bám vào. Nhớ đánh răng ngay sau mỗi bữa ăn bằng bàn chải chuyên dụng cho răng niềng. Kết hợp sử dụng chỉ nha khoa để loại bỏ những thức ăn còn sót trong các kẽ răng đồng thời súc miệng bằng nước súc miệng chuyên dụng trong nha khoa để loại bỏ vi khuẩn đến mức tối đa.

Chính vì giữ răng luôn sạch và cần vệ sinh ngay sau khi ăn nên hãy hạn chế ăn quá nhiều bữa trong ngày, hạn chế ăn vặt. Bằng mọi cách hãy giữ cho răng luôn sạch để hạn chế vi khuẩn tấn công, gây nên các bệnh lý răng sâu, viêm lợi, viêm nha chu, xỉn màu răng…

Lưu ý khi niềng răng về chế độ ăn uống

Chế độ ăn uống ảnh hưởng rất lớn tới quy trình niềng răng

Như đã nói, để không ảnh hưởng đến sức khỏe của răng cũng như ảnh hưởng đến mắc cài, không gây bung tuột thì phải hạn chế tác động ngoại lực. Để đạt được điều đó, khi ăn uống bạn phải chú ý tránh các món ăn quá nóng hoặc quá lạnh, những món dai, dẻo hoặc những món quá cứng… Chỉ nên ăn những món ăn mềm, ít sử dụng lực nhai như cháo, súp. Nhất là thời gian đầu lúc mới đeo mắc cài lên răng.

Việc sử dụng một lực mạnh để nhai thức ăn trong thời điểm này sẽ làm cho răng yếu đi đồng thời làm cho mắc cài dễ bị bung tuột, sai lệch.

Ngoài ra không nên ăn những món ăn có màu quá đậm để không làm xỉn màu mắc cài, gây mất thẩm mỹ trong thời gian điều trị.

Lưu ý khi niềng răng về tái khám định kỳ

Thông thường một ca niềng răng thường kéo dài từ 18 – 24 tháng và trong thời gian đó, khoảng 2 – 3 tuần/lần, bác sỹ sẽ hẹn lịch khám với bệnh nhân để kiểm tra sự di chuyển của răng đồng thời thiết lập lại lực kéo đối với niềng răng mắc cài và thay khay niềng với niềng răng không mắc cài. Việc kiểm tra định kỳ cũng để giúp bác sỹ kịp thời điều chỉnh những sai lệch (nếu có).

Ngoài khám định kỳ theo lịch hẹn, trong thời gian niềng răng, bệnh nhân cần kết hợp với bác sỹ theo dõi tình trạng răng miệng tại nhà hàng ngày.

 

3. Niềng răng an toàn tuyệt đối với công nghệ mắc cài 3M UGSL

Ngày nay với kỹ thuật nha khoa hiện đại, việc bung tuộc mắc cài trong quá trình niềng răng không còn là vấn đề đáng lo ngại nữa. Đặc biệt với công nghệ niềng răng mắc cài 3M UGSL là một sáng chế tiên tiến bậc nhất của các chuyên gia nha khoa hàng đầu tại bệnh viện răng hàm mặt danh tiếng Forsyth Hoa Kỳ.

Công nghệ niềng răng 3M UGSL đảm bảo an toàn và nhanh chóng nhất

Hệ thống mắc cài được thiết kế nhỏ gọn và linh động bậc nhất với cơ chế khảng mỏi và giảm ma sát cao nên hạn chế bung tuột tối đa. Đồng thời lực kéo bền bỉ, ổn định nên không gây cảm giác đau hay ê buốt.

Trên mắc cài có một báp trượt tự động đóng mở giúp giữ dây cung cố định trong rành trượt, từ đó tạo lực kéo cho răng di chuyển đúng hướng theo phác đồ điều trị của bác sỹ một cách an toàn.

Hiện nay tại nha khoa Lạc Việt với đầy đủ tiêu chí của một trung tâm nha khoa chất lượng đã được chuyển giao độc quyền và ứng dụng thành công công nghệ 3M UGSL vào niềng răng thẩm mỹ an toàn, nhanh chóng, mang lại hiệu quả thẩm mỹ tối ưu nhất.

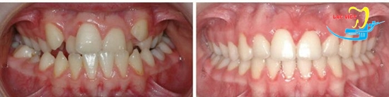
Kết quả một trường hợp niềng răng bằng công nghệ 3M UGSL tại nha khoa Lạc Việt

Nhờ phương pháp niềng răng 3M UGSL, những lưu ý khi niềng răng sẽ bớt nặng nề hơn. Tuy nhiên dù lựa chọn phương pháp nào thì bệnh nhân cũng phải thực hiện chăm sóc cẩn thận theo chỉ dẫn của bác sỹ để đảm bảo kết quả và an toàn tuyệt đối. 

Hiện nay, cấy ghép implant cũng là một giải pháp làm đẹp răng hiệu quả. Bạn có thể tới Lạc Việt Intech để được thăm khám và tư vấn chi tiết nhé!

Trên đây là giải đáp của chúng tôi về vấn đề những điều cần lưu ý khi niềng răng. Mọi vấn đề khác về sức khỏe răng miệng cần được giải đáp xin vui lòng liên hệ nha khoa Lạc Việt theo Hotline 0971.066.726. Cảm ơn bạn đã tin tưởng và quan tâm tới dịch vụ của chúng tôi!

Chia sẻ

Tin cùng chủ đề

Đăng ký tư vấn

Vui lòng để lại thông tin và nhu cầu của Quý Khách để được tư vấn

Đối tác của Nha khoa lạc việt intech

Osstem Implant
Osstem Implant
test
test1
Đặt lịch hẹn Messenger Liên hệ Zalo Địa chỉ