NHỮNG NGƯỜI CÓ RĂNG KHỂNH LÀ ĐẸP HAY XẤU?

Quản trị viên
23/08/2024

Trước đây mọi người thường cho rằng những ai có răng khểnh rất duyên và xinh đẹp, nhưng thực tế tại các cuộc thi sắc đẹp, thì tiêu chí của một hoa hậu cần phải có nụ cười hay hàm răng trắng, đều và thẳng, đặc biệt khi cười không được để hở lợi và không hô. Như vậy những người có răng khểnh chưa chắc đã là những người phụ nữ đẹp!

 

>>>>> Xem tiếp: Giải đáp tò mò: Răng khểnh trong tướng số có ý nghĩa gì?

Mỗi người sẽ sở hữu răng khểnh theo cách đẹp xấu khác nhau

 

1. Những người có răng khểnh theo góc nhìn của chuyên gia

Theo chuyên gia – nha sỹ Thắc Khái Vinh tại phòng khám răng Lạc Việt cho biết, một hàm răng đẹp là hàm răng có cung răng đều đặn, không bị lệch lạc. Răng khểnh mọi người thường ưu ái khi còn trẻ nhưng khi đã lớn tuổi về già nhìn sẽ không phù hợp. Về chức năng ăn nhai thì răng khểnh sẽ dễ khiến thức ăn nhồi nhét vào kẽ hở gây sâu răng nếu không điều trị kịp thời sẽ phải nhổ bỏ.

Nũ ca sỹ Hồng Nhung khi có tuổi đã chỉnh răng khểnh để thẩm mỹ hơn

Đó là lý do vì sao mà việc niềng răng rất phổ biến ở các nước phương tây và phụ nữ thời hiện đại ngày này cũng coi việc niềng răng là quan trọng để có hàm răng đẹp, nhất là trẻ nhỏ chúng đã ý thức được việc điều trị răng để có 1 nụ cười đẹp và sức khỏe răng miệng tốt nhất. Vì vậy khi có 1 hoặc 2 chiếc răng khểnh sẽ làm mất thẩm mỹ của toàn hàm trong khi người Việt lại coi răng khểnh là nụ cười duyên.

Với lĩnh vực nha khoa thì hàm răng xấu như răng bị hô, thưa, mọc lệch lạc … sẽ làm mất thẩm mỹ cho gương mặt đẹp gây thiếu tự tin trong giao tiếp, làm ảnh hưởng không nhỏ tới sự thành công trong công việc, cuộc sống, hiện nay đã có nhiều giải pháp để điều trị thích hợp.

>>>>>Thực sự thì: Răng khểnh đẹp hay xấu và có nên xử lý không?

 

2. Khắc phục thẩm mỹ cho những người có răng khểnh

Có nhiều phương pháp khác nhau để điều trị một hàm răng khấp khểnh như bọc răng sứ thẩm mỹ, mặt dán sứ veneer hay niềng răng khấp khểnh, trong đó niềng răng khấp khểnh là giải pháp hoàn hảo nhất, không những điều chỉnh cho răng đều đẹp mà còn có thể điều chỉnh được cả xương ổ răng, từ đó mang lại cho bạn một nụ cười duyên dáng với hàm răng đều đẹp với đường viền lợi hài hòa, mức độ lộ răng khi cười hài hòa thẩm mỹ.

Niềng răng là phương pháp chỉnh răng khểnh được ưa chuộng nhất

Bạn có thể tham khảo chi tiết quy trình điều trị niềng răng khấp khểnh tại nha khoa Lạc Việt sau đây, để hiểu hơn về việc làm thế nào mình có được hàm răng đẹp như ý:

+ Niềng răng khấp khểnh là thuật ngữ chỉ việc sắp xếp các răng cho thẳng hàng, điều trị các sai lệch về khớp cắn, giúp cải thiện thẩm mỹ lẫn chức năng, phương pháp này giúp răng thẳng đều bằng cách dùng các khí cụ chỉnh nha gắn lên mặt ngoài hoặc mặt trong răng, hay sử dụng hệ thống máng nắn chỉnh trong suốt giúp răng di chuyển một cách từ từ về vị trí mong muốn.

+ Niềng răng giúp di chuyển răng xuống vị trí mới, căn đều với các răng còn lại trong hàm. Trường hợp răng mọc lạc chỗ, bác sĩ có thể chỉ định nhổ chiếc răng đó để lấy chỗ trống cho các răng còn lại. Sau khi niềng răng, bạn sẽ có một hàm răng đều, trật tự, khớp cắn chuẩn hơn và đảm bảo vệ sinh răng miệng.

 

3. Thời gian niềng răng cho những người có răng khểnh mất bao lâu?

Với sự tiến bộ của công nghệ kỹ thuật hiện đại, thì phương pháp niềng răng khấp khểnh mới đã được nghiên cứu và ứng dụng thành công tại Lạc Việt, giúp điều trị trường hợp răng khập khểnh và mọc lệch như niềng răng mắc cài kim loại, niềng răng mắc cài sứ thẩm mỹ hay niềng răng không mắc cài invisalign. Mỗi phương pháp có những ưu điểm riêng giúp hàm răng khấp khểnh, không đều của bạn trở nên đẹp hơn.

Mỗi loại niềng răng có đặc điểm khác nhau

Nhìn chung, những người có răng khểnh để có được kết quả niềng răng như ý thì phải cần mất một thời gian khá dài, tối thiểu là 6 tháng cho những trường hợp nhẹ. Đối với những trường hợp khấp khểnh thì thời gian điều trị thông thường là khoảng 24 tháng, mức độ khấp khểnh càng nhiều thì thời gian niềng răng càng lâu. Nếu răng vừa mọc lệch vừa khấp khểnh thì quá trình chỉnh nha niềng răng sẽ phức tạp hơn và vì vậy thời gian điều trị cũng có thể sẽ kéo dài hơn. Để xác định chính xác thời gian niềng răng khấp khểnh là bao lâu thì bạn nên đến trung tâm nha khoa để được các bác sĩ tư vấn cụ thể dựa trên tình trạng răng miệng của bạn.

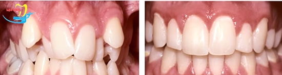
Kết quả một trường hợp niềng răng khểnh tại nha khoa Lạc Việt (*)

(*) Lưu ý hiệu quả khác nhau trong từng trường hợp cụ thể

 

4. Những người có răng khểnh mất chi phí niềng răng bao nhiêu?

Chi phí điều trị bạn có thể tham khảo bảng giá được niêm yết tại trung tâm như sau:

 

GÓI DỊCH VỤ LOẠI KHÍ CỤ SỬ DỤNG CHỈ ĐỊNH ĐIỀU TRỊ GIÁ GỐC GIÁ ƯU ĐÃI TRẢ THẲNG GIÁ ƯU ĐÃI TRẢ GÓP 50%
Mắc cài kim loại buộc chun đơn giản - Mắc cài Tomy (Nhật) hoặc OrthoQuest (Hàn Quốc).
- Dây cung CO - BA và hệ thống khí cụ sinh lực tiêu chuẩn cơ.
- Răng thưa dưới 0,5mm.
- Răng khấp khểnh không quá 0,5mm
30.000.000 24.000.000 27.000.000
Mắc cài kim loại buộc chun tiêu chuẩn - Mắc cài UGSL 3M Unitek MBT Slot 0.22 (Mỹ).
- Dây cung NI - TI kích hoạt nhiệt tự trình HA.
- Hệ thống cố định dây cung Ligature
- Hệ thống khí cụ đóng khoảng kích hoạt biến nhiệt Multiloop
Mọi loại sai lệch: Hô, móm, khấp khểnh, thưa,... và mọi độ tuổi. 38.000.000 30.400.000 34.200.000
Mắc cài kim loại tự động. - Mắc cài kim loại tự động AO - MBT Slot 0.22 phủ nano titanium (không ma sát) của american orthodontics (Mỹ).
- Dây cung NI - TI kích hoạt nhiệt tự trình HA.
- Hệ thống cố định dây cung bằng khóa titanium nguyên khối.
- Hệ thống khí cụ đóng khoảng kích hoạt biền nhiệt Multiloop.
Mọi loại sai lệch: Hô, móm, khấp khểnh, thưa,... và mọi độ tuổi. 44.000.000 35.200.000 39.600.000
Mắc cài sứ buộc chun - Mắc cài sứ Symetri Clear MBT Slot 0.22 của Ormco(Mỹ).
- Dây cung NI - TI kích hoạt nhiệt tự trình HA.
- Hệ thống cố định dây cung Ligature
- Hệ thống khí cụ đóng khoảng kích hoạt biến nhiệt Multiloop
Mọi loại sai lệch: Hô, móm, khấp khểnh, thưa,... và mọi độ tuổi. 40.000.000 35.000.000 37.000.000
Mắc cài sứ tự động - Mắc cài sứ tự động Damon Clear 2 Slot 0.22 của Ormco(Mỹ).
- Dây cung NI - TI kích hoạt nhiệt tự trình HA.
- Hệ thống cố định dây cung bằng nắp khóa zirconium nguyên khối
- Hệ thống khí cụ đóng khoảng kích hoạt biến nhiệt Multiloop.
Mọi loại sai lệch: Hô, móm, khấp khểnh, thưa,... và mọi độ tuổi. 60.000.000 51.200.000 55.000.000

 

LOẠI NIỀNG RĂNG XUẤT XỨ GIÁ NIÊM YẾT GIÁ KHUYẾN MÃI (TT TRẢ THẲNG) GIÁ KHUYẾN MÃI (TT TRẢ GÓP)
Mắc cài mặt lưỡi 3D CLB Hàn Quốc 66.900.000 đ 50.200.000 đ 53.500.000 đ
Mắc cài mặt lưỡi 3D DTC Mỹ 80.900.000 đ 52.600.000 đ 55.700.000 đ
Mắc cài mặt lưỡi cá nhân 3D Incognito Mỹ 103.000.000 đ 77.300.000 đ 82.400.000 đ

 

MỨC ĐỘ KHÓ SỐ LƯỢNG CẶP KHAY GIÁ NIÊM YẾT GIÁ KHUYẾN MÃI (TT TRẢ THẲNG GIÁ KHUYẾN MÃI (TT TRẢ GÓP)
Ca Comprehensive kết hợp với khí cụ phức tạp Không giới hạn số khay 159.700.000 đ 95,800,000 đ 103,800,000 đ
Ca Comprehensive Không giới hạn số khay 149.400.000 đ 89,600,000 đ 97,100,000 đ
Ca Moderate Từ 26 cặp trở xuống 128.800.000 đ 77,300,000 đ 83,700,000 đ
Ca Lite Từ 14 cặp trở xuống 97.900.000 đ 68,500,000 đ 73,400,000 đ
Ca Express Từ 7 cặp trở xuống 66.900.000 đ 60,200,000 đ 63,000,000 đ

 

 

Những người có răng khểnh thường sẽ cảm thấy khó chịu và gặp 1 số phiền toái do chúng gây ra, do vậy nếu như bạn mong muốn có hàm răng đẹp và đều hãy liên hệ ngay với nha khoa Lạc Việt chúng tôi sẽ giúp bạn và mang lại cho bạn kết quả như ý! Ngoài ra, mếu bạn muốn làm răng cấy ghép implant thì Lạc Việt Intech là địa chỉ uy tín mà bạn có thể tin tưởng lựa chọn. Mọi chi tiết về dịch vụ vui lòng liên hệ theo:

Chia sẻ

Tin cùng chủ đề

Đăng ký tư vấn

Vui lòng để lại thông tin và nhu cầu của Quý Khách để được tư vấn

Đối tác của Nha khoa lạc việt intech

Osstem Implant
Osstem Implant
test
test1
Đặt lịch hẹn Messenger Liên hệ Zalo Địa chỉ