Kiến thức trồng răng Implant

Chụp phim cắm Implant bằng công nghệ CT Cone Beam chính xác, an toàn

Chụp phim cắm Implant bằng công nghệ CT Cone Beam chính xác, an toàn

Trước khi trồng răng Implant, cô chú/anh chị sẽ được chụp toàn bộ cấu trúc xương hàm để tầm soát xương và lập phác đồ điều trị chính xác. Hiện nay, công nghệ chụp phim cắm Implant hiện đại nhất là CT Cone Beam (CBCT), với khả năng cung cấp hình ảnh 3D chi tiết và rõ nét. Bài viết này sẽ giải đáp đầy đủ về nguyên lý hoạt động, vai trò và lợi ích mà công nghệ hiện đại này mang lại cho quá trình trồng răng Implant của cô chú/anh chị.
Xem chi tiết
Bác sĩ giải đáp: “Trồng răng Implant bao lâu thì ăn được?”

Bác sĩ giải đáp: “Trồng răng Implant bao lâu thì ăn được?”

Sau khi trồng răng Implant, cô chú/anh chị không cần kiêng ăn lâu nhưng cần chú ý đến chế độ ăn phù hợp để tránh biến chứng và thúc đẩy quá trình hồi phục nhanh chóng. Bài viết này sẽ giải đáp câu hỏi trồng răng Implant bao lâu thì ăn được, đồng thời cung cấp những lưu ý về thực phẩm nên ăn và nên kiêng, hỗ trợ cô chú/anh chị nhanh chóng lành thương sau khi chọn phương pháp phục hình răng này.
Xem chi tiết
Bác sĩ giải đáp: “Trồng răng Implant có được vĩnh viễn không?”

Bác sĩ giải đáp: “Trồng răng Implant có vĩnh viễn không?”

Trồng răng Implant là giải pháp phục hình răng tốt và bền nhất hiện nay. Tuy nhiên, liệu trồng răng Implant có vĩnh viễn không vẫn là thắc mắc của nhiều cô chú/anh chị khi bước đầu tìm hiểu về phương pháp này. Bài viết dưới đây sẽ giúp cô chú/anh chị giải đáp các câu hỏi về thời gian tồn tại của răng Implant cùng các yếu tố tác động đến tuổi thọ của phương pháp phục hình răng này.
Xem chi tiết
Khi nào nên trồng răng Implant? 4 lưu ý trước khi trồng răng

Khi nào nên trồng răng Implant? 4 lưu ý trước khi trồng răng

Trồng răng Implant là phương pháp thay thế răng mất tốt nhất hiện nay, giúp tái lập khả năng ăn nhai và tính thẩm mỹ hiệu quả. Bài viết dưới đây sẽ cho cô chú/anh chị biết khi nào nên trồng răng Implant cùng một số lưu ý trước khi cấy ghép Implant để quá trình trồng răng diễn ra thuận lợi, an toàn và hạn chế biến chứng.
Xem chi tiết
Đâu là độ tuổi trồng răng Implant an toàn cho người mất răng?

Đâu là độ tuổi trồng răng Implant an toàn cho người mất răng?

Trồng răng Implant là phương pháp phục hình hiệu quả nhất giúp khôi phục chức năng ăn nhai và thẩm mỹ cho người mất răng. Tuy nhiên, phương pháp này không phù hợp với một số độ tuổi nhất định do chưa đáp ứng các yêu cầu về sức khỏe răng miệng và sức khỏe toàn thân. Vậy độ tuổi trồng răng Implant thích hợp nhất là bao nhiêu, mời cô chú/anh chị theo dõi nội dung dưới đây!
Xem chi tiết
Trẻ em có trồng răng Implant được không? 3 rủi ro tiềm ẩn

Trẻ em có trồng răng Implant được không? 3 rủi ro tiềm ẩn

Nhiều trường hợp bố mẹ có con bị mất răng vĩnh viễn lo ngại việc mất răng sẽ gây cản trở quá trình ăn nhai và phát âm, đồng thời ảnh hưởng đến sự phát triển tự nhiên của các răng thật khác. Do đó, nhiều bố mẹ tìm đến giải pháp phục hình răng cho con, nhưng còn băn khoăn trẻ em có trồng răng Implant được không. Bài viết dưới đây sẽ giúp các bậc cha mẹ giải đáp câu hỏi này và lựa chọn được phương pháp phục hình răng phù hợp.
Xem chi tiết
5 Nhược điểm của bắc cầu răng sứ cần lưu ý trước khi làm

5 Nhược điểm của bắc cầu răng sứ cần lưu ý trước khi làm

Trồng răng Implant ngày càng trở thành lựa chọn phổ biến nhờ vào những ưu điểm vượt trội về độ bền, chức năng ăn nhai và tính thẩm mỹ. Tuy nhiên, bên cạnh những lợi ích này, phương pháp cũng tồn tại một số hạn chế mà người bệnh cần nắm rõ để tránh nguy cơ bị đào thải hay biến chứng. Bài viết này sẽ giúp cô chú/anh chị nhận diện những nhược điểm của trồng răng Implant và trang bị kiến thức cần thiết để đưa ra quyết định phù hợp.
Xem chi tiết
Về nước trồng răng implant, quyết định đúng đắn của Kiều bào

Về nước trồng răng implant, quyết định đúng đắn của Kiều bào

Với rào cản chi phí đắt đỏ, lộ trình điều trị phức tạp tại nước ngoài, không ít Kiều bào đã quyết định trở về nước để trồng răng implant. Sự phát triển của ngành nha khoa trong nước, đội ngũ bác sĩ tay nghề cao đã đáp ứng được mong mỏi của Kiều bào khi hồi hương khôi phục mất răng.
Xem chi tiết
KỸ THUẬT MÀI CÙI RĂNG CHO RĂNG SỨ KHÔNG KIM LOẠI

KỸ THUẬT MÀI CÙI RĂNG CHO RĂNG SỨ KHÔNG KIM LOẠI

Răng sứ không kim loại ngày càng được sử dụng phổ biến để thay thế sứ kim loại bởi tính ưu việt về thẩm mỹ cũng như công nghệ tiên tiến trong cách chế tác và tính tương hợp sinh học cao, đặc biệt trong bọc răng sứ thẩm mỹ.
Xem chi tiết
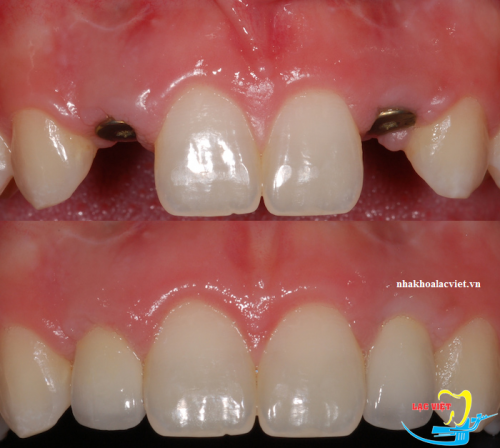
LÀM RĂNG IMPLANT CHO RĂNG CỬA

LÀM RĂNG IMPLANT CHO RĂNG CỬA

Làm răng implant cho răng cửa có những đặc thù khác với làm răng implant cho những vùng khác, implant răng cửa đòi hỏi tính thẩm mỹ tuyệt đối, do đó làm răng implant cho răng cửa cũng có một số thủ thuật khác với cắm ghép răng implant nói chung.
Xem chi tiết
RĂNG IMPLANT BỊ LUNG LAY, NGUYÊN NHÂN VÀ CÁCH KHẮC PHỤC

RĂNG IMPLANT BỊ LUNG LAY, NGUYÊN NHÂN VÀ CÁCH KHẮC PHỤC

Bạn đã trồng răng implant, bạn đã sử dụng chúng được một thời gian rất tốt, và bỗng dưng bạn thấy răng implant của bạn bị lung lay? ăn nhai kém và có thể có đau? Bạn đang rất lo lắng không biết nó bị làm sao? Và khắc phục thế nào? Chúng tôi sẽ giải đáp thắc mắc của bạn thông qua bài viết này.
Xem chi tiết
3 phương pháp trồng răng giả phổ biến hiện nay

3 phương pháp trồng răng giả phổ biến hiện nay

Trồng răng là giải pháp thay thế răng mất. Hiện nay, có 3 phương pháp trồng răng được ứng dụng phổ biến
Xem chi tiết
Bật mí 3 cách trồng răng khểnh

Chuyên gia bật mí 3 cách trồng răng khểnh

Răng khểnh có đẹp, có cuốn hút tuy nhiên, không phải ai cũng sở hữu chiếc răng này. Vậy thì làm cách nào để có được răng khểnh và làm răng khểnh có đắt hay không? Hãy cùng Nha khoa Lạc Việt Intech tìm hiểu về chủ đề này!
Xem chi tiết
Trồng Răng Implant Mất Bao Lâu? Liệu Có Lắp Răng Ngay Sau Khi Đặt Trụ Implant Như "Lời Đồn"?

Trồng Răng Implant Mất Bao Lâu? Liệu Có Lắp Răng Ngay Sau Khi Đặt Trụ Implant Như "Lời Đồn"?

Trồng răng Implant mất bao lâu sẽ phụ thuộc vào 3 yếu tố là mật độ, thể tích xương, chất lượng trụ implant và một yếu tố nữa cũng quyết định đến thời gian hoàn thiện là công nghệ cấy ghép.
Xem chi tiết
NÊN TRỒNG RĂNG KHỂNH GIẢ THEO CÁCH NÀO ĐỂ ĐƯỢC ĐẸP TỰ NHIÊN?

NÊN TRỒNG RĂNG KHỂNH GIẢ THEO CÁCH NÀO ĐỂ ĐƯỢC ĐẸP TỰ NHIÊN?

Trồng răng khểnh giả đang là xu hướng HOT trong giới trẻ. Với sự tiến bộ của công nghệ kỹ thuật trong nha khoa giờ đây đã có nhiều cách trồng răng khểnh giả an toàn. Vậy, nên lựa chọn phương pháp nào để răng khểnh giả đẹp tự nhiên? Bài viết xin được chia sẻ thông tin liên quan tới vấn đề, mời bạn đọc tham khảo:
Xem chi tiết

Đăng ký tư vấn

Vui lòng để lại thông tin và nhu cầu của Quý Khách để được tư vấn

Đặt lịch hẹn Messenger Liên hệ Zalo Địa chỉ