LÀM RĂNG IMPLANT CHO RĂNG CỬA

BTV
21/09/2024

Làm răng implant cho răng cửa có những đặc thù khác với làm răng implant cho những vùng khác, implant răng cửa đòi hỏi tính thẩm mỹ tuyệt đối, do đó làm răng implant cho răng cửa cũng có một số thủ thuật khác với cắm ghép răng implant nói chung.

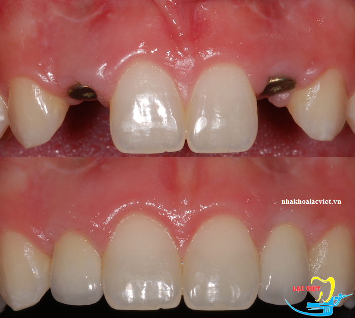
Một trường hợp làm implant răng cửa, có ghép lợi để tái tạo nhú lợi tại Nha Khoa Lạc Việt

 

Làm răng implant cho răng cửa khác răng hàm ở điểm nào?

Khác với răng hàm, tất cả những phục hồi vùng răng cửa ngoài chức năng ăn nhai đảm bảo thì tình thẩm mỹ phải được đặt lên hàng đầu, đối với làm răng implant vùng cửa, để có thể đạt được thẩm mỹ tối ưu, quá trình cắm ghép phải bảo tồn được nhú lợi, đường viền lợi hoặc phải tái tạo lại nó trong những trường hợp mất răng lâu dẫn tới tiêu mất nhú lợi. Mặt khác, để chụp răng sứ trên implant có được hình thể tự nhiên, màu sắc sống động thì vị trí đặt implant theo chiều trong ngoài, trên dưới phải chuẩn xác, để đạt được điều đó, cắm ghép implant cho răng cửa phải áp dụng một số thủ thuật sau:

>>> Cắm ghép Implant bao nhiêu tiền? Xem ngay bài viết giá trồng răng Implant để biết thêm chi tiết.

Làm răng implant tức thì cho răng cửa ngay sau khi nhổ răng

Trong những trường hợp chân răng cửa bị gãy vỡ không thể bảo tồn, giải pháp lý tưởng nhất trong trương hợp này là nhổ bỏ chân răng và cắm ghép răng implant ngay sau khi nhổ. Phương pháp này có ưu điểm vượt trội là bảo tồn được nguyên trạng nhú lợi và đường viền lợi, do đó răng sau cấy ghép tự nhiên như răng thật mà không cần can thiệp thêm bất cứ thủ thuật nào khác, tuy nhiên để có thể làm răng implant tức thì sau khi nhổ răng, cần có một số yếu tố sau:

  • Chân răng trước khi nhổ không có tình trạng viêm nhiễm, không có nang chân răng, các thành xương ổ còn nguyên vẹn
  • Có dụng cụ nhổ răng không sang chấn để nhổ bỏ chân răng nhẹ nhàng, không làm tổn thương xương ổ
  • Bác sĩ có đủ kỹ năng để có thể thực hiện cắm ghép chính xác, nhổ bỏ chân răng nhẹ nhàng không gây sang chấn xương ổ

Một trường hợp làm răng implant tức thì sau nhổ răng ở Nha Khoa Lạc Việt (sử dụng abutment zirconia)

 

Ưu điểm của làm răng implant tức thì ngay sau khi nhổ răng

  • Quá trình phụ cắm implant nhẹ nhàng, không phải gây thêm sang chấn ở lần cắm ghép sau
  • Bảo tồn nguyên trạng nhú lợi, đường viền lợi nên cho thẩm mỹ tối ưu, cắm ghép implant ngay sau khi nhổ răng là phương pháp làm răng implant cho kết quả thẩm mỹ hoàn hảo nhất bây giờ.
  • Rút ngắn được thời gian chờ đợi lắp răng.
  • Tiết kiệm được kinh phí cho người bệnh vì không phải ghép xương, ghép lợi để đạt được thẩm mỹ tối ưu.
 

Ghép lợi để tái tạo nhú lợi trong làm implant cho răng cửa

Khi mất răng không cắm ghép implant ngay, xương mặt ngoài và nhú lợi, đường viền lợi sẽ bị tiêu và sập xuống, do đó sẽ ảnh hưởng nghiêm trọng đến thẩm mỹ của răng implant sau khi cấy ghép, răng implant sẽ trở nên dài hơn, độ phồng mặt ngoài không đủ để nâng môi má, dẫn tới răng sau cắm ghép không tự nhiên

Hình ảnh khuyết hổng mặt ngoài sau khi mất răng

Để khắc phục điều đó, bác sĩ phẫu tuật phải ghép lợi hoặc mô liên kết để tái tạo lại nhú lợi và đường viền lợi, đây là một tiểu phẫu nhỏ nhưng đòi hỏi kỹ năng phẫu thuật rất lớn

 

GNong chẻ xương để tạo độ phồng mặt ngoài khi làm răng implant vùng cửa

Như đã nói ở trên, khi mất răng không cắm ghép implant ngay, xương mặt ngoài và nhú lợi, đường viền lợi sẽ bị tiêu và sập xuống, ảnh hưởng đến thẩm mỹ, để đạt được thẩm mỹ tối ưu, bác sĩ phẫu thuật sẽ phải dùng 1 tiểu phẫu nhỏ để đẩy bản xương mặt ngoài phồng lên, như thế mới có thể tạo được một chiếc răng sứ hoàn hảo sau cấy ghép

Tóm lại, làm răng implant cho răng cửa là một phẫu thuật khó, đòi hỏi những kỹ năng hoàn hảo từ bác sĩ phẫu thuật, ngoài quy trình phẫu thuật chung của implant nha khoa, khi lên kế hoạch làm implant răng cửa phải đững trên lập trường thẩm mỹ để đạt được chức năng.

Chia sẻ

Tin cùng chủ đề

Đăng ký tư vấn

Vui lòng để lại thông tin và nhu cầu của Quý Khách để được tư vấn

Đối tác của Nha khoa lạc việt intech

Osstem Implant
Osstem Implant
test
test1
Đặt lịch hẹn Messenger Liên hệ Zalo Địa chỉ