KỸ THUẬT MÀI CÙI RĂNG CHO RĂNG SỨ KHÔNG KIM LOẠI

BTV
21/09/2024

Răng sứ không kim loại ngày càng được sử dụng phổ biến để thay thế sứ kim loại bởi tính ưu việt về thẩm mỹ cũng như công nghệ tiên tiến trong cách chế tác và tính tương hợp sinh học cao, đặc biệt trong bọc răng sứ thẩm mỹ. Tuy nhiên cho đến tận ngày nay, sứ không kim loại vẫn mang nhược điểm là khả năng chịu lực nhai kém hơn sứ kim loại. Để khắc phục nhược điểm này, các tiêu chí kỹ thuật mài cùi răng cho răng sứ không kim loại phải được thực hiện chính xác, cùi răng phải mài đủ độ giày cho từng loại sứ không kim loại cụ thể. Hiện nay, có 2 dòng răng sứ không kim loại được được sử dụng rộng rãi là sứ thủy tinh Lithium Disilicate (răng sứ thẩm mỹ emax) và sứ không kim loại Zirconia, bài viết này sẽ trình bày chi tiết kỹ thuật mài cùi răng cho răng sứ không kim loại Zirconia, là loại sứ được sử dụng phổ biến nhất hiện nay.

Kỹ thuật mài cùi răng cho răng sứ không kim loại Zirconia.

Tiêu chí kỹ thuật của cùi răng sứ không kim loại zirconia

Răng sứ Zirconia là loại răng sứ không kim loại 2 lớp, lớp trong là một sườn sứ Zirconia có vai trò là khung chịu lực, đồng thời là một lớp cản màu sắc của cùi răng, không cho màu của răng thật ánh ra ngoài qua lớp sứ. Lớp ngoài là một lớp sứ tạo màu sắc cho bọc răng sứ, tùy theo sườn zirconia của các hãng khác nhau mà lớp sứ tạo màu này sẽ khác nhau. Để đảm bảo tính vững ổn của chụp răng sứ khi gắn trên miệng, kỹ thuật mài cùi răng cho răng sứ zirconia cần đạt các tiêu chí kỹ thuật sau:

– Đường hoàn tất là bờ vai hoặc bờ cong sâu, có bề dày cần thiết là 1 – 1,2mm.

– Bề giày cần mài ở thân và hố rãnh là 1,2 – 1,5mm

– Bề giày cần mài ở rìa cắn hoặc múi chịu là 2mm


Độ dày cần thiết khi mài cùi răng cho sứ không kim loại

Dụng cụ chuẩn bị để mài cùi răng cho răng sứ không kim loại.

Các mũi khoan cần có

– Mũi trụ kim cương có đầu phẳng và tròn, loại hạt trung bình để mài và loại hạt mịn để đánh bòng hoàn tất

– Mũi tròn to, mũi búp sen, mũi bánh xe

– Nếu có cây đục men hoặc dụng cụ đánh bóng đường hoàn tất bằng siêu âm sau khi mài cùi răng thì càng tốt.


Bộ mũi khoàn dùng cho mài cùi răng sứ không kim loại zirconia

>>> Nếu cô chú/anh chị đang có nhu cầu trồng răng nhưng chưa rõ về chi phí, hãy cùng tìm hiểu trong bài viết "trồng răng bằng phương pháp Implant giá bao nhiêu".

Các bước thực hiện mài cùi răng cho răng sứ không kim loại zirconia

Mục đích của việc mài cùi răng là tạo ra một bề dày đủ cho cả sườn sứ zirconia và cả lớp sứ phía ngoài, độ dày phải đồng nhất không được chỗ dày chỗ mỏng và nơi chuyển tiếp các mặt của đường hoàn tất phải mượt mà mềm mại, không chuyển hướng đột ngột, gập góc để tạo stress lên bọc sứ sau khi lắp gây gẫy vỡ bọc chụp sứ.

Mài cùi răng cho răng sứ không kim loại được thực hiện qua 5 bước sau:

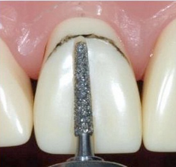
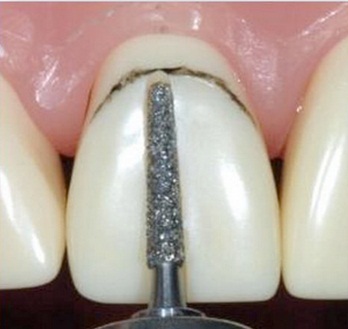
Bước 1: Mài mặt ngoài.

Dùng mũi khoan trụ, đường kính 1mm mài 3 đường, sau đó mài nối 3 đường lại với nhau sao cho mài lút mùi khoan, đường hoàn tất trên lợi khoảng 1mm

kỹ thuật mài cùi răng cho răng sứ không kim loại

Bước 2: Mài rìa cắn

Dùng mũi khoan trụ cắt ngắn rìa cắn 1,8mm so với răng bên cạnh.


Kỹ thuật mài cạnh cắn cho cùi răng sứ không kim loại.

Bước 3: Mài mặt bên

Dùng mũi trụ thuôn (mũi torpedo) để mài mặt bên, lưu ý không mài vào răng bên cạnh. Trong những trường hợp khó kiểm soát có thể dùng lá thép để cô lặp răng bên cạnh

kỹ thuật mài cùi răng cho răng sứ không kim loại
Mài cùi răng sứ không kim loại mặt bên

Bước 4: Mài mặt trong

Sử dụng mũi trụ đầu tròn đường kình 1mm để đánh dấu mặt trong,sau đó dùng mũi trong to hoặc mũi búp sen mài nỗi các đường đánh dấu

Kỹ thuật mài cùi răng sứ không kim loại

Bước 5: Mài đường hoàn tất và đánh bóng cùi răng

Tùy theo loại đường hoàn tất lựa chọn là bờ cong hay bờ vai sẽ chọn mũi khoan trụ có đầu phẳng hoặc tròn để mài, đặt chỉ co lợi và mài thấp đường hoàn tất đến tiếp xúc phía trên sợi chỉ

kỹ thuật mài cùi răng cho răng sứ không kim loại

Thực hiện nghiêm ngặt các bước trên kết hợp với sao dấu chính xác sẽ tạo ra được các chụp răng sứ không kim loại zirconia có thẩm mỹ và độ bền tối đa. Khi đã hiểu rõ cấy ghép răng implant là gì bạn hãy lựa chọn đơn vị uy tín để thực hiện nhé! 

Nha Khoa Lạc Việt Intech, trung tâm chuyên sâu về cấy ghép implant, răng sứ thẩm mỹ và niềng răng.

Trụ sở Đống Đa: Tòa nhà 160 Tây Sơn, Đống Đa, Hà Nội

Điện thoại: 0971066726.

Trụ sở Cầu giấy: Số 9 Nguyễn Văn Huyên, Cầu giấy, Hà nội

SĐT: 0971066726.

Trụ sở Hai Bà Trưng: Số 426 Minh Khai, Hai Bà Trưng, Hà Nội

Điện thoại: 0971066726.

Chia sẻ

Tin cùng chủ đề

Đăng ký tư vấn

Vui lòng để lại thông tin và nhu cầu của Quý Khách để được tư vấn

Đối tác của Nha khoa lạc việt intech

Osstem Implant
Osstem Implant
test
test1
Đặt lịch hẹn Messenger Liên hệ Zalo Địa chỉ