Viêm tủy răng: Các dấu hiệu nhận biết, hậu quả và cách điều trị

Tran Hoai Nam
12/05/2025

 

Nếu cô chú/anh chị muốn hiểu rõ hơn về các dấu hiệu nhận biết viêm tuỷ răng và cách điều trị đúng cách, có thể xem video chia sẻ kiến thức chi tiết từ bác sĩ tại đây:

 

1. Dấu hiệu nhận biết viêm tủy răng 

Viêm tủy răng là tình trạng viêm nhiễm xảy ra ở mô tủy răng, một cấu trúc mềm nằm sâu bên trong răng, chứa đựng các dây thần kinh, mạch máu và mô liên kết quan trọng.

Bệnh lý này có thể tiến triển âm thầm qua nhiều giai đoạn, từ những dấu hiệu ban đầu nhẹ nhàng, dễ bị bỏ qua đến các triệu chứng dữ dội, ảnh hưởng nghiêm trọng đến chất lượng cuộc sống. 

Việc nhận biết sớm các dấu hiệu của viêm tủy răng đóng vai trò then chốt trong việc can thiệp điều trị kịp thời, bảo vệ răng thật và ngăn ngừa những biến chứng nguy hiểm.

Viêm tuỷ răng

Viêm tuỷ răng

Các dấu hiệu ban đầu của viêm tủy răng (giai đoạn sớm)

Ở giai đoạn sớm, viêm tủy răng thường biểu hiện không rõ ràng, khiến nhiều người chủ quan bỏ qua. Tuy nhiên, đây là thời điểm vàng để can thiệp điều trị hiệu quả nhất. Các dấu hiệu ban đầu có thể bao gồm:

  • Đau nhức nhẹ hoặc thoáng qua

 Bạn có thể cảm thấy những cơn đau nhẹ, âm ỉ hoặc nhói lên không thường xuyên ở một răng cụ thể. Cơn đau này có thể xuất hiện tự phát hoặc sau khi chịu tác động nhẹ.

  • Ê buốt khi ăn uống đồ nóng hoặc lạnh

Khi bạn ăn hoặc uống đồ quá nóng hoặc quá lạnh, răng có thể bị ê buốt khó chịu, và cảm giác này có thể kéo dài từ vài giây đến 15-30 phút sau khi kích thích.

  • Cảm giác căng tức hoặc khó chịu âm ỉ trong răng

Một số người bệnh mô tả cảm giác răng bị căng tức, nặng nề hoặc có một sự khó chịu âm ỉ kéo dài, đặc biệt vào buổi tối hoặc khi nằm xuống.

  • Thay đổi màu răng nhẹ

Ở giai đoạn rất sớm, răng bị viêm tủy răng có thể có sự thay đổi màu sắc nhẹ, chẳng hạn như hơi ngả vàng hoặc trắng đục hơn so với các răng bên cạnh. Tuy nhiên, sự thay đổi này thường khó nhận biết bằng mắt thường.

Răng có sự thay đổi màu sắc nhẹ

Răng có sự thay đổi màu sắc nhẹ khi bị viêm tuỷ mức độ nhẹ

Các dấu hiệu rõ rệt của viêm tủy răng (giai đoạn muộn)

Khi tình trạng viêm tủy răng tiến triển đến giai đoạn muộn, các triệu chứng thường trở nên rõ ràng và nghiêm trọng hơn, gây ra nhiều đau đớn và ảnh hưởng đến sinh hoạt hàng ngày:

  • Đau dữ dội và liên tục: 

Cơn đau trở nên nghiêm trọng hơn, kéo dài liên tục và có thể xuất hiện tự phát mà không cần bất kỳ tác động nào. Đau có thể lan rộng ra các vùng lân cận như tai, thái dương, hoặc hàm dưới, khiến người bệnh vô cùng khó chịu và mất ngủ.

  • Sưng mủ và đau nhức ở vùng nướu:

Khi tình trạng viêm nhiễm lan rộng ra khỏi tủy răng và ảnh hưởng đến các mô xung quanh, có thể xuất hiện sưng tấy, đỏ và đau nhức ở vùng nướu quanh chân răng bị bệnh. Trong một số trường hợp, có thể hình thành mủ (áp xe) gây đau nhức dữ dội và cảm giác có dịch chảy ra.

  • Hôi miệng dai dẳng: 

Sự hoại tử của tủy răng và sự phát triển của vi khuẩn trong môi trường nhiễm trùng có thể gây ra mùi hôi khó chịu trong miệng, không cải thiện dù đã vệ sinh răng miệng kỹ lưỡng.

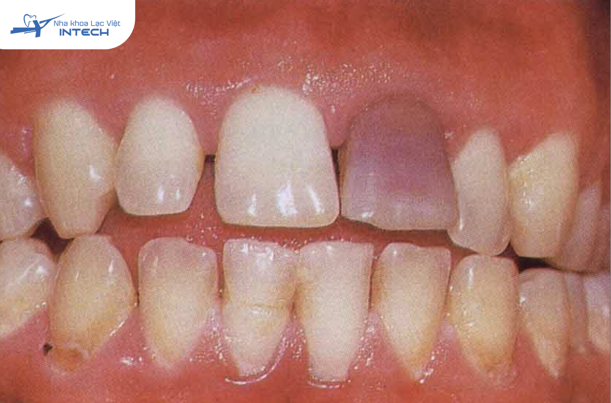
  • Thay đổi màu răng rõ rệt: 

Răng bị viêm tủy răng lâu ngày thường có sự thay đổi màu sắc rõ rệt hơn, chuyển từ màu ngả vàng sang màu xanh xám, xanh nâu hoặc thậm chí đen. Đặc biệt ở răng cửa, sự thay đổi màu sắc này ảnh hưởng nghiêm trọng đến thẩm mỹ.

Răng thay đổi màu một cách rõ rệt

Răng thay đổi màu một cách rõ rệt khi bị viêm tuỷ mức độ nặng

2. Hậu quả của viêm tủy răng nếu không điều trị

Việc chủ quan bỏ qua hoặc trì hoãn điều trị viêm tủy răng có thể dẫn đến những hậu quả nghiêm trọng và khó khắc phục, ảnh hưởng không chỉ đến sức khỏe răng miệng mà còn cả sức khỏe toàn thân:

  • Nguy cơ mất răng và các vấn đề răng miệng liên quan

Khi tủy răng bị viêm nhiễm nặng và không được điều trị, quá trình viêm có thể lan rộng xuống vùng chóp răng, gây ra viêm quanh chóp răng. Tình trạng này kéo dài có thể phá hủy cấu trúc xương hàm xung quanh răng, làm răng lung lay và cuối cùng dẫn đến mất răng vĩnh viễn. 

  • Tiêu xương ổ răng

Quá trình viêm nhiễm kéo dài ở vùng chóp răng có thể dẫn đến tiêu xương ổ răng, làm giảm mật độ và thể tích xương hàm.

  • Ảnh hưởng đến sức khỏe toàn thân: 

Các ổ nhiễm trùng mạn tính ở răng miệng, như viêm tủy răng không được điều trị, có thể gây ra những ảnh hưởng tiêu cực đến sức khỏe toàn thân, làm tăng nguy cơ mắc các bệnh tim mạch, tiểu đường và các bệnh lý khác.

3. Các phương pháp điều trị viêm tủy răng hiệu quả

Khi bạn được chẩn đoán mắc viêm tủy răng, việc điều trị kịp thời và đúng phương pháp là yếu tố quyết định trong việc bảo tồn răng thật và ngăn ngừa các biến chứng nguy hiểm. 

Điều trị tủy (Nội nha): Giải pháp tối ưu để bảo tồn răng

Điều trị tủy là một quy trình phức tạp nhằm loại bỏ phần tủy răng bị viêm hoặc hoại tử, làm sạch và tạo hình hệ thống ống tủy, sau đó trám bít ống tủy bằng vật liệu chuyên dụng. 

Mục tiêu chính của điều trị tủy là loại bỏ hoàn toàn nguồn nhiễm trùng bên trong răng, ngăn chặn sự tái phát của viêm nhiễm và giúp răng có thể tiếp tục tồn tại và thực hiện chức năng ăn nhai bình thường.

Điều trị tuỷ (nội nha)

Điều trị viêm tuỷ răng

Nhổ răng: Giải pháp cuối cùng khi không thể bảo tồn

Trong một số trường hợp viêm tủy răng quá nặng, không thể phục hồi hoặc gây ra các biến chứng nghiêm trọng như áp xe lớn, tiêu xương nhiều, hoặc răng bị vỡ lớn không thể tái tạo, bác sĩ có thể chỉ định nhổ răng để loại bỏ hoàn toàn ổ nhiễm trùng và ngăn chặn sự lây lan.

Các phương pháp phục hình răng sau khi nhổ:

Việc mất răng do viêm tủy răng không được điều trị có thể ảnh hưởng đến chức năng ăn nhai, thẩm mỹ và sự tự tin. Do đó, bác sĩ thường khuyến cáo các phương pháp phục hình răng đã mất, bao gồm:

  • Trồng răng implant: Đây là phương pháp phục hình cố định, trong đó một trụ implant titanium được cấy ghép vào xương hàm, sau đó gắn mão răng sứ lên trên, mang lại chức năng và thẩm mỹ gần như răng thật.
  • Làm cầu răng: Phương pháp này sử dụng các răng thậtข้าง cạnh răng đã mất làm trụ đỡ để tạo ra một cầu răng giả lấp đầy khoảng trống.
  • Hàm giả tháo lắp: Đây là phương pháp phục hình răng mất có chi phí thấp hơn, nhưng có thể gây bất tiện trong quá trình sử dụng và chức năng ăn nhai không cao bằng các phương pháp cố định.

Nhổ bỏ răng và sử dụng răng Implant thay thế

Nhổ bỏ răng bị viêm tuỷ và sử dụng răng Implant thay thế

Điều trị hỗ trợ (giảm đau tạm thời): Không thay thế điều trị triệt để

Trong giai đoạn viêm tủy răng cấp tính, bạn có thể sử dụng một số biện pháp tại nhà để giúp giảm đau tạm thời trước khi đến gặp nha sĩ:

  • Thuốc giảm đau không kê đơn: Các loại thuốc như paracetamol hoặc ibuprofen có thể giúp giảm đau và hạ sốt.
  • Thuốc giảm đau kê đơn: Trong trường hợp đau dữ dội, bác sĩ có thể kê đơn các loại thuốc giảm đau mạnh hơn.
  • Chườm lạnh: Chườm lạnh bên ngoài má gần vùng răng bị đau có thể giúp giảm sưng và đau.
  • Súc miệng nước muối ấm: Súc miệng nhẹ nhàng bằng nước muối ấm có thể giúp làm dịu vùng viêm.

Các biện pháp điều trị hỗ trợ này chỉ mang tính chất tạm thời và không giải quyết được nguyên nhân gây ra viêm tủy răng. Việc điều trị triệt để tại nha khoa là cần thiết để bảo tồn răng thật và ngăn ngừa các biến chứng nghiêm trọng.

Điều trị viêm tủy răng kịp thời là yếu tố then chốt để ngăn chặn các biến chứng nghiêm trọng và bảo tồn răng thật. Khi bạn nhận thấy bất kỳ dấu hiệu nghi ngờ viêm tủy răng, đừng chần chừ mà hãy đến ngay các cơ sở nha khoa uy tín để được thăm khám và tư vấn. Ngoài ra, cắm ghép implant cũng là dịch vụ được nhiều người lựa chọn tại Lạc Việt Intech hiện nay. 

Nếu cô chú/anh chị đang bị đau nhức kéo dài, ê buốt khi ăn uống hoặc nghi ngờ có dấu hiệu viêm tủy răng, đừng để tình trạng kéo dài thêm. Hãy liên hệ ngay với Nha khoa Lạc Việt Intech để được thăm khám, chẩn đoán chính xác và tư vấn phương án điều trị phù hợp – an toàn, nhẹ nhàng và kịp thời, tránh biến chứng nguy hiểm về sau.

Hệ thống chi nhánh Nha khoa Lạc Việt Intech:

  • TP. HCM: Số 90 - 92 Ngô Gia Tự, Phường 9, Quận 10, TP. HCM
  • Hà Nội:
    • Số 91 Phố Huế, Hai Bà Trưng, Hà Nội
    • Số 168 Đường Láng, Q. Đống Đa, Hà Nội
    • Số 426 Minh Khai, Q. Hai Bà Trưng, Hà Nội
    • Số 27 Nguyễn Văn Huyên, Q. Cầu Giấy, Hà Nội
  • Nghệ An: Số 24 Cao Thắng, P. Hồng Sơn, TP Vinh, Nghệ An
  • Hải Phòng: 107 Tô Hiệu, Lê Chân, TP Hải Phòng

 

Chia sẻ

Tin cùng chủ đề

Đăng ký tư vấn

Vui lòng để lại thông tin và nhu cầu của Quý Khách để được tư vấn

Đối tác của Nha khoa lạc việt intech

Osstem Implant
Osstem Implant
test
test1
Đặt lịch hẹn Messenger Liên hệ Zalo Địa chỉ