Cắm Chốt Răng: Giải Pháp Giữ Lại Răng Gãy, Vỡ Tưởng Phải Nhổ Bỏ

Trang Thi
28/08/2025

Nhiều cô chú, anh chị khi không may bị gãy hoặc vỡ răng thường nghĩ ngay đến việc phải nhổ bỏ và làm răng giả. Tuy nhiên, không phải trường hợp nào cũng cần đến bước “hy sinh” răng thật. Nếu chân răng vẫn còn chắc khỏe, một giải pháp nha khoa hiện đại có thể giúp giữ lại răng. Giải pháp đó phục hồi thẩm mỹ và chức năng ăn nhai. Đó chính là cắm chốt răng.

Trong bài viết này, chúng ta sẽ cùng tìm hiểu chi tiết về kỹ thuật này. Bài viết được tham vấn bởi bác sĩ chuyên sâu về phục hình tại Nha khoa Lạc Việt Intech. Mục tiêu là để đảm bảo tính chính xác chuyên môn.

Cắm chốt răng là gì?

Cắm chốt răng là kỹ thuật nha khoa giúp phục hồi thân răng. Phần thân răng này đã bị mất đi một phần lớn do gãy vỡ, sâu răng hay chấn thương. Sau khi điều trị tủy, bác sĩ đặt một chốt nhỏ vào trong ống tủy. Chốt này hoạt động như “trụ đỡ” giúp tái tạo lại phần thân răng. Nhờ có chốt, mão sứ bên ngoài được gắn chắc chắn. Mão sứ chịu lực tốt và duy trì chức năng ăn nhai ổn định.

Cắm chốt răng là kỹ thuật phục hồi thân răng do gãy vỡ, sâu răng hay chấn thương

Mục tiêu chính của cắm chốt răng là tạo nền vững chắc để dựng cùi răng. Chốt cũng giúp truyền lực nhai an toàn từ mão sứ xuống chân răng. Nó làm giảm nguy cơ nứt vỡ chân răng. Nhờ đó, răng có thể giữ chức năng ăn nhai thoải mái gần như răng thật. 

Khi nào nên cắm chốt răng?

Không phải tất cả các trường hợp gãy vỡ đều cần nhổ bỏ răng. Trong nhiều tình huống, cắm chốt có thể giúp bảo tồn răng thật.

Răng đã điều trị tủy là trường hợp phổ biến nhất. Sau khi lấy tủy, răng thường yếu và giòn do mất nuôi dưỡng. Nếu phần thân răng bị mất nhiều, cắm chốt giúp tăng độ bền và giữ răng lâu dài.

Cắm chốt có thể giúp bảo tồn răng thật, tăng độ bền và giữa răng lâu dài

Tiếp theo là trường hợp răng mất gần như toàn bộ thân. Khi thân răng bị phá hủy lớn vì sâu răng, chấn thương hoặc mòn răng, đặc biệt ở răng cửa và răng hàm nhỏ, cắm chốt là cách tạo nền vững để phục hồi.

Cuối cùng, khi răng gãy ngang sát lợi nhưng chân răng bên dưới còn tốt, không lung lay, bác sĩ có thể chỉ định cắm chốt thay vì nhổ bỏ.

Cắm chốt răng là lựa chọn hiệu quả khi răng đã điều trị tủy, răng mất thân hoặc răng gãy ngang sát lợi. Nó giúp bảo tồn răng thật. 

>> Xem thêm Bảng giá dịch vụ Nha khoa tổng quát mới nhất 2025

Trường hợp không nên cắm chốt răng

Bên cạnh các chỉ định, cũng có những tình huống không phù hợp để cắm chốt.

Nếu chân răng quá ngắn hoặc yếu, không đủ để giữ chốt, việc cắm chốt sẽ không hiệu quả. Tương tự, nếu xương quanh răng bị tiêu nhiều hoặc răng nứt gãy sâu xuống tận chân, cắm chốt cũng không phải là giải pháp tốt.

Trường hợp răng điều trị tủy không đúng kỹ thuật cũng là một chống chỉ định. Trong những tình huống này, cắm chốt có thể gây ra nhiều rủi ro. Thay vào đó, nhổ bỏ và trồng răng mới sẽ an toàn và bền vững hơn. Bác sĩ sẽ đánh giá kỹ lưỡng trước khi đưa ra quyết định cuối cùng.

Cắm chốt răng không phù hợp với mọi trường hợp. Chỉ khi chân răng và xương còn đủ điều kiện, phương pháp này mới mang lại hiệu quả cao nhất. 

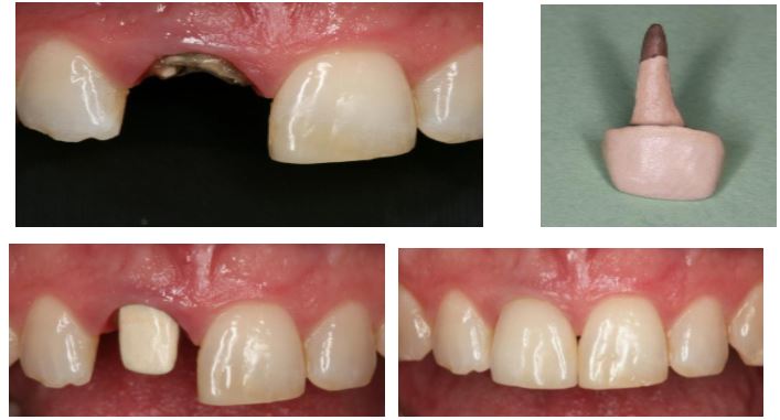
Quy trình cắm chốt răng

Quy trình cắm chốt răng thường diễn ra qua 2 buổi hẹn để đảm bảo tính chính xác và an toàn.

Buổi 1 là giai đoạn chuẩn bị và đặt chốt. Bác sĩ sẽ tạo khoảng trống trong ống tủy bằng mũi khoan chuyên dụng. Sau đó, bác sĩ lựa chọn loại chốt phù hợp và gắn chốt cố định bằng xi măng nha khoa. Tiếp theo là dựng lại cùi răng bằng vật liệu phục hồi. Cuối cùng, bác sĩ lấy dấu răng để chế tác mão sứ.

Quá trình tạo khoảng trống cắm chốt trong ống tủy bằng mũi khoan chuyên dụng

Buổi 2 là để gắn mão sứ. Sau khoảng 2–3 ngày, mão sứ được hoàn tất tại labo. Bác sĩ sẽ gắn mão lên cùi răng. Mục đích là để hoàn thiện phục hình. Việc này nhằm đảm bảo cả về thẩm mỹ và chức năng ăn nhai.

Giai đoạn lắp răng sứ hoàn thiện phục hình cho răng cắm chốt

Quy trình cắm chốt răng được thực hiện cẩn thận qua hai buổi hẹn. Nó đảm bảo răng được phục hình chắc chắn và chính xác.

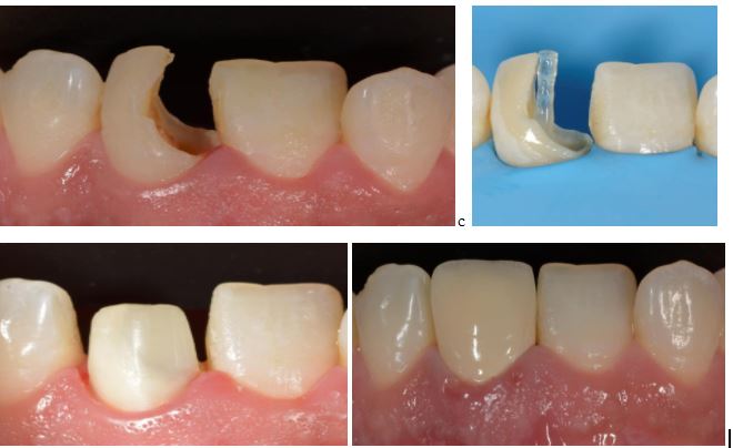
Các loại chốt răng phổ biến

Hiện nay có ba loại chốt răng chính được sử dụng.

  • Loại đầu tiên là chốt kim loại. Chốt kim loại có độ bền cao và gắn chắc. Tuy nhiên, nhược điểm là màu tối, thẩm mỹ kém và độ cứng cao. Nó có thể gây nứt chân răng.
  • Loại thứ hai là chốt sợi. Chốt sợi có màu gần giống ngà răng. Nó mang lại tính thẩm mỹ cao. Chốt sợi cũng có độ đàn hồi tốt, giúp giảm áp lực lên chân răng. Nhược điểm của nó là dễ gãy nếu chịu lực mạnh.
  • Loại thứ ba là chốt đúc. Chốt đúc dùng khi mất nhiều mô răng. Nó tăng diện tích tiếp xúc và chịu lực tốt. Tuy nhiên, quy trình thực hiện phức tạp hơn và cần nhiều thời gian.

Mỗi loại chốt răng đều có ưu và nhược điểm riêng. Việc lựa chọn loại chốt nào phụ thuộc vào tình trạng răng của từng người. 

Ưu điểm của cắm chốt răng

Cắm chốt răng mang lại nhiều ưu điểm vượt trội. Ưu điểm lớn nhất là nó giúp giữ lại răng thật. Nó hạn chế việc phải nhổ bỏ răng khi chưa cần thiết. Đây là một phương pháp bảo tồn răng hiệu quả.

Ưu điểm lớn nhất của cắm chốt răng là giúp giữ lại răng thật, hạn chế nhổ răng

Cắm chốt giúp phục hồi hình dáng và chức năng ăn nhai tự nhiên. Điều này rất quan trọng. Nó cũng đảm bảo tính thẩm mỹ, nhất là với răng cửa. Tuổi thọ của răng đã cắm chốt cũng khá lâu dài. Tuy nhiên, nó đòi hỏi phải được chăm sóc đúng cách. Nếu tuân thủ theo hướng dẫn của bác sĩ, răng có thể tồn tại nhiều năm.

Rủi ro và hạn chế

Cắm chốt răng là thủ thuật phổ biến và an toàn nhưng nó vẫn có thể tiềm ẩn rủi ro nếu thực hiện sai.

  • Rủi ro đầu tiên là việc đặt chốt lệch. Điều này có thể gây thủng chân răng.
  • Rủi ro thứ hai là việc chọn sai loại chốt. Ví dụ, chọn chốt quá cứng có thể gây nứt gãy chân răng.
  • Rủi ro thứ ba là cắm chốt trên răng hoặc xương yếu. Việc này có thể khiến răng nhanh bị lung lay.

Do đó, việc thăm khám và chụp phim X-quang để đánh giá kỹ trước khi cắm chốt là bắt buộc. Một nha khoa uy tín sẽ giúp bạn tránh được những rủi ro này. 

Chăm sóc sau khi cắm chốt răng

Để duy trì kết quả lâu dài, cô chú, anh chị nên tuân thủ các hướng dẫn chăm sóc sau điều trị.

  • Hãy chải răng 2 lần/ngày.
  • Dùng bàn chải lông mềm để tránh làm tổn thương lợi.
  • Sử dụng chỉ nha khoa để làm sạch kẽ răng.
  • Hạn chế cắn thức ăn quá cứng ở răng đã cắm chốt. Điều này giúp giảm áp lực lên răng và kéo dài tuổi thọ của nó.
  • Tái khám giúp bác sĩ kiểm tra độ bền phục hình. Bác sĩ cũng có thể phát hiện sớm các vấn đề tiềm ẩn.

Chăm sóc đúng cách là yếu tố then chốt giúp đảm bảo răng đã cắm chốt bền đẹp theo thời gian. 

Lời khuyên từ chuyên gia

Theo bác sĩ Hoàng Vũ Hiệp, cắm chốt răng là giải pháp bảo tồn tối ưu. Nó phù hợp với những răng tưởng chừng phải nhổ bỏ.  Tuy nhiên, hiệu quả chỉ đạt được khi răng được điều trị tủy đúng kỹ thuật. Chân răng và xương còn tốt cũng là yếu tố quan trọng. Cuối cùng, chốt và mão sứ phải được lựa chọn phù hợp. Mỗi loại chốt có đặc tính riêng. Do đó, việc tư vấn với bác sĩ là cần thiết. Lời khuyên của bác sĩ sẽ giúp bạn chọn giải pháp tốt nhất.

Kết luận

Cắm chốt răng không chỉ đơn thuần là một thủ thuật phục hình. Đây là giải pháp thông minh giúp giữ lại răng thật. Nó phục hồi chức năng ăn nhai và thẩm mỹ. Điều này mang lại sự tự tin trong giao tiếp và sinh hoạt hàng ngày.

Nếu cô chú, anh chị hoặc các bạn đang gặp tình trạng răng gãy, vỡ, hãy đừng vội nghĩ đến nhổ bỏ. Hãy đến nha khoa uy tín để được thăm khám và tư vấn chi tiết.

Đội ngũ bác sĩ chuyên sâu tại Nha khoa Lạc Việt Intech sẽ giúp tìm ra phương án tốt nhất. Họ sẽ đảm bảo phương án đó an toàn và bền vững cho nụ cười của mình.

Đặt lịch thăm khám tại đây!

 
Chia sẻ

Tin cùng chủ đề

Đăng ký tư vấn

Vui lòng để lại thông tin và nhu cầu của Quý Khách để được tư vấn

Đối tác của Nha khoa lạc việt intech

Osstem Implant
Osstem Implant
test
test1
Đặt lịch hẹn Messenger Liên hệ Zalo Địa chỉ