Sâu răng ở trẻ em: Nguyên nhân, dấu hiệu và cách chữa trị từ chuyên gia

Linh Vu
08/09/2025

Khi nhắc đến sâu răng ở trẻ em, không ít phụ huynh lại có suy nghĩ chủ quan, cho rằng "răng sữa đằng nào cũng thay". Tuy nhiên, chính sự thiếu quan tâm tưởng chừng vô hại này lại đang âm thầm tạo ra những vấn đề nghiêm trọng, hủy hoại nụ cười và sức khỏe của con bạn về lâu dài. Thực tế đáng báo động cho thấy, sâu răng ở trẻ không chỉ gây đau đớn, biếng ăn mà còn là nguyên nhân hàng đầu dẫn đến các vấn đề sai lệch khớp cắn, ảnh hưởng thẩm mỹ và tâm lý của trẻ khi lớn. Đã đến lúc chúng ta nhìn nhận đúng mức độ nguy hiểm của sâu răng, bởi việc phòng ngừa và điều trị sớm sẽ giúp con bạn có một nền tảng sức khỏe vững chắc cho tương lai. Bài viết này sẽ cung cấp cho bạn những kiến thức khoa học, dễ hiểu về sâu răng trẻ em, đồng thời đưa ra những lời khuyên hữu ích từ bác sĩ Nguyễn Thị Bình - chuyên gia chỉnh nha răng trẻ em tại nha khoa Lạc Việt Intech.

Tình trạng sâu răng ở trẻ em hiện nay: Lời cảnh báo từ số liệu thống kê

Tình trạng sâu răng ở trẻ em tại Việt Nam đang ở mức đáng báo động. Theo thống kê của Bộ Y tế, tỉ lệ trẻ em Việt Nam mắc các bệnh về răng miệng lên tới 85%. Đặc biệt, các khảo sát của Viện Răng Hàm Mặt Trung ương cho thấy, khoảng 80% trẻ từ 4-8 tuổi bị sâu răng sữa, một con số cao hơn nhiều so với các quốc gia khác. Tình trạng này phản ánh thực tế nhiều phụ huynh chưa thực sự chú trọng đến việc chăm sóc răng miệng cho con ngay từ khi còn nhỏ.

Sâu răng không chỉ là một bệnh lý cá biệt mà đang trở thành một vấn đề sức khỏe cộng đồng, với tỉ lệ trẻ em mắc bệnh ngày càng gia tăng. Nếu không được can thiệp kịp thời, tình trạng này sẽ để lại nhiều hậu quả nghiêm trọng về cả thể chất lẫn tinh thần.

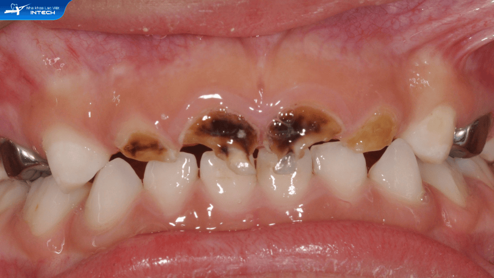
Sâu răng trẻ emSâu răng ở trẻ em

Tìm hiểu dịch vụ răng trẻ em: tại đây

Các hệ lụy nguy hiểm khi chủ quan với sâu răng trẻ em 

Sâu răng ở trẻ em không chỉ gây đau nhức mà còn tiềm ẩn nhiều biến chứng nghiêm trọng. Trước hết, răng sâu khiến trẻ biếng ăn, sụt cân, dễ dẫn đến suy dinh dưỡng. Vi khuẩn từ ổ sâu có thể lan vào cơ thể, gây ảnh hưởng đến hệ tiêu hóa, hô hấp, thậm chí dẫn đến các bệnh lý nguy hiểm như viêm cầu thận hay viêm khớp.

Không dừng lại ở đó, khi sâu răng ăn sâu vào tủy, trẻ phải đối mặt với viêm tủy, hoại tử, gây tổn thương đến mầm răng vĩnh viễn, khiến răng sau này mọc yếu và dễ hỏng. Việc mất răng sữa sớm do sâu nặng còn làm sai lệch khớp cắn, khiến răng vĩnh viễn mọc chen chúc, hô hoặc móm, ảnh hưởng thẩm mỹ và có thể phải chỉnh nha tốn kém.

Ngoài ra, hàm răng nhiều lỗ sâu, ố vàng dễ khiến trẻ tự ti, ngại giao tiếp với bạn bè, ảnh hưởng đến sự phát triển tâm sinh lý và các hoạt động xã hội.

Hậu quả sâu răng trẻ emHình ảnh răng của bé bị phá hủy hoàn toàn do sâu

Bác sĩ Nguyễn Thị Bình nhấn mạnh: "Răng sữa không chỉ đơn thuần là răng tạm thời. Chúng đóng vai trò cực kỳ quan trọng trong việc giữ chỗ cho răng vĩnh viễn, giúp trẻ phát âm chuẩn và ăn nhai tốt. Chủ quan với sâu răng sữa là bạn đang tự tay gây ra những vấn đề phức tạp và tốn kém hơn rất nhiều khi con trưởng thành."

Các dấu hiệu nhận biết sớm sâu răng ở trẻ em

Việc phát hiện sớm các dấu hiệu sâu răng sẽ giúp phụ huynh đưa trẻ đi thăm khám kịp thời, bảo vệ nụ cười của con.

  • Xuất hiện đốm trắng đục hoặc nâu trên răng: Đây là dấu hiệu chớm sâu, cho thấy men răng bắt đầu bị tổn thương. Những đốm này thường xuất hiện ở cổ răng hoặc mặt nhai.

  • Trẻ nhạy cảm khi ăn uống: Trẻ có thể kêu đau, khó chịu, nhăn mặt khi ăn hoặc uống đồ nóng, lạnh, chua hoặc ngọt. Cơn ê buốt này thường biến mất ngay khi ngừng tiếp xúc với các tác nhân kích thích.

  • Hơi thở có mùi hôi khó chịu: Vi khuẩn sâu răng phát triển trong các lỗ sâu sẽ tạo ra mùi hôi đặc trưng, ngay cả khi trẻ đã đánh răng.

  • Nướu sưng tấy, đỏ và chảy máu: Khi sâu răng đã tiến triển nặng và gây viêm nhiễm, nướu xung quanh răng sâu có thể bị sưng, chảy máu, thậm chí là tạo thành mủ.

  • Xuất hiện lỗ sâu trên thân răng: Ở giai đoạn nặng hơn, bạn có thể dễ dàng nhìn thấy các lỗ sâu màu nâu, đen trên bề mặt răng.

Các phương pháp chữa sâu răng ở trẻ em hiện nay

Tùy thuộc vào mức độ sâu răng, bác sĩ sẽ có phác đồ điều trị phù hợp, an toàn cho trẻ: 

 

  • Tái khoáng hóa: Áp dụng cho trường hợp sâu răng chớm ở giai đoạn sớm (chỉ có đốm trắng). Bác sĩ sẽ sử dụng các dung dịch chứa khoáng chất như Fluoride để tái tạo lại men răng, ngăn chặn sự tiến triển của sâu răng.

  • Hàn trám răng: Đây là phương pháp phổ biến nhất. Bác sĩ sẽ nạo bỏ phần răng sâu, làm sạch và trám lại bằng vật liệu chuyên dụng. Phương pháp này giúp bảo tồn răng thật, phục hồi chức năng ăn nhai và thẩm mỹ.

  • Điều trị tủy: Khi sâu răng đã ăn sâu vào tủy răng, gây viêm nhiễm nặng, bác sĩ sẽ phải điều trị tủy để loại bỏ phần mô bị tổn thương, sau đó hàn trám hoặc bọc sứ để bảo vệ răng.

  • Nhổ răng: Đây là phương án cuối cùng khi răng bị sâu quá nặng, không còn khả năng bảo tồn. Việc nhổ răng sẽ được bác sĩ cân nhắc kỹ lưỡng để tránh ảnh hưởng đến sự mọc của răng vĩnh viễn.

 

Điều trị sâu răng trẻ emBác sĩ tại nha khoa Lạc Việt Intech sẽ thăm khám và lên phương pháp điều trị sâu răng phù hợp, an toàn cho bé

Mức độ sâu răng Dấu hiệu nhận biết Phương pháp điều trị & Chi tiết
Giai đoạn sớm Xuất hiện đốm trắng hoặc nâu trên men răng Tái khoáng Fluoride – Áp dụng khi mới chớm sâu, giúp phục hồi men răng và ngăn sâu tiến triển.
Giai đoạn trung bình Có lỗ sâu nhỏ, ê buốt khi ăn nóng/lạnh Hàn trám răng – Bác sĩ nạo bỏ phần sâu rồi trám lại, vừa bảo tồn răng thật vừa đảm bảo thẩm mỹ.
Giai đoạn nặng Đau dữ dội, nướu sưng đỏ, có chảy máu Điều trị tủy – Loại bỏ mô viêm nhiễm trong tủy, sau đó hàn hoặc bọc răng để bảo tồn thân răng.
Giai đoạn quá nặng Răng hỏng nặng, nhiễm trùng lan rộng Nhổ răng & giữ chỗ – Giải pháp cuối cùng, kết hợp khí cụ giữ chỗ để răng vĩnh viễn mọc đúng vị trí.

Xem thêm: Cách điều trị dứt điểm viêm tuỷ răng

Cách phòng ngừa sâu răng cho trẻ em

Phòng bệnh luôn hiệu quả hơn chữa bệnh. Việc xây dựng thói quen tốt ngay từ nhỏ sẽ giúp trẻ có một hàm răng chắc khỏe đến khi trưởng thành.

Phòng ngừa sâu răng cho béPhụ huynh hãy đưa trẻ đi khám răng định kỳ để phòng ngừa sâu răng và các bệnh lý về răng miệng khác.

  • Chải răng đúng cách và đủ số lần: Hướng dẫn trẻ chải răng ít nhất 2 lần/ngày (sáng và tối) với kem đánh răng chứa Fluoride, chải theo chiều dọc hoặc xoay tròn để làm sạch mọi bề mặt. Thời gian chải răng lý tưởng là từ 2-3 phút. Phụ huynh nên giám sát và hỗ trợ trẻ đến khi con tự chải thành thạo.

  • Kiểm soát chế độ ăn uống: Hạn chế các loại thực phẩm và đồ uống có nhiều đường, tinh bột như bánh kẹo, nước ngọt, trà sữa, chè. Thay vào đó, hãy khuyến khích trẻ ăn nhiều rau củ quả và uống đủ nước lọc.

  • Không cho trẻ ngậm, bú đêm: Tránh cho trẻ ngậm thức ăn hoặc bú bình sữa vào ban đêm mà không vệ sinh răng miệng. Đây là một trong những nguyên nhân chính gây sâu răng tiến triển.

  • Thăm khám nha khoa định kỳ: Đưa trẻ đi khám răng 6 tháng/lần. Việc này giúp bác sĩ kiểm tra, phát hiện sớm các vấn đề và có biện pháp can thiệp kịp thời, bao gồm cả việc trám bít hố rãnh hay bôi Fluoride để tăng cường men răng.

Câu hỏi thường gặp về sâu răng trẻ em

1. Sâu răng sữa có cần chữa không? Có. Sâu răng sữa nếu không được điều trị kịp thời sẽ gây đau nhức, ảnh hưởng đến ăn uống và có thể gây tổn thương đến mầm răng vĩnh viễn bên dưới, khiến răng vĩnh viễn mọc lên bị lệch lạc hoặc sâu.

2. Trẻ còn nhỏ đã đánh răng được chưa? Ngay cả khi bé chưa mọc răng, bố mẹ cũng nên dùng gạc mềm vệ sinh nướu sau khi bú. Khi bé mọc răng, hãy dùng bàn chải và kem đánh răng chuyên dụng dành cho trẻ nhỏ.

3. Tại sao bé đánh răng thường xuyên mà vẫn bị sâu? Có thể do trẻ đánh răng chưa đúng cách, thời gian đánh răng quá ngắn, hoặc do chế độ ăn uống không hợp lý, thường xuyên ăn vặt đồ ngọt.

4. Dùng thuốc bắc hoặc mẹo dân gian để chữa sâu răng được không? Không. Các phương pháp này không có cơ sở khoa học, có thể làm tình trạng sâu răng nặng hơn và gây nhiễm trùng nguy hiểm.

5. Lấy cao răng cho bé có đau không? Với công nghệ hiện đại, việc lấy cao răng cho trẻ em rất nhẹ nhàng và không gây đau đớn.

Dịch vụ phòng ngừa và điều trị sâu răng tại Nha khoa Lạc Việt Intech

Nha khoa Lạc Việt Intech cung cấp các dịch vụ nha khoa chuyên sâu dành riêng cho trẻ em, với mong muốn mang đến trải nghiệm thăm khám và điều trị nhẹ nhàng, thoải mái nhất.

Điều trị sâu răng tại Nha Khoa Lạc Việt IntechĐội ngũ nha khoa Lạc Việt Intech luôn đồng hành cùng bé và gia đình trong hành trình chăm sóc răng miệng của trẻ

Các dịch vụ nổi bật:

  • Khám và tư vấn định kỳ: Các bác sĩ chuyên khoa răng trẻ em sẽ thăm khám tổng quát, theo dõi quá trình mọc răng của bé và đưa ra phác đồ phòng ngừa, điều trị phù hợp.

  • Trám bít hố rãnh và bôi Fluoride: Đây là hai phương pháp phòng ngừa hiệu quả giúp bảo vệ men răng của trẻ khỏi sự tấn công của vi khuẩn.

  • Điều trị sâu răng: Áp dụng các kỹ thuật và vật liệu nha khoa tiên tiến, an toàn để hàn trám, điều trị tủy hoặc nhổ răng sữa trong trường hợp cần thiết, đảm bảo quá trình điều trị không gây đau đớn, khó chịu cho trẻ.

  • Tiền chỉnh nha: Hỗ trợ điều trị các vấn đề lệch lạc khớp cắn ngay từ sớm, giúp định hướng sự phát triển xương hàm, ngăn ngừa các vấn đề phức tạp khi trẻ trưởng thành.

Xem thêm: 

Kết luận

Bạn có muốn con mình có một nụ cười rạng rỡ, tự tin và một hàm răng khỏe mạnh suốt đời không? Đừng chủ quan với những dấu hiệu nhỏ nhất của sâu răng.

Hãy đặt lịch hẹn khám và tư vấn miễn phí tại Nha khoa Lạc Việt Intech ngay hôm nay để được các chuyên gia nha khoa đồng hành cùng bạn chăm sóc sức khỏe răng miệng cho bé yêu!

 

Chia sẻ

Tin cùng chủ đề

Đăng ký tư vấn

Vui lòng để lại thông tin và nhu cầu của Quý Khách để được tư vấn

Đối tác của Nha khoa lạc việt intech

Osstem Implant
Osstem Implant
test
test1
Đặt lịch hẹn Messenger Liên hệ Zalo Địa chỉ