Viêm nha chu: Nguyên nhân, dấu hiệu và cách điều trị dứt điểm

Tran Hoai Nam
16/05/2025

Nếu Cô Chú, Anh Chị muốn hiểu rõ hơn về nguyên nhân gây viêm nha chu và cách điều trị hiệu quả, có thể tham khảo video chia sẻ kiến thức chi tiết từ bác sĩ tại đây: 

1. Viêm nha chu là gì? 

Viêm nha chu là một bệnh nhiễm trùng nghiêm trọng ở nướu, gây tổn thương các mô mềm và phá hủy cấu trúc xương nâng đỡ răng. Nếu không được điều trị kịp thời, viêm nha chu có thể dẫn đến những hậu quả nghiêm trọng như lung lay và mất răng vĩnh viễn.

Nguyên nhân chính gây ra viêm nha chu là sự tích tụ của cao răng – hay còn gọi là vôi răng. Cao răng không chỉ là nơi trú ngụ lý tưởng cho hàng tỷ vi khuẩn gây hại mà còn tạo ra một bề mặt khó làm sạch tạo điều kiện cho vi khuẩn tiếp tục phát triển và tấn công các mô nha chu xung quanh răng.

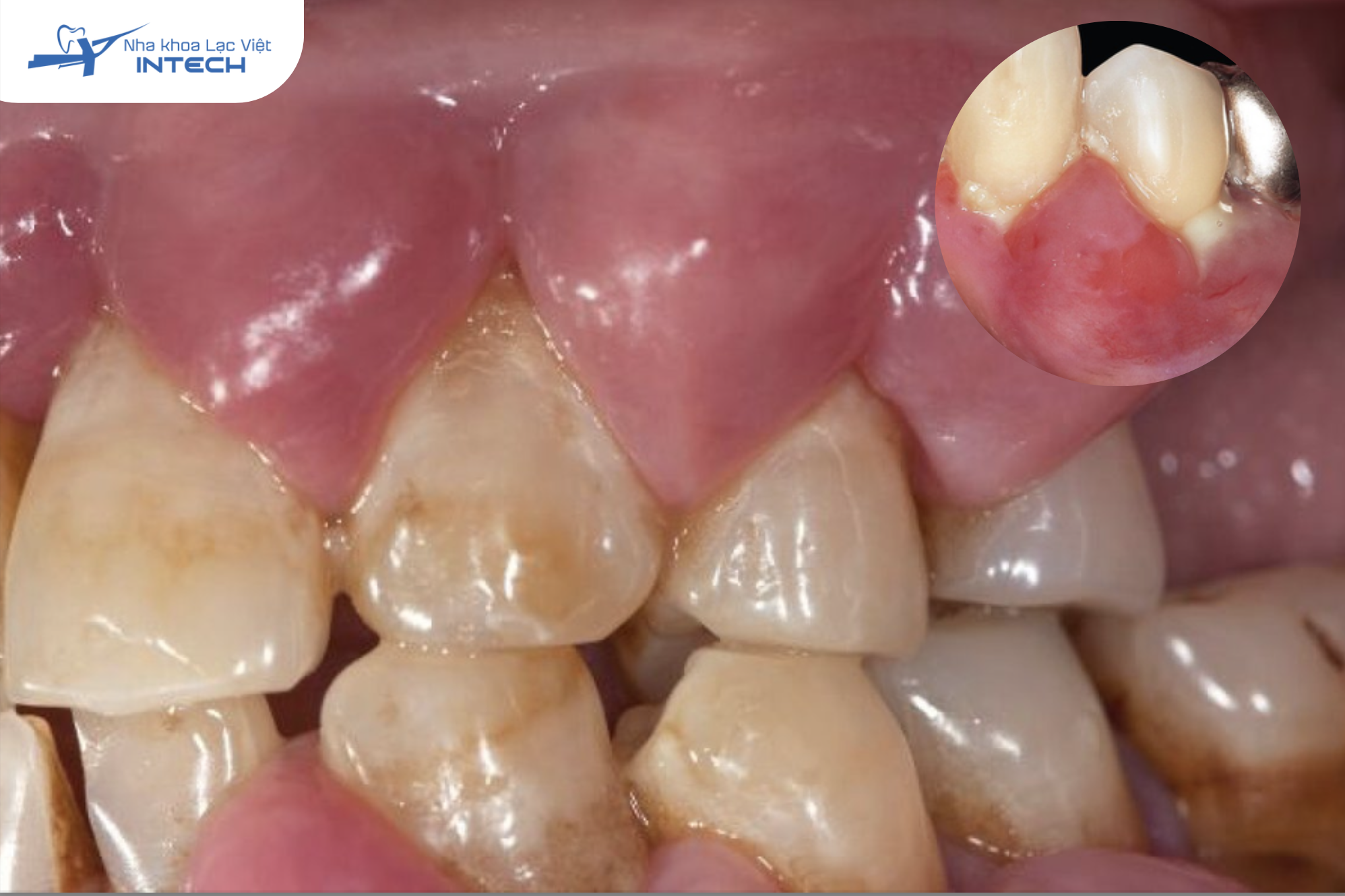
Viêm nha chu ở các giai đoạn khác nhau

2. Các dấu hiệu cảnh báo của bệnh viêm nha chu

Viêm nha chu có thể biểu hiện qua nhiều dấu hiệu khác nhau, tùy thuộc vào giai đoạn và mức độ nghiêm trọng của bệnh. 

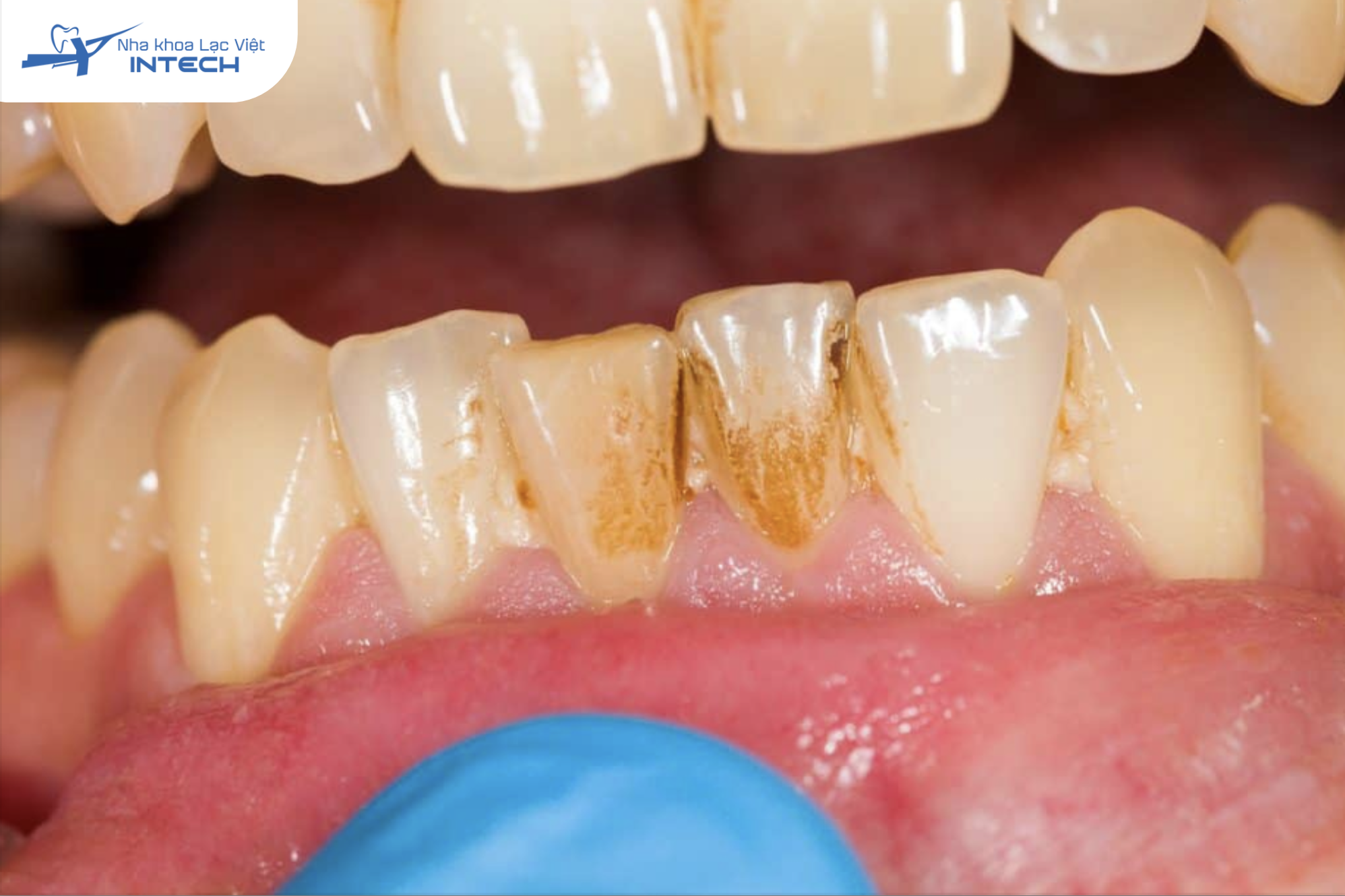
  • Màu sắc cao răng thay đổi

Cao răng ban đầu có màu trắng ngà, nhưng theo thời gian có thể chuyển sang màu vàng, nâu hoặc thậm chí đen do sự tích tụ của các chất màu từ thực phẩm, đồ uống và sự phát triển của các loại vi khuẩn khác nhau.

Cao răng chuyển sang màu nâu 

  • Lợi sưng đỏ

Vùng lợi xung quanh răng bị ảnh hưởng trở nên sưng phồng và có màu đỏ sẫm thay vì màu hồng nhạt khỏe mạnh.

  • Chảy máu chân răng

Đây là một trong những dấu hiệu sớm và thường gặp nhất của viêm nha chu. Lợi có thể chảy máu tự nhiên hoặc khi bạn chải răng, dùng chỉ nha khoa hoặc thậm chí khi ăn những thức ăn cứng.

  • Mất bám dính

Nướu có xu hướng tụt xuống, làm lộ chân răng, khiến răng trông dài hơn bình thường và tăng độ nhạy cảm với nhiệt độ.

  • Tiêu xương

Đây là một giai đoạn tiến triển của viêm nha chu, khi các mô xương nâng đỡ răng bị phá hủy. Dấu hiệu này thường không rõ ràng ở giai đoạn đầu mà chỉ được phát hiện qua phim chụp X-quang.

  • Lung lay răng

 Khi xương ổ răng bị tiêu nhiều, răng sẽ trở nên lung lay ở các mức độ khác nhau (độ 1, 2, 3), từ lung lay nhẹ theo chiều ngang đến lung lay rõ rệt theo nhiều hướng.

  • Hôi miệng

Viêm nha chu thường đi kèm với hơi thở có mùi khó chịu do sự hoạt động của các vi khuẩn kỵ khí trong các túi nha chu và sự phân hủy của các mô bị viêm.

  • Áp xe nha chu

Trong giai đoạn nặng, có thể hình thành các ổ mủ (áp xe) ở vùng nướu, gây đau nhức dữ dội và sưng tấy.

Việc nhận biết sớm các dấu hiệu này và tìm kiếm sự can thiệp nha khoa kịp thời là vô cùng quan trọng để ngăn chặn sự tiến triển của viêm nha chu và bảo vệ hàm răng khoẻ mạnh.

Áp xe ở vùng nướu

3. Các phương pháp điều trị viêm nha chu và biện pháp phòng ngừa

Việc chủ động thực hiện các biện pháp phòng ngừa đóng vai trò then chốt trong việc duy trì sức khỏe nha chu lâu dài.

Phương pháp phòng ngừa viêm nha chu

Để ngăn chặn sự hình thành và tiến triển của viêm nha chu, cô chú/anh chị cần tuân thủ các biện pháp sau:

  • Lấy cao răng định kỳ

Đây là biện pháp quan trọng nhất để loại bỏ cao răng – nguyên nhân chính gây bệnh. Tần suất lấy cao răng nên là 2-3 tháng/lần hoặc tối thiểu 6 tháng/lần, tùy thuộc vào tốc độ tích tụ cao răng của mỗi người và khuyến nghị của nha sĩ.

  • Chải răng đúng cách

Chải răng ít nhất hai lần mỗi ngày bằng bàn chải mềm và kem đánh răng có chứa fluoride, chú ý chải kỹ tất cả các bề mặt răng và dọc theo đường viền nướu.

  • Sử dụng chỉ nha khoa

Chỉ nha khoa giúp loại bỏ mảng bám và thức ăn thừa ở những kẽ răng mà bàn chải không thể tiếp cận được. Nên sử dụng chỉ nha khoa hàng ngày, đặc biệt là trước khi đi ngủ.

  • Sử dụng nước súc miệng

Nước súc miệng kháng khuẩn có thể giúp giảm lượng vi khuẩn trong miệng, nhưng không thay thế được việc chải răng và dùng chỉ nha khoa.

  • Khám răng định kỳ

Thăm khám nha sĩ ít nhất 6 tháng một lần để được kiểm tra tình trạng răng miệng và phát hiện sớm các dấu hiệu của viêm nha chu.

Phương pháp điều trị viêm nha chu

Tùy thuộc vào mức độ nặng nhẹ của bệnh, nha sĩ sẽ áp dụng các phương pháp điều trị viêm nha chu khác nhau:

  • Giai đoạn nhẹ (Viêm lợi)

 Phương pháp điều trị chủ yếu là lấy cao răng triệt để để loại bỏ nguồn kích ứng và vi khuẩn. Bệnh nhân cũng sẽ được hướng dẫn về cách vệ sinh răng miệng đúng cách và có thể được chỉ định sử dụng nước súc miệng kháng khuẩn.

  • Giai đoạn trung bình (Tiêu xương nhẹ, túi nha chu) 

Lúc này, có thể hình thành các túi nha chu – khoảng trống giữa răng và nướu, nơi vi khuẩn dễ dàng tích tụ. Phương pháp điều trị thường là nạo túi nha chu kín (phẫu thuật tối thiểu). Bác sĩ sẽ sử dụng các dụng cụ chuyên biệt để làm sạch sâu bên trong túi nha chu, loại bỏ cao răng và mô viêm.

  • Giai đoạn nặng (Tiêu xương nhiều, lung lay răng)

Trong giai đoạn này, cần đến các phương pháp phẫu thuật nha chu phức tạp hơn. Bác sĩ sẽ tiến hành mở vạt lợi để tiếp cận và làm sạch sâu các bề mặt chân răng bị nhiễm trùng, loại bỏ mô viêm và có thể kết hợp ghép mô mềm hoặc sử dụng các chất kích thích tái bám dính (endogen) để khuyến khích sự phục hồi của các mô nha chu bị tổn thương. Trong trường hợp răng bị lung lay quá nhiều và không thể phục hồi, nhổ răng có thể là giải pháp cuối cùng.

4. Phục hồi răng đã mất do viêm nha chu

Trong trường hợp viêm nha chu tiến triển nặng dẫn đến mất răng, việc phục hồi răng đã mất không chỉ giúp cải thiện thẩm mỹ mà còn khôi phục chức năng ăn nhai và ngăn ngừa các vấn đề răng miệng khác do mất răng gây ra. Tùy thuộc vào tình trạng xương còn lại sau khi nhổ răng, có hai lựa chọn phục hình chính:

  • Cấy ghép implant sớm

Nếu nền xương hàm tại vị trí răng đã nhổ còn đủ chất lượng và thể tích, bác sĩ có thể tiến hành cấy ghép implant sớm, ngay sau khi nhổ răng hoặc trong vòng vài tuần. Implant là một trụ titanium được cấy vào xương hàm, đóng vai trò như chân răng thật, và sau đó một mão răng sứ sẽ được gắn lên trên, mang lại chức năng và thẩm mỹ tương tự như răng tự nhiên.

  • Cấy ghép implant muộn

Trong trường hợp nền xương bị tiêu nhiều do viêm nha chu kéo dài, cần có thời gian để vùng nhổ răng lành thương hoàn toàn (thường là 2-3 tháng). Trước khi cấy ghép implant, có thể cần thực hiện thêm các thủ thuật ghép xương hoặc ghép mô mềm để tái tạo lại nền xương và mô nướu đủ để nâng đỡ răng đã sử dụng phương pháp cấy ghép răng implant.

Việc lựa chọn phương pháp phục hình răng nào sẽ phụ thuộc vào tình trạng cụ thể của từng bệnh nhân, đánh giá của bác sĩ nha khoa và mong muốn của người bệnh. Các phương pháp phục hình hiện đại như cấy ghép implant mang lại nhiều ưu điểm vượt trội về chức năng, thẩm mỹ và độ bền, giúp người bệnh lấy lại sự tự tin và chất lượng cuộc sống.

Nếu Cô Chú, Anh Chị đang gặp tình trạng nướu sưng đỏ, chảy máu chân răng, hôi miệng kéo dài hay răng bắt đầu lung lay – đó có thể là dấu hiệu của bệnh viêm nha chu. Đừng chủ quan hay chần chừ thêm! Hãy liên hệ ngay với Nha khoa Lạc Việt Intech để được thăm khám, chẩn đoán chính xác và tư vấn phương án điều trị phù hợp – an toàn, nhẹ nhàng và kịp thời, giúp ngăn ngừa nguy cơ tiêu xương, mất răng về sau.

Hệ thống chi nhánh Nha khoa Lạc Việt Intech:

  • TP. HCM: Số 90 - 92 Ngô Gia Tự, Phường 9, Quận 10, TP. HCM
  • Hà Nội:
    • Số 91 Phố Huế, Hai Bà Trưng, Hà Nội
    • Số 168 Đường Láng, Q. Đống Đa, Hà Nội
    • Số 426 Minh Khai, Q. Hai Bà Trưng, Hà Nội
    • Số 27 Nguyễn Văn Huyên, Q. Cầu Giấy, Hà Nội
  • Nghệ An: Số 24 Cao Thắng, P. Hồng Sơn, TP Vinh, Nghệ An
  • Hải Phòng: 107 Tô Hiệu, Lê Chân, TP Hải Phòng
Chia sẻ

Tin cùng chủ đề

Đăng ký tư vấn

Vui lòng để lại thông tin và nhu cầu của Quý Khách để được tư vấn

Đối tác của Nha khoa lạc việt intech

Osstem Implant
Osstem Implant
test
test1
Đặt lịch hẹn Messenger Liên hệ Zalo Địa chỉ