Viêm lợi có mủ là gì? Nguyên nhân, triệu chứng và cách chữa trị dứt điểm

Quản trị viên
26/12/2022

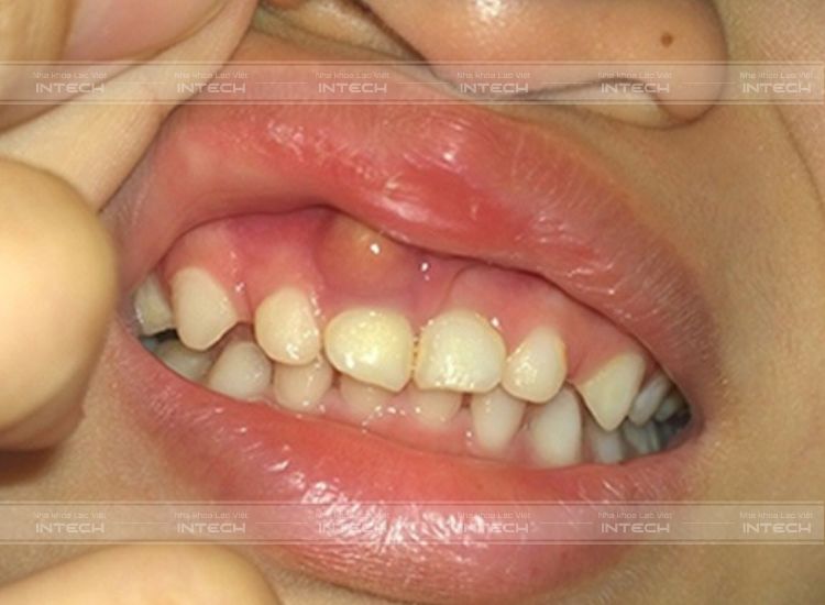
Thế nào là viêm lợi mủ?

Hình thành túi mủ trên nướu răng

Đây là bệnh lý răng miệng xảy ra trong trường hợp nướu bị nhiễm trùng, gây hôi miệng, sưng và đau nhức. Các tế bào miễn dịch trong cơ thể sẽ tập trung tại vị trí lợi bị viêm để loại bỏ  các vi khuẩn gây hại. Do đó, đây là thời điểm ổ mủ hình thành nên bởi tập hợp của các xác của tế bào và vi khuẩn còn sót lại, từ đó gây ra tình trạng nhiễm trùng và sưng tấy các mô ở chân răng.

Các triệu chứng của viêm lợi có mủ

Các triệu chứng thường gặp khi viêm lợi có mủ như sau

Răng đau nhức

Người bệnh có thể cảm nhận rõ tình trạng này nhất khi bệnh lý xuất hiện. Cơn đau sẽ dần dần lan ra cả hàm và vùng mặt khi lợi đang bị tổn thương. Nếu tình trạng trở nặng thì cơn đau nhức sẽ càng dữ dội và thường xuyên hơn, thậm chí người bệnh phải chịu cơn đau trong  hàng giờ đồng hồ.

Nướu sưng đỏ

Nướu sưng đỏ

Nướu sẽ trở nên sưng to và đỏ hơn bình thường tại vị trí xung quanh vị trí bọc mủ. Khi bệnh nhân dùng tay để ấn vào các vị trí này đôi khi sẽ thấy có dịch có mùi hôi tiết ra hoặc có thể là máu.

Sốt 

Sốt là tình trạng dễ gặp nhất khi người bệnh bị viêm ở bất kì vị trí nào trên cơ thể, và viêm nướu cũng không ngoại lệ. Khi bị viêm lợi có mủ, bạn sẽ gặp phải những cơn sốt nhẹ trong vài ngày. Trong trường hợp sốt nặng và dai dẳng, bạn cần đến ngay nha khoa để được thăm khám và điều trị, tránh để xảy ra các biến chứng nguy hiểm, ảnh hưởng đến sức khỏe của bản thân.

Ăn nhai đau đớn

Cảm giác ăn không ngon miệng khi lợi có mủCảm giác ăn không ngon miệng khi lợi có mủ

Khả năng ăn uống sẽ bị ảnh hưởng rất nhiều khi lợi và răng bị tổn thương. Lúc này, người bệnh sẽ cảm thấy đau buốt khi ăn nhai, đặc biệt là các đồ ăn nóng hoặc lạnh. Tình trạng này sẽ diễn ra ngày càng thường xuyên và với mức độ tăng dần nếu không được xử lý nhanh nhất.

Hơi thở có mùi

Vi khuẩn gây ra nướu răng có mủ vẫn đang sinh sôi và  phát triển, hơi thở có mùi là triệu chứng mà người bệnh không thể tránh khỏi. Tuy nhiên, nếu hôi miệng không tìm ra được nguyên nhân, bạn cũng nên đi thăm khám, kiểm tra để tìm được lý do gây bệnh và điều trị kịp thời.

Sưng ở mặt, má và hạch ở cổ

Viêm lợi có mủ không chỉ ảnh hưởng và tổn thương tại chỗ mà còn gây phiền toái cho các vị trí lân cận như mặt hoặc cổ xuất hiện hạch sưng to. Khi xuất hiện tình trạng này,  người bệnh cần được chăm sóc và theo dõi bởi các bác sĩ.  

Nguyên nhân gây ra viêm lợi răng có mủ

Vệ sinh răng miệng chưa đúng cách

Nguyên nhân đầu là do việc vệ sinh răng miệng không đúng cách. Do đó, các mảng bám vẫn còn sót lại ở trong răng miệng và vôi răng phát triển nhanh chóng. Tạo điều kiện thuận lợi cho vi khuẩn có hại cho răng nướu sinh sôi và phát triển nhanh, gây ra các bệnh như viêm lợi. Nếu không được điều trị kịp thời, lâu ngày sẽ trở thành viêm sưng nướu răng có mủ.

Thói quen ăn uống các thực phẩm có nhiều chất ngọt

Thường xuyên các thực phẩm chứa nhiều đường như bánh kẹo, nước có ga,… cũng là nguyên nhân gây nên viêm lợi có mủ. Đường là tác nhân gây ra tình trạng tổn thương nướu, tạo nên môi trường tốt cho sự xâm nhập và gây viêm nhiễm cho vi khuẩn.

Mắc các bệnh lý khác

Những người có tiền sử bệnh lý như  tiểu đường hoặc các bệnh tự miễn dịch,… thường có sức đề kháng kém nên nguy cơ cao gặp tình trạng nhiễm trùng. Do vậy, vi khuẩn dễ dàng xâm nhập vào tủy răng và các mô mềm trong răng gây ra bệnh viêm sưng nướu răng có mủ.

Ở một số trường hợp, phụ nữ mang thai cũng là một trong những đối tượng dễ mắc cài bệnh lý về răng miệng, bởi hooc môn sinh dục bị thay đổi, ảnh hưởng xấu đến hệ thống miễn dịch so với bình thường.

Điều trị viêm lợi có mủ hiệu quả

Viêm nướu có mủ là bệnh lý có quá trình phát triển từ mức độ nhẹ đến nặng. Tùy vào từng giai đoạn, các bác sĩ sẽ chỉ định phác đồ điều trị khác nhau. Tuy nhiên, để có thể điều trị dứt điểm, bạn cần phải loại bỏ dứt điểm các nguyên nhân gây bệnh, cao răng là một ví dụ. 

Bên cạnh đó, việc điều trị tại nhà không được các bác sĩ khuyến khích thực hiện, bởi đây chỉ là phương pháp hỗ trợ, giảm đau tạm thời. Thậm chí, còn xảy ra những biến chứng nguy hiểm nếu lạm dụng phương điều trị tại nhà.

Giai đoạn đầu

Mức độ bệnh trong giai đoạn này còn khá nhẹ nên bác sĩ sẽ thường chỉ định sử dụng thuốc kháng sinh để chống phù nề. Bên cạnh đó, bác sĩ còn cắt thêm loại thuốc giảm đau để người bệnh thoải mái hơn.

Giai đoạn ổn định

Khi đã điều trị ổn định tình trạng viêm lợi có mủ, bác sĩ sẽ có phác đồ chữa trị dứt điểm để ngăn ngừa tình trạng tái phát. Do đó, ở giai đoạn này, các bác sĩ thường sẽ hướng dẫn lại cách chăm sóc răng miệng đúng cách và tiến hành lấy sạch cao răng  để hỗ trợ  làm sạch ổ viêm để bệnh tình thuyên giảm nhanh chóng hơn.

Ngăn ngừa viêm sưng nướu răng có mủ

Khám chữa tại nha khoa là biện pháp điều trị viêm lợi có mủ hiệu quả nhấtKhám chữa tại nha khoa là biện pháp điều trị viêm lợi có mủ hiệu quả nhất

Để ngăn ngừa bệnh lý răng miệng này, bạn cần biết được các nguyên nhân gây ra để có các phương pháp phòng ngừa hiệu quả nhất. Hãy bắt đầu bằng cách chải răng miệng đúng cách, kỹ càng và vệ sinh khoang miệng thường xuyên. Ngoài ra, lấy vôi răng định kỳ cũng là một trong những biện pháp hữu hiệu để có thể phòng chống các bệnh lý về răng miệng..

Đặc biệt, khi phát hiện các dấu hiệu của viêm lợi có mủ, bạn nên đến các địa chỉ nha khoa để các bác sĩ có thể thăm khám và điều trị kịp thời, ngăn chặn các biến chứng nguy hiểm có thể xảy ra. Ngoài ra, nếu bạn đang muốn làm răng cắm implant thì Lạc Việt Intech chính là địa chỉ uy tín mà bạn có thể lựa chọn.

Nha khoa Lạc Việt Intech là một trong những trung tâm khám và điều trị các bệnh về răng miệng uy tín tại Hà Nội. Tại đây quy tụ đội ngũ bác sĩ chuyên gia hàng đầu, dày dặn kinh nghiệm kết hợp với công nghệ điều trị tiến tiến cùng máy móc hiện đại sẽ giúp bạn có kết quả điều trị hiệu quả nhất.

Để được tư vấn và giải đáp chi tiết hơn về bệnh lý viêm lợi có mủ, bạn có thể liên hệ với Lạc Việt Intech qua hotline 19006421 để được hỗ trợ nhanh chóng.

 

Chia sẻ

Tin cùng chủ đề

Đăng ký tư vấn

Vui lòng để lại thông tin và nhu cầu của Quý Khách để được tư vấn

Đối tác của Nha khoa lạc việt intech

Osstem Implant
Osstem Implant
test
test1
Đặt lịch hẹn Messenger Liên hệ Zalo Địa chỉ