6 điều cần biết về ưu nhược điểm bọc răng sứ trước khi làm

Tran Hoai Nam
06/08/2025

Nếu cô chú anh chị muốn tìm hiểu thêm về ưu nhược điểm của bọc răng sứ, có thể thao khảo video chia sẻ của bác sĩ tại đây: 

1. Bọc răng sứ là gì?

Bọc răng sứ là kỹ thuật sử dụng mão răng sứ chụp lên trên thân răng thật đã được mài nhỏ. Phương pháp này giúp phục hồi hình dáng, màu sắc và chức năng ăn nhai của răng. Răng sứ có nhiều loại như răng sứ kim loại, răng sứ toàn sứ, răng sứ titan… và mỗi loại sẽ có ưu điểm và nhược điểm của bọc răng sứ khác nhau.

Phương pháp này thường được chỉ định trong các trường hợp:

  • Răng bị vỡ, mẻ lớn
  • Răng sâu nặng cần phục hồi sau điều trị tuỷ
  • Răng thưa, răng hô nhẹ
  • Răng ố vàng nặng không tẩy trắng được
  • Răng đã trám nhiều lần nhưng không hiệu quả

Bọc răng sứ giúp khắc phục các khuyết điểm về răng và bảo vệ răng thật

Bọc răng sứ giúp khắc phục các khuyết điểm về răng và bảo vệ răng thật

2. Ưu điểm của bọc răng sứ

2.1 Cải thiện thẩm mỹ rõ rệt

Răng sứ hiện đại ngày nay không còn được chế tác hoàn toàn thủ công như trước mà được hỗ trợ bởi công nghệ CAD/CAM (thiết kế và chế tạo răng sứ bằng máy tính). Với công nghệ này, bác sĩ sẽ sử dụng máy quét trong miệng để lấy dấu răng 3D một cách chính xác đến từng micromet và tạo ra mão răng sứ từ phôi sứ nguyên khối với độ chính xác gần như tuyệt đối.

Theo thống kê từ các nghiên cứu nha khoa quốc tế, răng sứ chế tác bằng công nghệ CAD/CAM có độ sát khít với cùi răng lên đến 97–99%, hạn chế tối đa khe hở giữa răng sứ và răng thật – nguyên nhân chính gây viêm lợi, giắt thức ăn hay hôi miệng. Ngoài ra, màu sắc và hình thể răng cũng được thiết kế dựa trên thư viện dữ liệu sinh học, giúp răng sứ có độ trong mờ và tự nhiên giống răng thật đến 95%, khó phân biệt bằng mắt thường.

Răng sứ được ưa chuộng vì cải thiện thẩm mỹ rõ rệt

Răng sứ được ưa chuộng vì cải thiện thẩm mỹ rõ rệt

2.2 Phục hồi chức năng ăn nhai

Khác với phương pháp trám răng hoặc dán veneer – vốn chỉ tác động lên bề mặt ngoài của răng – bọc răng sứ là kỹ thuật chụp mão sứ bao phủ toàn bộ thân răng thật đã được mài. Nhờ đó, răng được gia cố chắc chắn từ trong ra ngoài, tăng khả năng chịu lực lên tới 800–1.200 MPa (cao gấp 4–5 lần răng thật). Điều này giúp người dùng ăn nhai thoải mái với cả thực phẩm cứng mà không lo răng yếu, sứt mẻ hay vỡ như khi chỉ trám thông thường.

Bọc răng sứ phục hồi chức năng ăn nhai tốt hơn các phương pháp khác

Bọc răng sứ phục hồi chức năng ăn nhai tốt hơn các phương pháp khác

2.3 Bảo vệ răng thật

Sau khi được mài, răng thật sẽ được bao bọc hoàn toàn bởi lớp mão sứ bên ngoài, giúp ngăn chặn vi khuẩn, mảng bám và các tác động cơ học như lực nhai mạnh. Lớp bảo vệ này đặc biệt quan trọng với những răng đã điều trị tủy hoặc bị sâu nặng, vốn đã yếu và dễ tổn thương hơn bình thường.

2.4 Độ bền cao

Nếu được phục hình đúng kỹ thuật và chăm sóc hợp lý, răng sứ toàn sứ có thể duy trì độ bền từ 10–15 năm. Đặc biệt, với các dòng sứ cao cấp như Emax hoặc Lava, tuổi thọ có thể kéo dài lên tới 20 năm hoặc hơn mà vẫn đảm bảo tính thẩm mỹ và chức năng ăn nhai.

2.5 Không bị đổi màu theo thời gian

Khác với răng thật có cấu trúc men răng xốp nhẹ, dễ bị nhiễm màu bởi các thực phẩm và đồ uống sẫm màu như cà phê, trà, rượu vang hay thuốc lá, răng sứ có bề mặt được nung ở nhiệt độ cao nên rất nhẵn, bóng và ít bám màu. Lớp men sứ không thấm nước, không hấp thụ chất tạo màu, giúp răng luôn giữ được độ trắng sáng ổn định theo thời gian. Chính khả năng chống ố màu vượt trội này là một trong những ưu điểm nổi bật khi bọc răng sứ, đặc biệt được ưa chuộng bởi những người thường xuyên tiếp xúc với các tác nhân gây xỉn màu răng.

3. Nhược điểm của bọc răng sứ

Bên cạnh nhiều ưu điểm, bọc răng sứ vẫn tồn tại một số hạn chế. Việc hiểu rõ các nhược điểm của bọc răng sứ giúp cô chú anh chị chuẩn bị tâm lý và lựa chọn phương án phù hợp.

3.1 Phải mài răng thật

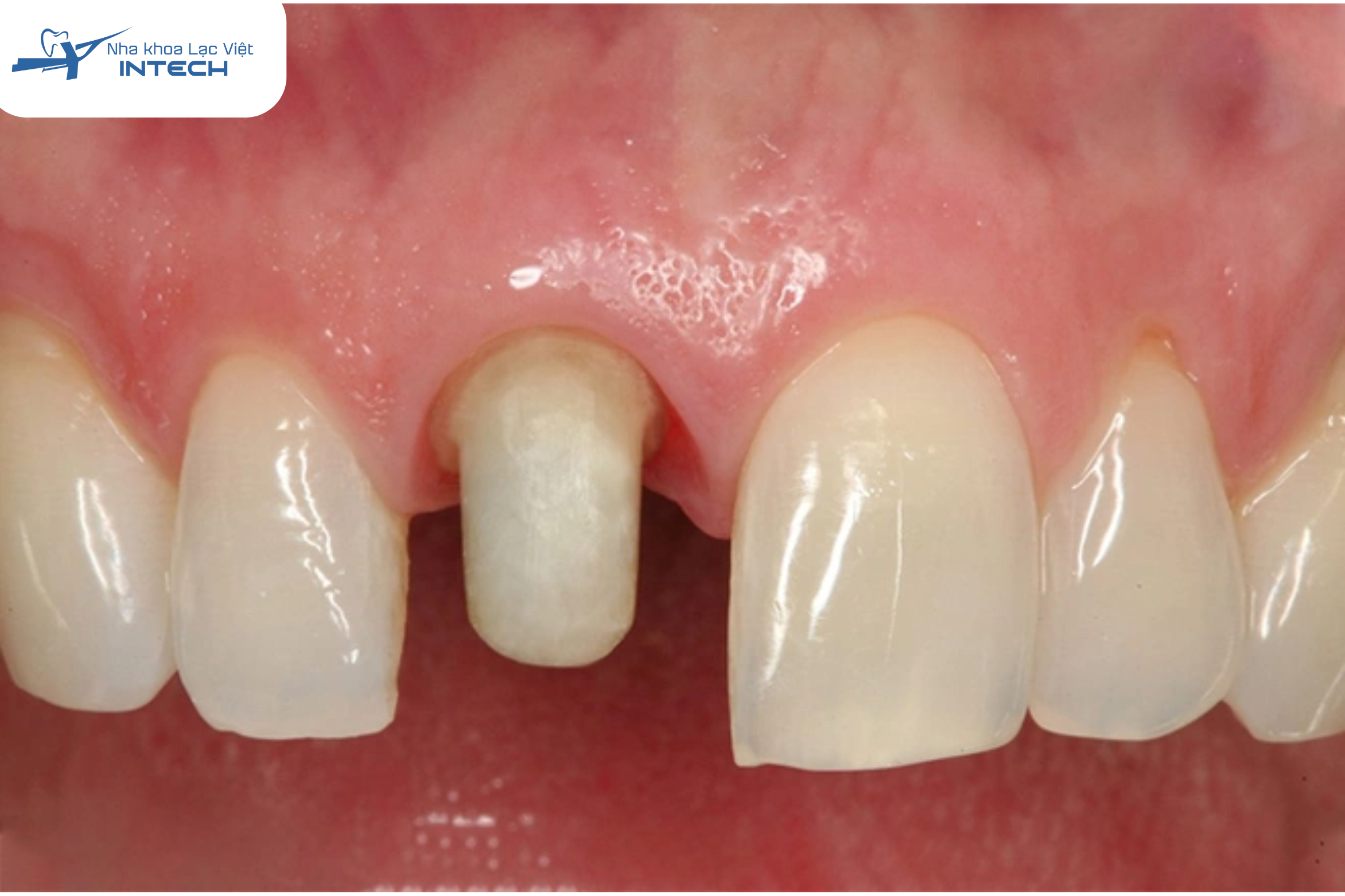
Để có thể chụp mão sứ lên răng, bác sĩ buộc phải mài một phần mô răng thật – thường từ 0,6mm đến 1,5mm tuỳ vào loại răng sứ và tình trạng răng của bệnh nhân. Đây là bước bắt buộc trong quy trình bọc răng sứ, nhằm tạo đủ khoảng trống cho mão sứ ôm sát và không gây cộm cấn. Tuy nhiên, việc mài răng đồng nghĩa với việc răng thật đã bị mất một phần cấu trúc vĩnh viễn và không thể phục hồi như ban đầu.

Nếu quy trình này được thực hiện bởi bác sĩ thiếu kinh nghiệm hoặc không sử dụng công nghệ hỗ trợ chính xác, có thể dẫn đến nhiều biến chứng như: mài quá sâu làm lộ ngà răng, gây ê buốt kéo dài, thậm chí ảnh hưởng đến tủy răng. Theo thống kê từ Hiệp hội Nha khoa Thẩm mỹ Quốc tế (AACD), khoảng 12–15% bệnh nhân bọc răng sứ gặp tình trạng ê buốt hoặc viêm tủy do mài răng không đúng kỹ thuật. Ngoài ra, mài quá mức cũng làm răng thật trở nên yếu, dễ gãy vỡ về sau nếu không được bảo vệ đúng cách.

Bọc răng sứ phải mài răng thật khá nhỏ, nếu bác sĩ thiếu kinh nghiệm sẽ dẫn đến nhiều biến chứng

Bọc răng sứ phải mài răng thật khá nhỏ, nếu bác sĩ thiếu kinh nghiệm sẽ dẫn đến nhiều biến chứng

3.2 Dễ gây viêm lợi nếu không chăm sóc đúng cách

Sau khi bọc răng sứ, khu vực tiếp giáp giữa mão sứ và nướu – còn gọi là viền lợi – trở thành nơi dễ tích tụ thức ăn, mảng bám và vi khuẩn nếu không được vệ sinh kỹ lưỡng. Theo thời gian khu vực này có thể bị kích ứng, sưng đỏ, thậm chí dẫn đến viêm lợi hoặc viêm quanh răng sứ.

 Một số nghiên cứu nha khoa ghi nhận rằng khoảng 18–22% người bọc răng sứ gặp tình trạng viêm lợi mức độ nhẹ đến trung bình sau 6–12 tháng, chủ yếu do thói quen vệ sinh răng miệng chưa đúng. 

Đây là một nhược điểm phổ biến của việc bọc răng sứ, thường gặp ở những người chủ quan hoặc không được bác sĩ hướng dẫn kỹ lưỡng sau khi phục hình.

3.3 Chi phí cao hơn các phương pháp khác

So với các phương pháp như trám răng, dán veneer hay tẩy trắng, bọc răng sứ có mức chi phí cao hơn đáng kể do đòi hỏi kỹ thuật chính xác, công nghệ hiện đại và vật liệu cao cấp. Giá bọc răng sứ dao động từ 1 triệu đến hơn 10 triệu đồng/răng, tùy vào loại sứ (kim loại, titan, toàn sứ hay sứ cao cấp như Emax, Lava). Cũng như uy tín và tay nghề của nha khoa thực hiện. 

Với những ai cần bọc nhiều răng để cải thiện toàn bộ hàm, tổng chi phí có thể lên đến hàng chục triệu đồng – đây là một yếu tố khiến nhiều người còn đắn đo khi cân nhắc lựa chọn phương pháp này.

Bọc răng sứ có chi phí khá cao so với các phương pháp khác

Bọc răng sứ có chi phí khá cao so với các phương pháp khác

3.4 Có thể gặp biến chứng sau một thời gian

Nếu kỹ thuật phục hình không chuẩn hoặc dùng răng sứ kém chất lượng, người bọc răng sứ có thể gặp nhiều biến chứng:

  • Ê buốt, đau nhức kéo dài: Do mài răng quá sâu hoặc mão sứ lắp không sát, gây áp lực lên tủy răng.
  • Viêm quanh răng sứ: Viền sứ không khít khiến thức ăn giắt lại, tạo môi trường cho vi khuẩn gây viêm lợi, viêm nha chu.
  • Tụt lợi, lộ chân răng: Thường xảy ra khi viền sứ không đúng sinh lý hoặc chăm sóc không tốt.
  • Gãy, sứt răng sứ: Gặp ở răng sứ kém chất lượng hoặc khớp cắn sai, gây vỡ sau thời gian sử dụng.
  • Hôi miệng: Do mảng bám tích tụ ở rìa mão sứ không sát khít với lợi.

4. Có nên bọc răng sứ không? 

Việc quyết định có nên bọc răng sứ hay không cần dựa vào nhu cầu thẩm mỹ, chức năng ăn nhaitình trạng răng miệng hiện tại. Không phải ai cũng phù hợp để thực hiện phương pháp này, bởi mỗi trường hợp sẽ ảnh hưởng khác nhau đến ưu nhược điểm của bọc răng sứ.

4.1 Những trường hợp nên bọc răng sứ

  • Răng bị vỡ, mẻ lớn: Khi phần thân răng bị tổn thương nặng và không thể phục hồi bằng trám composite, bọc sứ sẽ giúp bảo vệ răng thật và phục hồi hình dáng ban đầu.
  • Răng sâu đã điều trị tuỷ: Sau khi lấy tuỷ, răng thường giòn, dễ vỡ. Bọc sứ giúp củng cố và ngăn ngừa gãy răng trong quá trình ăn nhai.
  • Răng bị nhiễm màu nặng: Những trường hợp nhiễm màu tetracycline, fluor cao hoặc răng vàng bẩm sinh không thể cải thiện bằng tẩy trắng thì bọc sứ là lựa chọn hiệu quả hơn.
  • Răng thưa, lệch nhẹ, hô nhẹ: Khi không muốn niềng răng kéo dài, bọc sứ có thể giúp điều chỉnh hình thể và tạo khớp cắn đều đặn hơn một cách nhanh chóng.
  • Mong muốn cải thiện toàn diện nụ cười: Những ai theo đuổi nụ cười thẩm mỹ (smile makeover) thường lựa chọn bọc sứ để cải thiện màu sắc, kích thước và độ cân đối của răng.

4.2 Những trường hợp nên cân nhắc kỹ trước khi bọc răng sứ

  • Răng còn khoẻ mạnh, chỉ bị ố nhẹ: Nếu răng vẫn chắc chắn, không tổn thương nhiều, có thể lựa chọn tẩy trắng hoặc dán veneer để giữ lại mô răng thật.
  • Ngại việc mài răng: Vì bọc sứ yêu cầu mài mô răng vĩnh viễn, những ai muốn bảo tồn tối đa răng thật nên cân nhắc kỹ.
  • Chưa đủ tài chính: Bọc nhiều răng sứ, đặc biệt là toàn sứ cao cấp, có chi phí khá cao. Người chưa sẵn sàng tài chính nên lùi lại để lựa chọn kỹ càng hơn.
  • Dị ứng kim loại: Những người có tiền sử dị ứng với kim loại không nên sử dụng răng sứ kim loại hoặc sứ hợp kim titan mà cần chọn loại toàn sứ để đảm bảo an toàn.

Nếu cô chú anh chị thuộc nhóm cần cân nhắc, hãy chủ động thăm khám tại nha khoa uy tín để được chụp phim, đánh giá cụ thể và được bác sĩ tư vấn cá nhân hóa. Việc hiểu rõ ưu nhược điểm của việc bọc răng sứ sẽ giúp cô chú anh chị đưa ra quyết định chính xác, tránh những rủi ro không đáng có.

6. Cách hạn chế nhược điểm và tăng hiệu quả khi bọc răng sứ

Để phát huy tối đa ưu điểm của bọc răng sứ và hạn chế các rủi ro không mong muốn, cô chú anh chị cần lưu ý một số điểm quan trọng sau:

  • Lựa chọn nha khoa uy tín, bác sĩ có chuyên môn cao: Tay nghề bác sĩ ảnh hưởng trực tiếp đến độ khít sát, chức năng ăn nhai và tuổi thọ của răng sứ. Hãy chọn cơ sở có đội ngũ bác sĩ giàu kinh nghiệm, hệ thống thiết bị hiện đại và quy trình điều trị rõ ràng.
  • Sử dụng chất liệu răng sứ phù hợp: Tùy vào cơ địa, nhu cầu thẩm mỹ và khả năng tài chính, cô chú anh chị nên lựa chọn loại sứ chất lượng cao, có độ tương thích sinh học tốt để tránh dị ứng, hôi miệng hay viêm nướu về sau.
  • Duy trì thói quen chăm sóc răng miệng đúng cách: Hãy đánh răng đều đặn 2–3 lần mỗi ngày bằng bàn chải lông mềm, kết hợp chỉ nha khoa và nước súc miệng để làm sạch kẽ răng. Đồng thời, nên khám răng định kỳ 6 tháng/lần để kiểm tra tình trạng răng sứ và xử lý sớm các vấn đề nếu có.
  • Hạn chế tác động mạnh lên răng: Tránh nhai vật cứng như đá lạnh, xương, hạt cứng; hạn chế đồ quá nóng hoặc quá lạnh để ngăn nứt vỡ sứ, giảm hiện tượng ê buốt.

Việc tuân thủ đúng các hướng dẫn trên sẽ giúp cô chú anh chị kéo dài tuổi thọ răng sứ, giữ hàm răng luôn khỏe đẹp và tránh được các biến chứng không mong muốn sau khi bọc.


Địa chỉ Nha khoa uy tín để bọc răng sứ

Việc lựa chọn một nha khoa uy tín là yếu tố then chốt để đảm bảo thành công của ca bọc răng sứ và tránh xa những hậu quả bọc răng sứ không mong muốn. 

Một trong những hệ thống nha khoa được nhiều chuyên gia và khách hàng đánh giá cao về chất lượng điều trị và sự chuyên nghiệp là Nha Khoa Lạc Việt Intech

Với phương châm "Dẫn đầu chất lượng điều trị", Lạc Việt Intech đã và đang xây dựng niềm tin vững chắc bằng cách tập trung vào ba trụ cột chính: đội ngũ bác sĩ chuyên môn cao, hệ thống trang thiết bị hiện đại, và quy trình điều trị chuẩn y khoa.

Nha khoa Lạc Việt Intech được nhiều người tin tưởng và chọn lựa để bọc răng sứ thẩm mỹ

Nha khoa Lạc Việt Intech được nhiều người tin tưởng và chọn lựa để bọc răng sứ thẩm mỹ

Để được thăm khám và tư vấn chi tiết về tình trạng răng miệng của cô chú anh chị, cũng xử lý các vấn đề liên quan về bọc răng sứ, hãy đặt lịch hẹn với đội ngũ chuyên gia giàu kinh nghiệm tại Nha khoa Lạc Việt Intech ngay hôm nay! 

  • Hotline: 0866.38.0033 (hoặc 1900.6421)

 

 

Chia sẻ

Tin cùng chủ đề

Đăng ký tư vấn

Vui lòng để lại thông tin và nhu cầu của Quý Khách để được tư vấn

Đối tác của Nha khoa lạc việt intech

Osstem Implant
Osstem Implant
test
test1
Đặt lịch hẹn Messenger Liên hệ Zalo Địa chỉ