Tụt nướu răng: Nguyên nhân - Biểu hiện - Cách điều trị

Quản trị viên
27/12/2022

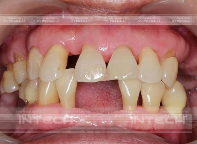
Tụt nướu hở chân răng do nguyên nhân nào?

Chân răng bị tụt lợiChân răng bị tụt lợi

Dưới đây là các nguyên nhân gây tụt lợi chân răng. Cụ thể:

  • Viêm nha chu

Đây là bệnh lý nhiễm trùng lợi do vi khuẩn gây nên. Khi bị viêm nha chu, phá hủy mô lợi và các tổ chức hỗ trợ nâng đỡ răng, dẫn đến chân răng bị tụt lợi.

  • Di truyền

Yếu tố di truyền ảnh hưởng rất lớn đến đến sức khỏe răng miệng. Theo nghiên cứu, 30% dân số mắc bệnh răng miệng do di truyền.

  • Chải răng quá mạnh:

Thực hiện đánh răng sai cách không chỉ khiến men răng bị mò và lợi cũng dần bị tụt.

  • Thay đổi nội tiết tố

Phụ nữ trong thời kỳ kinh nguyệt, mang thai và mãn kinh sẽ có sự thay đổi về nội tiết tố. Đây là thời điểm dễ vi khuẩn tấn công hơn. Do đó, thay đổi nội tiết tố cũng nguyên nhân tụt lợi chân răng ở phụ nữ.

  • Hút thuốc lá:

Thói quen hút thuốc lá khiến vi khuẩn tích tụ nhiều trong khoang miệng. Do đó, không những bị tụt lợi chân răng mà còn là những đối tượng dễ gặp phải các bệnh về răng miệng khác.

  • Thói quen xấu

Thói quen nghiến răng hay siết chặt răng cũng có thể gây quá nhiều lực trên răng, khiến lợi càng ngày càng bị tụt. Đeo đồ trang sức ở môi hoặc lưỡi: Ở những vị trí này, đồ trang sức có thể ma sát và kích thích vào lợi, khiến các mô lợi dần dần bị bào mòn.

Triệu chứng khi bị tụt lợi chân răng

Tụt nướu răng kèm tình trạng sưng đỏTụt nướu răng kèm tình trạng sưng đỏ

Không chỉ bị lộ chân răng, bệnh lý này còn khiến khách hàng có những triệu chứng kèm theo như: 

  • Chảy máu chân răng sau khi đánh răng hoặc dùng chỉ nha khoa.
  • Sưng đỏ ở lợi
  • Lợi bị đau, nhạy cảm hơn bình thường
  • Hôi miệng
  • Lợi bị teo
  • Lợi bị đau hoặc khó chịu, nhạy cảm hơn bình thường.
  • Hơi thở có mùi khó chịu.
  • Răng lung lay.

Tác hại của tụt nướu chân răng

Hiện tượng các mô lợi xung quanh răng mòn đi hoặc kéo trở lại từ bề mặt răng được gọi là bệnh lý tụt lợi chân răng. Nếu không được điều trị kịp thời, bệnh lý này gây ra những hậu quả xấu ảnh hưởng đến thẩm mỹ và sức khỏe. Cụ thể:

Mất thẩm mỹ khuôn mặt

Răng sẽ trông dài hơn bình thường nếu xảy ra tình trạng tụt lợi. Đồng thời, giữa các răng tạo ra khoảng trống lớn khiến thức ăn dễ bị dắt vào. Điều này không chỉ gây mất thẩm mỹ mà còn khiến nhiều người mất tự tin trong giao tiếp hàng ngày.

Nguy cơ mất răng cao

Tụt nướu răng gây nên nguy cơ mất răng Tụt nướu răng gây nên nguy cơ mất răng 

Như đã đề cập ở trên, tụt lợi chân răng khiến răng không còn cấu trúc nâng đỡ xung quanh. Điều này khiến răng dễ bị gãy rụng. 

Răng trở lên nhạy cảm

Tụt lợi khiến ngà răng lộ ra nên răng có xu hướng nhạy cảm hơn. Khi bạn ăn uống những thực phẩm quá nóng, quá lạnh,... hay khi chải răng, bạn sẽ có cảm giác vô cùng ê buốt.

Điều trị tụt lợi chân răng theo từng giai đoạn

Tùy vào từng mức độ của bệnh lý mà bác sĩ sẽ đưa ra các phương pháp điều trị phù hợp. Cụ thể: 

Mức độ nhẹ, không kèm ê buốt:

Trường hợp này khi không kèm theo biểu hiện khó chịu nào cho người bệnh, bác sĩ sẽ tiến hành làm sạch tại vùng bị tụt lợi. Theo đó, bác sĩ sẽ loại bỏ hết các mảng bám và cao răng trên bề mặt răng cho khách hàng và tiến hành kê đơn thuốc kháng sinh để có thể  hiệu quả điều trị tốt nhất.

Mức độ nặng và kèm theo nhiều biểu hiện khó chịu

Bác sĩ sẽ tiến hành nạo túi nha chu bằng cách làm sạch sâu vi khuẩn có hại ra khỏi túi. Sau đó, khâu mô lợi tại vị trí trên gốc răng.

Hoặc nếu các mô xương nâng đã bị phá hủy, bác sĩ sẽ chỉ định tiến hành ghép xương để tái tạo lại xương và mô bị mất. Tùy vào tình trạng sức khỏe mà bác sĩ sẽ lựa chọn loại vật liệu tương thích với cơ thể của khách hàng. 

Hoặc có thể ghép mô lợi để tái tạo lại cho lợi hình dạng bình thường, phục hồi lại những hư hại cũng như ngăn ngừa dấu hiệu tụt lợi chân răng tiếp tục diễn ra.

Ngăn chặn hiện tượng tụt nướu chân răng

Chải răng đúng kỹ thuậtChải răng đúng kỹ thuật

Chăm sóc răng miệng đúng cách

  • Vệ sinh răng miệng kỹ càng, sạch sẽ bằng cách đánh răng 2 lần/ngày
  • Dùng bàn chải lông mềm để tránh làm tổn thương lợi
  • Kết hợp sử dụng thêm nước súc miệng, chỉ nha khoa để làm sạch thức ăn thừa, tiêu diệt vi khuẩn trong khoang miệng.

Loại bỏ những thói quen xấu:

  • Bỏ thuốc lá
  • Không siết chặt hay nghiến răng
  • Xây dựng chế độ ăn hợp lý, không ăn những thực phẩm gây hại cho răng

Khám răng định kỳ:

Thường xuyên thăm khám nha khoaThường xuyên thăm khám nha khoa

Để phòng tránh tụt lợi chân răng cũng như các bệnh lý về răng miệng khác, bạn nên kiểm tra sức khỏe răng miệng định kỳ tối thiểu 6 tháng/ lần. Bên cạnh đó, bác sĩ còn thăm khám, tư vấn những cách chăm sóc răng miệng tốt hơn và khắc phục những thói quen xấu.

Ngoài ra, nếu bạn đang muốn cấy ghép implant nhanh hãy liên hệ cho Lạc Việt Intech để có hàm răng đẹp nhé!

Trên đây là những kiến thức xoay quanh chủ đề tụt lợi chân răng và cách điều trị. Bệnh lý này gây ra nhiều tác hại ảnh hưởng đến thẩm mỹ, ăn nhai và cuộc sống sinh hoạt thường ngày. Do đó, nếu xuất hiện những dấu hiệu nghi ngờ của hiện tượng này, bạn hãy liên hệ tới Nha khoa Lạc Việt Intech theo hotline 1900 6421 để được tư vấn và giải đáp chi tiết nhất.



Chia sẻ

Tin cùng chủ đề

Đăng ký tư vấn

Vui lòng để lại thông tin và nhu cầu của Quý Khách để được tư vấn

Đối tác của Nha khoa lạc việt intech

Osstem Implant
Osstem Implant
test
test1
Đặt lịch hẹn Messenger Liên hệ Zalo Địa chỉ