Bọc Răng Sứ Bị Viêm Lợi, Hôi Miệng: Vì Sao Nhiều Người "Hối Hận"?

Trang Thi
27/08/2025

Bọc răng sứ ngày càng trở nên phổ biến vì khả năng mang lại một nụ cười đẹp một cách nhanh chóng. Tuy nhiên, không ít người sau khi bọc răng sứ đã phải đối mặt với những phiền toái không ngờ tới chỉ sau vài tháng.

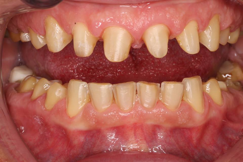
  • Viêm lợi, sưng đỏ, chảy máu chân răng.

  • Hơi thở có mùi khó chịu.

  • Tụt lợi, hở viền cổ răng, mất thẩm mỹ.

Điều đáng nói, nhiều người lầm tưởng đây là do chăm sóc răng miệng chưa kỹ, trong khi nguyên nhân thực sự có thể nằm ở kỹ thuật bọc răng sứ sai ngay từ đầu.

Theo bác sĩ Hoàng Vũ Hiệp, chuyên gia tại Nha khoa Lạc Việt Intech, những biến chứng này không chỉ ảnh hưởng đến thẩm mỹ mà còn khiến sức khỏe răng miệng suy giảm nhanh chóng, thậm chí phải tháo bỏ và làm lại từ đầu.

Vậy đâu là nguyên nhân cốt lõi của những vấn đề này? Hãy cùng chúng tôi tìm hiểu chi tiết.

Nguyên Nhân Khiến Bọc Răng Sứ Gây Viêm Lợi, Hôi Miệng

Viêm lợi sau khi bọc răng sứ là một biến chứng thường gặp. Nó bắt nguồn từ những sai lầm trong quá trình thực hiện, từ khâu thăm khám, mài răng cho đến thiết kế và lắp răng sứ.

Dưới đây là 3 nguyên nhân chính khiến bọc răng sứ dễ gây viêm lợi và hôi miệng.

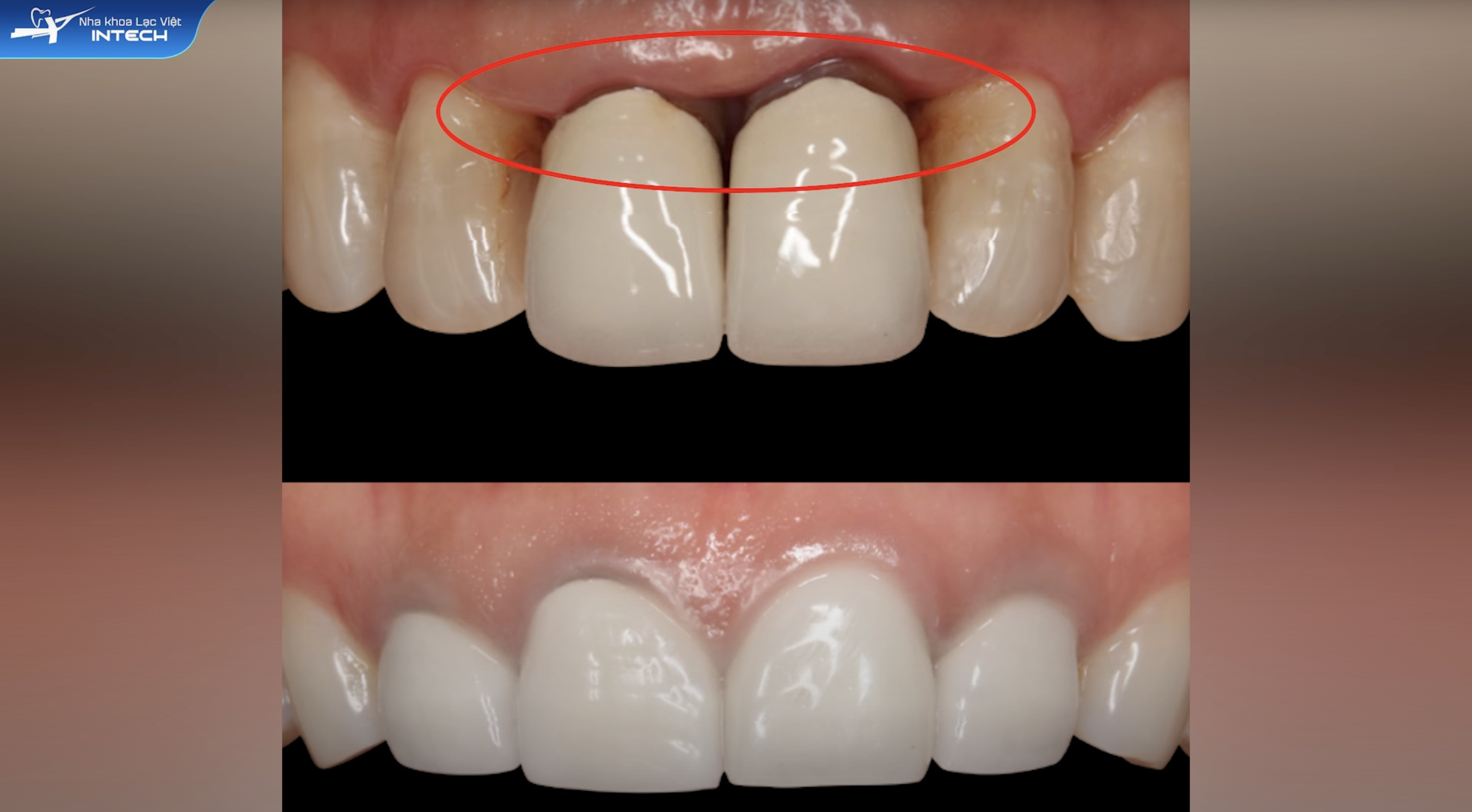
1. Răng sứ không sát khít, hở viền cổ răng

Khi mão răng sứ không ôm sát cùi răng thật, sẽ hình thành một khe hở nhỏ giữa răng sứ và lợi. Vị trí này rất khó vệ sinh, trở thành nơi lý tưởng cho vi khuẩn, mảng bám và thức ăn thừa tích tụ.

Khoảng hở răng sứ trở thành nơi lý tưởng cho vi khuẩn, mảng bám và thức ăn thừa tích tụ

Ban đầu, cô chú, anh chị và các bạn chỉ cảm thấy hơi khó chịu, nhưng lâu dần, vi khuẩn sẽ gây viêm nhiễm, dẫn đến viêm lợi, sưng đỏ và chảy máu chân răng.

Tình trạng này kéo dài còn gây ra hôi miệng dai dẳng và nguy cơ tụt lợi, tiêu xương ổ răng. Nghiêm trọng hơn, nếu không được xử lý kịp thời, chiếc răng trụ bên trong sẽ bị hỏng, cuối cùng buộc phải tháo bỏ toàn bộ.

Trong trường hợp này, việc vệ sinh hay lấy cao răng chỉ là giải pháp tạm thời. Giải pháp duy nhất là tháo bỏ mão sứ cũ và làm lại phục hình đúng kỹ thuật, đảm bảo độ sát khít tuyệt đối để ngăn vi khuẩn xâm nhập.

2. Vi phạm “khoảng sinh học”

Khoảng sinh học là một khái niệm quan trọng trong nha khoa, là vùng mô mềm quanh cổ răng có vai trò bảo vệ răng khỏi vi khuẩn và duy trì sự ổn định của lợi. Vùng này bao gồm biểu mô bám dính, mô liên kết và rãnh lợi, thường có kích thước khoảng 2-3 mm.

Việc mài răng quá nhỏ gây ra tình trạng viêm lợi mãn tính, sưng đỏ, và cuối cùng là tụt lợi

Nếu bác sĩ mài răng hoặc đặt viền răng sứ quá sâu vào mô lợi, sẽ xâm phạm khoảng sinh học. Lúc này, cơ thể sẽ phản ứng bằng cách đẩy mô lợi ra khỏi viền sứ để tự bảo vệ, gây ra tình trạng viêm lợi mãn tính, sưng đỏ, và cuối cùng là tụt lợi.

Viêm lợi do vi phạm khoảng sinh học thường tái đi tái lại nhiều lần. Lợi sẽ tụt dần, làm hở viền cổ răng sứ, gây mất thẩm mỹ nụ cười. 

Để khắc phục, bệnh nhân cần tháo bỏ răng sứ cũ. Trong một số trường hợp, bác sĩ có thể cần phẫu thuật nha chu hoặc làm dài thân răng để tái tạo lại khoảng sinh học trước khi phục hình lại với kỹ thuật đúng chuẩn.

3. Sai kỹ thuật khi thiết kế điểm tiếp xúc giữa các răng (khoảng tam giác lợi)

Một nguyên nhân khác cũng phổ biến không kém là do bác sĩ thiết kế điểm tiếp xúc giữa các răng sứ không chuẩn. Khoảng hở giữa các răng không được lấp đầy đúng cách sẽ tạo ra một "khoảng tam giác đen" ở gần lợi.

Bác sĩ thiết kế điểm tiếp xúc giữa các răng sứ không chuẩn làm răng hay bị dắt thức ăn, lâu dài gây viêm lợi

Khoảng tam giác lợi bị mất khiến thức ăn dễ dàng nhét vào kẽ răng, khó vệ sinh. Dù có dùng chỉ nha khoa hay bàn chải kẽ, việc làm sạch triệt để vẫn là một thách thức. Thức ăn tích tụ lâu ngày sẽ gây viêm lợi, khiến lợi sưng đỏ, dễ chảy máu và có thể mưng mủ. Tình trạng này kéo dài còn dẫn đến hơi thở có mùi khó chịu và ảnh hưởng nghiêm trọng đến thẩm mỹ.

Trường hợp này cũng không thể điều chỉnh tại chỗ. Cách duy nhất để giải quyết là phục hình lại răng sứ mới với hình thể và tiếp điểm chuẩn xác, đảm bảo không còn khe hở.

>> Xem thêm Quy trình sản xuất răng sứ 3D Pro

Khi Nào Cần Tháo Răng Sứ Để Làm Lại?

Nhiều người có tâm lý chịu đựng khi gặp các biến chứng sau khi bọc răng sứ, cho rằng chỉ cần vệ sinh kỹ hơn là được. Tuy nhiên, nếu nguyên nhân xuất phát từ lỗi kỹ thuật, việc trì hoãn chỉ làm tình trạng trở nên tồi tệ hơn.

Những dấu hiệu cảnh báo:

  • Lợi sưng đỏ, chảy máu thường xuyên dù đã vệ sinh răng miệng tốt.

  • Hơi thở hôi dai dẳng, không thuyên giảm.

  • Cảm giác cộm, kênh, vướng ở răng bọc sứ.

  • Tụt lợi, hở viền cổ răng sứ, thấy rõ viền đen bên dưới.

Lợi tụt, viêm đỏ, hơi thở có mùi hôi là một trong những dấu hiệu cảnh báo răng sứ hỏng

Nếu gặp những dấu hiệu này, cô chú, anh chị và các bạn nên đến nha khoa để được bác sĩ kiểm tra ngay. Nếu nguyên nhân xuất phát từ lỗi kỹ thuật ban đầu, thì giải pháp duy nhất là tháo răng sứ cũ, điều chỉnh và làm lại.

Làm Thế Nào Để Bọc Răng Sứ An Toàn, Không Gây Viêm Lợi?

Để tránh rủi ro "tiền mất tật mang", khi lựa chọn nha khoa bọc răng sứ, cô chú, anh chị và các bạn nên lưu ý những tiêu chí quan trọng sau:

1. Chọn nha khoa uy tín: Hãy tìm một cơ sở có giấy phép hoạt động, với đội ngũ bác sĩ chuyên môn cao, được đào tạo bài bản và có kinh nghiệm dày dặn.

2. Bác sĩ thực hiện đúng kỹ thuật: Bác sĩ cần tuân thủ nghiêm ngặt các quy tắc trong bọc răng sứ, đặc biệt là tôn trọng khoảng sinh học và thiết kế răng sứ sát khít tuyệt đối.

3. Trang thiết bị hiện đại: Máy scan 3D, phần mềm thiết kế CAD/CAM giúp lấy dấu răng và tạo ra răng sứ chính xác đến từng milimet, giảm thiểu sai sót do yếu tố con người.

4. Vật liệu chính hãng: Răng sứ phải có nguồn gốc rõ ràng, có chứng nhận từ nhà sản xuất uy tín trên thế giới. Đừng ngại yêu cầu nha khoa cung cấp thông tin về vật liệu sẽ sử dụng.

5. Chế độ bảo hành minh bạch: Một nha khoa chuyên nghiệp sẽ có chế độ bảo hành rõ ràng, thể hiện cam kết về chất lượng và hỗ trợ khi phát sinh sự cố.

Lựa chọn nha khoa làm răng sứ thẩm mỹ uy tín để răng bền chắc, an toàn

Trong phục hình răng sứ, chỉ một sai sót nhỏ về kỹ thuật cũng có thể gây ra biến chứng lâu dài. Vì vậy, cách tốt nhất là làm đúng ngay từ đầu – đúng chỉ định, đúng kỹ thuật và đúng thời điểm. Khi được thực hiện chuẩn, bọc răng sứ không chỉ thẩm mỹ mà còn bền chắc, an toàn nhiều năm.

>> Xem thêm bảng giá Răng sứ thẩm mỹ tại Nha khoa Lạc Việt Intech

Bọc răng sứ là một giải pháp tuyệt vời để cải thiện nụ cười, nhưng cũng tiềm ẩn nhiều rủi ro nếu thực hiện sai. 

Tại Nha khoa Lạc Việt Intech, đội ngũ bác sĩ được đào tạo chuyên sâu, trang thiết bị hiện đại, quy trình chuẩn quốc tế sẽ giúp cô chú, anh chị có nụ cười đẹp an toàn – bền vững – thẩm mỹ dài lâu.

Chia sẻ

Tin cùng chủ đề

Đăng ký tư vấn

Vui lòng để lại thông tin và nhu cầu của Quý Khách để được tư vấn

Đối tác của Nha khoa lạc việt intech

Osstem Implant
Osstem Implant
test
test1
Đặt lịch hẹn Messenger Liên hệ Zalo Địa chỉ