Cảnh báo 7 sai lầm khi bọc răng sứ khiến bạn mất tiền oan

Tran Hoai Nam
24/06/2025

Khái niệm bọc răng sứ

Bọc răng sứ (hay còn gọi là làm mão răng sứ, chụp răng sứ) là một phương pháp phục hình răng thẩm mỹ phổ biến, giúp khắc phục nhiều khuyết điểm về hình thể, màu sắc và chức năng của răng. Bằng cách sử dụng một "mão răng" được chế tác từ vật liệu sứ cao cấp, bác sĩ sẽ chụp lên toàn bộ thân răng thật đã được mài nhỏ, tạo ra một lớp vỏ bọc chắc chắn và tự nhiên.

Bọc răng sứ là một phương pháp phục hình răng thẩm mỹ phổ biến, giúp khắc phục nhiều khuyết điểm của răng

Bọc răng sứ là một phương pháp phục hình răng thẩm mỹ phổ biến, giúp khắc phục nhiều khuyết điểm của răng

Ưu điểm vượt trội của bọc răng sứ:

  • Cải thiện thẩm mỹ vượt trội: Răng sứ có màu sắc, độ trong và hình dáng giống hệt răng thật, giúp che đi các khuyết điểm như răng ố vàng, nhiễm màu kháng sinh, sứt mẻ,...

  • Phục hồi chức năng ăn nhai: Răng sứ có độ cứng chắc cao, chịu lực tốt, giúp cô chú anh chị ăn nhai thoải mái.

  • Bảo vệ răng thật: Đối với răng sâu lớn, răng đã điều trị tủy, mão sứ đóng vai trò như một lớp áo giáp bảo vệ, ngăn chặn vi khuẩn tấn công và hạn chế nguy cơ tái phát bệnh lý.

  • Độ bền cao: Tuổi thọ của răng sứ có thể kéo dài từ 10-20 năm, thậm chí lâu hơn nếu được chăm sóc đúng cách và lựa chọn loại sứ chất lượng.

  • Tương thích sinh học tốt: Các loại răng toàn sứ hiện nay được làm từ vật liệu lành tính, không gây kích ứng cho nướu và mô mềm trong khoang miệng, an toàn cho sức khỏe.

Chính vì những ưu điểm vượt trội này, bọc răng sứ đã trở thành lựa chọn hàng đầu cho những ai mong muốn sở hữu một nụ cười hoàn hảo và một sức khỏe răng miệng tốt hơn. Tuy nhiên, nếu không tìm hiểu kỹ và lựa chọn đúng, cô chú anh chị rất dễ mắc phải những sai lầm nghiêm trọng.

Những sai lầm khi bọc răng sứ

1. Lựa chọn nha khoa kém uy tín

Đây là sai lầm nghiêm trọng nhất, quyết định đến 80% sự thành công của ca bọc răng sứ. Một nha khoa không uy tín thường thiếu các yếu tố sau:

  • Thiếu bác sĩ giỏi, kinh nghiệm: Bác sĩ là yếu tố then chốt. Một bác sĩ thiếu kinh nghiệm có thể mài răng quá nhiều, không đúng tỉ lệ, gây tổn thương tủy, hoặc gắn răng sứ không khít, tạo kẽ hở cho vi khuẩn tấn công.
  • Thiếu trang thiết bị hiện đại: Công nghệ, máy móc hiện đại như máy chụp X-quang kỹ thuật số, máy CAD/CAM (thiết kế và chế tác răng sứ bằng máy tính) giúp chẩn đoán chính xác, mài răng đúng kỹ thuật, và tạo ra răng sứ có độ chính xác cao, ôm khít cùi răng.
  • Vật liệu sứ không rõ nguồn gốc, kém chất lượng: Răng sứ trôi nổi, không có chứng nhận về nguồn gốc, xuất xứ, có thể chứa tạp chất độc hại, gây kích ứng nướu, hôi miệng, hoặc nhanh chóng xuống cấp, vỡ mẻ.
  • Quy trình không chuẩn Y khoa: Quy trình bọc răng sứ cần tuân thủ nghiêm ngặt các bước vô trùng, thăm khám, mài cùi, lấy dấu, thử răng, và gắn cố định. Nha khoa không uy tín thường bỏ qua hoặc làm sơ sài các bước này, tăng nguy cơ nhiễm trùng, biến chứng sau này.

Hậu quả là răng sứ bị cộm, kênh, hở viền nướu, viêm lợi, hôi miệng, viêm tủy, thậm chí mất răng thật. Tiền mất tật mang, phải tốn kém chi phí và thời gian để khắc phục.

2. Chỉ quan tâm đến giá rẻ mà bỏ qua chất lượng

Tâm lý ham rẻ là một cái bẫy lớn khi lựa chọn dịch vụ nha khoa. Giá bọc răng sứ phụ thuộc vào nhiều yếu tố như loại sứ, công nghệ, tay nghề bác sĩ, chính sách bảo hành...

  • Răng sứ giá rẻ: Thường là răng sứ kim loại hoặc các loại sứ không rõ nguồn gốc. Răng sứ kim loại sau một thời gian sử dụng dễ bị oxy hóa, gây đen viền nướu, mất thẩm mỹ và có thể gây kích ứng. Các loại sứ kém chất lượng thì độ bền không cao, dễ vỡ, mẻ, không đảm bảo chức năng ăn nhai.
  • Chi phí dịch vụ thấp: Để giảm giá thành, các nha khoa kém uy tín thường cắt giảm chi phí vật liệu, trang thiết bị, hoặc thuê bác sĩ tay nghề thấp. Điều này trực tiếp ảnh hưởng đến chất lượng và độ an toàn của ca bọc sứ.

Răng sứ giá rẻ sau một thời gian sử dụng dễ bị oxy hóa, gây đen viền nướu, hở lợi mất thẩm mỹ

Răng sứ giá rẻ sau một thời gian sử dụng dễ bị oxy hóa, gây đen viền nướu, hở lợi mất thẩm mỹ

3. Không tìm hiểu kỹ về các loại răng sứ

Thị trường hiện nay có rất nhiều loại răng sứ với ưu nhược điểm và mức giá khác nhau. Việc không tìm hiểu kỹ có thể khiến cô chú anh chị lựa chọn loại sứ không phù hợp với nhu cầu và tình trạng răng miệng của mình.

  • Răng sứ kim loại: Có khung sườn làm bằng hợp kim kim loại (Cr-Co, Ni-Cr, Titan) và phủ sứ bên ngoài. Ưu điểm là chi phí thấp, nhưng nhược điểm là dễ bị oxy hóa trong môi trường khoang miệng, gây đen viền nướu sau một thời gian sử dụng, không tự nhiên khi có ánh sáng chiếu vào.
  • Răng toàn sứ: Được chế tác hoàn toàn từ vật liệu sứ nguyên khối (Zirconia, Cercon, Emax, Lava Plus...). Ưu điểm vượt trội về thẩm mỹ (màu sắc, độ trong tự nhiên như răng thật, không đen viền nướu), độ bền cao, chịu lực tốt, tương thích sinh học tuyệt vời. Tuy nhiên, chi phí sẽ cao hơn răng sứ kim loại.

Lựa chọn sai loại sứ có thể khiến cô chú anh chị không đạt được hiệu quả thẩm mỹ như mong muốn, hoặc gặp phải các vấn đề về độ bền, độ tương thích sinh học.

4. Không điều trị triệt để các bệnh lý răng miệng trước khi bọc sứ

Trước khi bọc răng sứ, việc thăm khám và điều trị dứt điểm các bệnh lý như sâu răng, viêm tủy, viêm lợi, viêm nha chu là vô cùng quan trọng.

  • Sâu răng, viêm tủy: Nếu răng bị sâu mà không được điều trị triệt để, vi khuẩn vẫn tiếp tục phát triển bên dưới lớp sứ, gây viêm tủy, áp xe, đau nhức dữ dội, thậm chí phải nhổ bỏ răng.
  • Viêm lợi, viêm nha chu: Các bệnh lý về nướu và mô nha chu nếu không được kiểm soát sẽ làm cho nướu bị sưng, chảy máu, tạo điều kiện cho vi khuẩn xâm nhập vào bên trong, gây tụt lợi, hở chân răng sứ, mất thẩm mỹ và có thể dẫn đến mất răng.

Việc điều trị các bệnh lý răng miệng trước khi bọc răng sứ vô cùng quan trọng

Việc điều trị các bệnh lý răng miệng trước khi bọc răng sứ vô cùng quan trọng

5. Không chăm sóc răng miệng đúng cách sau khi bọc sứ

Nhiều người lầm tưởng rằng răng sứ không cần chăm sóc kỹ lưỡng như răng thật. Nhưng đó là một sai lầm nghiêm trọng.

  • Vệ sinh răng miệng sai cách: Không chải răng đủ 2 lần/ngày, không dùng chỉ nha khoa hoặc máy tăm nước để làm sạch kẽ răng, mảng bám, tạo điều kiện cho vi khuẩn phát triển, gây sâu răng thật bên trong mão sứ (nếu còn), viêm lợi, hôi miệng.
  • Chế độ ăn uống không hợp lý: Ăn quá nhiều đồ cứng, dai, nóng, lạnh đột ngột, hoặc thực phẩm dễ bám màu (cà phê, trà, rượu vang đỏ) có thể làm giảm tuổi thọ của răng sứ, gây sứt mẻ, hoặc đổi màu sứ.
  • Không tái khám định kỳ: Việc tái khám 6 tháng/lần giúp bác sĩ kiểm tra tình trạng răng sứ, nướu, phát hiện sớm các vấn đề phát sinh và xử lý kịp thời.

6. Mài răng quá nhiều hoặc không đúng kỹ thuật

Kỹ thuật mài cùi răng là bước cực kỳ quan trọng trong quy trình bọc răng sứ. Sai lầm trong bước này có thể gây hậu quả nghiêm trọng:

  • Mài răng quá nhiều: Gây tổn thương tủy răng không hồi phục, dẫn đến viêm tủy, hoại tử tủy, phải chữa tủy, thậm chí nhổ răng. Răng bị mài quá nhiều cũng làm suy yếu cấu trúc răng thật.
  • Mài răng không đúng tỉ lệ: Nếu không mài đủ, mão sứ sẽ dày, cộm, gây khó chịu khi ăn nhai và ảnh hưởng đến khớp cắn. Nếu mài không đều, răng sứ sẽ không ôm khít, tạo khe hở cho vi khuẩn.
  • Không mài vát đường hoàn tất: Điều này khiến mão sứ không thể ôm sát đường viền lợi, tạo ra kẽ hở gây giắt thức ăn, viêm lợi, hôi miệng.

Hậu quả khiến cô chú anh chị đau nhức, ê buốt kéo dài, viêm tủy, hôi miệng, tụt nướu, hở chân răng, và cuối cùng là phải tháo bỏ răng sứ để điều trị.

Răng bị mài quá nhiều khi bọc răng sứ làm suy yếu cấu trúc răng thật

Răng bị mài quá nhiều khi bọc răng sứ làm suy yếu cấu trúc răng thật

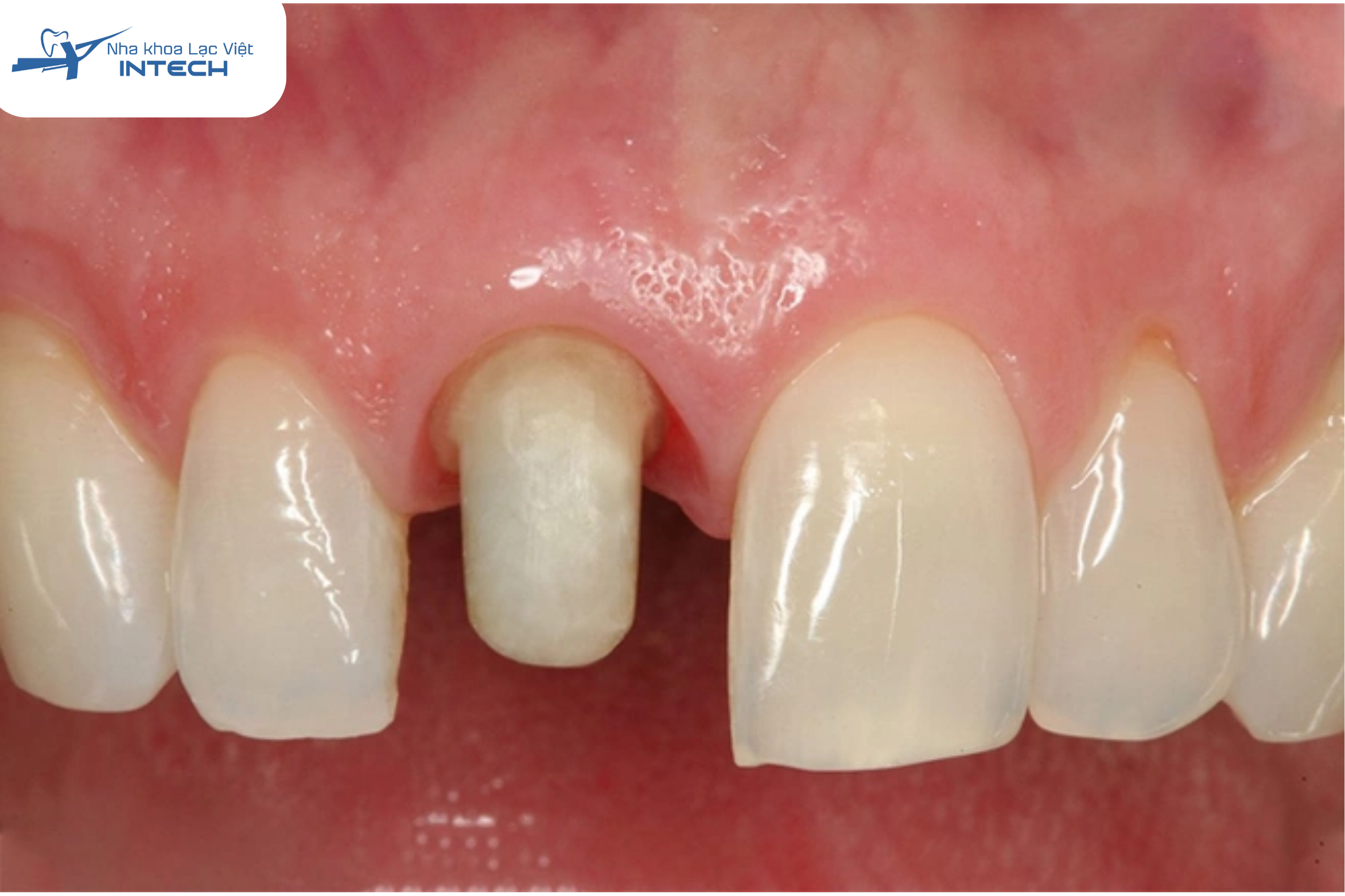
7. Lắp răng sứ không khít sát, bị hở viền

Sau khi mài cùi và chế tác, mão sứ sẽ được gắn cố định vào răng thật. Nếu quá trình này không chính xác, răng sứ sẽ không khít sát.

  • Răng sứ không khít sát: Tạo ra khe hở giữa răng sứ và cùi răng thật. Thức ăn và vi khuẩn dễ dàng mắc kẹt, tích tụ trong khe hở này, gây sâu răng thứ phát (sâu răng thật bên trong), viêm nướu, hôi miệng.
  • Hở viền nướu: Ngoài việc gây giắt thức ăn, hở viền nướu còn ảnh hưởng nghiêm trọng đến thẩm mỹ, đặc biệt là ở vùng răng cửa.

Hở viền nướu gây giắt thức ăn, ảnh hưởng nghiêm trọng đến thẩm mỹ, đặc biệt là ở vùng răng cửa

Hở viền nướu gây giắt thức ăn, ảnh hưởng nghiêm trọng đến thẩm mỹ, đặc biệt là ở vùng răng cửa

 

Khi nào nên và không nên bọc răng sứ?

1. Các trường hợp nên bọc răng sứ 

Cần cải thiện thẩm mỹ về màu sắc răng

Răng bị nhiễm màu Tetracycline, nhiễm Fluor nặng, hoặc ố vàng không thể tẩy trắng bằng các phương pháp thông thường. Răng sứ sẽ giúp cô chú anh chị có được hàm răng trắng sáng, đều màu như mong muốn.

Trường hợp răng bị nhiễm màu Tetracycline cần phải bọc sứ để cải thiện màu sắc của răng

Trường hợp răng bị nhiễm màu Tetracycline cần phải bọc sứ để cải thiện màu sắc của răng

 

Cần cải thiện hình thể răng

  • Răng bị sứt mẻ, vỡ nhỏ: Do tai nạn, va đập hoặc do ăn nhai. Răng sứ sẽ giúp phục hồi hình dáng ban đầu của răng, bảo vệ phần răng thật còn lại.

  • Răng có hình dáng không đều, quá nhỏ, hoặc quá lớn: Răng sứ có thể điều chỉnh kích thước, hình dáng răng để tạo sự hài hòa cho cả hàm răng và tổng thể khuôn mặt.

  • Răng thưa nhẹ, có khe hở nhỏ: Bọc sứ có thể giúp đóng các khoảng trống, tạo sự liền lạc cho hàm răng. (Lưu ý: Với răng thưa nhiều hoặc có lệch lạc lớn, niềng răng vẫn là ưu tiên hàng đầu).

Răng đã điều trị tủy

 Răng đã điều trị tủy thường trở nên giòn, dễ vỡ và đổi màu. Bọc răng sứ không chỉ phục hồi hình dáng, màu sắc mà còn giúp bảo vệ răng thật khỏi lực ăn nhai, kéo dài tuổi thọ của răng.

Răng bị mòn men do tuổi tác hoặc thói quen xấu

Bọc sứ có thể bảo vệ răng khỏi sự mài mòn tiếp tục và phục hồi chức năng ăn nhai.

Cầu răng sứ hoặc trồng răng Implant

Trong trường hợp mất răng, cầu răng sứ hoặc mão sứ trên Implant là giải pháp tối ưu để phục hình răng đã mất, khôi phục chức năng ăn nhai và thẩm mỹ.

2. Các trường hợp không nên bọc răng sứ 

Răng hô, răng móm (khớp cắn ngược), răng khấp khểnh mức độ nặng

Bọc răng sứ không thể giải quyết triệt để các vấn đề về sai khớp cắn hay lệch lạc răng nghiêm trọng. Cố gắng bọc sứ sẽ làm răng trông dày hơn, không cải thiện được thẩm mỹ tổng thể, thậm chí còn gây ra các vấn đề về ăn nhai và khớp thái dương hàm.

Răng thật còn quá yếu, lung lay hoặc viêm nha chu nặng

Nếu răng gốc không đủ khỏe để làm trụ, việc bọc sứ lên sẽ không bền vững và có thể làm tình trạng răng miệng tệ hơn. Viêm nha chu cần được điều trị dứt điểm trước khi xem xét bất kỳ thủ thuật thẩm mỹ nào.

Mắc các bệnh lý toàn thân không kiểm soát được

Một số bệnh lý như tiểu đường không kiểm soát, bệnh tim mạch, hoặc đang dùng thuốc ảnh hưởng đến đông máu có thể ảnh hưởng đến quá trình lành thương hoặc tăng nguy cơ biến chứng. Cần tham khảo ý kiến bác sĩ tổng quát trước khi thực hiện.

Vệ sinh răng miệng kém

Nếu cô chú anh chị có thói quen vệ sinh răng miệng không tốt, việc bọc sứ sẽ không giúp ích mà còn dễ dẫn đến sâu răng dưới mão sứ, viêm lợi. cô chú anh chị cần cam kết duy trì vệ sinh răng miệng kỹ lưỡng trước và sau khi bọc sứ.

Có thói quen nghiến răng nặng

Nghiến răng ban đêm có thể gây áp lực lớn lên răng sứ, dẫn đến sứt mẻ, nứt vỡ. Nếu có thói quen này, cô chú anh chị cần được điều trị hoặc sử dụng máng chống nghiến trước khi bọc sứ.

Nếu bạn đang tìm hiểu thế nào là cấy ghép răng hãy tới ngay Lạc Việt Intech để được tư vấn chi tiết nhé!

Vì vậy, chìa khóa để sở hữu một nụ cười hoàn hảo và bền vững với bọc răng sứ nằm ở sự lựa chọn thông minh và tìm hiểu kỹ lưỡng

  • Tìm hiểu kỹ thông tin: Đừng chỉ nghe quảng cáo mà hãy tìm hiểu sâu về quy trình, vật liệu, và các trường hợp thực tế.
  • Lựa chọn nha khoa uy tín: Ưu tiên những phòng khám có đội ngũ bác sĩ chuyên môn cao, nhiều kinh nghiệm, cơ sở vật chất hiện đại, và chính sách bảo hành rõ ràng.
  • Không đặt nặng vấn đề giá cả lên hàng đầu: Giá cả rẻ có thể đi kèm với chất lượng kém. Hãy ưu tiên chất lượng và độ an toàn.
  • Thăm khám và tư vấn kỹ lưỡng: Đảm bảo bác sĩ thăm khám toàn diện, phân tích khớp cắn và đưa ra kế hoạch điều trị chi tiết, minh bạch. Đừng ngần ngại đặt câu hỏi và bày tỏ mọi lo lắng của cô chú anh chị.

Để được thăm khám và tư vấn chi tiết về tình trạng răng của cô chú anh chị, hãy đặt lịch hẹn với đội ngũ chuyên gia giàu kinh nghiệm tại Nha khoa Lạc Việt Intech ngay hôm nay! 

  • Hotline: 0866.38.0033 (hoặc 1900.6421)

 

 

Chia sẻ

Tin cùng chủ đề

Đăng ký tư vấn

Vui lòng để lại thông tin và nhu cầu của Quý Khách để được tư vấn

Đối tác của Nha khoa lạc việt intech

Osstem Implant
Osstem Implant
test
test1
Đặt lịch hẹn Messenger Liên hệ Zalo Địa chỉ