Dấu hiệu viêm lợi? Viêm lợi để lại biến chứng gì? Điều trị thế nào?

Quản trị viên
26/12/2022

Dấu hiệu của viêm lợi

Thông thường, người có triệu chứng viêm lợi thường có một số dấu hiệu như sưng đỏ, dễ chảy máu khi đánh răng, chân răng lỏng và lợi thường bị ngứa. 

Viêm lợi thường phát triển bệnh theo các giai đoạn như sau: 

  • Giai đoạn đầu

Lợi có triệu chứng sưng phồngLợi có triệu chứng sưng phồng

Đây là giai đoạn người bệnh nhận biết được những thay đổi thất thường của lợi. Lợi bắt đầu sưng phồng lên, đỏ hơn và thường dễ chảy máu so với thông thường. Tuy gặp những biểu hiện khác thường nhưng chân răng vẫn khá chắc chắn và không có tổn thương về xương hay mô.

Vì là giai đoạn chớm nở nên việc điều trị là không khó khăn. Bạn có thể khắc phục bằng cách đánh răng 2 ngày/lần, không dùng tăm thay vào đó là dùng tăm nha khoa để xỉa răng.

  • Giai đoạn sau

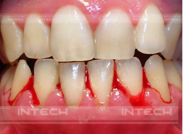
Lợi bắt đầu chảy máu ở giai đoạn sauLợi bắt đầu chảy máu ở giai đoạn sau

Khi tình trạng viêm lợi ngày càng trở nặng do không được phát hiện và điều trị kịp thời, quá trình điều trị cũng phức tạp, khó khăn hơn. 

Thời điểm này, lớp lợi bên trong và xương hàm đã bị đẩy lùi ra phía sau và tạo ra những khoảng trống tại những lỗ hổng quan răng. Điều này khiến thức ăn thừa dễ bị giắt vào lỗ hổng này gây nhiễm khuẩn. 

Tình trạng này kéo dài khiến hệ thống miễn dịch phải tập trung ngăn chặn vi khuẩn. Do đó những độc tố kháng khuẩn và enzyme sẽ được tiết ra nhiều hơn để chống lại các mô liên kết khiến răng trở nên lỏng lẻo hơn.

Lợi ở giai đoạn sau vẫn bị sưng đỏ, chảy máu gây đau nhức, thậm chí có một số trường hợp sưng má kèm mùi hôi khó chịu.. Những trường hợp lâu ngày, chân răng sẽ dần lộ ra gây mất thẩm mỹ. Khi lỗ hổng ngày càng rõ, xương hàm càng bị phá hủy và khiến răng không còn chỗ bám víu gây lỏng lẻo và rụng.

Viêm lợi gây biến chứng gì?

Nguy cơ rụng răng nếu viêm lợi không được điều trị kịp thờiNguy cơ rụng răng nếu viêm lợi không được điều trị kịp thời

Biến chứng nguy hiểm sẽ xảy ra nếu viêm lợi không được điều trị kịp thời. Lâu ngày, tình trạng này sẽ lây lan đến các mô cơ và xương, thậm chí còn đối diện với nguy cơ rụng răng. Đặc biệt, sức khỏe răng miệng bị đe dọa nghiêm trọng cũng như ảnh hưởng đến sức khỏe tổng thể.

Trong một vài nghiên cứu chỉ ra rằng, viêm lợi dẫn đến tình trạng viêm nha chu có thể làm tăng nguy cơ đột quỵ, mắc các bệnh tim mạch. Khi bệnh trở nặng kèm theo phổi bị suy giảm chức năng thì việc hít vi khuẩn từ miệng vào trong phổi khiến tăng nguy cơ mắc bệnh viêm phổi.

Bên cạnh đó, viêm lợi còn khiến cơ thể khó kiểm soát nồng độ trong máu hơn nếu để tình trạng nhiễm khuẩn nặng.

Đặc biệt, với phụ nữ đang mang thai gặp các vấn đề về sức khỏe răng miệng sẽ có nguy cơ sinh non hoặc sinh con nhẹ cân so với những phụ nữ có sức khỏe răng miệng tốt.

Các biện pháp điều trị viêm lợi

Viêm lợi có thể được điều trị bằng những phương pháp sau:

Điều trị tại nhà

Sử dụng nước muối

Đây là nguyên liệu có chi phí rẻ và rất phổ biến. Muối có tác dụng giảm đau, dịu vết thương, giảm tình trạng nhiễm khuẩn và hôi miệng được cải thiện rõ rệt. 

Bạn chỉ cần khuấy đều hỗn hợp bao gồm: 1 muỗng muối pha với 1 cốc nước ấm, rồi súc miệng trong thời gian 30 giây. Thực hiện 2-3 lần/ngày để đạt hiệu quả tốt nhất.

Dùng dầu dừa

Dầu dừa là nguyên liệu chữa trị viêm lợi hiệu quảDầu dừa là nguyên liệu chữa trị viêm lợi hiệu quả

Trị viêm lợi bằng dầu dừa được đánh giá là phương pháp an toàn. Thành phần của nguyên liệu này chứa hàm lượng chứa hàm lượng axit lauric kháng khuẩn, chống viêm tốt. Ngoài ra, việc súc miệng với 10ml dầu dừa trong khoảng 20 phút sẽ giúp loại bỏ đáng kể mảng bám, từ đó ngăn chặn bệnh lý viêm lợi.

Bạn cũng lưu ý rằng không để dầu dừa chạm vào cổ họng và súc miệng lại bằng nước ấm. Nên thực hiện 1 lần/ngày để mang lại hiệu quả cao.

Tinh dầu sả

Tinh dầu sả loại bỏ mảng bám rất tốt bởi chứa hàm lượng chlorhexidine trong thành phần. Bạn thực hiện pha tinh dầu sả với 250ml nước và tiến hành súc miệng khoảng 30 giây rồi súc miệng lại bằng nước ấm.

Dùng lô hội

Hàm lượng chlorhexidine trong lô hội có chức năng giảm sự khó chịu, đau nhức và loại bỏ mảng bám. Với phương pháp này, bạn chỉ cần ngậm nước lô hội nguyên chất khoảng 30 giây rồi súc miệng lại bằng nước ấm. Thực hiện 1-2 lần/ngày. 

Điều trị bằng tây y

Lấy cao răng

Mảng bám hình thành cao răng là nguyên chính gây viêm lợi. Do đó, lấy cao răng là phương pháp đầu tiên được các bác sĩ nha khoa chỉ định. Bởi lấy cao răng sẽ tiêu diệt vi khuẩn, tác nhân gây ra bệnh và ngăn chặn viêm lợi hiệu quả.

Uống thuốc kháng sinh

Viêm lợi ở mức độ nhẹ sẽ được bác sĩ chỉ định dùng thuốc kháng sinh. Thuốc sẽ có tác dụng diệt khuẩn, giảm triệu chứng sưng đỏ.

Thông thường, các loại thuốc được chỉ định sử dụng bao gồm: Azithromycin, Metronidazol, Amoxicillin, Tetracycline… Tùy từng biểu hiện mà bác sĩ sẽ kê đơn thuốc phù hợp cho bệnh nhân.

Thuốc giảm đau

Thuốc giảm đau được sử dụng cho những trường hợp bệnh đã ở mức độ nặng. Lúc này thuốc có tác dụng loại bỏ cơn đau, ăn uống ngon miệng và ngủ ngon hơn.

Thuốc kháng viêm:

Đây được xem như là một enzyme đặc biệt, giúp tốc độ phản ứng hóa học được đẩy nhanh hơn. Giúp triệu chứng phù nề và sưng lợi được giảm thiểu rõ rệt.

Nước súc miệng

Các thành phần hóa học trong nước súc miệng sẽ loại bỏ vi khuẩn, đánh bay mảng bám và thức ăn thừa. Không chỉ giúp hơi thở luôn thơm mát và ngăn chặn được bệnh lý viêm lợi.

Điều trị tại nha khoa

Lạc Việt Intech - Địa chỉ uy tín khám chữa bệnh răng miệngLạc Việt Intech - Địa chỉ uy tín khám chữa bệnh răng miệng

Để chấm dứt dứt điểm bệnh lý viêm lợi, bạn hãy nên đến cơ sở nha khoa để thăm khám và điều trị. Với sự kết hợp giữa tay nghề bác sĩ, công nghệ điều trị và trang thiết bị máy móc sẽ mang lại kết quả điều trị tốt nhất.

Nha khoa Lạc Việt Intech là một trong số ít nha khoa hàng đầu về dịch vụ chăm sóc và bảo vệ răng miệng. 

Không chỉ sở hữu đội ngũ bác sĩ có đủ chứng chỉ hành nghề, chuyên môn cao, Lạc Việt Intech liên tục cập nhật những công nghệ điều trị mới và nhập khẩu 100%. 

Ngoài ra, nếu cô chú/anh chị chưa hiểu rõ cấy ghép implant là gì hãy liên hệ với Lạc Việt Intech để được tư vấn chi tiết nhé!

Bên cạnh đó, yếu tố vô trùng được nha khoa đặc biệt chú trọng. Toàn bộ thiết bị y tế trước khi sử dụng đều được vô trùng, vô khuẩn để đảm bảo quá trình điều trị được an toàn, tránh lây nhiễm chéo.

Chính vì vậy, bạn hoàn toàn có thể yên tâm điều trị viêm lợi tại Nha khoa Lạc Việt Intech.

Chia sẻ

Tin cùng chủ đề

Đăng ký tư vấn

Vui lòng để lại thông tin và nhu cầu của Quý Khách để được tư vấn

Đối tác của Nha khoa lạc việt intech

Osstem Implant
Osstem Implant
test
test1
Đặt lịch hẹn Messenger Liên hệ Zalo Địa chỉ