Có nên bọc răng sứ không? 5 điều cần biết trước khi quyết định

Tran Hoai Nam
25/07/2025

Nếu cô chú anh chị muốn tìm hiểu thêm về vấn đề có nên bọc răng sứ hay không, có thể tham khảo video chia sẻ kiến thức từ bác sĩ tại đây: 

Bọc răng sứ là gì?

Bọc răng sứ là một phương pháp phục hình nha khoa trong đó một lớp vỏ sứ mỏng, được chế tác tinh xảo, sẽ được chụp lên bề mặt răng thật đã được mài nhỏ. Lớp vỏ sứ này có hình dáng, màu sắc và kích thước tương tự răng tự nhiên, giúp che đi các khuyết điểm, bảo vệ răng thật và cải thiện chức năng ăn nhai. 

Bọc răng sứ là phương pháp phục hình giúp che đi các khuyết điểm và cải thiện chức năng ăn nhai

Bọc răng sứ là phương pháp phục hình giúp che đi các khuyết điểm và cải thiện chức năng ăn nhai

Các trường hợp nên bọc răng sứ

Việc bọc răng sứ không phải dành cho tất cả mọi người. Quyết định có nên bọc răng sứ không phụ thuộc vào tình trạng răng miệng cụ thể và mong muốn của mỗi cá nhân. Dưới đây là những trường hợp được các chuyên gia nha khoa khuyến nghị nên cân nhắc làm răng sứ:

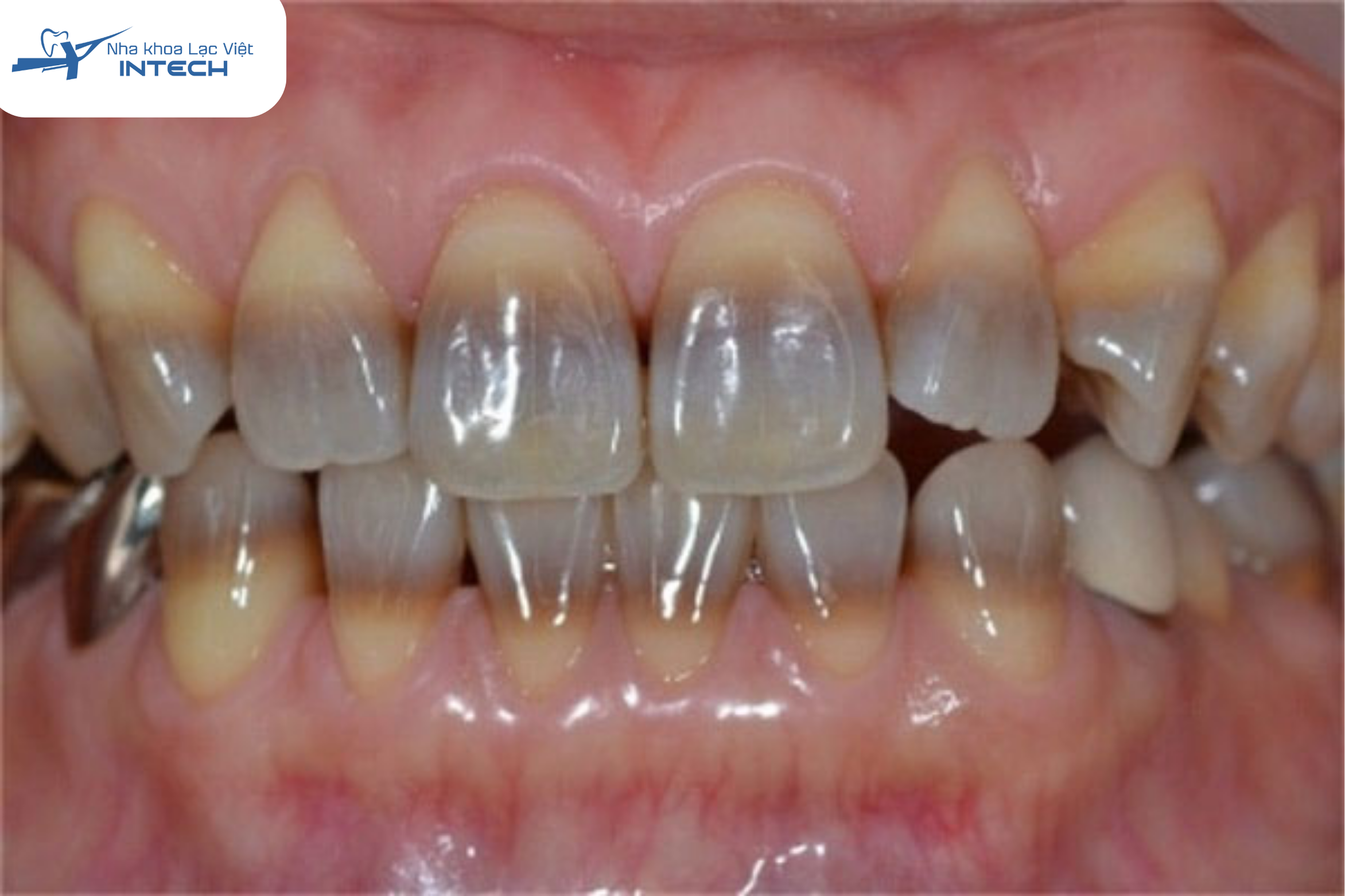
Răng bị đổi màu nghiêm trọng 

Răng bị đổi màu do nhiễm kháng sinh, nhiễm fluor, hoặc ố vàng, xỉn màu mà các phương pháp tẩy trắng thông thường không mang lại hiệu quả. Khi đó, răng sứ đẹp sẽ là lựa chọn tối ưu để che đi khuyết điểm màu sắc, mang lại nụ cười trắng sáng tự nhiên.

Răng bị đổi màu nghiêm trọng không thể phục hồi thì bọc răng sứ là phương pháp hoàn hảo để thay thế

Răng bị đổi màu nghiêm trọng không thể phục hồi thì bọc răng sứ là phương pháp hoàn hảo để thay thế

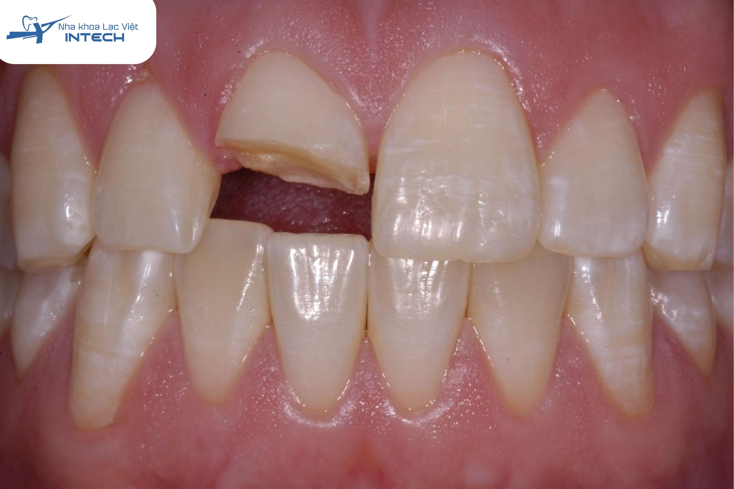
Răng bị sứt mẻ, vỡ, mòn men răng

Răng bị sứt mẻ do chấn thương, thói quen nghiến răng, hoặc tuổi tác. Bọc sứ răng giúp tái tạo hình thể răng, bảo vệ phần còn lại của răng thật và khôi phục chức năng ăn nhai một cách hiệu quả. Đặc biệt, đối với răng đã điều trị tủy, cấu trúc răng trở nên yếu và giòn hơn rất nhiều. Việc bọc răng sứ là cần thiết để bảo vệ răng khỏi nguy cơ nứt gãy và đảm bảo răng có thể chịu lực ăn nhai bình thường.

Răng bị sứt mẻ nên làm răng sứ để phục hình thẩm mỹ

Răng bị sứt mẻ nên làm răng sứ để phục hình thẩm mỹ

Răng không đều, lệch lạc nhẹ, răng thưa hoặc răng hô móm mức độ nhẹ 

Những người có khuyết điểm về răng như trên mà không muốn hoặc không thể thực hiện niềng răng thì bọc răng sứ là lựa chọn hợp lý. Thẩm mỹ làm răng sứ có thể điều chỉnh hình dáng và kích thước răng, tạo sự đồng đều và hài hòa cho cả cung hàm, mang lại hiệu quả thẩm mỹ tức thì.

Răng khấp khiểng không đều nên bọc sứ để điều chỉnh hình dáng răng

Răng khấp khiểng không đều nên bọc sứ để điều chỉnh hình dáng răng

Các loại răng sứ phổ biến và cách lựa chọn phù hợp

Răng sứ kim loại

Loại này có cấu tạo gồm một lớp sườn kim loại bên trong (thường là hợp kim Niken-Crom, Crom-Coban, hoặc Titan) và lớp sứ phủ bên ngoài. Ưu điểm của răng sứ kim loại là chi phí tương đối thấp và độ bền chắc tốt, phù hợp cho các răng hàm chịu lực ăn nhai lớn.

Tuy nhiên, nhược điểm chính của nó là tính thẩm mỹ không cao bằng răng toàn sứ. Sau một thời gian sử dụng, sườn kim loại có thể bị oxy hóa, tạo ra viền đen ở chân răng, gây mất thẩm mỹ, đặc biệt là ở vùng răng cửa.

Răng sứ kim loại có chi phí tương đối thấp và bền nhưng tính thẩm mỹ không cao

Răng sứ kim loại có chi phí tương đối thấp và bền nhưng tính thẩm mỹ không cao

Răng toàn sứ

Loại này được chế tác hoàn toàn từ vật liệu sứ nguyên khối, không có lõi kim loại. Các loại răng toàn sứ phổ biến hiện nay bao gồm Zirconia, Emax, Lava Plus... Ưu điểm vượt trội của răng toàn sứ là tính thẩm mỹ hoàn hảo, màu sắc, độ trong mờ và độ phản quang tự nhiên như răng thật, không gây đen viền nướu. Ngoài ra, răng toàn sứ có độ bền và khả năng chịu lực rất cao, tương đương hoặc thậm chí tốt hơn răng thật, và hoàn toàn lành tính với cơ thể. 

Nhược điểm duy nhất của răng toàn sứ là chi phí cao hơn so với răng sứ kim loại. Tuy nhiên, với những ưu điểm vượt trội về thẩm mỹ và độ bền, răng toàn sứ là lựa chọn lý tưởng cho những ai mong muốn một nụ cười hoàn hảo và tự nhiên nhất.

Răng toàn sứ khắc phục được các nhược điểm của răng sứ kim loại

Răng toàn sứ khắc phục được các nhược điểm của răng sứ kim loại

Khi tư vấn làm răng sứ, nha sĩ sẽ dựa trên tình trạng răng miệng của bạn, vị trí răng cần bọc (răng cửa hay răng hàm), yêu cầu về thẩm mỹ và khả năng tài chính để giúp bạn lựa chọn loại răng sứ phù hợp nhất.

Các lưu ý quan trọng khi bọc răng sứ:

  • Lựa chọn nha khoa uy tín: Đây là yếu tố quyết định nhất đến thành công của ca bọc răng sứ. Một nha khoa uy tín sẽ có đội ngũ bác sĩ giỏi, trang thiết bị hiện đại, vật liệu chất lượng và quy trình vô trùng tuyệt đối.
  • Tham vấn kỹ lưỡng với nha sĩ: Đừng ngần ngại đặt câu hỏi và bày tỏ mong muốn của bạn. Một nha sĩ chuyên nghiệp sẽ đưa ra tư vấn làm răng sứ chân thành và phù hợp nhất với tình trạng của bạn.
  • Chăm sóc răng miệng đúng cách sau khi bọc sứ: Dù là răng bọc sứ, bạn vẫn cần duy trì vệ sinh răng miệng tốt bằng cách đánh răng đều đặn, dùng chỉ nha khoa và nước súc miệng. Hạn chế cắn đồ cứng, dai để tránh làm sứt mẻ sứ.
  • Tái khám định kỳ: Đến nha sĩ kiểm tra 6 tháng/lần để phát hiện sớm và xử lý kịp thời các vấn đề tiềm ẩn, giúp răng sứ của bạn bền đẹp dài lâu.

Các yếu tố quyết định chất lượng và chi phí bọc răng sứ

Loại vật liệu răng sứ

Răng sứ kim loại thường có chi phí thấp hơn, trong khi răng toàn sứ (như Zirconia, Emax, Lava Plus) có giá thành cao hơn do sở hữu những ưu điểm vượt trội về thẩm mỹ, độ bền và độ lành tính. Việc lựa chọn răng sứ phù hợp sẽ được nha sĩ tư vấn làm răng sứ kỹ lưỡng dựa trên tình trạng răng, vị trí răng cần bọc và khả năng tài chính của bạn.

Trình độ chuyên môn của nha sĩ và uy tín của nha khoa

Một nha sĩ giỏi, có kinh nghiệm và tay nghề cao sẽ đảm bảo quy trình bọc răng sứ được thực hiện chính xác, hạn chế tối đa các biến chứng và mang lại kết quả tối ưu. Nha khoa uy tín thường đầu tư vào cơ sở vật chất hiện đại, trang thiết bị tiên tiến và tuân thủ các quy chuẩn vô trùng nghiêm ngặt. Điều này tất nhiên sẽ đi kèm với mức chi phí cao hơn, nhưng đổi lại là sự an toàn và chất lượng dịch vụ được đảm bảo.

Tình trạng răng miệng hiện tại

Nếu răng bạn có các bệnh lý cần điều trị trước (sâu răng, viêm tủy, viêm nha chu), chi phí tổng thể cho việc bọc răng sứ sẽ tăng lên. Việc điều trị triệt để các bệnh lý nền là bắt buộc để đảm bảo răng sứ có thể tồn tại bền vững trên nền tảng răng thật khỏe mạnh.

Có nên bọc răng sứ không? 

Quyết định bọc răng sứ là một sự đầu tư quan trọng vào sức khỏe và thẩm mỹ nụ cười của bạn. Nếu bạn đang gặp phải các vấn đề về thẩm mỹ hoặc chức năng răng mà các phương pháp khác không hiệu quả, thì bọc răng sứ chắc chắn là một lựa chọn đáng để cân nhắc. Nó không chỉ giúp bạn lấy lại nụ cười tự tin mà còn bảo vệ răng thật và cải thiện chất lượng cuộc sống.

Tuy nhiên, điều cốt lõi để đảm bảo thành công và tránh những rủi ro không đáng có là bạn phải lựa chọn một nha khoa uy tín và một nha sĩ có chuyên môn cao, giàu kinh nghiệm. Đừng vội vàng đưa ra quyết định chỉ vì mức giá hấp dẫn. Hãy tìm hiểu kỹ lưỡng về vật liệu răng sứ, quy trình thực hiện, và đặc biệt là chế độ bảo hành.

 

Để được thăm khám và tư vấn chi tiết về tình trạng răng miệng của cô chú anh chị, cũng xử lý các vấn đề liên quan về bọc răng sứ, hãy đặt lịch hẹn với đội ngũ chuyên gia giàu kinh nghiệm tại Nha khoa Lạc Việt Intech ngay hôm nay! 

  • Hotline: 0866.38.0033 (hoặc 1900.6421)

 

 

Chia sẻ

Tin cùng chủ đề

Đăng ký tư vấn

Vui lòng để lại thông tin và nhu cầu của Quý Khách để được tư vấn

Đối tác của Nha khoa lạc việt intech

Osstem Implant
Osstem Implant
test
test1
Đặt lịch hẹn Messenger Liên hệ Zalo Địa chỉ