Chảy máu chân răng: Nguyên nhân, cách điều trị và phòng ngừa hiệu quả

Tran Hoai Nam
23/05/2025

 

Nếu cô chú/anh chị muốn hiểu rõ hơn về nguyên nhân chảy máu chân răng và cách điều trị hiệu quả, có thể xem video chia sẻ kiến thức chi tiết từ bác sĩ tại đây:

1. Chảy máu chân răng là gì?

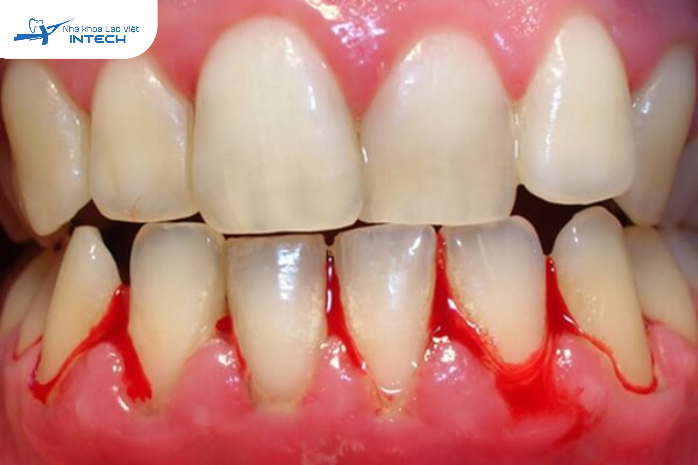
Chảy máu chân răng là hiện tượng máu rỉ ra từ nướu bao quanh chân răng. Tình trạng này thường xảy ra khi chải răng, dùng chỉ nha khoa hoặc ăn nhai mạnh. Một số người còn bị chảy máu tự phát, không rõ nguyên nhân cụ thể.

Đây là dấu hiệu đầu tiên của viêm nướu hoặc các bệnh lý răng miệng nghiêm trọng hơn. Khi nướu bị tổn thương, hệ thống mao mạch bên dưới bị vỡ dẫn đến chảy máu. Nếu không được xử lý sớm, tình trạng có thể tiến triển thành viêm nha chu hoặc tiêu xương hàm.

Chảy máu chân răng là hiện tượng máu rỉ ra từ nướu bao quanh chân răng

2. Nguyên nhân gây chảy máu chân răng

Có nhiều nguyên nhân dẫn đến chảy máu chân răng. Một số yếu tố xuất phát từ răng miệng, số khác liên quan đến sức khỏe toàn thân.

Viêm nướu

Viêm nướu là nguyên nhân hàng đầu gây chảy máu chân răng. Mảng bám thức ăn và vi khuẩn tích tụ gây kích ứng nướu. Nướu sẽ bị sưng đỏ, mềm và rất dễ chảy máu khi tác động nhẹ.

Viêm nướu nếu không điều trị sớm có thể chuyển sang viêm nha chu. Đây là giai đoạn bệnh nghiêm trọng hơn, gây tổn thương mô và xương quanh răng.

Viêm nha chu

Viêm nha chu là tình trạng viêm nhiễm mạn tính ở mô quanh răng. Vi khuẩn phá hủy mô liên kết và xương ổ răng, khiến răng lung lay, nướu rút xuống và dễ chảy máu. Đây là nguyên nhân chính dẫn đến mất răng ở người trưởng thành.

Vệ sinh răng miệng sai cách

Chải răng quá mạnh hoặc dùng bàn chải lông cứng dễ gây tổn thương nướu. Tổn thương nhỏ nhưng lặp đi lặp lại sẽ làm nướu yếu và dễ chảy máu. Dùng tăm xỉa thay chỉ nha khoa cũng có thể làm rách nướu, dẫn đến chảy máu.

Thiếu vitamin C và K

Vitamin C giúp tái tạo mô nướu và chống viêm hiệu quả. Vitamin K tham gia vào quá trình đông máu và bảo vệ mạch máu. Thiếu hai loại vitamin này khiến nướu yếu và dễ bị chảy máu dù chỉ va chạm nhẹ.

Thay đổi nội tiết tố

Phụ nữ mang thai, đang dậy thì hoặc mãn kinh thường bị thay đổi nội tiết tố mạnh. Nồng độ hormone tăng làm nướu nhạy cảm, dễ bị viêm và chảy máu. Đây là tình trạng phổ biến nhưng cần được theo dõi.

Các bệnh lý toàn thân

Một số bệnh như tiểu đường, rối loạn đông máu, bệnh gan, thận... đều ảnh hưởng đến sức khỏe nướu. Hệ miễn dịch suy yếu khiến cơ thể khó chống lại vi khuẩn gây viêm lợi.

3. Cách điều trị chảy máu chân răng

Để điều trị hiệu quả, trước tiên cần xác định đúng nguyên nhân. Tùy từng trường hợp, bác sĩ sẽ chỉ định phương pháp phù hợp.

Lấy cao răng chuyên sâu

Lấy cao răng là bước cơ bản và quan trọng nhất. Quá trình này giúp loại bỏ mảng bám vi khuẩn gây viêm nướu. Sau khi làm sạch, nướu sẽ có điều kiện phục hồi và không còn chảy máu.

Tại Nha khoa Lạc Việt Intech, kỹ thuật lấy cao răng siêu âm giúp nhẹ nhàng và không gây đau.

Dùng thuốc và sản phẩm hỗ trợ

Trong các trường hợp nướu viêm nặng, bác sĩ có thể kê kháng sinh, thuốc bôi hoặc nước súc miệng kháng khuẩn. Các sản phẩm chứa chlorhexidine, lô hội hoặc trà xanh rất hiệu quả trong giảm viêm và làm dịu nướu.

Điều trị nha chu chuyên sâu

Nếu bị viêm nha chu, cần can thiệp sâu bằng phương pháp cạo vôi dưới nướu hoặc phẫu thuật. Các kỹ thuật này giúp làm sạch túi nha chu và tái tạo mô nướu bị tổn thương.

Phẫu thuật có thể kết hợp ghép xương hoặc ghép mô mềm nếu xương bị tiêu nhiều.

Điều trị bệnh nền

Nếu nguyên nhân từ bệnh lý toàn thân, cần kết hợp điều trị tại chuyên khoa liên quan. Ví dụ, người tiểu đường phải kiểm soát đường huyết tốt để ngăn tình trạng nướu xấu đi.

Bổ sung dinh dưỡng

Cô chú anh chị nên bổ sung vitamin C, vitamin K từ rau củ và trái cây tươi. Cam, ổi, bông cải xanh, cà chua, cải bó xôi là lựa chọn lý tưởng. Ngoài ra, uống đủ nước mỗi ngày giúp miệng không bị khô và dễ bảo vệ nướu.

Tùy từng trường hợp bác sĩ sẽ chỉ định phương pháp điều trị phù hợp

 

4. Phòng ngừa chảy máu chân răng

Chăm sóc răng miệng đúng cách có thể giúp phòng tránh hầu hết các trường hợp chảy máu chân răng.

Đánh răng đúng kỹ thuật

  • Dùng bàn chải mềm, thay mỗi 3 tháng.

  • Đánh răng nhẹ nhàng, theo chiều dọc hoặc tròn, không chà mạnh ngang.

  • Sử dụng chỉ nha khoa mỗi ngày để làm sạch kẽ răng.

  • Súc miệng nước muối loãng hoặc nước súc miệng chuyên dụng sau ăn.

Khám răng định kỳ

Khám răng ít nhất 2 lần mỗi năm để kiểm tra sức khỏe nướu. Việc phát hiện sớm và lấy cao răng định kỳ giúp giảm nguy cơ viêm nướu, nha chu.

Ăn uống lành mạnh

  • Tăng cường rau xanh, trái cây giàu vitamin.

  • Hạn chế thực phẩm nhiều đường, dầu mỡ và nước ngọt có gas.

  • Tránh đồ ăn quá cứng, dễ làm tổn thương nướu.

Thay đổi thói quen xấu

  • Bỏ hút thuốc lá vì nicotine làm giảm tuần hoàn máu đến nướu.

  • Tránh nghiến răng, cắn móng tay hoặc gặm đồ cứng.

  • Quản lý stress vì stress kéo dài làm suy yếu hệ miễn dịch.

5. Giải đáp một số thắc mắc thường gặp về chảy máu chân răng

Chảy máu chân răng có tự khỏi không?

Nếu tình trạng nhẹ và chăm sóc tốt, có thể tự khỏi. Tuy nhiên, nếu kéo dài hoặc kèm sưng đau, cần khám nha sĩ.

Chảy máu chân răng khi mang thai có nguy hiểm không?

Không nguy hiểm nếu chăm sóc đúng cách. Nên đến nha khoa kiểm tra nếu tình trạng kéo dài hoặc kèm sưng đau.

Khi nào cần đến gặp nha sĩ?

Hãy đến nha khoa khi cô chú anh chị gặp các dấu hiệu sau:

  • Chảy máu kéo dài nhiều ngày.

  • Răng lung lay, nướu tụt sâu.

  • Hơi thở hôi, miệng có vị lạ.

  • Sưng đau, mưng mủ quanh chân răng.

Chảy máu chân răng không đơn giản chỉ là vấn đề thẩm mỹ hay khó chịu. Nó có thể là dấu hiệu cảnh báo bệnh lý nguy hiểm. Việc điều trị sớm và chăm sóc răng đúng cách sẽ giúp cô chú anh chị giữ được nụ cười khỏe mạnh lâu dài.

Trường hợp quý khách hàng chưa hiểu rõ cấy ghép răng là gi hãy liên hệ ngay Lạc Việt Intech nhé!

Nếu cô chú anh chị đang gặp tình trạng chảy máu chân răng hoặc có bất kỳ dấu hiệu bất thường nào ở nướu, đừng ngần ngại liên hệ với Nha khoa Lạc Việt Intech để được thăm khám, tư vấn và điều trị kịp thời.

Hệ thống chi nhánh Nha khoa Lạc Việt Intech:

  • TP. HCM: Số 90 - 92 Ngô Gia Tự, Phường 9, Quận 10, TP. HCM
  • Hà Nội:
    • Số 91 Phố Huế, Hai Bà Trưng, Hà Nội
    • Số 168 Đường Láng, Q. Đống Đa, Hà Nội
    • Số 426 Minh Khai, Q. Hai Bà Trưng, Hà Nội
    • Số 27 Nguyễn Văn Huyên, Q. Cầu Giấy, Hà Nội
  • Nghệ An: Số 24 Cao Thắng, P. Hồng Sơn, TP Vinh, Nghệ An
  • Hải Phòng: 107 Tô Hiệu, Lê Chân, TP Hải Phòng



Chia sẻ

Tin cùng chủ đề

Đăng ký tư vấn

Vui lòng để lại thông tin và nhu cầu của Quý Khách để được tư vấn

Đối tác của Nha khoa lạc việt intech

Osstem Implant
Osstem Implant
test
test1
Đặt lịch hẹn Messenger Liên hệ Zalo Địa chỉ