Áp xe răng khôn: Biến chứng nguy hiểm và cách xử lý hiệu quả

Quản trị viên
28/12/2022

Áp xe răng khôn là tình trạng gì?

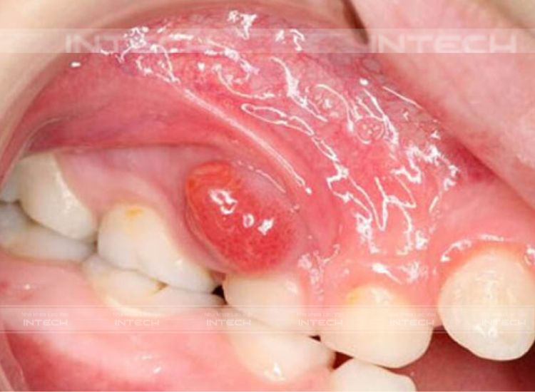
Áp xe là một trong những biến chứng nghiêm trọng của răng khôn bị nhiễm trùng nặng, xuất hiện ổ mủ ở chân răng do bị vi khuẩn tấn công. Bệnh lý này thường được hình thành do viêm tủy cấp, viêm nướu, sâu răng điều trị không đúng cách. 

Áp xe được hình thành do răng khôn bị nhiễm trùngÁp xe được hình thành do răng khôn bị nhiễm trùng

Vì chiếc răng này không đảm nhiệm vai trò quan trọng nên có nhiều sự lựa chọn trong điều trị áp xe răng khôn. Trong trường hợp răng mọc thẳng, dùng thuốc và dẫn lưu mủ là các phương pháp điều trị chủ yếu. Còn đối với răng khôn mọc lệch, lựa chọn tối ưu nhất vẫn là nhổ bỏ và kết hợp với uống thuốc để điều trị áp xe răng, kiểm soát nhiễm trùng và ngăn ngừa bệnh tái phát.

Mặc dù không giữ chức năng ăn nhai như răng hàm 6, 7 nhưng áp xe răng 8 có thể tiến triển nặng và gây tổn thương cho các răng lân cận. Đặc biệt, ổ mủ có thể vỡ ra tạo điều kiện cho vi khuẩn xâm nhập vào máu và gây nguy hại cho tim mạch, thần kinh. Do đó, người bệnh không nên chủ quan khi nhận thấy các dấu hiệu của áp xe răng khôn.

Nguyên nhân gây ra áp xe răng khôn 

Có nhiều nguyên nhân gây ra áp xe răng khôn. Trong đó, vị trí và tính chất của chiếc răng này sẽ quyết định 

Điều trị không dứt điểm các bệnh lý răng miệng 

Nếu các bệnh lý như viêm nướu, sâu răng và viêm nha chu không được điều trị dứt điểm thì đây sẽ là nguyên nhân dẫn đến áp xe răng khôn.

Vệ sinh răng miệng không đúng cách

Vệ sinh răng miệng không đúng cách sẽ dẫn đến áp xe răng khônVệ sinh răng miệng không đúng cách sẽ dẫn đến áp xe răng khôn

Vị trí của răng khôn khiến việc vệ sinh răng miệng trở nên khó khăn. Nếu không được vệ sinh kỹ càng, đúng cách thì đây sẽ là điều kiện thuận lợi cho vi khuẩn có hại phát triển và gây nhiễm trùng nướu, răng, tủy,... dẫn đến áp xe răng khôn. 

Điều trị nội nha thất bại

Điều trị nội nha hay còn gọi rút tủy là phương pháp áp dụng để khắc phục tình trạng sâu răng ăn vào tủy. Tuy nhiên, nếu quá trình thực hiện không rút sạch tủy và không vô khuẩn khoang tủy trước khi trám bít thì vi khuẩn tiếp tục phát triển, gây nên áp xe răng 8.

Hệ miễn dịch yếu

Với những người bị bệnh tiểu đường, tim mạch và mắc các hội chứng suy giảm miễn dịch là các trường hợp dễ bị bệnh lý sâu răng, viêm nướu và áp xe răng hơn so với bình thường. Do lúc này trong khoang miệng không chứa được nhiều lợi khuẩn, cho nên đã tạo điều kiện thuận lợi cho hại khuẩn phát triển và hình thành ổ mủ ở chân răng.

Các biểu hiện của áp xe răng 8

Áp xe răng 8 gây ra các biểu hiện ở mức độ nặng nề hơn so với các bệnh lý răng miệng thông thường. Ngoài những biểu hiện tại vị trí mọc răng, bệnh còn ảnh hưởng đến sức khỏe toàn thân cũng như chất lượng cuộc sống.

Các dấu hiệu nhận biết áp xe răng khôn như sau:

  • Răng đau nhức nhiều mặc dù không ăn uống hay giao tiếp
  • Mức độ đau tăng dần lên khi sử dụng các thực phẩm quá nóng hoặc quá lạnh, đồ ăn dai cứng
  • Răng nhạy cảm và ê buốt hơn
  • Hơi thở có mùi mặc dù đã vệ sinh răng miệng sạch sẽ
  • Sốt nhẹ, chán ăn và nổi hạch ở cổ
  • Viêm họng do vi khuẩn tấn công vào các mô miềm trong khoang miệng
  • Răng 8 bị lung lay nhẹ và khi dùng tay ấn mạnh vào có cảm giác đau nhói.

3 trường hợp áp xe răng khôn

Hình thành các túi mủHình thành các túi mủ

Áp xe tại chân răng

Tại chân răng hình thành các túi áp xe do bệnh lý sâu răng gây nên. Sau khi làm mòn men răng và ngà răng, vi khuẩn sẽ tấn công vào tủy răng khiến tủy răng bị viêm, mưng mủ và tạo ra các ổ mủ ở chân răng.

Áp xe nướu

Đây là áp xe nướu, nằm ở giữa răng và nướu. Vi khuẩn sẽ sinh sôi và phát triển trong trường hợp người bệnh không vệ sinh răng miệng đúng cách. Lúc này, vi khuẩn sẽ phá hủy các mô, tạo thành các ổ áp xe và tiếp tục phát triển. 

Áp xe nha chu

Khác với viêm nha chu, áp xe nha chu xảy ra khi vi khuẩn gây bệnh phát triển, hình thành các khoảng trống giữa răng và nướu, sau đó trú ngụ dưới ổ răng. Thời điểm này, các túi áp xe hình thành và xuất hiện các cơn đau.

Áp xe răng khôn có nguy hiểm không?

Áp xe răng không là bệnh lý nguy hiểm và bắt buộc phải cần được điều trị kịp thời tại cơ sở nha khoa. Bởi tình trạng của bệnh không thể thuyên giảm nếu như bạn áp dụng một số mẹo tại nhà để điều trị. Bên cạnh đó, lượng mủ sẽ tăng dần lên theo thời gian. Do đó, nếu không điều trị, người bệnh sẽ có nguy cơ đối diện với nhiều biến chứng nguy hiểm. 

Sau đây là các biến chứng có thể gặp phải nếu không điều trị áp xe răng kịp thời

Tiêu xương hàm

Đã có nhiều trường hợp tiêu xương hàm do ổ mủ dưới chân răng vỡ tràn sang những tổ chức lân cận nhưng không không được điều trị kịp thời. Tình trạng này khiến răng lung lay, dễ gãy và ảnh hưởng xấu đến các răng lân cận.

Tổn thương răng hàm số 7

Vì nằm liền kề với răng khôn nên răng hàm số 7 rất dễ bị tổn thương nếu áp xe răng khôn không được điều trị. Trong trường hợp nhẹ, răng 7 có thể bị viêm nướu, sâu răng nhưng trong trường hợp nặng hơn, chiếc răng này có khả năng bị viêm tủy, răng lung lay và gãy rụng.

Biến chứng tại các cơ quan khác trong cơ thể

Khi túi mủ áp xe vỡ, vi khuẩn dễ dàng xâm nhập vào máu và di chuyển đến các cơ quan khác trong cơ thể. Do đó, người bệnh có thể đối mặt với nhiều biến chứng áp xe ở não, phổi, niêm mạc tim hoặc thậm chí là nhiễm trùng máu.

Nguy cơ gây ra các bệnh hô hấp

Vi khuẩn dễ dàng tấn công vào amidan, niêm mạc hầu họng và các mô xoang gây ra các bệnh về hô hấp nếu như áp xe răng không được được điều trị.

Ảnh hưởng tới chất lượng cuộc sống

Áp xe răng khôn ảnh hưởng rất nhiều đến chất lượng cuộc sống. Túi mủ nằm sâu dưới chân răng nên cho dù bạn có vệ sinh răng miệng đúng cách thì hơi thở vẫn có mùi khó chịu. Tình trạng này gây ra nhiều rắc rối trong công việc cũng như sinh hoạt thường ngày. 

Điều trị áp xe răng khôn như thế nào?

Nên đến cơ sở nha khoa để điều trị áp xe răng khônNên đến cơ sở nha khoa để điều trị áp xe răng khôn

Áp xe răng khôn là bệnh lý vô cùng nguy hiểm và phức tạp, do đó để quá trình điều trị diễn ra an toàn, bạn nên đi thăm khám và nghe tư vấn của bác sĩ nha khoa. Tùy vào từng giai đoạn, mức độ bệnh mà bác sĩ sẽ có phương pháp điều trị thích hợp. 

Sử dụng thuốc điều trị

Với tình trạng áp xe răng 8 đang ở mức độ nhẹ, bác sĩ sẽ chỉ định bệnh nhân dùng thuốc để ức chế, tiêu diệt vi khuẩn và làm tiêu ổ mủ dưới chân răng. Sau khi dùng thuốc, bác sĩ sẽ cân nhắc có nên giữ lại hay nhổ bỏ tùy theo tình trạng của răng khôn.

Một số loại thuốc hay được sử dụng trong điều trị như sau:

  • Thuốc giảm đau, hạ sốt để giảm triệu chứng đau nhức, ê buốt, hạ sốt và giúp bệnh nhân ăn uống dễ dàng hơn
  • Kháng sinh: tiêu diệt vi khuẩn và kiểm soát nhiễm trùng chân răng
  • Nước súc miệng chứa Chlorhexidine để loại bỏ hại khuẩn tích tụ trong khoang miệng và ngăn chặn nhiễm trùng lan sang răng kế cận, hạn chế viêm họng, amidan.

Thực hiện một số tiểu phẫu

Trường hợp áp xe răng khôn có túi mủ lớn, bác sĩ sẽ thực hiện một số thủ thuật nha khoa sau:

  • Dẫn lưu mủ

Đây là kỹ thuật được áp dụng trong giai đoạn áp xe răng cấp tính nhằm loại bỏ tổ chức mủ ở chân răng. Sau đó, bác sĩ làm sạch khoảng tủy và trám bít bằng vật liệu nhân tạo.

  • Nhổ răng khôn

Trường hợp răng khôn mọc lệch, mọc ngầm thì bác sĩ sẽ chỉ định nhổ bỏ để tránh xảy ra tình trạng áp xe tái phát nhiều lần. Mặc dù quá trình nhổ răng có hơi đau nhức và khó chịu, thế nhưng sau khi loại bỏ, áp xe răng và viêm nhiễm sẽ được kiểm soát hoàn toàn. 

Các biện pháp chăm sóc tại nhà

Bên cạnh các biện pháp điều trị tại nha khoa, bạn có thể áp dụng một số biện pháp để giảm nhẹ cơn đau tại nhà do áp xe răng 8 gây ra như:

  • Ngậm nước muối ấm:

Hòa 1 ít muối cùng với nước ấm, sau đó ngậm trong 3- 5 phút để giảm cơn đau nhức răng. Bên cạnh đó, còn cải thiện triệu chứng sưng đỏ mô nướu và loại bỏ mùi hôi khó chịu trong khoang miệng.

  • Chườm đá

Đây là biện pháp chữa đau do áp xe răng khôn khá hiệu quả. Bạn có thể chườm đá ở vị trí ngoài xương hàm để giảm sưng, nóng rát. 

  • Ăn thức ăn mềm, nguội

Bạn nên hạn chế ăn đồ cay nóng, cứng dai khó nuốt để giảm thiểu mức độ đau của áp xe răng khôn. Ngoài ra, cần kiêng các thực phẩm nặng mùi như hành, tỏi, gia vị,... để tránh làm tăng mức độ hôi miệng do áp xe răng khôn. Nếu cô chú/anh chị đang tìm hiểu trồng răng bằng cấy ghép implant mà còn nhiều điều chưa rõ hay liên hệ ngay Lạc Việt Intech nhé!

Áp xe răng khôn là bệnh lý răng miệng gây biến chứng nguy hiểm cho sức khỏe và ảnh hưởng đến cuộc sống sinh hoạt thường ngày. Do đó, bạn nên tìm hiểu rõ về bệnh lý và phương pháp điều trị hiệu quả là hết sức cần thiết.

Chia sẻ

Tin cùng chủ đề

Đăng ký tư vấn

Vui lòng để lại thông tin và nhu cầu của Quý Khách để được tư vấn

Đối tác của Nha khoa lạc việt intech

Osstem Implant
Osstem Implant
test
test1
Đặt lịch hẹn Messenger Liên hệ Zalo Địa chỉ