90% người bọc răng sứ không biết những hậu quả này

Tran Hoai Nam
25/07/2025

Nếu cô chú anh chị muốn tìm hiểu thêm về hậu quả của việc bọc răng sứ, có thể tham khảo video chia sẻ kiến thức từ bác sĩ tại đây: 

Các hậu quả bọc răng sứ thường gặp

1. Hậu quả trực tiếp từ quá trình mài răng

Sau khi men răng – lớp bảo vệ tự nhiên bên ngoài cùng của răng bị loại bỏ để tạo chỗ cho mão sứ, răng thật sẽ trở nên nhạy cảm hơn rất nhiều. Tình trạng ê buốt, nhạy cảm có thể kéo dài vài ngày, vài tuần, hoặc thậm chí vĩnh viễn nếu tủy răng bị tổn thương.

Việc mài răng quá nhiều sẽ làm suy giảm độ bền của răng thật về lâu dài. Dù được bọc sứ bên ngoài, nhưng nền tảng răng thật đã yếu ớt vẫn tiềm ẩn nguy cơ nứt, gãy khi chịu lực ăn nhai mạnh, đặc biệt là ở những chiếc răng chịu lực nhiều như răng hàm. 

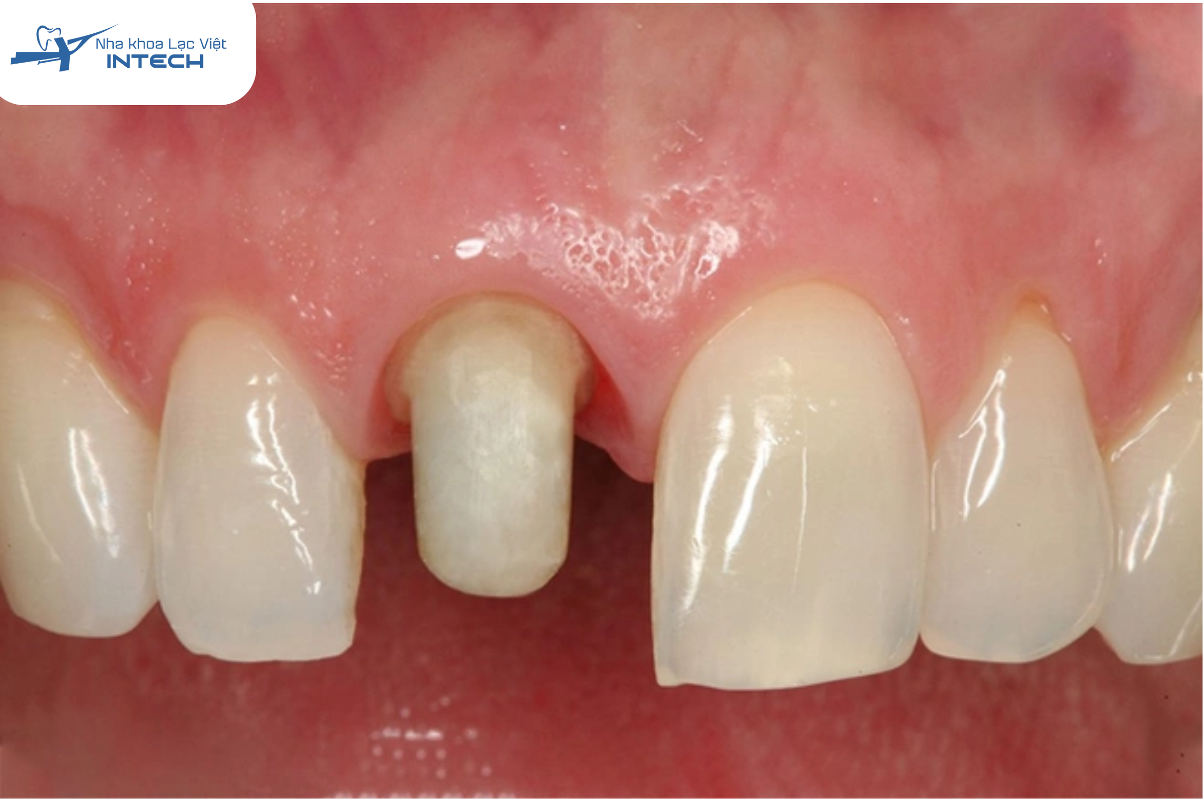
Răng thật bị mài nhỏ là hậu quả trực tiếp của quá trình bọc răng sứ

Răng thật bị mài nhỏ là hậu quả trực tiếp của quá trình bọc răng sứ

2. Biến chứng viêm nhiễm nha chu

Viêm nha chu

Nếu mão răng sứ không được chế tác khít sát hoàn toàn với cùi răng thật, những khe hở nhỏ sẽ trở thành nơi lý tưởng cho thức ăn thừa và vi khuẩn tích tụ. Điều này dẫn đến tình trạng viêm lợi, viêm nha chu.

Tình trạng viêm lợi khi bọc răng sứ nếu mão răng không được chế tác khít sát hoàn hoàn

Tình trạng viêm lợi khi bọc răng sứ nếu mão răng không được chế tác khít sát hoàn hoàn

Hôi miệng

Việc tích tụ mảng bám và vi khuẩn cũng là nguyên nhân hàng đầu gây ra hôi miệng dai dẳng sau khi bọc sứ. Mùi hôi khó chịu này không chỉ ảnh hưởng đến sự tự tin mà còn là dấu hiệu cảnh báo về tình trạng viêm nhiễm đang diễn ra bên dưới mão sứ.

Sâu răng sau khi bọc sứ

Răng thật bên dưới mão sứ vẫn có thể bị sâu răng nếu viền sứ không khít, tạo kẽ hở cho vi khuẩn và axit tấn công. Việc phát hiện sâu răng dưới mão sứ rất khó khăn thường chỉ được nhận ra khi cơn đau trở nên dữ dội hoặc qua phim X-quang. 

3. Thẩm mỹ và chức năng không đạt yêu cầu

Màu sắc răng sứ

Màu sắc của răng sứ là yếu tố quan trọng quyết định vẻ đẹp của nụ cười. Tuy nhiên, nếu sử dụng vật liệu sứ kém chất lượng, răng sứ có thể có màu sắc không tự nhiên, lệch tông so với răng thật còn lại.

Hình dáng răng sứ

Ngoài màu sắc, hình thể răng sứ không cân đối cũng là một vấn đề. Răng sứ quá to, quá nhỏ, hoặc hình dáng không hài hòa với khuôn mặt và cung hàm có thể phá vỡ tổng thể nụ cười. 

Đen viền nướu

Kim loại bên trong sườn sứ có thể bị oxy hóa dưới tác động của môi trường khoang miệng, gây ra một đường viền đen xám ở chân răng, đặc biệt rõ ràng ở vùng răng cửa, gây mất thẩm mỹ nghiêm trọng.

Răng sứ bị đen viền nướu

Răng sứ bị đen viền nướu

Gắn lệch khớp cắn

Nếu mão răng sứ được thiết kế không chuẩn khớp cắn, bệnh nhân có thể cảm thấy vướng víu, cộm cấn khi ăn nhai. Tình trạng này không chỉ gây khó chịu mà còn có thể làm thay đổi khớp cắn tự nhiên, gây đau khớp thái dương hàm về lâu dài, thậm chí là mỏi hàm, đau đầu.

Răng sứ kém chất lượng

Nếu chất lượng sứ kém, kỹ thuật gắn không đúng hoặc do thói quen ăn nhai không tốt, răng sứ vẫn có thể bị sứt mẻ, vỡ, nứt. Khi đó, không chỉ ảnh hưởng đến thẩm mỹ mà còn gây đau đớn và cần phải thay thế răng sứ mới, tốn kém chi phí.

4. Dị ứng với vật liệu 

Mặc dù cực kỳ hiếm, nhưng một số người có thể có cơ địa nhạy cảm và bị dị ứng với các thành phần của vật liệu sứ hoặc kim loại. Các triệu chứng có thể bao gồm sưng nướu, ngứa, nổi mẩn đỏ quanh miệng. 

Nguyên nhân của hậu quả bọc răng sứ

1. Vật liệu kém chất lượng, không rõ nguồn gốc 

Để cắt giảm chi phí tối đa, các cơ sở nha khoa kém chất lượng thường sử dụng vật liệu sứ không đạt chuẩn y tế, không rõ nguồn gốc, xuất xứ. Những loại sứ này có độ bền thấp, rất dễ bị sứt mẻ, nứt vỡ chỉ sau một thời gian ngắn sử dụng. Màu sắc cũng không tự nhiên, dễ bị ố vàng, xỉn màu nhanh chóng. 

2. Kỹ thuật gắn chưa chính xác

Quy trình bọc răng sứ là một kỹ thuật nha khoa phức tạp, đòi hỏi sự tỉ mỉ, chính xác và kinh nghiệm dày dặn của nha sĩ.

Mài răng sai kỹ thuật

Nha sĩ có thể mài răng quá nhiều, làm tổn thương tủy răng và gây ê buốt kéo dài, hoặc mài quá ít, không đủ chỗ cho mão sứ, dẫn đến răng sứ bị cộm, kênh. Kỹ thuật mài không đều cũng có thể khiến mão sứ không khít sát. 

Gắn sứ không đúng cách

Mão sứ có thể bị lỏng lẻo, dễ rơi ra, hoặc gắn quá chặt gây áp lực lên răng thật.

Bỏ qua các bước quan trọng

Nhiều nha sĩ có thể bỏ qua các bước kiểm tra quan trọng như kiểm tra khớp cắn kỹ lưỡng, vệ sinh vô trùng triệt để, hoặc tư vấn chăm sóc sau bọc sứ, làm tăng nguy cơ biến chứng và hậu quả việc bọc răng sứ.

3. Trang thiết bị chưa đảm bảo yêu cầu

Một nha khoa uy tín luôn đầu tư vào trang thiết bị hiện đại và quy trình vô trùng nghiêm ngặt để đảm bảo an toàn cho bệnh nhân. Ngược lại, các cơ sở bọc răng sứ giá rẻ thường sử dụng dụng cụ y tế cũ kỹ, lạc hậu, không được khử trùng đúng cách. Điều này làm tăng nguy cơ lây nhiễm chéo các bệnh lý nguy hiểm qua đường máu như viêm gan B, HIV, hoặc các bệnh nhiễm trùng răng miệng khác.

4. Thiếu chế độ bảo hành

Khi xảy ra sự cố với răng sứ kém chất lượng do bọc răng sứ giá rẻ, các cơ sở này thường tìm cách thoái thác trách nhiệm, hoặc chỉ đưa ra chế độ bảo hành hời hợt, không rõ ràng. Điều này khiến bệnh nhân phải tự bỏ thêm chi phí và thời gian để khắc phục hậu quả răng sứ tại một nha khoa uy tín khác, gây lãng phí "tiền mất tật mang". 

Giải pháp hạn chế hậu quả bọc răng sứ

1. Lựa chọn nha khoa và nha sĩ uy tín, có chuyên môn

Uy tín và thâm niên

Ưu tiên những nha khoa đã hoạt động lâu năm, có giấy phép kinh doanh đầy đủ, và nhận được nhiều phản hồi tích cực từ khách hàng trên các diễn đàn, mạng xã hội.

Đội ngũ nha sĩ

Đảm bảo nha sĩ thực hiện bọc răng sứ có bằng cấp, chứng chỉ chuyên môn rõ ràng, nhiều kinh nghiệm trong lĩnh vực phục hình răng sứ. Một nha sĩ giỏi sẽ biết cách mài răng đúng kỹ thuật, lựa chọn vật liệu phù hợp và xử lý tốt các tình huống phát sinh. Cô chú anh chị có thể yêu cầu xem các ca lâm sàng mà nha sĩ đã thực hiện.

Cơ sở vật chất và trang thiết bị

Nha khoa hiện đại thường được trang bị các thiết bị tiên tiến như máy chụp X-quang kỹ thuật số, máy quét 3D (CAD/CAM), phần mềm thiết kế nụ cười chuyên dụng. Quy trình vô trùng phải được đảm bảo tuyệt đối, sử dụng các thiết bị hấp sấy tiệt trùng hiện đại.

Lựa chọn nha khoa uy tín, bác sĩ có chuyên môn để tránh các hậu quả bọc răng sứ

Lựa chọn nha khoa uy tín, bác sĩ có chuyên môn để tránh các hậu quả bọc răng sứ

2. Tìm hiểu rõ về vật liệu sứ được sử dụng

Nguồn gốc, xuất xứ

Đảm bảo vật liệu sứ có nguồn gốc rõ ràng, được nhập khẩu chính hãng từ các thương hiệu uy tín trên thế giới (như Zirconia, Emax, Lava Plus...). Tránh các loại sứ trôi nổi, không tem mác.

Tính chất vật liệu

Mỗi loại sứ có đặc tính riêng về độ bền, độ trong mờ, khả năng chịu lực. Nha sĩ sẽ tư vấn loại sứ phù hợp nhất với vị trí răng cần bọc (răng cửa yêu cầu thẩm mỹ cao, răng hàm cần chịu lực tốt), tình trạng răng miệng hiện tại và ngân sách của cô chú anh chị. Đừng ngần ngại hỏi về ưu nhược điểm của từng loại sứ.

3. Hiểu rõ quy trình bọc răng sứ chuẩn y khoa

Thăm khám tổng quát và tư vấn

Nha sĩ sẽ chụp X-quang, đánh giá tổng thể tình trạng răng miệng, sức khỏe tổng thể và tư vấn chi tiết về phương pháp, vật liệu, chi phí, cũng như giải đáp mọi thắc mắc của cô chú anh chị về hậu quả bọc răng sứ hay hậu quả của việc bọc răng sứ.

Lên kế hoạch điều trị

Sử dụng công nghệ 3D để mô phỏng kết quả sau khi bọc sứ, giúp khách hàng hình dung rõ ràng nụ cười của mình.

Mài răng (nếu cần)

Nha sĩ sẽ mài một lớp men răng mỏng với tỷ lệ chuẩn xác, không xâm lấn quá nhiều mô răng thật, đảm bảo không gây tổn thương tủy và đủ không gian cho mão sứ.

Lấy dấu hàm

Đảm bảo độ chính xác cao để các kỹ thuật viên chế tác răng sứ vừa khít với cùi răng và khớp cắn.

Chế tác răng sứ

Được thực hiện tại phòng labo riêng của nha khoa hoặc liên kết với labo uy tín, đảm bảo chất lượng và độ chính xác của mão sứ.

Gắn răng sứ và kiểm tra khớp cắn

Răng sứ được gắn cố định, nha sĩ sẽ kiểm tra kỹ lưỡng khớp cắn, điều chỉnh nếu có vướng víu, đảm bảo không cộm và khít sát với cùi răng thật, tránh tạo kẽ hở cho vi khuẩn.

Hướng dẫn chăm sóc và hẹn lịch tái khám

Sau khi hoàn tất, cô chú anh chị sẽ được hướng dẫn chi tiết cách chăm sóc răng sứ tại nhà và hẹn lịch tái khám định kỳ để kiểm tra tình trạng răng sứ và sức khỏe răng miệng tổng thể.

Địa chỉ Nha khoa uy tín để bọc răng sứ

Việc lựa chọn một nha khoa uy tín là yếu tố then chốt để đảm bảo thành công của ca bọc răng sứ và tránh xa những hậu quả bọc răng sứ không mong muốn. 

Một trong những hệ thống nha khoa được nhiều chuyên gia và khách hàng đánh giá cao về chất lượng điều trị và sự chuyên nghiệp là Nha Khoa Lạc Việt Intech

Với phương châm

Với phương châm "Dẫn đầu chất lượng điều trị", Lạc Việt Intech đã và đang xây dựng niềm tin vững chắc bằng cách tập trung vào ba trụ cột chính: đội ngũ bác sĩ chuyên môn cao, hệ thống trang thiết bị hiện đại, và quy trình điều trị chuẩn y khoa.

 

Để được thăm khám và tư vấn chi tiết về tình trạng răng miệng của cô chú anh chị, cũng xử lý các vấn đề liên quan về bọc răng sứ, hãy đặt lịch hẹn với đội ngũ chuyên gia giàu kinh nghiệm tại Nha khoa Lạc Việt Intech ngay hôm nay! 

 

  • Hotline: 0866.38.0033 (hoặc 1900.6421)

 

 

Chia sẻ

Tin cùng chủ đề

Đăng ký tư vấn

Vui lòng để lại thông tin và nhu cầu của Quý Khách để được tư vấn

Đối tác của Nha khoa lạc việt intech

Osstem Implant
Osstem Implant
test
test1
Đặt lịch hẹn Messenger Liên hệ Zalo Địa chỉ