5 Dấu hiệu tiêu xương răng dễ nhận biết nhưng bị bỏ qua

BTV
22/09/2024

Tiêu xương răng là gì?

Xương răng không chỉ đóng vai trò quan trọng trong việc bảo vệ răng mà còn chịu trách nhiệm tiếp nhận và phân phối lực nhai, đồng thời giảm sốc khi ăn các vật cứng. Tiêu xương răng là quá trình thoái hóa xương tại chân răng, biểu hiện qua việc suy giảm mật độ khoáng hóa về kích thước xương như: chiều cao, mật độ, thể tích xương.

null

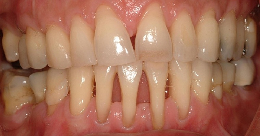
Tiêu xương do mất răng lâu ngày

Tiêu xương không chỉ giới hạn ở vị trí ban đầu mà còn có xu hướng lan rộng sang các vùng xương lân cận, gây ra những tổn thương nghiêm trọng cho cấu trúc hàm mặt. Khi xương răng bị tiêu, răng sẽ trở nên lung lay, dễ bị mất và ảnh hưởng nghiêm trọng đến khả năng ăn nhai cũng như thẩm mỹ khuôn mặt của người bệnh. 

Tại sao lại bị tiêu xương răng?

Tiêu xương răng là tình trạng phổ biến do nhiều nguyên nhân gây ra. Dưới đây là một số nguyên nhân phổ biến trả lời cho câu hỏi tại sao lại bị tiêu xương răng:

Mất răng

Mất răng là một trong những nguyên nhân phổ biến gây nên tình trạng tiêu xương răng. Khi chúng ta ăn uống, lực nhai tác động lên răng và truyền xuống xương hàm. Lực này kích thích quá trình hình thành xương mới, giúp xương hàm luôn khỏe mạnh và chắc chắn.

Khi mất răng, lực nhai sẽ không còn được phân bố đều mà tập trung vào các răng còn lại hoặc vùng không có răng, gây áp lực lên xương và làm cho xương bị tiêu.

Bệnh lý răng miệng

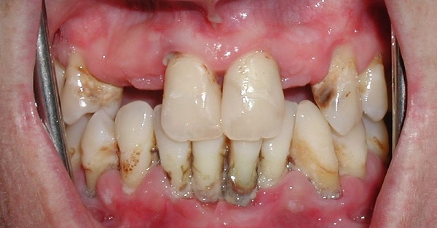
Các bệnh lý răng miệng, đặc biệt là viêm nha chu, là một trong những nguyên nhân chính gây tiêu xương ổ răng.

  • Viêm nha chu: Vi khuẩn gây viêm nha chu sinh sôi và tích tụ ở kẽ răng, dưới nướu tạo thành mảng bám và cao răng. Chúng tiết ra các độc tố gây viêm nhiễm, phá hủy các mô mềm quanh răng như nướu, dây chằng nha chu và cuối cùng là xương ổ răng. Viêm nha chu nếu không được điều trị kịp thời sẽ tiến triển thành viêm nha chu mãn tính, gây tiêu xương ổ răng nghiêm trọng. 

null

Viêm nha chu là một trong những nguyên nhân hàng đầu gây tiêu xương
  • Viêm quanh chóp răng: Viêm nhiễm ở chóp chân răng cũng có thể lan rộng và gây tiêu xương ổ răng.
  • Áp xe nha chu: Áp xe nha chu là tình trạng nhiễm trùng nghiêm trọng ở nướu, có thể gây tiêu xương ổ răng nhanh chóng.
  • Răng sâu, viêm tủy: Nếu không được điều trị kịp thời, các bệnh lý này có thể gây ra áp xe, viêm nhiễm lan rộng, dần dần dẫn tới tiêu xương răng.

Ngoài những nguyên nhân đã kể trên, còn rất nhiều yếu tố khác có thể gây tiêu xương ổ răng, từ các yếu tố bên trong cơ thể như di truyền, bệnh lý, đến các yếu tố bên ngoài như thuốc men, thói quen sinh hoạt.

Dấu hiệu của tiêu xương răng

Dù có nhiều nguyên nhân gây ra tiêu xương hàm nhưng tất cả chúng đều gây ra những dấu hiệu tiêu xương tương tự nhau. Dưới đây là các đặc điểm chính mà bạn có thể nhận ra để sớm cảnh giác với tình trạng này:

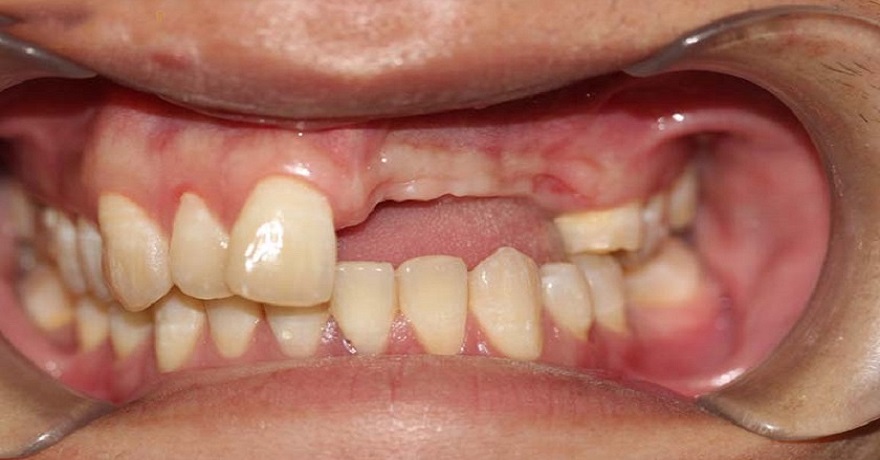
Một hoặc nhiều răng bị mất, và xương vùng mất răng bị thu hẹp về kích thước hoặc chiều cao

  • Bạn bị mất răng nhưng chưa có điều kiện trồng lại một chiếc mới. Khi nhìn qua gương, bạn thấy xương vùng mất răng (vẫn được bao phủ bởi mô lợi) bị thu hẹp về chiều cao hoặc chiều trong ngoài. Nếu xương bị tiêu nặng, bạn sẽ thấy một gờ xương nhô cao ở vùng giữa sống hàm, hai phía trong và ngoài thì thấp hơn. Đó là dấu hiệu cảnh báo bạn cần đi khám nha sĩ ngay vì có thể xương của bạn đã tiêu đến mức báo động.

null

Tụt lợi, hở chân răng là dấu hiệu tiêu xương răng có thể dễ dàng nhận biết
  • Theo chiều trên dưới, bạn thấy vùng xương bị mất răng thấp xuống tạo thành một hõm trũng sâu so với vùng xương hàm kế cận.

Xoang hàm hạ thấp

  • Dấu hiệu này chỉ có thể thấy được trên phim chụp X quang. Bác sĩ sẽ là người đánh giá mức độ ảnh hưởng của việc mất răng vùng xoang hàm (thường là răng hàm nhỏ và răng hàm lớn) đối với vị trí của xoang. Khi xoang hàm hạ thấp có nghĩa là vùng xương răng liền kề đã bị tiêu. Thời gian càng lâu thì thể tích xoang càng lớn. Điều này có thể dẫn đến chỉ định thực hiện thủ thuật nâng xoang khi phục hình răng giả sau này.

Tụt lợi

  • Nếu tiêu xương không do mất răng thì dấu hiệu thường gặp nhất là tụt lợi. Do không có xương ổ răng nâng đỡ nên lợi tụt dần xuống, lộ chân răng và gây cảm giác ê buốt cho răng bị tiêu xương.

Răng lung lay

  • Tiêu xương ổ răng quá nghiêm trọng sẽ gây biểu hiện lung lay răng do mô xương còn lại không đủ để nâng đỡ răng. Răng sẽ lung lay dần và mất răng là kết quả tất yếu.

Thay đổi thẩm mỹ khuôn mặt

  • Nếu mất nhiều răng và tiêu xương quá nhiều, khuôn mặt của bệnh nhân sẽ dần bị biến đổi. Việc tiêu xương khiến cho sự nâng đỡ các cơ trên khuôn mặt không còn được tốt, má bị hóp vào trong khiến cho bạn cảm giác rõ các dấu hiệu của lão hóa. Khuôn mặt có thể bị lệch, các bộ phận trên mặt trở nên bất cân xứng và bất hài hòa.

Làm cách nào khắc phục tiêu xương răng?

Tiêu xương răng là một vấn đề nghiêm trọng, ảnh hưởng đến cả thẩm mỹ và chức năng ăn nhai. Tuy nhiên, với sự phát triển của nha khoa hiện đại, việc khắc phục tình trạng tiêu xương đã trở nên dễ dàng hơn rất nhiều. Dưới đây là một số phương pháp điều trị tiêu xương răng phổ biến:

Loại bỏ các nguyên nhân gây ra mất răng sớm

Bạn cần vệ sinh răng miệng thật tốt để loại bỏ tất cả những nguy cơ gây mất răng sớm như sâu răng, viêm tủy răng, viêm quanh cuống, viêm quanh răng,… Hạn chế các nguy cơ gây chấn thương răng dẫn đến khả năng mất răng sớm.

Cấy ghép Implant

Cấy ghép Implant là một trong những phương pháp điều trị hiệu quả nhất để khắc phục tình trạng tiêu xương răng và phục hồi hàm răng bị mất nhờ những vai trò sau đây:

  • Thay thế chân răng: Trụ Implant được làm từ titan, một chất liệu tương thích sinh học cao, được cấy vào xương hàm để thay thế cho chân răng đã mất.
  • Kích thích xương tái tạo: Khi Implant được đặt vào xương hàm, nó sẽ kích thích các tế bào xương phát triển và bao quanh trụ Implant, tạo thành một liên kết vững chắc giữa Implant và xương hàm.
  • Ngăn chặn tiêu xương: Việc có một trụ Implant cố định trong xương hàm sẽ giúp phân tán lực nhai đều lên xương, kích thích quá trình tái tạo xương và ngăn chặn tình trạng tiêu xương tiếp tục xảy ra.

Khi cô chú/anh chị đã tham khảo mô phỏng cắm implant thì sẽ hiểu được tác dụng của phương pháp này. Từ đó, cô chú/anh chị có thể đưa ra quyết định làm răng phù hợp nhất.

null

Trồng răng implant vừa giúp khôi phục răng, vừa ngăn ngừa tiêu xương

Ưu điểm của Implant trong việc khắc phục tiêu xương răng

  • Phục hồi chức năng nhai: Implant giúp bạn ăn nhai thoải mái như răng thật, không còn cảm giác ê buốt hay khó chịu.
  • Cải thiện thẩm mỹ: Implant có màu sắc và hình dáng giống như răng thật, giúp bạn tự tin hơn khi giao tiếp.
  • Ngăn ngừa tiêu xương: Implant giúp duy trì khối lượng xương hàm, ngăn chặn tình trạng tiêu xương tiếp tục xảy ra.
  • Độ bền cao: Với công nghệ trồng răng hiện đại, Implant có tuổi thọ rất cao, có thể sử dụng suốt đời nếu được chăm sóc đúng cách.
  • Không ảnh hưởng đến răng bên cạnh: trồng răng implant không cần mài răng bên cạnh như khi làm cầu răng.

Cấy ghép xương hàm

Cấy ghép xương là một giải pháp hiệu quả để khắc phục tình trạng tiêu xương răng, đặc biệt là trong các trường hợp mất răng lâu ngày hoặc tiêu xương quá nhiều. Các loại vật liệu cấy ghép xương:

  • Xương tự thân: Lấy từ các vùng khác trên cơ thể như xương hàm dưới, xương chậu…
  • Xương nhân tạo: Làm từ các vật liệu sinh học tương thích với cơ thể.
  • Xương đồng chủng: Lấy từ xương của người hiến xương.

Cơ chế hoạt động của cấy ghép xương:

  • Bổ sung xương: Khi xương hàm bị tiêu, việc cấy ghép xương sẽ giúp bổ sung thêm lượng xương đã mất, tạo ra một nền móng vững chắc cho các bước điều trị tiếp theo.
  • Kích thích tái tạo xương: Vật liệu cấy ghép xương thường có khả năng kích thích tế bào xương tự thân phát triển và tái tạo, giúp xương mới hình thành và liên kết chặt chẽ với xương cũ.
  • Tạo điều kiện cho cấy ghép Implant: Sau khi cấy ghép xương, khi xương mới đã ổn định, bác sĩ sẽ tiến hành cấy ghép Implant vào vị trí đã được bổ sung xương. Trụ Implant sẽ tích hợp chặt chẽ với xương mới, tạo thành một nền tảng vững chắc cho răng giả.

Ưu điểm của cấy ghép xương:

  • Khôi phục thể tích xương: Cấy ghép xương giúp khôi phục lại thể tích xương đã mất, tạo điều kiện cho việc đặt trụ Implant.
  • Ngăn ngừa tiêu xương tiếp tục: Việc có một trụ Implant cố định trong xương hàm sẽ giúp phân tán lực nhai đều lên xương, kích thích quá trình tái tạo xương và ngăn chặn tình trạng tiêu xương tiếp tục xảy ra.
  • Tăng khả năng thành công của cấy ghép Implant: Khi có đủ lượng xương, tỷ lệ thành công của cấy ghép Implant sẽ cao hơn rất nhiều.
  • Phục hồi chức năng ăn nhai và thẩm mỹ: Sau khi cấy ghép Implant, bạn có thể ăn nhai thoải mái và tự tin cười nói.

Nâng xoang ghép xương

Nâng xoang ghép xương là một kỹ thuật nha khoa phức tạp, thường được áp dụng cho các trường hợp mất răng ở hàm trên đã lâu, dẫn đến tiêu xương và hốc xoang hàm bị trũng xuống. Phương pháp này giúp phục hồi lại khối lượng xương bị mất, tạo điều kiện thuận lợi cho việc cấy ghép Implant. Nếu bạn còn thắc mắc cấy implant có đau không có thể nhờ bác sĩ giải đáp nhé!

null

Các bước nâng xoang, ghép xương để cấy ghép implant

Cơ chế hoạt động của nâng xoang ghép xương: 

  • Tạo không gian: Khi mất răng ở hàm trên, xương hàm sẽ bị tiêu dần và hốc xoang sẽ trũng xuống. Nâng xoang nhằm mục đích tạo ra thêm một khoảng không gian giữa xương hàm và đáy xoang, tạo điều kiện để đặt vật liệu ghép xương.
  • Ghép xương: Vật liệu ghép xương (có thể là xương tự thân, xương nhân tạo hoặc xương từ người khác hiến tặng) sẽ được đặt vào khoảng trống vừa tạo ra, giúp tăng chiều cao và độ dày của xương hàm.
  • Kích thích tái tạo xương: Vật liệu ghép xương sẽ kích thích tế bào xương tự thân phát triển và tái tạo, tạo thành một khối xương mới vững chắc.
  • Cấy ghép Implant: Sau khi xương mới hình thành ổn định, bác sĩ sẽ tiến hành cấy ghép Implant vào vị trí đã được nâng xoang.

Ưu điểm của nâng xoang ghép xương

  • Khắc phục tiêu xương: Phương pháp này giúp khắc phục tình trạng tiêu xương ở hàm trên, tạo điều kiện cho việc cấy ghép Implant.
  • Tăng khả năng thành công của Implant: Khi có đủ lượng xương, tỷ lệ thành công của cấy ghép Implant sẽ cao hơn rất nhiều.

Trường hợp nào cần nâng xoang ghép xương?

  • Mất răng ở hàm trên đã lâu, xương hàm bị tiêu nhiều.
  • Hốc xoang hàm bị trũng xuống.
  • Không đủ xương để đặt trụ Implant.

Để bảo vệ hàm răng khỏe mạnh, việc phòng ngừa tiêu xương răng là vô cùng quan trọng. Hãy duy trì thói quen vệ sinh răng miệng đúng cách, khám răng định kỳ và có chế độ ăn uống lành mạnh. Nếu thấy bất kỳ dấu hiệu nào bất thường về tình trạng răng miệng, bạn đọc nên lựa chọn nha khoa uy tín và đến thăm khám sớm, kịp thời phát hiện và điều trị các bệnh răng miệng, tránh những biến chứng không mong muốn do tình trạng này gây ra.

Khách hàng điều trị tiêu xương răng tại Nha khoa Lạc Việt Intech

Nha khoa Lạc Việt Intech là nha khoa uy tín tập trung vào thế mạnh trồng răng implant, nha khoa đã tiếp nhận và điều trị thành công cho hàng ngàn trường hợp bị tiêu xương do nhiều nguyên nhân khác nhau. Điển hình là một trường hợp nữ khách hàng trẻ tuổi sinh năm 1995. 

Tình trạng ban đầu khi đến với Nha khoa Lạc Việt Intech: 

  • Mất 2 răng hàm dưới số 35 và 45; 
  • Xương hàm ở 2 vị trí mất răng bị tiêu lép nghiêm trọng.
  • Không đù thể tích xương để tiến hành cấy ghép implant. 

Bằng mắt thường chúng ta cũng có thể dễ dàng nhận thấy xương hàm của khách hàng bị tiêu lép nhiều do mất răng lâu năm. Xương hàm ở vị trí mất răng bị lép so với xương hàm ở các răng kế cận. 

null

Khách hàng bị tiêu xương do mất răng được ghép xương và trồng răng implant

Với tình trạng này, các bác sĩ tại Lạc Việt Intech đã đưa ra kế hoạch điều trị với phương án ghép xương và trồng răng implant với giải pháp DCT. Kế hoạch cụ thể như sau: 

  • Ghép xương tổng hợp để gia tăng thể tích xương, đảm bảo tính vững ổn cho trụ implant; 
  • Cấy ghép implant bằng máng hướng dẫn phẫu thuật Guideline; 
  • Đặt trụ lành thương cá nhân hóa; 
  • Phục hình răng sứ trên implant với trụ phục hình cá nhân hóa và răng sứ 3D Pro Multilayer. 

Điều đặc biệt là quá trình ghép xương và đặt chân răng implant sẽ được thực hiện trong cùng một lần phẫu thuật. Điều này giúp hạn chế xâm lấn tối đa cho khách hàng, đồng thời tiết kiệm thời gian, chi phí và vết thương cũng nhanh hồi phục hơn. 

Sau khi được ghép xương và trồng răng implant với giải pháp DCT, khách hàng đã sở hữu 2 răng implant có màu sắc và hình dáng giống đúc răng thật, thực hiện tốt chức năng thẩm mỹ và ăn nhai. Ngoài ra, việc sử dụng trụ phục hình cá nhân hóa cũng sẽ giúp cho phần lợi ở răng implant có độ phồng lý tưởng, đồng thời ngăn ngừa tình trạng đọng giắt thức ăn. Đây là một tiêu chí vô cùng quan trọng nhưng thường bị bỏ qua, bởi nếu đường viền lợi không được tái lập lại theo đúng giải phẫu thì sẽ có nguy cơ gây tụt lợi, hở cổ răng implant. Ngoài ra, những khách hàng đang tìm hiểu trồng implant có niềng được không hãy nhờ bác sĩ nha khoa tư vấn kỹ hơn nhé!

Tiêu xương răng là tình trạng có thể xảy ra do nhiều nguyên nhân khác nhau, không chỉ ảnh hưởng tới cấu trúc hàm – mặt mà còn ảnh hưởng tới sức khỏe răng miệng của người bệnh. Do đó, chúng ta nên phát hiện sớm các dấu hiệu tiêu xương răng để có thể phát hiện và điều trị kịp thời. 

 
Chia sẻ

Tin cùng chủ đề

Đăng ký tư vấn

Vui lòng để lại thông tin và nhu cầu của Quý Khách để được tư vấn

Đối tác của Nha khoa lạc việt intech

Osstem Implant
Osstem Implant
test
test1
Đặt lịch hẹn Messenger Liên hệ Zalo Địa chỉ