Cao răng là gì? 4 dấu hiệu cảnh báo nếu bạn không muốn mất răng

Tran Hoai Nam
17/06/2025

Cao răng là gì? 

Cao răng (hay còn gọi là vôi răng) là những mảng bám đã bị vôi hóa, tích tụ lâu ngày trên bề mặt răng và dưới nướu. Chúng hình thành từ thức ăn thừa, vi khuẩn và khoáng chất trong nước bọt nếu không được làm sạch kỹ càng.

Cao răng có thể có màu vàng ngà, nâu hoặc thậm chí là đen (do nhiễm màu từ thực phẩm, đồ uống hoặc khói thuốc), gây mất thẩm mỹ nghiêm trọng.

Cao răng (hay còn gọi là vôi răng) là những mảng bám đã bị vôi hóa, tích tụ lâu ngày trên bề mặt răng và dưới nướu

Cao răng (hay còn gọi là vôi răng) là những mảng bám đã bị vôi hóa, tích tụ lâu ngày trên bề mặt răng và dưới nướu

Nhiều người thường nhầm lẫn giữa mảng bámcao răng. Mảng bám là lớp màng mềm có thể làm sạch bằng chải răng. Ngược lại, cao răng rất cứng, chỉ có thể loại bỏ bằng dụng cụ chuyên dụng tại phòng khám nha khoa.

Việc lấy cao răng định kỳ không chỉ giúp giữ răng trắng sạch mà còn ngăn ngừa viêm nướu, sâu răng, mất răng và nhiều biến chứng nguy hiểm khác.

Dấu hiệu nhận biết có cao răng

Cao răng thường không gây đau rõ rệt nên dễ bị bỏ qua. Dưới đây là những dấu hiệu cho thấy cô chú anh chị đã có cao răng và cần được làm sạch:

  • Răng ố vàng, sậm màu ở chân răng: Đây là dấu hiệu dễ nhận biết nhất. cô chú anh chị sẽ thấy những mảng bám màu vàng, nâu hoặc đen tích tụ ở đường viền nướu, mặt trong của răng cửa dưới và mặt ngoài của răng hàm trên. 
  • Chảy máu khi đánh răng, nướu sưng đỏ: Nướu khỏe mạnh có màu hồng nhạt và không chảy máu. Khi cao răng tích tụ, độc tố từ vi khuẩn gây kích ứng, làm nướu bị viêm (bệnh viêm nướu). Nướu sẽ sưng phồng, có màu đỏ sẫm và rất dễ chảy máu chỉ với một tác động nhẹ như chải răng hoặc dùng chỉ nha khoa.
  • Hơi thở có mùi dù đã vệ sinh răng miệng: Vi khuẩn trú ngụ trong cao răng phân hủy các mảnh vụn thức ăn, giải phóng hợp chất lưu huỳnh dễ bay hơi gây ra tình trạng hôi miệng mãn tính.
  • Tụt nướu, ê buốt nhẹ: Đây là dấu hiệu của tình trạng viêm nhiễm đã tiến triển. Tình trạng viêm kéo dài khiến nướu dần dần tụt xuống, làm lộ ra phần chân răng. Chân răng không có lớp men răng bảo vệ nên rất nhạy cảm với nhiệt độ nóng, lạnh, gây ra cảm giác ê buốt khó chịu.

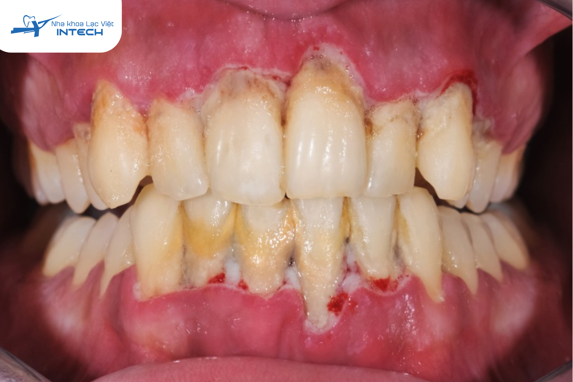
Cao răng có màu vàng, nâu hoặc đen tích tụ ở đường viền nướu, mặt trong của răng cửa dưới và mặt ngoài của răng hàm trên

Cao răng có màu vàng, nâu hoặc đen tích tụ ở đường viền nướu, mặt trong của răng cửa dưới và mặt ngoài của răng hàm trên

Cao răng hình thành như thế nào?

Cao răng (vôi răng) hình thành từ chính những mảng bám mềm – thứ tưởng chừng vô hại trong khoang miệng mỗi ngày. Khi cô chú anh chị ăn uống, vi khuẩn trong khoang miệng kết hợp với thức ăn thừa, nước bọt, tạo thành mảng bám bám quanh chân răng và kẽ răng. Nếu không được làm sạch đúng cách trong vòng 24–72 giờ, những mảng bám này sẽ dần cứng lại nhờ khoáng chất trong nước bọt, trở thành cao răng.

Cao răng có mấy loại?

Cao răng được chia thành hai loại chính. 

Cao răng thường (hay còn gọi là cao răng trên nướu) có màu trắng ngà hoặc vàng nhạt, dễ thấy bằng mắt thường. Nó thường nằm ở cổ răng, nơi tiếp giáp giữa răng và nướu. Tuy không gây cảm giác đau nhức nhưng lại là môi trường lý tưởng cho vi khuẩn phát triển, dẫn đến viêm nướu và hôi miệng nếu không được làm sạch định kỳ.

Cao răng huyết thanh (cao răng dưới nướu). Loại này nằm sâu bên dưới viền nướu, có màu nâu đậm hoặc đen do tích tụ các chất trong máu, đặc biệt là hồng cầu bị phá vỡ bởi viêm nướu lâu ngày. Vì nằm ẩn dưới mô nướu nên mắt thường rất khó phát hiện. Đây chính là thủ phạm âm thầm phá huỷ tổ chức nha chu, gây tụt lợi, tiêu xương ổ răng và làm răng lung lay, thậm chí rụng sớm dù răng vẫn còn nguyên vẹn.

Các cấp độ của cao răng

Vậy làm sao để biết cao răng của mình đang ở mức độ nào? Câu trả lời nằm ở hệ thống phân độ cao răng – yếu tố giúp đánh giá tình trạng hiện tại và hướng xử lý phù hợp. 

Cấp độ 1, cao răng mới hình thành, mỏng và có màu trắng nhạt, chủ yếu xuất hiện như một dải mờ ở viền nướu. Giai đoạn này thường khó nhận biết nếu không kiểm tra kỹ, và việc đánh răng đúng cách có thể làm chậm quá trình tích tụ nhưng không thể loại bỏ hoàn toàn. 

Cấp độ 2, cao răng bắt đầu dày và cứng hơn, dù màu sắc vẫn khá nhạt nhưng đã bám chặt vào chân răng. Khi này, người bệnh không thể tự làm sạch bằng cách thông thường mà cần đến sự can thiệp của bác sĩ với dụng cụ nha khoa chuyên dụng.

Cấp độ 3, khi cao răng đã chuyển sang màu vàng đậm, phủ kín cả mặt ngoài và mặt trong răng với kết cấu dày, thô ráp. Rất nhiều trường hợp ở cấp độ này còn kèm theo biểu hiện nướu sưng đỏ, dễ chảy máu khi đánh răng, hơi thở có mùi khó chịu kéo dài. 

Cấp độ 4 – mức độ nặng nhất và cũng nguy hiểm nhất. Lúc này, cao răng có thể có màu nâu sậm hoặc đen, thậm chí thấm máu và sắc tố từ thức ăn, thuốc lá tạo thành những mảng bám cứng như đá. Cao răng huyết thanh ở cấp độ này không chỉ bao phủ toàn bộ chân răng mà còn lan sâu xuống dưới nướu, tấn công cả vùng quanh xương hàm. Hệ quả là răng có thể bị lung lay, tụt nướu nặng, gây đau nhức kéo dài và cần điều trị nha chu chuyên sâu.

Các cấp độ của cao răng

Các cấp độ của cao răng

Nguyên nhân hình thành cao răng

Vệ sinh răng chưa đúng cách

Đây là nguyên nhân hàng đầu và phổ biến nhất. Nếu cô chú anh chị mắc phải những sai lầm sau, nguy cơ hình thành cao răng sẽ rất cao:

  • Chải răng không đủ 2 lần/ngày: Không loại bỏ mảng bám thường xuyên.
  • Thời gian chải răng quá ngắn: Chải răng dưới 2 phút không đủ để làm sạch tất cả các bề mặt răng.
  • Bỏ qua việc dùng chỉ nha khoa: Bàn chải chỉ làm sạch được 60% bề mặt răng. 40% còn lại ở kẽ răng là nơi mảng bám dễ tích tụ và hình thành cao răng nhất.
  • Kỹ thuật chải răng sai: Chải răng theo chiều ngang không làm sạch được vùng cổ răng và còn gây mòn răng.

Chế độ ăn uống không lành mạnh

  • Ăn nhiều đường, tinh bột: Vi khuẩn trong miệng rất "thích" đường và tinh bột (có trong bánh kẹo, nước ngọt, cơm, bánh mì...). Chúng chuyển hóa các chất này thành axit, vừa làm hỏng men răng, vừa thúc đẩy sự phát triển của mảng bám.
  • Thực phẩm dính: Các loại kẹo dẻo, trái cây sấy khô... dễ dàng bám chặt vào răng và kẽ răng, tạo điều kiện cho mảng bám hình thành.

Thói quen sinh hoạt

  • Hút thuốc lá: Nicotine và các hóa chất trong thuốc lá không chỉ gây ố vàng răng mà còn làm giảm tiết nước bọt (khô miệng), khiến mảng bám dễ tích tụ hơn. Người hút thuốc có nguy cơ bị bệnh nướu và tích tụ cao răng cao hơn nhiều lần so với người không hút thuốc.
  • Uống cà phê, trà thường xuyên: Tương tự thuốc lá, cà phê và trà chứa tanin, dễ gây nhiễm màu lên bề mặt cao răng, khiến chúng trở nên sậm màu và mất thẩm mỹ hơn.

Không lấy cao răng định kỳ

Khi cô chú anh chị không đi lấy cao răng, lớp cao răng cũ sẽ trở thành một bề mặt nhám, lý tưởng để mảng bám mới dễ dàng bám vào hơn, khiến tốc độ hình thành cao răng ngày càng nhanh và mức độ ngày càng trầm trọng.

Tác hại khôn lường của cao răng đối với sức khỏe

Gây viêm lợi, viêm nha chu

Vi khuẩn trong cao răng gây kích ứng, làm nướu sưng, đỏ và dễ chảy máu. Nếu viêm lợi không được điều trị, nó sẽ tiến triển thành viêm nha chu. Đây là một tình trạng nhiễm trùng nghiêm trọng, phá hủy các mô mềm và xương nâng đỡ răng (gọi là bộ máy nha chu). Các túi mủ hình thành giữa nướu và răng, xương ổ răng dần tiêu biến.

Làm răng lung lay, nguy cơ mất răng sớm

Hậu quả tất yếu của bệnh viêm nha chu không được kiểm soát là mất răng. Khi xương và dây chằng nha chu bị phá hủy, răng sẽ mất đi nền tảng nâng đỡ, trở nên lung lay và cuối cùng là rụng đi, ngay cả khi bản thân chiếc răng đó không bị sâu.

Hôi miệng, mất tự tin trong giao tiếp

Cao răng là nơi trú ngụ của vi khuẩn gây mùi. Tình trạng hôi miệng dai dẳng do cao răng gây ra ảnh hưởng nghiêm trọng đến tâm lý, khiến cô chú anh chị mất tự tin khi giao tiếp, ngại cười nói, tác động tiêu cực đến các mối quan hệ xã hội và công việc.

Nguy cơ ảnh hưởng đến sức khỏe toàn thân

Đây là tác hại nguy hiểm nhất nhưng lại ít người biết đến. Khoang miệng không phải là một hệ thống biệt lập. Các nghiên cứu khoa học uy tín đã chứng minh mối liên hệ hai chiều giữa bệnh nha chu (gây ra bởi cao răng) và các bệnh lý toàn thân nghiêm trọng như bệnh tim mạch, bệnh tiểu đường, biến chứng thai kỳ,...

Vi khuẩn trong cao răng gây kích ứng, làm nướu sưng, đỏ và dễ chảy máu tạo thành viêm lợi, nặng hơn là viêm nha chu

Vi khuẩn trong cao răng gây kích ứng, làm nướu sưng, đỏ và dễ chảy máu tạo thành viêm lợi, nặng hơn là viêm nha chu

Các phương pháp lấy cao răng hiện nay

1. Cách điều trị cao răng tại nhà

Với những trường hợp cao răng mới hình thành (cấp độ 1), mảng bám còn mỏng và chưa vôi hóa hoàn toàn, cô chú anh chị có thể áp dụng một số phương pháp tại nhà để ngăn chặn sự phát triển của cao răng.

  • Đánh răng đúng cách và đều đặn: Sử dụng bàn chải lông mềm, đánh răng ít nhất 2 lần mỗi ngày với kem đánh răng chứa fluor. Kỹ thuật đánh răng nên theo chiều dọc hoặc xoay tròn nhẹ nhàng, tập trung vào viền nướu – nơi cao răng thường tích tụ.
  • Sử dụng chỉ nha khoa hoặc tăm nước: Đây là bước không thể thiếu để làm sạch kẽ răng – vùng mà bàn chải khó tiếp cận. Vi khuẩn và thức ăn thừa tại đây nếu không được làm sạch sẽ nhanh chóng chuyển hóa thành cao răng cứng.
  • Cạo lưỡi hằng ngày: Lưỡi là nơi chứa hàng triệu vi khuẩn. Dùng dụng cụ cạo lưỡi để loại bỏ lớp mảng bám trắng và giảm nguy cơ hình thành cao răng.
  • Súc miệng sát khuẩn: Dùng nước súc miệng chứa các hoạt chất như chlorhexidine, cetylpyridinium chloride (CPC) giúp kiểm soát vi khuẩn, từ đó giảm sự tích tụ mảng bám.
  • Một số mẹo dân gian: Một số người sử dụng baking soda pha loãng, dầu dừa hoặc nước trà xanh để súc miệng. Các phương pháp này giúp trung hòa pH khoang miệng, ức chế vi khuẩn. Tuy nhiên, chúng chỉ có tác dụng hỗ trợ và không thay thế được việc điều trị cao răng chuyên sâu.

Các biện pháp tại nhà chỉ hiệu quả khi cao răng chưa bị vôi hóa hoàn toàn. Một khi mảng bám đã chuyển thành cao răng cứng, cô chú anh chị không thể tự làm sạch bằng bất kỳ cách nào tại nhà, kể cả dùng baking soda, muối hay bàn chải điện.

2. Điều trị cao răng chuyên sâu tại nha khoa

Với hầu hết trường hợp, đặc biệt là từ cấp độ 2 trở lên, cao răng đã bám chặt vào răng và nướu, hình thành các mảng cứng không thể loại bỏ bằng cách vệ sinh thông thường. Khi đó, việc lấy cao răng tại phòng khám là phương pháp bắt buộc và hiệu quả nhất.

  • Lấy cao răng bằng sóng siêu âm: Đây là phương pháp phổ biến nhất hiện nay. Thiết bị sử dụng đầu rung siêu âm tạo dao động cao tần giúp tách mảng cao răng khỏi bề mặt răng mà không gây tổn thương men răng hay nướu. Quá trình diễn ra nhanh chóng, ít đau và không chảy máu.
  • Lấy cao răng dưới nướu (cao răng huyết thanh): Đối với những trường hợp cao răng bám sâu dưới nướu, bác sĩ sẽ tiến hành lấy cao răng kết hợp bơm rửa túi nha chu bằng dung dịch sát khuẩn chuyên dụng. Việc này đòi hỏi tay nghề chuyên môn cao, thường được thực hiện dưới kính hiển vi hoặc phóng đại để đảm bảo độ chính xác.
  • Đánh bóng răng sau khi lấy cao răng: Sau khi cao răng được loại bỏ, bề mặt răng sẽ được đánh bóng nhẹ nhàng để làm mịn, giúp hạn chế vi khuẩn và mảng bám bám trở lại. Đây là bước thường bị bỏ qua ở các phòng khám nhỏ, nhưng lại rất quan trọng trong việc duy trì hiệu quả lâu dài.
  • Lịch lấy cao răng định kỳ: Theo khuyến nghị, mỗi người nên lấy cao răng 3–6 tháng một lần. Với người có nguy cơ viêm nha chu cao (như người hút thuốc, tiểu đường…), nên lấy cao răng thường xuyên hơn.

Nếu cao răng từ cấp độ 2 trở lên đã bám chặt vào răng và nướu, hình thành các mảng cứng không thể loại bỏ bằng cách vệ sinh thông thường mà phải điều trị nha khoa

Nếu cao răng từ cấp độ 2 trở lên đã bám chặt vào răng và nướu, hình thành các mảng cứng không thể loại bỏ bằng cách vệ sinh thông thường mà phải điều trị nha khoa

Nhìn chung, các biện pháp tại nhà chỉ có tính hỗ trợ, còn điều trị tại nha khoa là giải pháp duy nhất nếu cô chú anh chị muốn làm sạch cao răng triệt để và bảo vệ răng miệng lâu dài. Việc trì hoãn có thể khiến cao răng tích tụ dày, gây viêm nướu, tụt lợi và thậm chí mất răng sớm.

Cách phòng ngừa cao răng hiệu quả để bảo vệ răng miệng lâu dài

Cao răng không hình thành ngay trong một đêm mà là kết quả của quá trình tích tụ mảng bám kéo dài. Vì vậy, nếu chủ động chăm sóc răng miệng đúng cách mỗi ngày, cô chú anh chị hoàn toàn có thể phòng ngừa cao răng ngay từ đầu, giảm nguy cơ viêm nướu, tụt lợi hay hôi miệng về sau. Dưới đây là những cách hiệu quả, dễ áp dụng giúp cô chú anh chị ngăn chặn sự hình thành và phát triển của cao răng.

Đánh răng đúng cách ít nhất 2 lần mỗi ngày

  • Dùng bàn chải lông mềm, kích thước vừa vặn với khuôn miệng.

  • Chải răng ít nhất 2 phút/lần, theo chuyển động tròn hoặc quét nhẹ từ nướu đến thân răng.

  • Không bỏ qua mặt trong của răng – nơi dễ tích tụ mảng bám nhưng thường bị bỏ sót.

  • Thay bàn chải mỗi 3 tháng hoặc khi lông đã xòe.

  • Ngoài ra, sử dụng kem đánh răng chứa fluor giúp bảo vệ men răng và kiểm soát vi khuẩn hiệu quả hơn.

Làm sạch kẽ răng mỗi ngày bằng chỉ nha khoa hoặc tăm nước

Mảng bám không chỉ xuất hiện trên bề mặt răng mà còn tích tụ trong kẽ răng – nơi bàn chải không thể tiếp cận. Dùng chỉ nha khoa hoặc tăm nước mỗi ngày là cách tối ưu để làm sạch mảng bám ở vùng này, từ đó ngăn chặn mảng bám chuyển hóa thành cao răng.

Vệ sinh lưỡi định kỳ

Lưỡi là nơi chứa hàng triệu vi khuẩn, đặc biệt ở vùng mặt lưng. Dùng dụng cụ cạo lưỡi hoặc bàn chải mềm cọ nhẹ vùng lưỡi sau khi đánh răng giúp loại bỏ lớp mảng trắng, giảm mùi hôi miệng và hạn chế vi khuẩn góp phần tạo cao răng.

Súc miệng với nước sát khuẩn hoặc nước muối loãng

Việc súc miệng sau khi ăn hoặc sau khi đánh răng giúp làm sạch khoang miệng toàn diện hơn. Các loại nước súc miệng chứa hoạt chất sát khuẩn như chlorhexidine, CPC hoặc thảo dược thiên nhiên có khả năng ức chế vi khuẩn, từ đó giảm nguy cơ hình thành mảng bám.

Uống đủ nước và hạn chế ăn vặt

Nước bọt có tác dụng rửa trôi mảng bám và cân bằng độ pH khoang miệng. Khi cơ thể thiếu nước, tuyến nước bọt giảm tiết, tạo điều kiện cho vi khuẩn phát triển mạnh. Vì vậy:

  • Hãy uống đủ 2 – 2.5 lít nước mỗi ngày, nhất là sau khi ăn hoặc uống cà phê, trà, đồ ngọt.

  • Hạn chế đồ ăn vặt nhiều đường, nước ngọt có gas – “mồi ngon” cho vi khuẩn tạo mảng bám.

Không hút thuốc và tránh các thực phẩm dễ bám dính

Thuốc lá không chỉ làm răng xỉn màu mà còn tạo điều kiện cho cao răng hình thành nhanh chóng. Nhựa thuốc bám dính cao hơn mức bình thường và khó loại bỏ. Tương tự, thực phẩm như bánh quy, kẹo mềm, trái cây sấy… cũng dễ bám lại bề mặt răng nếu không vệ sinh kỹ sau ăn.

Lấy cao răng định kỳ tại nha khoa

Ngay cả khi cô chú anh chị vệ sinh răng miệng tốt, vẫn có khả năng cao răng hình thành ở những vị trí khó làm sạch. Do đó, các chuyên gia nha khoa khuyến cáo nên:

  • Lấy cao răng 3 – 6 tháng một lần, tùy cơ địa và mức độ tích tụ.

  • Người có nguy cơ cao (hút thuốc, mang niềng răng, tiểu đường…) nên đi lấy cao răng thường xuyên hơn.

Lấy cao răng định kỳ không chỉ là bước chăm sóc răng miệng mà còn là cách phát hiện sớm các bệnh lý như sâu răng, viêm nướu, nha chu… giúp cô chú anh chị bảo vệ sức khỏe răng miệng toàn diện. Ngoài ra, nếu cô chú/anh chị chưa hiểu rõ cắm implant là như thế nào hãy liên hệ ngay Lạc Việt Intech nhé!

Để được thăm khám và tư vấn chi tiết về tình trạng răng miệng của cô chú anh chị, cũng như phát hiện và lấy cao răng sớm, hãy đặt lịch hẹn với đội ngũ chuyên gia giàu kinh nghiệm tại Nha khoa Lạc Việt Intech ngay hôm nay! 

  • Hotline: 0866.38.0033 (hoặc 1900.6421)

 



Chia sẻ

Tin cùng chủ đề

Đăng ký tư vấn

Vui lòng để lại thông tin và nhu cầu của Quý Khách để được tư vấn

Đối tác của Nha khoa lạc việt intech

Osstem Implant
Osstem Implant
test
test1
Đặt lịch hẹn Messenger Liên hệ Zalo Địa chỉ