Tiêu xương nghiêm trọng vì sử dụng hàm tháo lắp 10 năm

Quản trị viên
31/12/2022
Hoàng Vũ Hiệp

Bác sĩ phụ trách

BS. Hoàng Vũ Hiệp

Xem chi tiết Đăng ký khám
Từng sử dụng hàm giả tháo lắp để thay thế nhiều răng mất, đến nay xương hàm dưới của cô Chu Thị Sinh đã bị tiêu biến nghiêm trọng. Lựa chọn phương pháp trồng răng Implant All On 6, giờ đây cô Sinh đã có thể lấy lại khả năng ăn nhai và nụ cười tự tin hơn.

Từng sử dụng hàm giả tháo lắp để thay thế nhiều răng mất, đến nay xương hàm dưới của cô Chu Thị Sinh đã bị tiêu biến nghiêm trọng. Lựa chọn phương pháp trồng răng Implant All On 6, giờ đây cô Sinh đã có thể lấy lại khả năng ăn nhai và nụ cười tự tin hơn.

Tiêu xương nghiêm trọng vì sử dụng hàm tháo lắp 10 năm

Khách hàng Chu Thị Sinh (63 tuổi) trước đây từng bị mất nhiều răng hàm trên và hàm dưới do sâu răng. Do lo ngại việc điều trị phức tạp, cô Sinh đã lựa chọn phương pháp sử dụng hàm giả tháo lắp để khôi phục răng mất và cải thiện chức năng ăn nhai.

Tuy nhiên, hàm giả tháo lắp không mang lại hiệu quả mà còn khiến cho phần xương hàm dưới của cô bị tiêu lép nghiêm trọng. Điều này không chỉ khiến cô luôn trong tâm trạng lo lắng mà còn dẫn đến tình trạng suy nhược sức khỏe.

Tình trạng răng trước đây của cô Chu Thị Sinh

Cô Sinh tâm sự: “Cô bị mất răng mấy năm nay rồi. Trước đây răng của cô bị sâu, đau nhức nên có đến một phòng khám nha khoa thì bác sĩ chỉ định nhổ 5, 6 cái liền. Cả cái chân răng gãy rồi cũng nhổ hết. Sau đó thì hàm trên bác sĩ có làm cho cô 2 cái cầu răng sứ. Còn hàm dưới do không còn răng hàm để làm trụ nâng đỡ cầu sứ nên cô buộc phải làm hàm tháo lắp”. 

Việc sử dụng hàm tháo lắp không mấy khả quan do hàm giả không gắn cố định vào xương hàm. Quá trình ăn nhai dễ bị xô lệch, không thể nghiền nát thức ăn. Chính vì thế, cô Sinh vẫn luôn mong muốn tìm kiếm một phương pháp khôi phục răng mất cố định để cải thiện khả năng ăn nhai và giúp cô trở nên tự tin hơn. 

“Dùng hàm tháo lắp nó không chắc chắn, hay bị lung lay do đó cô cảm thấy ăn nhai không ổn. Quá trình ăn uống thức ăn dễ bị mắc kẹt vào bên dưới hàm giả gây kênh đau khó chịu và cô không thể ăn được nữa” - Cô Sinh tâm sự. 

Từng đến thăm khám tại nhiều cơ sở nha khoa và được nhận định bị tiêu xương hàm do sử dụng hàm giả tháo lắp lâu năm. Chính vì vậy, việc phục hình răng bằng phương pháp trồng răng là điều không thể. Khi biết không thể lấy lại được hàm răng như trước đây, cô Sinh trở nên suy sụp, sức khỏe suy giảm nghiêm trọng. 

Hành trình trồng răng Implant All On 6 khôi phục hàm dưới

Không ngừng nuôi hy vọng, cô Sinh vẫn quyết tâm tìm kiếm một địa chỉ nha khoa có thể khôi phục hàm răng mất bằng phương pháp trồng răng toàn hàm. Sau khi tham khảo thông tin trên mạng xã hội và hỏi ý kiến từ người thân, cô Sinh đã quyết định đến Nha khoa Lạc Việt Intech để thăm khám một lần nữa. 

Dựa trên kết quả phim chụp và kiểm tra tổng quát, bác sĩ tại Nha khoa Lạc Việt Intech nhận định trường hợp của cô Sinh hoàn toàn có thể khôi phục được bằng phương pháp trồng răng toàn hàm. 

Cô Chu Thị Sinh cho biết: “Sau một thời gian suy nghĩ, cô tìm hiểu trên facebook thì thấy Nha khoa Lạc Việt Intech đã trồng răng toàn hàm thành công cho rất nhiều ca mất răng. Cô mới đi sang tìm hiểu và thăm khám thì bác sĩ Dương có nói là răng của cô vẫn làm được. Cảm thấy rất vui nên cô đã đồng ý luôn, làm được là cô đã mừng lắm rồi.”

Cận cảnh hàm răng làm cầu sứ hỏng và mất nhiều răng hàm dưới

Qua thăm khám và dựa trên phim CT Cone Beam, đội ngũ bác sĩ tại Nha khoa Lạc Việt Intech nhận định tình trạng răng của cô Chu Thị Sinh: 

  • Bệnh nhân bị mất gần như toàn bộ răng 2 bên hàm dưới, chỉ còn lại 1 chiếc cầu sứ. Trong đó có 2 chân bị chết tủy tạo thành nang viêm rất lớn ở vị trí răng cửa hàm dưới. 
  • Việc thực hiện cầu răng sứ quá dài, khóa rất nhiều răng lại với nhau nên sau một thời gian sử dụng, các chân răng trụ đã bị lung lay, gãy vỡ vì vậy cô đã phải nhổ bỏ.  
  • Hàm trên tuy còn đủ răng trên miệng nhưng cũng là một cầu sứ rất dài từ bên trái sang bên phải. 
  • Sử dụng hàm tháo lắp trong một thời gian dài gây tiêu xương nghiêm trọng. 

Bác sĩ Nguyễn Hoàng Dương - Chuyên gia cấy ghép Implant và phẫu thuật trong miệng tại Nha Khoa Lạc Việt Intech cho biết: “Việc sử dụng hàm tháo lắp trong một khoảng thời gian dài có rất nhiều nhược điểm như không cố định, bị dập dềnh nên việc ăn nhai sẽ không thể chắc chắn.”

“Qua quá trình khảo sát xương hàm của cô Sinh, chúng tôi nhận định hàm trên vẫn còn sử dụng được trong một thời gian nữa. Còn hàm dưới 3 chân răng còn lại chắc chắn phải nhổ bỏ và tiến hành trồng răng All On 6 để khôi phục toàn bộ các răng mất.” - Bác sĩ Dương nhận định. 

Do sử dụng hàm tháo lắp quá lâu, tác động liên tục vào phần xương hàm bên dưới khiến xương hàm 2 bên của cô bị tiêu biến rất nhiều. Toàn bộ phần xương còn lại thì chiều cao xương còn rất hạn chế, chỉ vừa đủ để đặt trụ Implant tại những vị trí chịu lực tốt ở trên cung hàm. 

Việc ứng dụng công nghệ trồng răng Safe Tech trong quá trình điều trị giúp bác sĩ có thể lựa chọn những vị trí xương hàm tốt nhất để đặt chân răng Implant. Đồng thời tránh được các cấu trúc giải phẫu nguy hiểm, đảm bảo an toàn trong suốt quá trình phẫu thuật. Khi đã hiểu rõ implant nha khoa là gì thì giải pháp này hoàn toàn phù hợp với cô Sinh.

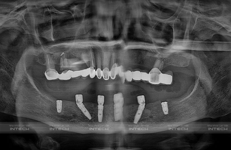
Dưới đây là phim CT Cone Beam của cô Chu Thị Sinh sau khi trồng răng Implant. 

Phim CT Cone Beam của cô Chu Thị Sinh sau cấy Implant

Bác sĩ đã đặt tổng cộng 6 trụ Implant ở hàm dưới, trong đó có 2 trụ ở phía trước đặt thẳng, 2 trụ nghiêng ở 2 bên để tránh các mốc giải phẫu và 2 trụ đằng sau. Sau khi cấy ghép Implant, bác sĩ có lắp hàm tạm cho khách hàng để về nhà có thể ăn nhai thoải mái.

Chia sẻ về quá trình cấy ghép Implant, cô Sinh cho biết: “Quá trình bác sĩ làm cô thấy rất nhẹ nhàng, không đau đớn gì cả. Chỉ có lúc tiêm tê thì hơi ê một chút, xong về thì thấy êm luôn”.

Sức khỏe cải thiện, tinh thần thoải mái sau trồng răng Implant

Sau 3 tháng chờ đợi, cô Sinh đã đến Nha khoa Lạc Việt Intech theo lịch hẹn để lắp răng sứ hoàn thiện. Đánh giá của cô Sinh sau khi lắp hàm răng sứ cố định: “Cô cảm thấy rất ưng ý, màu sắc răng trắng sáng khiến cô rất thích. Thẩm mỹ đẹp và khả năng ăn nhai như răng thật. Sau này khi cầu răng hàm trên hỏng nốt, chắc chắn cô sẽ quay lại Nha khoa Lạc Việt Intech để làm nốt hàm răng còn lại”.

Kết quả hiện tại sau khi lắp răng cố định của cô Sinh

“Cô cảm thấy may mắn vì đã lựa chọn Nha khoa Lạc Việt Intech để làm răng. Nhờ có đội ngũ bác sĩ tại Nha khoa Lạc Việt Intech, cô đã một lần nữa lấy lại được khả năng ăn nhai và tự tin hơn." - Cô Sinh hạnh phúc chia sẻ

=> Xem ngay hành trình trồng răng Implant của khách hàng Chu Thị Sinh qua video sau đây:

Mất răng nghiêm trọng và hành trình lấy lại nụ cười của cô Chu Thị Sinh

Như vậy, hành trình trồng răng Implant của cô Chu Thị Sinh đã hoàn tất, thành công ngoài mong đợi. Với hàm răng mới đều đẹp, ăn nhai tốt hy vọng cô Sinh có thể yên tâm sống vui tuổi già. 

Nếu cô chú/ anh chị đang gặp phải tình trạng mất răng giống cô Chu Thị Sinh, hãy liên hệ ngay tới Hotline 19006421 hoặc đến trực tiếp cơ sở Nha khoa Lạc Việt Intech để được bác sĩ tư vấn miễn phí!

Chia sẻ

Tin cùng chủ đề

Đăng ký tư vấn

Vui lòng để lại thông tin và nhu cầu của Quý Khách để được tư vấn

Đặt lịch hẹn Messenger Liên hệ Zalo Địa chỉ