Hối Hận Khi Trồng Răng Implant - "Góc Khuất" Từ Người Trong Cuộc! Phải Làm Gì Để Phòng Tránh?

Tran Hoai Nam
30/08/2025

Thực tế, không phải lúc nào bệnh nhân cũng hài lòng sau khi trồng răng Implant. Trong vài năm gần đây, cùng với sự phát triển quá nóng của lĩnh vực Implant, các ca mất tích hợp muộn (thải ghép sau một thời gian sử dụng), hối hận khi trồng răng implant xuất hiện ngày càng nhiều. Nếu như trước đây, cả năm bác sĩ chỉ gặp vài trường hợp, thì hiện nay mỗi tháng có thể ghi nhận đến vài ca. Đây là vấn đề đáng lo ngại, khiến nhiều bệnh nhân rơi vào tình trạng hối hận vì lựa chọn sai từ ban đầu.

Nguyên nhân “hối hận khi trồng răng implant”

Nguyên nhân 1: Vật liệu không đảm bảo

Thực tế, rất nhiều ca mất tích hợp muộn xuất phát từ chính yếu tố vật liệu. Cụ thể có hai tình huống thường gặp:

  • Chân Implant không tốt: một số cơ sở sử dụng trụ Implant giá rẻ, hoặc loại mà bề mặt xử lý không đạt chuẩn. Khi mới cắm thì trụ vẫn bám được vào xương, nhưng sau một thời gian ăn nhai, xương không còn giữ được sự liên kết với bề mặt Implant nữa, dẫn đến hiện tượng “nhả tích hợp”. Đây chính là lý do nhiều bệnh nhân sau 1 năm cấy ghép mới bắt đầu có triệu chứng sưng đau, lung lay trụ.
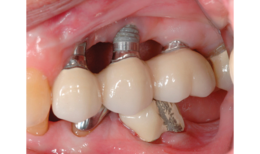
  • Trụ phục hình kém chất lượng: về nguyên tắc, khi gắn phục hình, quanh Implant sẽ hình thành một “hàng rào sinh học” giúp ngăn vi khuẩn xâm nhập xuống phía dưới. Nhưng nếu trụ phục hình không tốt, hàng rào này bị phá vỡ, tạo điều kiện cho vi khuẩn tấn công, gây viêm nhiễm và tiêu xương quanh Implant.

tru-phuc-hinh-kem-chat-luong

Sử dụng trụ phục hình bán sẵn, kém chất lượng khó tạo được hàng rào bảo vệ sinh học.

Ngoài ra, cũng có thể liên quan đến răng sứ không đạt chuẩn, nhưng trường hợp này ít gặp hơn.

Như vậy, xét trên góc độ vật liệu, nguyên nhân chủ yếu thường là do chất lượng trụ Implant hoặc trụ phục hình không đảm bảo, khiến quá trình tích hợp xương không bền vững, lâu dần dẫn đến thất bại.

Nguyên nhân 2: Kỹ thuật thực hiện chưa chuẩn xác

Một nguyên nhân nữa dẫn đến tình trạng mất tích hợp muộn, hối hận sau trồng răng chính là kỹ thuật làm chưa tốt. Có thể bác sĩ còn ít kinh nghiệm, hoặc không ứng dụng các công nghệ hỗ trợ hiện đại như máng hướng dẫn phẫu thuật, robot định vị… Điều này khiến cho hướng cắm trụ Implant không chính xác.

Ví dụ, thay vì phải cắm thẳng đúng trục, thì trụ lại bị nghiêng, hoặc lệch vào trong hoặc lệch ra ngoài. Ban đầu, trụ vẫn tích hợp với xương, nhưng về lâu dài, khi lực nhai truyền không đúng hướng, xương quanh Implant sẽ bị tiêu dần, tạo ra “step tiêu xương”, dẫn đến mất tích hợp.

Kỹ thuật không chuẩn xác có thể làm mất tích hợp implant

Ngoài ra, còn một khía cạnh kỹ thuật khác thường bị bỏ sót, đó là xử lý khớp cắn. Đây là công đoạn khó và đòi hỏi nhiều kinh nghiệm. Nếu khớp cắn chỉnh không chuẩn, lực nhai sẽ dồn quá tải lên răng Implant. Thời gian đầu có thể chưa thấy vấn đề gì, nhưng sau một thời gian ăn nhai, quá tải này sẽ phá hủy xương quanh trụ, khiến Implant bị lung lay hoặc thậm chí gãy trụ.

Nói tóm lại, khi Implant được đặt sai vị trí, hoặc khớp cắn không được xử lý triệt để, thì dù ban đầu trụ có tích hợp tốt đến đâu, về lâu dài cũng rất dễ thất bại.

Nguyên nhân 3: Yếu tố từ phía bệnh nhân

Một nguyên nhân nữa có thể dẫn đến tình trạng mất tích hợp muộn chính là đến từ phía bệnh nhân. Ví dụ, nhiều người có thói quen nghiến răng khi ngủ mà không biết. Với những trường hợp này, nếu bác sĩ có kinh nghiệm thì vẫn có thể tiên lượng và xử lý từ sớm. Chẳng hạn, khi thấy dấu hiệu răng bệnh nhân bị mòn nhiều, mòn vẹt bất thường, bác sĩ sẽ nghi ngờ bệnh nhân có thói quen nghiến răng và đưa ra kế hoạch phòng ngừa ngay từ đầu.

Tuy nhiên, cũng có không ít trường hợp thói quen này không được phát hiện sớm. Hoặc bệnh nhân chăm sóc răng miệng chưa tốt. Dù vậy, riêng yếu tố vệ sinh kém thì thường chưa đủ để làm Implant mất tích hợp chỉ sau 1 năm. Nếu thật sự do vệ sinh, trước đó phải có các dấu hiệu rõ ràng như viêm lợi, chảy máu khi đánh răng

Chăm sóc răng implant

Chăm sóc răng implant không tốt ảnh hưởng đến kết quả trồng răng.

Trong những ca nghi ngờ bệnh nhân bị nghiến răng, bác sĩ giàu kinh nghiệm thường sẽ hẹn tái khám sớm (khoảng 2–3 tháng sau khi lắp răng). Lúc này, bác sĩ sẽ kiểm tra kỹ: xem răng sứ có dấu hiệu vỡ mẻ, răng đối có bị mòn nhiều hơn, hay khi chụp X-quang có dấu hiệu tiêu xương quanh cổ Implant hay không. Nếu phát hiện sớm, bác sĩ có thể xử lý bằng các giải pháp như máng cơ sinh học để giảm tải lực và bảo vệ Implant.

Về phía bệnh nhân, để phòng tránh mất tích hợp muộn, lời khuyên quan trọng nhất vẫn là:

  • Chọn nha khoa uy tín, nơi có quy trình rõ ràng, bác sĩ có kinh nghiệm và sử dụng vật liệu Implant chất lượng.
  • Tuân thủ đúng hướng dẫn vệ sinh răng miệng và lịch tái khám mà bác sĩ đưa ra. Ví dụ, tại các trung tâm có quy trình chuẩn, sau khi lắp răng Implant, bệnh nhân sẽ được hẹn tái khám 6 tháng/lần trong năm đầu để theo dõi sát sao.
  • Chủ động quay lại ngay khi có dấu hiệu bất thường như lợi đỏ, chảy máu, miệng có mùi, đau nhức, ê buốt. Phát hiện sớm thì Implant vẫn có thể được cứu, tránh tình trạng mất tích hợp muộn.

Tóm lại, yếu tố từ phía bệnh nhân – từ thói quen xấu, bệnh lý nền, đến việc không tái khám định kỳ – đều có thể góp phần khiến Implant thất bại. Vì vậy, thành công lâu dài của cấy ghép Implant cần sự phối hợp chặt chẽ giữa bác sĩ, nha khoa và chính bệnh nhân.

Hối hận trồng răng Implant giá rẻ: Bài học từ một ca thực tế

Một bệnh nhân từng chia sẻ với nha khoa Lạc Việt Intech: Sau khi mất vài răng hàm dưới, anh quyết định đi trồng Implant tại một cơ sở gần nhà vì thấy quảng cáo “bảo hành trọn đời – chỉ 3,9 triệu/Implant”. Tổng cộng 7 trụ Implant chỉ hết khoảng 28 triệu đồng. Nghe qua thì có vẻ là một “món hời”.

Thời gian đầu, mọi thứ tưởng chừng ổn thỏa, nhưng chỉ sau 3-4 tháng, anh bắt đầu cảm thấy đau nhức, sưng tấy, vùng trụ Implant lung lay và khó chịu kéo dài. Khi quay lại cơ sở để bảo hành thì phòng khám đã đóng cửa, thay bảng hiệu mới, không còn ai chịu trách nhiệm.

Theo chia sẻ từ bác sĩ Thái Khắc Vinh, đây không phải là trường hợp hiếm gặp. Thực tế có nhiều phòng khám mở ra chỉ để làm giá rẻ, chạy quảng cáo ngắn hạn, sau đó biến mất. Thậm chí, không ít nơi không phải do bác sĩ nha khoa điều hành, mà đứng sau là các đơn vị thương mại thuê mặt bằng, thuê người làm. Điều này khiến chất lượng chuyên môn không được đảm bảo, dẫn đến hàng loạt ca Implant thất bại.

Hậu quả với bệnh nhân là gấp nhiều lần: vừa mất chi phí ban đầu, vừa phải tốn thêm khoản tiền lớn để ghép xương, xử lý biến chứng rồi cấy lại Implant. Có trường hợp riêng phần ghép xương đã tốn hơn 10–20 triệu, thời gian điều trị kéo dài cả năm. Quan trọng hơn, sức khỏe và chất lượng cuộc sống của người bệnh bị ảnh hưởng nghiêm trọng.

Lời khuyên để tránh hối hận khi trồng răng implant

Chúng ta cần hiểu một điều: việc tìm được một nơi vừa giá rẻ vừa chất lượng tốt là rất khó, gần như không dễ để ai cũng làm được. Vì vậy, khi trồng răng Implant, lời khuyên đưa ra là lựa chọn yếu tố an toàn là ưu tiên số một. Implant là phương pháp y khoa, có can thiệp, nên bắt buộc phải tìm hiểu kỹ để đảm bảo an toàn.

Để đạt được yếu tố an toàn này, cần lưu ý ba yếu tố:

  1. Công nghệ trồng Implant: Không phải tất cả công nghệ đều giống nhau. Chúng ta nên chọn công nghệ đã được chứng minh an toàn và hiệu quả, tránh các phương pháp sơ sài, cũ hoặc chưa được ứng dụng rộng rãi.
  2. Nguyên vật liệu: Tránh các sản phẩm trôi nổi, giá quá rẻ (ví dụ từ 1 triệu – 3 triệu) hoặc các loại ít được sử dụng thực tế. Trụ implant, trụ phục hình... chất lượng kém có thể gây biến chứng hoặc không đạt hiệu quả lâu dài.
  3. Trung tâm nha khoa và bác sĩ thực hiện: Chọn nơi có bác sĩ có trình độ, uy tín và kinh nghiệm. Đây là yếu tố quyết định sự an toàn và thành công của ca trồng răng.

Lựa chọn nha khoa uy tín tránh hối hận khi trồng răng implant

Lựa chọn nha khoa uy tín, đảm bảo công nghệ, vật liệu và bác sĩ tốt để tránh hối hận khi trồng răng implant.

Sau khi đảm bảo ba yếu tố trên, lúc đó chúng ta mới xem xét loại Implant nào phù hợp với túi tiền. Như vậy, an toàn và chất lượng phải đặt trước, giá cả mới là yếu tố sau cùng. Tránh bị cám dỗ bởi giá rẻ ban đầu, vì hậu quả về sau có thể rất nặng: mất tiền, mất thời gian, đau đớn, thậm chí cần làm lại hoàn toàn.

Ví dụ như trường hợp một bệnh nhân trồng 7 Implant gần 30 triệu đồng, tưởng rẻ, nhưng sau đó phải ghép xương để xử lý vấn đề tiêu xương, mất thêm tiền, mất sức khỏe, thời gian, và cuối cùng cũng không đạt được kết quả như mong muốn. Nhiều bệnh nhân khác chỉ riêng chi phí ghép xương xử lý biến chứng đã lên tới gần 20 triệu và mất hơn một năm mới giải quyết xong.

Ngoài ra, chúng ta cũng lưu ý về rủi ro tổn thương ống thần kinh hàm dưới, có thể gây tê môi, đau hoặc mất cảm giác. Mức độ tổn thương chia thành bốn loại:

  • Mức 1: Chèn ép nhẹ, cảm giác vẫn bình thường, tự hồi phục.
  • Mức 2: Tổn thương lớp bao ngoài dây thần kinh, có thể tự hồi phục sau khi loại bỏ tác nhân gây áp lực.
  • Mức 3: Xâm phạm lõi bên trong dây thần kinh, khả năng hồi phục không hoàn toàn.
  • Mức 4: Đứt hoàn toàn dây thần kinh, mất cảm giác vĩnh viễn, có thể kèm đau, không phục hồi.

Để phòng ngừa các biến chứng nguy hiểm này, quan điểm của các bác sĩ Nha khoa Lạc Việt Intech là “phòng hơn tránh”. Ba yếu tố cốt lõi giúp giảm rủi ro, tránh biến chứng khi trồng răng implant là:

  1. Ý thức và quan niệm về an toàn: Luôn đặt yếu tố an toàn lên hàng đầu.
  2. Kỹ năng của bác sĩ: Tay nghề phải khéo léo, tập trung, có kinh nghiệm qua nhiều ca thực hành.
  3. Công nghệ hỗ trợ chính xác: Bao gồm máng hướng dẫn phẫu thuật hay robot định vị, giúp xác định chính xác vị trí Implant, hạn chế xâm lấn vào cấu trúc giải phẫu quan trọng.

Khi kết hợp cả ba yếu tố trên sẽ đảm bảo ca trồng Implant được thực hiện an toàn, giảm tối đa nguy cơ biến chứng, đảm bảo kết quả bền vững, lâu dài.

Tóm lại, trồng răng Implant là một phương pháp y khoa, vì vậy an toàn luôn phải đặt lên hàng đầu. Khi lựa chọn Implant, bệnh nhân cần chú ý ba yếu tố: công nghệ trồng răng chính xác, nguyên vật liệu chất lượng, và bác sĩ uy tín – sau đó mới cân nhắc đến giá cả. Đầu tư vào công nghệ hỗ trợ phẫu thuật chính xác sẽ giúp giảm tối đa rủi ro như tổn thương dây thần kinh, tiêu xương hay thất bại Implant.

Nếu chọn sai chỗ hoặc quá chú trọng giá rẻ, hậu quả không chỉ là mất thời gian, tiền bạc, sức khỏe, mà còn có thể để lại hối hận kéo dài. Ngược lại, với lựa chọn thông minh và kỹ lưỡng, bệnh nhân sẽ bảo vệ sức khỏe, tiết kiệm chi phí về lâu dài và giữ được nụ cười đẹp, bền vững. Như vậy, quyết định đúng ngay từ đầu chính là cách để tránh hối hận khi trồng răng implant.

Nếu cần tư vấn trồng răng Implant, cô chú/anh chị vui lòng liên hệ theo một trong các phương thức sau để được tư vấn tận tình và sớm nhất:

  • Website: https://lacvietdental.vn/
  • Fanpage: https://www.facebook.com/Implant.Lacviet
  • Hotline: 0866.38.0033
  • Địa chỉ Hà Nội:
    • Trụ sở Đống Đa, Hà Nội: 168 đường Láng, Đống Đa, Hà Nội
    • Trụ sở Hai Bà Trưng, Hà Nội: 426 Minh Khai, Hai Bà Trưng, Hà Nội
    • Trụ sở Cầu Giấy, Hà Nội: 27 Nguyễn Văn Huyên, Cầu Giấy, Hà Nội
    • Trụ sở Phố Huế, Hà Nội: Số 91 Phố Huế, Hai Bà Trưng, Hà Nội
  • Địa chỉ Nghệ An: 24 Cao Thắng, P. Hồng Sơn, TP Vinh, Nghệ An
  • Địa chỉ Hải Phòng: 107 Tô Hiệu, Lê Chân, TP Hải Phòng 
Chia sẻ

Tin cùng chủ đề

Đăng ký tư vấn

Vui lòng để lại thông tin và nhu cầu của Quý Khách để được tư vấn

Đặt lịch hẹn Messenger Liên hệ Zalo Địa chỉ