20 NĂM MẤT RĂNG VÀ NIỀM HẠNH PHÚC TRỌN VẸN SAU KHI TRỒNG RĂNG IMPLANT TOÀN HÀM

Quản trị viên
18/07/2024
Nguyễn Hoàng Dương

Bác sĩ phụ trách

BS. Nguyễn Hoàng Dương

Vị trí bác sĩ

Xem chi tiết Đăng ký khám
"Mỗi lần đau răng làm sưng hết mặt mũi lên nhưng cô không dám đến nha khoa vì sợ tốn tiền của con cái. Hàng xóm cứ bảo cô đi mua thuốc uống nhưng cô cũng không đi, cứ để nó đau rồi chịu đựng dần cũng quen.”

"Mỗi lần đau răng làm sưng hết mặt mũi lên nhưng cô không dám đến nha khoa vì sợ tốn tiền của con cái. Hàng xóm cứ bảo cô đi mua thuốc uống nhưng cô cũng không đi, cứ để nó đau rồi chịu đựng dần cũng quen.”

Nỗi khổ khi bị mất răng toàn hàm

Cô Trần Thị Bộ không khỏi rơi nước mắt khi chia sẻ về những khó khăn và nỗi vất vả mà mình đã phải chịu đựng suốt nhiều năm qua, cô xúc động kể lại: “Trước kia, gia đình không có tiền nên cô chẳng bao giờ đến nha khoa để khám răng. Cho nên, đến gần cuối cuộc đời rồi vẫn phải chịu cảnh đau đớn như vậy. Ăn uống thì phải nấu riêng, đồ ninh nhừ ra mới ăn được. Gọi là ăn thế thôi cũng chỉ cho vào miệng rồi là nuốt xuống"

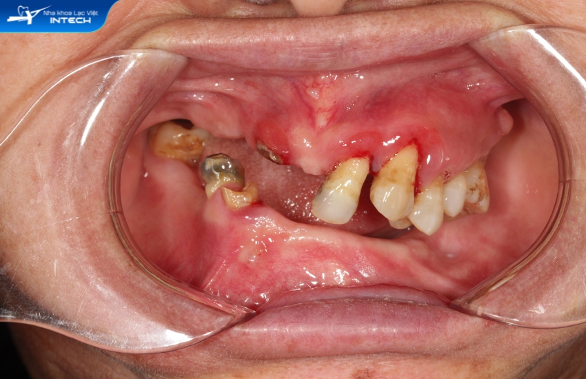
Tình trạng mất răng của Bộ trước khi đến với Lạc Việt Intech

Đau răng, mất răng không chỉ làm gián đoạn tới quá trình ăn uống, sinh hoạt của cô Bộ mà còn là nguyên nhân gây giảm sút sức khỏe trầm trọng. Từ hơn 20 năm nay, cô Bộ luôn chịu đựng những cơn đau răng khiến cô bị ê buốt dữ dội. Nhiều khi cơn đau kéo lên tới tận mang tai, đau dai dẳng cả đêm đã “cướp” đi giấc ngủ của cô.

Thương mẹ ngày nào cũng phải ăn cháo loãng, có những món rất thích nhưng đành ngậm ngùi gác đũa, con trai cô quyết định tìm đến Nha Khoa Lạc Việt Intech để khôi phục lại khả năng ăn nhai cho mẹ.

Lựa chọn trồng răng implant tại Nha khoa Lạc Việt Intech

Chia sẻ về quyết định khi chọn Nha khoa Lạc Việt Intech trồng răng Implant, cô Bộ cho biết: "Tìm hiểu về nha khoa rồi giá cả là con trai cô lo cho hết. Thấy con cô nói là ở Nha khoa Lạc Việt Intech các bác sĩ giỏi lắm, giải pháp trồng răng DCT cũng hiện đại, nên quyết định đưa cô từ Thái Bình đến đây để trồng răng. Đến nha khoa cũng thấy khang trang, sạch sẽ nên cô rất yên tâm"

Điều trị chính cho cô Bộ là bác sĩ Nguyễn Hoàng Dương - Chuyên gia cấy ghép implant tại Lạc Việt Intech. Sau khi thăm khám và dựa trên kết quả chụp phim CT Conebeam, bác sĩ Nguyễn Hoàng Dương chẩn đoán về tình trạng răng của cô Bộ như sau:

  • Mất răng toàn bộ hàm dưới
  • Hàm trên còn lại vài răng bị lung lay không còn chức năng ăn nhai
  • Chức năng ăn nhai suy giảm 

Sau khi cấy ghép Implant toàn hai hàm

Để khôi phục lại khả năng ăn nhai cũng như tính thẩm mỹ cho cô Trần Thị Bộ, bác sĩ đã đưa ra giải pháp trồng răng Implant All - On - 4 toàn hai hàm. Kỹ thuật trồng răng All - On - 4 được thực hiện bằng cách sử dụng 4 trụ Implant để nâng đỡ 12 chiếc răng trên cung hàm. Trong đó có 2 trụ Implant được cấy tại vị trí răng số 2 và 2 Implant cấy nghiêng một góc 45 độ tại vị trí răng số 5. Cùng với đó là sự hỗ trợ của Multi-unit Abutment có tác dụng liên kết trụ Implant và hàm giả cố định.

Niềm hạnh phúc trọn vẹn sau khi trồng răng implant

“Lúc mới đầu bảo đi lên Hà Nội cấy ghép răng implant, hàng xóm cứ cảm bảo là đau lắm, già rồi không chịu được đâu. Làm cái hàm giả đeo tạm vào đấy là được. Thế nhưng khi đến với Nha khoa Lạc Việt Intech thì bác sĩ làm cho cô không đau tí nào, hết thuốc tê thì cũng nhức nhức một ít. Hai tiếng sau là cô ăn cơm luôn, bác sĩ lắp cho hàm tạm nhưng ăn nhai cũng rất ổn định.” - Cô Bộ chia sẻ.

Sau gần 3 tháng chờ đợi chân răng Implant tích hợp với xương hàm, cuối cùng hôm nay cô Bộ cũng có được một hàm răng ưng ý vượt ngoài sự mong đợi khi khôi phục thành công 12 răng hàm trên và 12 răng hàm dưới. Giờ đây cô Bộ có thể ăn nhai một cách thoải mái mà không cần ninh nhừ như trước khi.

Hình ảnh trước và sau khi trồng răng Implant của cô Bộ tại Lạc Việt Intech

Không giấu được niềm hạnh phúc cô Bộ chia sẻ: “Khi lắp răng hoàn thiện xong cô cảm thấy rất thích. Trước kia củ quả cứng là không ăn được, bây giờ ăn tốt thoải mái không còn đau đớn như trước nữa. Về quê mọi người thấy hàm răng của cô ai cũng khen, toàn hỏi làm ở đâu thôi".

Đây chính là kết quả viên mãn cho những nỗ lực, vượt khó, dám thay đổi của cô Bộ. Có lẽ giờ đây nhìn lại chặng đường đã qua cô đã có thể an lòng hơn vì đã có một hàm răng mới chắc khỏe, bền đẹp. Nụ cười hạnh phúc của cô Bộ cũng giúp các bác sĩ tại Nha khoa Lạc Việt Intech càng thêm vững tin hơn trên con đường chinh phục những thử thách ở phía trước!

Chia sẻ

Tin cùng chủ đề

Đăng ký tư vấn

Vui lòng để lại thông tin và nhu cầu của Quý Khách để được tư vấn

Đặt lịch hẹn Messenger Liên hệ Zalo Địa chỉ