"RĂNG IMPLANT ĐẸP HƠN CẢ RĂNG THẬT, MỌI NGƯỜI ĐỀU KHÔNG BIẾT LÀ TÔI TRỒNG IMPLANT"

Quản trị viên
05/11/2023
Bị mất răng cửa do tai nạn, chú Trần Hồng Tuyến chịu cảnh bị "sún" hơn 10 năm trời. Nhờ biết tới công nghệ trồng răng implant hiện đại của Nha khoa Lạc Việt Intech, chú Tuyến đã tự tin hơn với chiếc răng mới đẹp ngoài mong đợi! 
Bị mất răng cửa do tai nạn, chú Trần Hồng Tuyến chịu cảnh bị "sún" hơn 10 năm trời. Nhờ biết tới công nghệ trồng răng implant hiện đại của Nha khoa Lạc Việt Intech, chú Tuyến đã tự tin hơn với chiếc răng mới đẹp ngoài mong đợi! 

Già rồi mà còn bị sún răng, xấu hổ lắm! 

Sau một chấn thương ngoài ý muốn, chú Trần Hồng Tuyến bị mất 1 chiếc răng cửa hàm trên. Việc thiếu đi 1 răng khiến chú Tuyến cảm thấy mất tự tin, ngại giao tiếp và từ đó dần rút lui khỏi những cuộc gặp gỡ bạn bè. Tuổi già cũng vì thế mà bớt đi những tiếng cười.  

Tình trạng răng trước khi điều trị của khách hàng Trần Hồng Tuyến (Ảnh: Nha khoa Lạc Việt Intech)

"Nhiều lần tôi cũng định đi làm răng giả rồi, nhưng mà răng giả cũng bất tiện, còn làm răng bắc cầu thì lại mất thêm nhiều răng hơn nữa nên tôi không làm nữa. Thế là hơn 10 năm nay lúc nào cũng tự ti, không dám cười nói thoải mái. Già rồi mà còn bị sún răng, xấu hổ lắm! " - chia sẻ với các bác sĩ, chú Tuyến thể hiện rõ sự bất lực của mình. 

Niềm hy vọng mới khi biết tới công nghệ trồng răng implant

Hy vọng chỉ thật sự mở ra với chú Tuyến khi chú tới Nha khoa Lạc Việt Intech và được các bác sĩ tư vấn về công nghệ trồng răng implant mới nhất hiện nay. Chú Tuyến cho biết:

"Tôi đã đi rất nhiều nha khoa, nhưng đều không ưng ý vì nhiều lý do. Nhưng tới Lạc Việt Intech thì tôi bị thuyết phục hoàn toàn. Bác sĩ Bảo đã thăm khám và tư vấn cho tôi rất cẩn thận. Nha khoa cũng cam kết rõ ràng về hiệu quả điều trị sau cùng, tức là sẽ trồng cho tôi một chiếc răng mới đẹp như răng thật, chắc chắn để tôi ăn nhai bền vững lâu dài." 

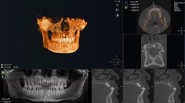
Qua kiểm tra, thăm khám, chụp phim CT Conebeam và dựa trên các dữ liệu ban đầu, bác sĩ tại Nha khoa Lạc Việt đã lên kế hoạch điều trị cụ thể như sau:

  • Ghép xương, tạo hình lợi răng cửa đã bị tiêu xương, tụt lợi do mất răng lâu năm.
  • Làm sạch ổ viêm nhiễm do viêm nha chu.
  • Cấy ghép 1 trụ implant để khôi phục lại chân răng đã mất. 
  • Phục hình răng sứ trên implant bằng công nghệ mới nhất, sử dụng trụ phục hình cá nhân hóa và răng sứ nguyên khối 3D Pro Multilayer. 

Bác sĩ đưa ra phác đồ điều trị nha khoa implant rất chi tiết và rõ ràng khiến chú Tuyến có thêm niềm tin để hi vọng về một tương lai tươi sáng. 

Hình ảnh phim chụp sau cấy ghép implant của chú Tuyến (Ảnh: Nha khoa Lạc Việt Intech)

Sau khi hội chẩn và lựa chọn được phương pháp điều trị phù hợp nhất, đội ngũ chuyên gia cấy ghép implant tại Lạc Việt Intech đã tiến hành phẫu thuật cấy ghép implant và lắp răng hoàn thiện cho chú Tuyến. Tổng thời gian điều trị của chú Tuyến là 4 tháng. Kể về quá trình điều trị của mình, chú Tuyến cho biết: 

"Ban đầu, các bác sĩ đưa tôi đi chụp phim, lấy dấu bằng máy rất hiện đại. Tôi chưa thấy nha khoa nào có máy móc đầy đủ và tiên tiến như Lạc Việt Intech, đấy là yếu tố thứ nhất. Tiếp đến, các bác sĩ rất giỏi, tư vấn rõ ràng, làm cẩn thận, nhẹ nhàng, không đau. Tôi được cấy ghép implant trong phòng phẫu thuật riêng, các bác sĩ liên tục nhắc nhở tôi cũng như tuân thủ tuyệt đối điều kiện vô trùng vô khuẩn nên tôi cảm thấy rất yên tâm."

Hình sau khi lắp răng hoàn thiện của chú Trần Hồng Tuyến (Ảnh: Nha khoa Lạc Việt Intech)

Sau khi lắp răng xong, chú Tuyến đã vui mừng chia sẻ ngay niềm hạnh phúc với những người thân trong gia đình. Hiện tại, với chiếc răng mới đẹp và chắc chắn như răng thật, chú Tuyến hoàn toàn tự tin giao tiếp cũng như ăn uống thoải mái, tận hưởng trọn vẹn cuộc sống. 

Với các bác sĩ tại Lạc Việt Intech, niềm vui đơn giản là được ngắm nhìn nụ cười rạng rỡ của khách hàng và giúp khách hàng có cuộc sống hạnh phúc hơn. Mong rằng Lạc Việt Intech sẽ luôn là đích đến cuối cùng để mang đến cho khách hàng niềm tin về một tương lai tươi sáng giống như trường hợp của chú Trần Hồng Tuyến.

Chia sẻ

Tin cùng chủ đề

Đăng ký tư vấn

Vui lòng để lại thông tin và nhu cầu của Quý Khách để được tư vấn

Đặt lịch hẹn Messenger Liên hệ Zalo Địa chỉ