"NHỜ TRỒNG RĂNG IMPLANT MÀ ĂN ĐƯỢC KẸO LẠC, QUÁ TUYỆT VỜI"!

Quản trị viên
28/08/2023
Hơn 10 năm mất răng là khoảng thời gian khó khăn với chú Đỗ Quang Trung.

Hơn 10 năm mất răng là khoảng thời gian khó khăn với chú Đỗ Quang Trung. Việc mất răng không chỉ ảnh hưởng tới sức khỏe mà còn khiến chú Trung 

Mất răng nên làm gì cũng bất tiện 

Hơn 10 năm qua, cuộc sống của chú Trung gặp nhiều bất tiện do tình trạng mất răng gây nên. Chú Trung tâm sự: "Răng chú bị sâu, xong rụng dần rồi rụng hết cả hàm trên. Chú dùng hàm giả tháo lắp bất tiện lắm nên chú ít dùng. Thứ nhất là đeo hàm giả rất đau, thứ hai là khi mình nói chuyện thì hàm giả hay bị rơi ra. Lúc nào đi đâu cần giao tiếp thì chú mới đeo thôi, toàn phải lấy keo dán vào nhưng cũng chỉ được khoảng 2 tiếng là lại bị bong ra mất.

 Tình trạng răng của chú Đỗ Quang Trung trước khi điều trị 

Không có răng nên chú không ăn nhai được, sức khỏe cũng bị ảnh hưởng nhiều lắm, vì không nhai được kỹ thức ăn nên tiêu hóa không tốt. Sau nhiều lần đắn do thì chú đã quyết định trồng răng implant để ăn uống tốt hơn, cải thiện sức khỏe."

Mong muốn của chú Đỗ Quang Trung cũng được gia đình chú rất ủng hộ, đặc biệt là con gái của chú. Dựa vào kinh nghiệm lựa chọn nha khoa của mình, chị Đỗ Thu Thủy - con gái chú Trung đã quyết định đưa chú tới Nha khoa Lạc Việt Intech để thăm khám và điều trị.

"Con gái chú đã từng niềng răng ở Nha khoa Lạc Việt Intech này rồi nên rất tin tưởng các bác sĩ và dịch vụ ở đây. Khi tới đây thì chú cũng thấy Lạc Việt Intech là nha khoa lớn, bác sĩ giỏi, tất cả các thông tin đều minh bạch, rõ ràng, nhất là về phần chi phí, có cam kết không phát sinh chi phí điều trị" - chú Trung cho biết. 

Hành trình trồng răng không đau

Dựa trên các thông tin về tình trạng của chú Trung, bác sĩ tại Nha khoa Lạc Việt Intech đã đưa ra kế hoạch điều trị của chú là implant răng toàn hàm trên bằng phương pháp All-on-4, tức là cấy ghép 4 trụ implant ở các vị trí đã được xác định. 

Đặc biệt, các bác sĩ sẽ ứng dụng công nghệ trồng răng implant Safe-tech vào quá trình lên kế hoạch điều trị và phẫu thuật cho chú để đảm bảo các yếu tố: 

  • Lên kế hoạch điều trị chính xác bằng công nghệ kỹ thuật số, xác định được các vị trí lý tưởng nhất để cấy ghép implant. 
  • Đảm bảo quá trình cấy ghép diễn ra an toàn, không đau, không gặp các biến chứng nguy hiểm trong khi phẫu thuật. 
  • Đảm bảo tỉ lệ thành công gần như tuyệt đối, hạn chế tình trạng đào thải trụ implant. 

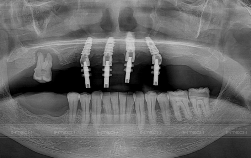
 Các trụ implant sau khi cấy ghép 

Sau khi cấy ghép trụ implant, khách hàng sẽ được khôi phục 12 hàm răng sứ với 12 răng, khôi phục khoảng 90 - 95% khả năng ăn nhai. Chú Trung cũng chia sẻ: "Các bác sĩ sợ chú đau nhưng thực sự là chú không thấy đau, về nhà chú cũng không cần dùng tới thuốc giảm đau. Chú đánh giá rất cao tay nghề của bác sĩ và công nghệ điều trị tại Nha khoa Lạc Việt Intech." 

Thành quả tuyệt vời sau khi trồng răng implant

Sau 3 tháng cắm trụ implant, chú Trung quay trở lại nha khoa Lạc Việt Intech để lắp răng hoàn thiện, chính thức kết thúc hành trình trồng implant của mình. Ngay sau khi lắp răng, chú đã được ăn thử kẹo lạc để kiểm tra khả năng ăn nhai: 

"Chú chưa bao giờ nghĩ là có một ngày lại ăn được kẹo lạc, từ trước tới giờ toàn ăn đồ mềm vì không có răng để nhai. Chú cảm thấy răng rất chắc chắn, nhai kẹo lạc nát vụn như thế này thì quá uy tín rồi!" - chú Trung chia sẻ trong sự vui mừng và xúc động vì tìm lại được cảm giác ăn nhai như răng thật sau 10 năm.

Bác sĩ Nguyễn Văn Luyến - Chuyên gia Cấy ghép implant, bác sĩ chính điều trị trực tiếp cho chú Đỗ Quang Trung cho biết: "Với trường hợp mất răng lâu năm như chú Trung thì hoàn toàn có thể khôi phục lại khả năng ăn nhai như khi chưa mất răng. Tuy nhiên, vì chú đã mất răng rất lâu rồi nên khi mới lắp răng vào sẽ cần một thời gian để làm quen với răng mới và có thể gặp một số vấn đề như cắn vào môi má. Tình trạng này sẽ hết sau khoảng 1 - 2 ngày”.

 

Hình ảnh trước và sau khi lắp răng hoàn thiện của chú Đỗ Quang Trung 

"Chú rất là cảm ơn các bác sĩ tại Nha khoa Lạc Việt Intech đã điều trị cho chú, giúp chú có một hàm răng hoàn chỉnh và chắc chắn như ngày hôm nay. Từ giờ chắc chắn là chú sẽ ăn uống dễ dàng hơn và chắc chắn sức khỏe cũng được cải thiện. Chú rất cảm ơn các bác sĩ và đội ngũ nhân viên y tế, các cháu rất giỏi và tận tâm với khách hàng." - trước khi ra vềm chú Đỗ Quang Trung gửi lời cảm ơn tới các bác sĩ tại Nha khoa Lạc Việt Intech. 

Như vậy hành trình trồng răng implant toàn hai hàm của chú Đỗ Quang Trung đã chính thức khép lại. Sự tin tưởng, hài lòng với kết quả điều trị của chú Trung cũng chính là động lực để đội ngũ bác sĩ, nhân viên tại Nha khoa Lạc Việt Intech tiếp tục cố gắng vì sứ mệnh phụng sự khách hàng.

Nếu như cô chú/anh chị đang gặp phải tình trạng mất răng như chú Đỗ Quang Trung, hãy liên hệ ngay Hotline: 0978.766.726 để được chuyên gia tư vấn miễn phí!

 

 

Chia sẻ

Tin cùng chủ đề

Đăng ký tư vấn

Vui lòng để lại thông tin và nhu cầu của Quý Khách để được tư vấn

Đặt lịch hẹn Messenger Liên hệ Zalo Địa chỉ