Mất cả hàm răng vì làm cầu sứ hỏng và hành trình tìm lại nụ cười của chú Đào Khắc Phương

Quản trị viên
07/12/2022
Chú Đào Khắc Phương đến với Nha khoa Lạc Việt Intech với 1 chiếc cầu răng sứ rất dài ở hàm trên, nướu bị sưng nhiều và xương hàm bị tiêu do mất răng lâu năm.

Chú Đào Khắc Phương đến với Nha khoa Lạc Việt Intech với 1 chiếc cầu răng sứ rất dài ở hàm trên, nướu bị sưng nhiều và xương hàm bị tiêu do mất răng lâu năm. Tình trạng cầu răng sứ hỏng khiến chú Phương gặp khó khăn trong việc ăn nhai và sinh hoạt hàng ngày, dẫn đến sức khỏe bị suy giảm nghiêm trọng. 

Sức khỏe giảm sút vì hàm răng đau nhức

Khách hàng Đào Khắc Phương (60 tuổi) trước đây từng bị mất nhiều răng lâu năm và làm cầu sứ sai cách dẫn đến viêm lợi, ăn nhai khó khăn. Tình trạng đau nhức răng khiến chú Phương không thể ăn ăn nhai bình thường dẫn đến sức khỏe giảm sút. 

Hỏng cả hàm răng vì làm cầu sứ sai cách, chú Phương khổ sở vì ăn nhai khó khănHỏng cả hàm răng vì làm cầu sứ sai cách, chú Phương khổ sở vì ăn nhai khó khăn

Chú Phương chia sẻ: “Chú bị mất răng cũng gần chục năm rồi. Trước răng chú bị lung lay xong cứ nhổ từng cái một và làm cầu răng sứ. Họ cứ mài và diệt tủy răng nên chỉ dùng được vài năm là các răng đó lại bị hỏng”. 

“Khi chú ăn các đồ cứng mới cảm thấy đau, nó chọc vào đau lắm nên nhiều khi ăn thịt cũng cảm thấy khó khăn. Càng nhai nó càng đau. Có khoảng thời gian nhức răng quá không ăn được gì nên chú bị sút đi mấy cân, chỉ còn hơn 40kg”. 

Nhận thấy tình trạng mất răng làm ảnh hưởng tới sức khỏe, chú Phương đã tìm hiểu nhiều implant là gì với mong muốn lựa chọn một địa chỉ uy tín để khôi phục hàm răng mất. 

“Sau khi đi thăm khám tất cả các nơi, có những nơi gần nhà chú có đến thăm khám nhưng mà cảm thấy không uy tín nên không dám làm. Chú biết đến Nha khoa Lạc Việt Intech qua kênh youtube. Tìm hiểu kỹ thì biết là Lạc Việt chuyên về trồng răng Implant. Chú cũng đến để thăm khám và nghe tư vấn thì thấy là bác sĩ tư vấn rất chi tiết, rõ ràng và còn được xem trước kết quả sau khi cấy Implant. Vì vậy chú đã quyết định làm răng tại đây”. 

Tình trạng trước đây của khách hàng Đào Khắc Phương (60 tuổi)Tình trạng trước đây của khách hàng Đào Khắc Phương (60 tuổi)

Qua thăm khám và chụp phim X-quang, bác sĩ đã đưa ra chẩn đoán về tình trạng trước của chú Phương:

  • Làm cầu răng sứ sai cách, răng đã điều trị tủy
  • Hàm trên mất nhiều răng, chỉ còn răng 24
  • Hàm dưới làm cầu sứ các răng cửa
  • Sai lệch khớp cắn, xương hàm bị tiêu biến nhiều
  • Nướu bị sưng viêm, đau nhức, khả năng ăn nhai kém 

Kế hoạch điều trị của bác sĩ Hoàng Vũ Hiệp - Bác sĩ phụ trách cấy ghép Implant case của chú Phương đưa ra đó là: 

  • Nhổ bỏ toàn bộ các răng không còn chức năng ở hàm trên 
  • Phục hình toàn bộ răng hàm trên bằng phương pháp Implant All On 6

Bác sĩ Hiệp cho biết: “Đặc điểm của phương pháp trồng răng Implant All On 6 là giúp khôi phục toàn bộ răng trên cung hàm, nâng đỡ hàm giả vững chắc và tải lực ăn nhai như răng thật.”  

Hành trình trồng răng Implant lấy lại khả năng ăn nhai

Quá trình cấy ghép Implant diễn ra đúng theo kế hoạch điều trị ban đầu. Các trụ Implant sau khi cấy vào xương hàm tích hợp ổn định, bác sĩ cũng lắp hàm tạm cho bệnh nhân để đảm bảo chức năng ăn nhai. 

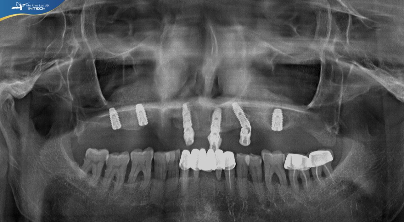
Hình ảnh phim chụp X-quang của chú Phương sau khi trồng Implant All On 6Hình ảnh phim chụp X-quang của chú Phương sau khi trồng Implant All On 6

Chia sẻ thêm về cảm nhận sau khi cấy trụ Implant, chú Phương cho biết: “Sau khi hoàn tất quá trình cấy 6 trụ Implant, bác sĩ có nói là Implant tích hợp rất tốt. Chú cũng không cảm thấy đau nhức gì hết nhưng bác sĩ có dặn uống thuốc để chống sưng viêm nên chú vẫn uống đều thôi”.

Kết quả sau khi lắp hàm cố định của chú Phương, bác sĩ thiết kế màu sắc, dáng răng tương đồng với răng thậtKết quả sau khi lắp hàm cố định của chú Phương, bác sĩ thiết kế màu sắc, dáng răng tương đồng với răng thật

Sau 3 tháng chờ trụ Implant tích hợp, chú Phương cuối cùng cũng được lắp răng sứ cố định và hoàn tất quá trình điều trị. Hiện tại, chú đã sở hữu hàm răng chắc chắn, thẩm mỹ như răng thật, nhờ đó ăn uống cũng cảm thấy ngon miệng hơn và sức khỏe được cải thiện. 

Dưới đây là hình ảnh chú Phương trong buổi lắp răng tại Nha khoa Lạc Việt Intech. 

Chú Phương cảm thấy rất hạnh phúc với hàm răng hiện tạiChú Phương cảm thấy rất hạnh phúc với hàm răng hiện tại

“Lúc chưa làm răng thì hai bên má hóp lại, khiến việc giao tiếp của chú mất tự nhiên. Sau khi làm răng xong thì cảm thấy má đầy lên, da dẻ căng hơn nên cảm thấy mình trẻ ra vài tuổi”. - Chú Phương tâm sự.  

“Chú cảm thấy rất hài lòng với hàm răng hiện tại. Cảm ơn đội ngũ bác sĩ và nhân viên tại Nha khoa Lạc Việt Intech đã rất tận tình và giúp đỡ tôi sở hữu một hàm răng đẹp, bền chắc như ý”. 

Hình ảnh trước và sau khi trồng răng Implant của chú Đào Khắc PhươngHình ảnh trước và sau khi trồng răng Implant của chú Đào Khắc Phương

Sau khi hoàn thành quá trình điều trị, chú Phương hào hứng chia sẻ: “Hiện tại chú mới chỉ làm hàm trên thôi, còn hàm dưới khi nào có điều kiện chắc chắn chú sẽ quay lại Nha khoa Lạc Việt Intech để hoàn thiện nốt hàm răng còn lại.”

Chú Phương cũng có lời muốn nhắn nhủ tới những người đang có tình trạng mất răng giống như chú: “Nếu ai đang gặp phải tình trạng mất răng thì trồng răng Implant chính là giải pháp tốt nhất. Đặc biệt, cần lựa chọn địa chỉ trồng răng uy tín để tránh ảnh hưởng tới sức khỏe về sau”. 

Như vậy, chú Phương cùng hàng nghìn cô chú/ anh chị khác đã lấy lại hàm răng đã mất, khôi phục tính thẩm mỹ và chức năng ăn nhai nhờ trồng răng Implant tại Nha khoa Lạc Việt Intech. Nhờ đó mang lại hàm răng chắc khỏe, cải thiện tinh thần và chất lượng cuộc sống. 

Nếu như cô chú/ anh chị đang tìm hiểu về phương pháp trồng răng Implant và có bất kỳ thắc mắc nào, hãy liên hệ ngay Hotline: 19006421 để được chuyên gia tư vấn chi tiết!




Chia sẻ

Tin cùng chủ đề

Đăng ký tư vấn

Vui lòng để lại thông tin và nhu cầu của Quý Khách để được tư vấn

Đặt lịch hẹn Messenger Liên hệ Zalo Địa chỉ