Lấy lại khả năng ăn nhai với phương pháp trồng răng Implant toàn hàm

Quản trị viên
07/12/2022
Cô Nguyễn Thị Thủy (62 tuổi) đến với Nha khoa Lạc Việt Intech trong tình trạng mất nhiều răng 2 hàm, tiêu xương, không còn khả năng ăn nhai.

Cô Nguyễn Thị Thủy (62 tuổi) đến với Nha khoa Lạc Việt Intech trong tình trạng mất nhiều răng 2 hàm, tiêu xương, không còn khả năng ăn nhai. Lựa chọn phương pháp trồng răng toàn hàm, cô Thủy giờ đây đã có thể ăn nhai thoải mái và không còn phải chịu những cơn đau nhức răng như trước. 

Nỗi khổ vì hàm răng rụng gần hết 

Khách hàng Nguyễn Thị Thủy (1960) trước đây gặp phải tình trạng mất nhiều răng hàm trên và hàm dưới dẫn đến ăn uống khó khăn, mất tự tin khi giao tiếp. 

Tình trạng răng trước đây của cô Nguyễn Thị ThủyTình trạng răng trước đây của cô Nguyễn Thị Thủy

Cô Thủy chia sẻ: “Trước đây răng của cô cứ rụng từng cái, từng cái một. Lúc đầu khi mới rụng 1 cái thì cô có làm răng giả tháo lắp bằng nhựa. Thế nhưng đeo vào khó chịu quá nên cô không dùng nữa. Đến khi răng cứ rụng dần từng cái thì cô mới quyết định đi làm răng”. 

Cô Thủy cũng chia sẻ mất răng ăn uống khó khăn lắm, ăn bát cơm thôi mà cứ nhăn nhó khó chịu. Thấy mẹ trong tình trạng suy nhược do mất răng lâu ngày, con trai cô Thủy quyết định đưa mẹ đến Nha khoa Lạc Việt Intech để làm răng.

Bác sĩ Vũ Đức Duy - Chuyên gia cấy ghép Implant tại Nha khoa Lạc Việt Intech nhận định: “Cô Nguyễn Thị Thủy đến với chúng tôi trong tình trạng mất rất nhiều răng, cả răng hàm và răng cửa. Tình trạng mất răng lâu năm khiến cho các răng hàm của cô bị xô lệch, dẫn đến tình trạng 2 hàm cắn không khớp với nhau và hiệu quả ăn nhai rất kém. Hiện tại các răng của cô đang bị đau nhức, vì vậy khi ăn nhai cô cảm thấy rất khó chịu, ảnh hưởng tới chất lượng cuộc sống.” 

Chia sẻ lý do chọn trồng răng Implant tại Lạc Việt Intech của cô Thủy

Tìm hiểu khá nhiều nha khoa nhưng cô Thủy vẫn thấy giá cả chưa được hợp lý, con trai cô đã quyết định đưa mẹ tới Nha khoa Lạc Việt Intech để thăm khám. 

Bác sĩ tư vấn chi tiết về kế hoạch điều trị cho cô ThủyBác sĩ tư vấn chi tiết về kế hoạch điều trị cho cô Thủy

Trước khi đến với Lạc Việt Intech, cô có tham khảo qua một vài nơi rồi. Thế nhưng cô thấy giá cả các bên không hợp lý với con cô cũng bảo là qua Lạc Việt thăm khám thử xem sao. Đến với Nha khoa Lạc Việt Intech cô đã được các bác sĩ thăm khám và tư vấn rất chi tiết và cho xem trước kết quả điều trị. Chi phí trồng răng Implant tại Lạc Việt Intech rất hợp lý, nha khoa cũng cam kết hiệu quả điều trị và còn áp dụng chế độ bảo hành nữa vì vậy cô đã quyết định lựa chọn trồng răng tại đây”. - Cô Thủy cho biết. 

Hãy cùng theo dõi hành trình cắm ghép implant và những chia sẻ thực tế của khách hàng Nguyễn Thị Thủy qua video sau đây: 

Hành trình khôi phục lại 2 hàm răng với phương pháp trồng răng toàn hàm

Sau khi thăm khám và chụp phim CT Conebeam, bác sĩ đã lên phác đồ điều trị cho cô Thủy. Bác sĩ Duy phân tích: “Với tình trạng này, giải pháp chúng tôi đưa ra cho cô Thủy đó là cấy ghép 6 trụ Implant để nâng đỡ, phục hồi lại toàn bộ hàm trên. Đồng thời nhổ bỏ các răng lung lay, không còn khả năng ăn nhai ở hàm dưới kết hợp cấy ghép 4 trụ Implant để nâng đỡ hàm dưới”. 

Hình ảnh phim chụp X-quang sau khi cấy Implant của cô ThủyHình ảnh phim chụp X-quang sau khi cấy Implant của cô Thủy

Quá trình phẫu thuật cấy ghép Implant của cô Thủy diễn ra theo đúng như kế hoạch điều trị ban đầu. Các trụ Implant được cấy vào xương hàm chính xác, đảm bảo độ chắc chắn, ổn định và về nhà cô Thủy có thể ăn nhai nhẹ nhàng với hàm tạm. 

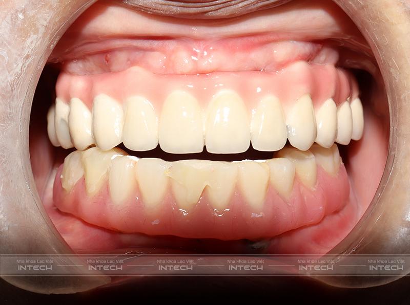
Kết quả sau khi lắp hàm tạm của cô Nguyễn Thị ThủyKết quả sau khi lắp hàm tạm của cô Nguyễn Thị Thủy

Cô Thủy chia sẻ: “Lúc làm cô chẳng thấy đau gì cả, chỉ thấy mỏi hàm thôi còn bây giờ thì cô cảm thấy bình thường. Bác sĩ rất là nhiệt tình, trong quá trình làm luôn hỏi cô có đau không nhưng thực sự cô không cảm thấy đau gì cả. Lúc về nhà khi hết thuốc tê thì có hơi khó chịu một chút, thế nhưng cô cứ uống thuốc bác sĩ kê đơn là đỡ.”

Như vậy, quá trình trồng răng Implant của cô Thủy đã hoàn thành. Công nghệ Safe Tech của Nha khoa Lạc Việt Intech đã hoàn toàn đáp ứng được những mong muốn về khôi phục khả năng ăn nhai và tính thẩm mỹ của khuôn mặt. Và từ nay, cô có thể sử dụng 2 hàm răng để ăn uống và cảm nhận giống như răng thật, chắc khỏe và bền vững theo năm tháng.

Dưới đây là hình ảnh trước và sau khi trồng răng Implant của cô Thủy: 

Hình ảnh so sánh cô Thủy trước và sau khi trồng răng Implant tại Lạc Việt IntechHình ảnh so sánh cô Thủy trước và sau khi trồng răng Implant tại Lạc Việt Intech

“Sau khi lắp răng xong cô lên được vài cân. Ăn uống rất thích mà tư tưởng cũng thoải mái hơn nhiều. Cô làm xong hàm răng thì về cũng phấn khởi, nhà từ chồng đến con cái ai cũng khen.” 

“Cô cảm thấy lắp hàm tạm khả năng ăn nhai đã cải thiện tới 70% rồi. Đến lúc lắp răng thật thì cô nghĩ cũng không khác gì răng thật của mình luôn. Ăn uống thoải mái mà không đau đớn hay ảnh hưởng gì cả”. 

Cảm nhận về đội ngũ bác sĩ, nhân viên tại Nha khoa Lạc Việt Intech, cô Thủy cho biết: “Đội ngũ y bác sĩ tại Lạc Việt rất là tận tâm và nhiệt tình, luôn lắng nghe những mong muốn của cô. Sau khi trồng răng xong, về nhà các bạn nhân viên cũng gọi điện hỏi han và nhắc lịch tái khám. Nói chung cô cảm thấy rất hài lòng với chất lượng dịch vụ tại đây và cũng giới thiệu một người quen cùng quê đến Nha khoa Lạc Việt Intech làm răng.”

Giờ đây cô Thủy đã có thể thoải mái, tự tin hơn khi cườiGiờ đây cô Thủy đã có thể thoải mái, tự tin hơn khi cười

“Cô muốn gửi lời cảm ơn tới tất cả đội ngũ bác sĩ, nhân viên tại Lạc Việt đã giúp cô có được một hàm răng đẹp, bền chắc và khôi phục chức năng ăn nhai. Nhân đây cô cũng có lời nhắn nhủ tới những ai đang gặp tình trạng mất răng giống như cô, hãy trồng răng càng sớm càng tốt để giúp cho việc ăn nhai và giao tiếp tốt hơn.” 

Như vậy, hành trình trồng răng của cô Nguyễn Thị Thủy đã hoàn thành. Hy vọng việc lựa chọn trồng răng Implant tại Nha khoa Lạc Việt Intech sẽ giúp cô có một cuộc sống trọn vẹn, ý nghĩa hơn. Nếu Cô chú/ anh chị nào đang gặp phải tình trạng mất răng, hãy liên hệ ngay Hotline 19006421 để được chuyên gia tư vấn cụ thể!

Chia sẻ

Tin cùng chủ đề

Đăng ký tư vấn

Vui lòng để lại thông tin và nhu cầu của Quý Khách để được tư vấn

Đặt lịch hẹn Messenger Liên hệ Zalo Địa chỉ