Ăn nhai thoải mái, trẻ ra chục tuổi nhờ trồng răng Implant công nghệ Safe Tech

Quản trị viên
28/12/2022
Nguyễn Ngọc Bảo

Bác sĩ phụ trách

BS. Nguyễn Ngọc Bảo

Xem chi tiết Đăng ký khám
Chú Chu Văn Bảy (65 tuổi) từng làm cầu răng sứ hỏng dẫn đến mất gần như toàn bộ răng 2 hàm. Lựa chọn hàm tháo lắp để khôi phục răng mất nhưng không khả quan, thậm chí đã từng trồng răng Implant nhưng lại thất bại.

Hỏng hết cả hàm răng vì chọn sai địa chỉ nha khoa

Khách hàng Chu Văn Bảy (65 tuổi) - Thạch Thất, Hà Nội trước đây bị mất nhiều răng do hút thuốc lá lâu năm cộng với làm cầu răng sứ hỏng. Tình trạng mất răng khiến chú Bảy gặp khó khăn khi ăn nhai, đau đớn và mất tự tin khi giao tiếp. 

Hơn chục năm răng lung lay, chú Bảy đã tìm đến phương pháp làm cầu răng sứ với mong muốn cải thiện khả năng ăn nhai. Tuy nhiên, tác động của lực nhai khiến cho cầu răng sứ không thể chịu lực được và gãy dần. 

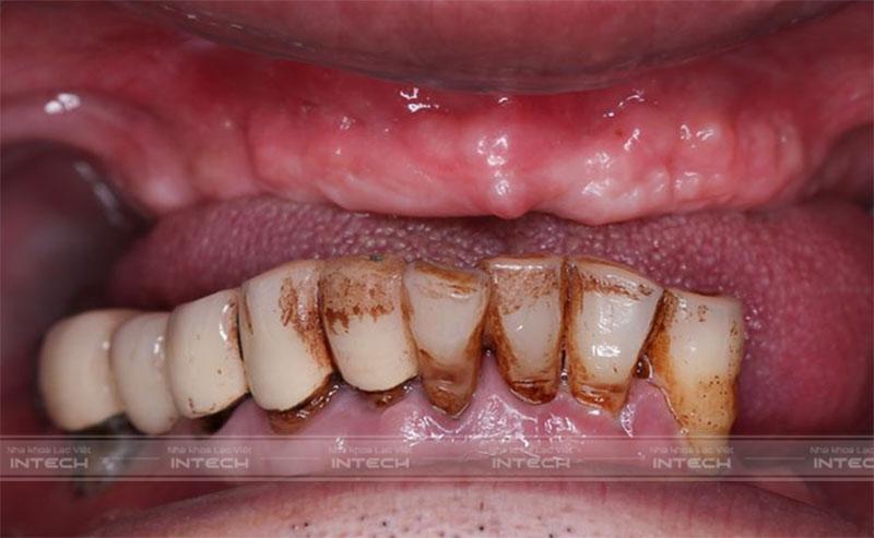
Tình trạng răng trước đây của chú Chu Văn BảyTình trạng răng trước đây của chú Chu Văn Bảy

Chú Bảy tâm sự: “Mới đầu răng lung lay và có bị hỏng 1 vài chiếc nên chú đã quyết định đi làm cầu răng sứ tại một cơ sở nha khoa gần nhà. Cứ hỏng 1 cái thì mài 2 cái bên cạnh để làm trụ và lắp cầu răng vào. Thế nhưng sau 7 năm thì nó hỏng nốt cả 2 trụ răng và cuối cùng thì cả 2 hàm của chú gần như không còn khả năng ăn nhai nữa.” 

“Mất răng ăn nhai khổ lắm, ăn cái gì cũng không cảm thấy ngon và sức khỏe thì bị giảm sút. Quá trình giao tiếp hàng ngày của chú cũng bị ảnh hưởng, không thể phát âm rõ nên cảm thấy rất mất tự tin.”   

Có một khoảng thời gian chú Bảy phải đeo hàm giả tháo lắp để cải thiện chức năng ăn nhai. Tuy nhiên, việc ăn uống với hàm giả tháo lắp rất khó khăn do không được cố định chắc chắn nên rất lỏng lẻo, dễ bị bật ra khi ăn nhai.

“Nhiều lúc bạn bè chú rủ đi ăn uống nhưng thật sự ngại lắm, chú không dám đi. Nể lắm thì mới đi nhưng mà ăn uống cứ phải gượng ghẹ vì nếu ăn phải vật cứng, kênh là cái hàm giả tự nó bật ra.” - Chú Bảy chia sẻ. 

Cách đây khoảng 10 năm, chú Bảy có nghe đến phương pháp trồng răng Implant hiện đại, có thể khôi phục răng mất, đem lại khả năng ăn nhai bền chắc vì thế chú đã quyết định làm thử 2 răng hàm trên. Tuy nhiên, trong vòng 2 tháng sử dụng, cả 2 chiếc răng Implant đều bị đào thải khiến chú Bảy rơi vào tuyệt vọng, không còn muốn làm nữa. 

Lần cuối đánh cược tìm lại nụ cười tại Nha khoa Lạc Việt Intech

Tưởng chừng không bao giờ có thể lấy lại hàm răng như trước nữa, thế nhưng trong một lần tình cờ chú Chu văn Bảy biết đến Nha khoa Lạc Việt Intech trên đài truyền hình quốc gia. Sau một thời gian tìm hiểu và đến thăm khám, trải nghiệm thực tế nên chú Bảy đã quyết tâm đánh cược tìm lại nụ cười một lần nữa. Sau khi tìm hiểu thế nào là cấy ghép răng chú Bảy đã biết tới phương pháp trồng răng implant.

Chia sẻ của chú Bảy: “Chú biết đến Nha khoa Lạc Việt Intech trên đài truyền hình quốc gia nên cũng có niềm tin ban đầu hơn những chỗ khác. Ngoài ra, chú cũng được biết là Nha khoa Lạc Việt Intech ứng dụng công nghệ trồng răng Safe Tech giúp đảm bảo an toàn, không sưng đau và tỷ lệ thành công cao. Đến với Nha khoa Lạc Việt Intech, được các bác sĩ kiểm tra, chụp phim X-quang và lên kế hoạch điều trị rất chi tiết nên chú cảm thấy mình có thể gửi gắm niềm tin vào Nha khoa Lạc Việt.”

Qua thăm khám, bác sĩ tại Nha khoa Lạc Việt Intech đánh giá, nhận định tình trạng trước của chú Chu Văn Bảy: 

  • Mất toàn bộ răng hàm trên và nhiều răng hàm dưới.
  • Các răng còn lại ở hàm dưới bị lung lay nặng.
  • Đau nhức các răng làm cầu sứ, mất toàn bộ chức năng ăn nhai. 

Kế hoạch điều trị bác sĩ đưa ra đó là: 

  • Nhổ bỏ các răng lung lay, không còn khả năng ăn nhai. 
  • Trồng răng Implant All On 6 toàn 2 hàm.
  • Khôi phục khả năng ăn nhai và tính thẩm mỹ của 2 hàm răng.  

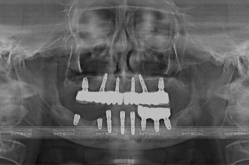
Hình ảnh phim chụp X-quang của chú Bảy sau khi trồng răng ImplantHình ảnh phim chụp X-quang của chú Bảy sau khi trồng răng Implant

Quá trình trồng răng Implant của chú Bảy diễn ra theo đúng với kế hoạch điều trị ban đầu của bác sĩ. Cảm nhận về quá trình trồng răng Implant tại Lạc Việt Intech, chú Bảy cho biết: 

“Chú cảm thấy mình cũng hơi liều, cấy 9 trụ Implant trong vòng 2 tiếng. Ban đầu cũng sợ lắm thế nhưng trải nghiệm xong mới thấy thực sự là không đau tí nào cả. Sau khi hết thuốc tê chú cũng không cảm thấy khó chịu lắm, uống thuốc giảm đau là hoàn toàn bình thường. Sau khi cấy ghép Implant xong, bác sĩ có làm cho chú hàm tạm để đảm bảo thẩm mỹ, giúp chú có thể thoải mái giao tiếp và ăn nhai”.

Sau 3 tháng chờ đợi, cuối cùng chú Chu Văn Bảy cũng đã được lắp hàm cố định. Hoàn thiện xong khâu lắp răng sứ cuối cùng, chú Bảy không thể tin nổi với diện mạo hoàn toàn mới của mình khi soi gương. 

Kết quả chú Chu Văn Bảy sau khi lắp răng hoàn thiệnKết quả chú Chu Văn Bảy sau khi lắp răng hoàn thiện

“Lắp răng xong chú cảm thấy mình như trẻ ra cả chục tuổi vậy. Răng trắng rồi má đỡ hóp lại trông đẹp trai hơn trước rất nhiều.” - Chú Bảy phấn khởi chia sẻ. 

Kết quả trước và sau khi trồng răng Implant của chú Chu Văn Bảy tại Lạc Việt IntechKết quả trước và sau khi trồng răng Implant của chú Chu Văn Bảy tại Lạc Việt Intech

Cuộc sống viên mãn, hạnh phúc với hàm răng chắc khỏe hiện tại 

Từng tuyệt vọng với hàm răng của mình, nhưng giờ đây trồng răng Implant tại Lạc Việt Intech đã thay đổi cuộc sống của chú Chu Văn Bảy. Giờ đây chú đã có thể ngủ ngon, sống khỏe và luôn tươi cười mỗi ngày. 

Đến thăm nhà chú Chu Văn Bảy sau một thời gian trồng răng Implant, chú đã có những chia sẻ, cảm nhận về cuộc sống hiện tại sau khi lấy lại khả năng ăn nhai và tìm lại nụ cười. 

Đến thăm nhà khách hàng Chu văn Bảy (Thạch Thất - Hà Nội)

Chú Bảy chia sẻ: “Nhờ có công nghệ trồng răng Safe Tech nên tất cả trụ Implant sau khi cấy đều tích hợp tốt, ổn định, không phải làm lại cái nào cả. Một điều tuyệt vời nhất đó chính là lắp răng tạm xong về chú ăn nhai được luôn, không đau gì cả. Từ ngày làm răng xong, chú kết hợp bỏ thuốc lá nên cũng lên 5 - 6kg”. 

“Để được như ngày hôm nay thì thứ nhất là do bản thân chú đã cố gắng tuân thủ đúng chỉ dẫn của bác sĩ. Và điều quan trọng nhất, không thể không kể đến đó chính là đội ngũ y bác sĩ tại Nha khoa Lạc Việt Intech. Rất cảm ơn đội ngũ bác sĩ tại Nha khoa Lạc Việt Intech đã giúp chú lấy lại hàm răng chắc khỏe, cải thiện khả năng ăn nhai và tự tin hơn.”

Lời khuyên của chú Chu Văn Bảy tới những người đang gặp phải tình trạng mất răng đó chính là: “Hãy đến những cơ sở nha khoa uy tín như Lạc Việt Intech để được bác sĩ tư vấn giải pháp khôi phục răng mất tốt nhất! Đừng vì tiếc tiền mà lựa chọn địa chỉ nha khoa thiếu uy tín sẽ dễ gặp phải những hậu quả đáng tiếc.”

 

Chia sẻ

Tin cùng chủ đề

Đăng ký tư vấn

Vui lòng để lại thông tin và nhu cầu của Quý Khách để được tư vấn

Đặt lịch hẹn Messenger Liên hệ Zalo Địa chỉ