Ăn kẹo lạc ngay sau khi lắp răng implant toàn hàm – Hạnh phúc vỡ òa

Quản trị viên
16/07/2023
Ngay sau khi lắp răng implant hoàn thiện, cô Đàm Thị Bén (Phú Thọ) đã có thể ăn kẹo lạc. Cô không giấu được niềm hạnh phúc trên gương mặt, bởi từ đây cô đã có thể thoải mái ăn uống, tự tin giao tiếp, tận hưởng tuổi già viên mãn.

Ngay sau khi lắp răng implant hoàn thiện, cô Đàm Thị Bén (Phú Thọ) đã có thể ăn kẹo lạc. Cô không giấu được niềm hạnh phúc trên gương mặt, bởi từ đây cô đã có thể thoải mái ăn uống, tự tin giao tiếp, tận hưởng tuổi già viên mãn.

Không thể ăn nhai vì mất răng

Những ngày đầu đến với Nha khoa Lạc Việt, gương mặt cô Bén gầy sụp, mệt mỏi. Cô tâm sự: “Tôi bị mất toàn bộ răng hàm dưới, nên gần như không thể ăn uống được, tôi toàn phải ăn đồ xay nhuyễn, nhiều khi một món ăn ngon xay ra cũng vừa mất thời gian, vừa không còn ngon miệng nữa”.

Cũng theo chia sẻ của cô Bén, việc mất răng của cô xuất phát từ nguyên nhân bệnh lý nha chu, lúc còn trẻ chăm sóc răng miệng không đúng cách, lâu dần các răng bị hỏng, lung lay, buộc phải nhổ bỏ.

“Đau răng chỉ những người trong cuộc mới có thể hiểu được, đau buốt tận óc, nhiều đêm liền tôi không thể ngủ được. Cả gia đình cũng phải ăn uống theo chế độ của tôi nên tôi cảm thấy rất phiền lòng. Sau khi suy nghĩ rất nhiều, tôi quyết định sẽ đi làm lại bộ răng mới cho mình”, cô Bén cho biết.

Tình trạng răng trước của cô Đàm Thị Bén (Ảnh: Nha khoa Lạc Việt)

Nói về lý do lựa chọn Nha khoa Lạc Việt, cô Bén chia sẻ rằng, cô được một người hàng xóm giới thiệu, sau khi từ Phú Thọ xuống Hà Nội để kiểm tra miễn phí, cô quyết định trao gửi niềm tin với đội ngũ y bác sĩ tại đây. “Tôi đã thăm khám ở nhiều nha khoa nhưng khi đến với Lạc Việt, tôi thấy tin tưởng hơn, thứ nhất là về không gian phòng khám rất rộng, khang trang; thứ hai là dù tôi đến thăm khám miễn phí nhưng cũng được sử dụng những máy móc tốt nhất. Ngoài ra, một điều tôi cảm thấy yên tâm hơn cả đó chính là bác sĩ tư vấn cho tôi rất nhẹ nhàng, tận tâm”, cô Bén nói.

Hoàn thiện hàm răng chắc khỏe với công nghệ Safe-tech

Được sự tin tưởng của khách hàng, đội ngũ y bác sĩ tại nha khoa Lạc Việt đã tiến hành hội chẩn, lên phác đồ điều trị cho cô Bén. Dựa trên dữ liệu ảnh ban đầu, phim chụp CT Conebeam, dữ liệu Scan iTero Element 5D và kết quả thăm khám lâm sàng, các bác sĩ nhận định cô Bén gặp phải tình trạng:

  •   Mất toàn bộ răng hàm dưới, chỉ còn lại răng số 7 đã sâu hỏng và 1 vài mảnh chân răng còn sót lại
  •   Tiêu xương hàm do mất răng lâu ngày
  •   Hàm trên sử dụng một vài cầu răng sứ có hiện tượng viêm nhiễm
  •   Mất hoàn toàn khả năng ăn nhai, thẩm mỹ gương mặt kém

Dựa trên nhu cầu khôi phục hàm dưới của khách hàng, đội ngũ y bác sĩ tại Nha khoa Lạc Việt đã lên kế hoạch cấy ghép implant all on 4, kết hợp với công nghệ Safe-tech đảm bảo quá trình điều trị diễn ra an toàn, chính xác, giảm thiểu đau nhức cho khách hàng. Nếu cô chú/anh chị còn chưa hiểu hết về gắn implant là gì hãy nhờ bác sĩ Nha khoa Lạc Việt tư vấn nhé!

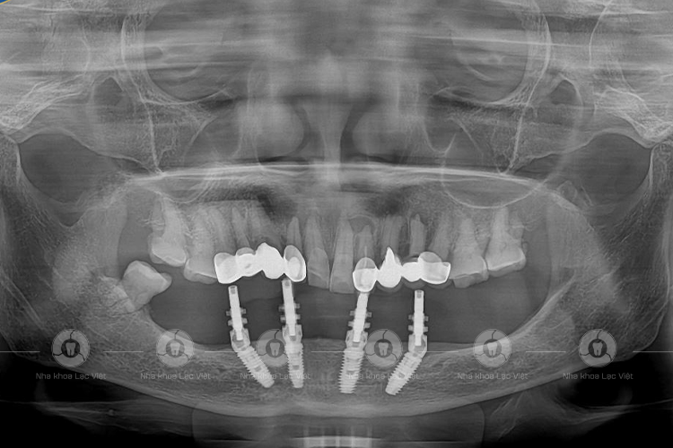
Ảnh chụp phim sau cấy implant của khách hàng Đàm Thị Bén (Ảnh: Nha khoa Lạc Việt)

Bác sĩ Nguyễn Văn Luyến – Người trực tiếp lên kế hoạch điều trị cho cô Đàm Thị Bén cho biết: “Trường hợp của cô Bén là một ca phức tạp, trước khi cấy ghép implant, chúng tôi sẽ  phải nhổ bỏ các chân răng còn sót lại, sau đó tính toán vị trí đặt trụ implant sao cho tránh các dây thần kinh xoang hàm. Nếu như chỉ phụ thuộc vào tay nghề của bác sĩ thì rất khó có thể đảm bảo chính xác tuyệt đối, tuy nhiên, ở Lạc Việt, chúng tôi có sự hỗ trợ của các công nghệ, máy móc như: Công nghệ Safe-tech, máy phẫu thuật từ tính,… nên việc xác định vị trí sẽ nhanh và chính xác hơn”.

Sau khi cấy ghép implant, cô Bén được lắp hàm tạm sau 72h để đảm bảo chức năng ăn nhai và thẩm mỹ trong quá trình chờ đợi trụ implant tích hợp. Và hôm nay, sau 3 tháng, khi các trụ đã tích hợp hoàn toàn, mô lợi được tái tạo thẩm mỹ hoàn hảo, cô Bén chính thức được lắp răng sứ hoàn thiện.

Không giấu nổi niềm vui, hạnh phúc trên gương mặt, cô Bén cho biết “Cô rất hài lòng với kết quả trồng răng implant này, ăn nhai rất tốt, từ giờ đến lúc cuối đời cô có thể yên tâm rồi”. Bên cạnh đó, cô Bén cũng bày tỏ sự cảm ơn chân thành đến bác sĩ Luyến và đội ngũ y bác sĩ, phụ tá tại nha khoa Lạc Việt đã giúp đỡ cô trong hành trình khôi phục lại hàm răng của mình.

Hình ảnh thay đổi trước sau của cô Đàm Thị Bén (Ảnh: Nha khoa Lạc Việt)

Với mỗi người làm trong lĩnh vực y tế, khi khách hàng hài lòng và bày tỏ niềm vui chính là lúc đội ngũ bác sĩ, nhân viên y tế có thêm động lực, tiếp tục nỗ lực cống hiến, vì nụ cười hạnh phúc của người bệnh.

Nha khoa Lạc Việt cảm ơn sự tin tưởng của cô Đàm Thị Bén, kính chúc cô luôn dồi dào sức khỏe, hạnh phúc bên gia đình và người thân của mình.

 

 

 

 

Chia sẻ

Tin cùng chủ đề

Đăng ký tư vấn

Vui lòng để lại thông tin và nhu cầu của Quý Khách để được tư vấn

Đặt lịch hẹn Messenger Liên hệ Zalo Địa chỉ