“U30 có quá muộn để niềng răng?”

Quản trị viên
31/07/2023
Bùi Thị Suốt

Bác sĩ phụ trách

BS. Bùi Thị Suốt

Xem chi tiết Đăng ký khám
“Niềng răng giúp chị mở ra một trang sách mới trong cuộc đời” là tâm sự của chị Thu Hường, cô gái không dám cười suốt nhiều năm cho đến khi tìm đến chỉnh nha vào năm 29 tuổi.

“Niềng răng giúp chị mở ra một trang sách mới trong cuộc đời” là tâm sự của chị Thu Hường, cô gái không dám cười suốt nhiều năm cho đến khi tìm đến chỉnh nha vào năm 29 tuổi.

“Đã rất lâu rồi chị không dám cười thoải mái”

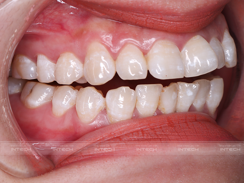
Khách hàng Nguyễn Thị Thu Hường (1992) đến với nha khoa Lạc Việt Intech trong tình trạng răng khấp khểnh, khớp cắn hở khiến chị gặp rất nhiều khó khăn trong ăn nhai và thẩm mỹ. 

Khớp cắn hở

Trước khi đến nha khoa Lạc Việt, chị Hường thường mất tự ti với những khuyết điểm trên răng của mình. Tình trạng răng của chị như sau:

  • Khấp khểnh nhẹ 2 hàm
  • Lệch đường giữa
  • Khớp cắn hở khiến hàm trên và hàm dưới không được ăn khớp với nhau.

Khớp cắn lệch

Những tình trạng về răng này khiến việc ăn nhai của chị Hường gặp rất nhiều khó khăn. Chị chia sẻ với nha khoa rằng “Mình gần như không ăn được gì cả vì cứ cắn là thức ăn lại bị trượt ra ngoài”.

Bên cạnh đó, 2 môi vượt ra ngoài đường thẩm mỹ E khiến gương mặt chị thiếu tính thẩm mỹ. “Rất hiếm khi chị cười thoải mái lắm, chị chỉ cười mỉm để không lộ răng và chị cũng cảm nhận chị cười không được đẹp” - chị Hường tâm sự.

Với sự quyết tâm không để những điểm yếu trên gương mặt mình ảnh hưởng đến cuộc sống của mình, nên chị đã tìm đến Nha khoa Lạc Việt để thăm khám và điều trị.

Kế hoạch điều trị tại Nha khoa Lạc Việt

Gặp chị Hường, thăm khám và cảm nhận được nỗi lòng của cô gái, điều khiến cho khuôn mặt thiếu đi nét tươi vui và rạng rỡ, Bác sĩ chỉnh nha tại Nha khoa Lạc Việt Intech đã lên kế hoạch chỉnh nha cho chị với mục tiêu là sắp xếp thẳng hàng răng, cải thiện chức năng ăn nhai và thẩm mỹ nụ cười.

Cụ thể kế hoạch điều trị cho khách hàng như sau:

  • Nhổ 4 răng 4 tạo khoảng trống để dàn đều răng
  • Giải trừ khớp cắn hở
  • Xếp khớp, lồng múi 2 hàm để việc ăn nhai được dễ dàng
  • Cải thiện thẩm mỹ ngoài mặt, đưa góc mũi môi về chuẩn theo đường thẩm mỹ E.

Răng trước và sau khi niềng của chị Thu Hường

Case điều trị của khách hàng Nguyễn Thị Thu Hường tương đối phức tạp vì khớp cắn 2 hàm không chạm nhau. Bên cạnh đó, chị Hường cũng thực hiện chỉnh nha khi chị đã 29 tuổi nên quá trình dịch chuyển răng cũng sẽ chậm hơn lứa tuổi thanh thiếu niên.

Tuy nhiên, nhờ sự hỗ trợ của công nghệ X-Matrix giúp tính toán chính xác điểm đặt lực để gắn mắc cài và lực di chuyển răng phù hợp nên quá trình niềng răng của khách hàng diễn ra rất thuận lợi. Theo dự kiến ban đầu thời gian niềng răng có thể kéo dài đến 2,5 năm, vậy nhưng công nghệ X-Matrix đã rút ngắn thời gian niềng răng và chị Hường đã được tháo mắc cài chỉ sau 2 năm đeo niềng.

Nụ cười mơ ước đã thành hiện thực

Hành trình của chị Thu Hường là một hành trình kiên cường. Cô gái với khuôn mặt buồn hiu suốt thời gian dài, tất cả đã dừng lại ở tuổi 29, cho đến khi chị chỉnh nha. 31 tuổi, chị Hường rạng rỡ, tự tin cười, tự tin giao tiếp và chị an tâm với sức khỏe răng miệng của mình đã được cải thiện và chữa lành.

Góc nghiêng của chị Hường sau khi niềng răng tại Lạc Việt

Sau quá trình 2 năm niềng răng, kết quả nhận được khiến chị Thu Hường rất hài lòng và tự hào:

  • Răng 2 hàm được dàn đều, không còn tình trạng khấp khểnh
  • Khớp cắn hở được xử lý, hàm trên và hàm dưới đc xếp khớp, lồng múi đều đặn giúp phục hồi chức năng ăn nhai.
  • Vị trí 2 môi được đưa về chuẩn theo đường thẩm mỹ E khiến góc nghiêng và gương mặt của chị Hường hài hoà, cân đối.

Sau khi tháo mắc cài, khách hàng vẫn cần tiếp tục đeo hàm duy trì để giữ cho răng ổn định, không bị chạy lại và bảo vệ kết quả niềng răng được lâu dài.

Hy vọng, thông qua case niềng của khách hàng Nguyễn Thị Thu Hường thì những bạn có tình trạng răng tương tự sẽ có câu trả lời cho câu hỏi “có nên niềng răng hay không?” Nếu còn bất kỳ câu hỏi nào liên quan đến chỉnh nha, quý khách hàng hãy liên hệ đến số hotline 096.192.0606 để được các bác sĩ tư vấn và hỗ trợ miễn phí!

Chia sẻ

Tin cùng chủ đề

Đăng ký tư vấn

Vui lòng để lại thông tin và nhu cầu của Quý Khách để được tư vấn

Đặt lịch hẹn Messenger Liên hệ Zalo Địa chỉ