Phân tích lâm sàng trường hợp răng chen chúc, khấp khểnh

BTV
22/09/2024
Khách hàng Đặng Đức Khải (SN 2004) đến với Nha khoa Lạc Việt Intech trong tình trạng răng chen chúc, khấp khểnh gây suy giảm chức năng ăn nhai và thẩm mỹ khuôn mặt. Bài viết dưới đây bác sĩ tại Nha khoa Lạc Việt Intech sẽ phân tích lâm sàng chi tiết về case khách hàng này, hãy cùng đón xem nhé.

1. Phân tích tình trạng răng trước

Cùng phân tích tích trạng răng trước của bạn Đức Khải qua ảnh trong miệng, phim Panorama và Cephalo dưới đây:

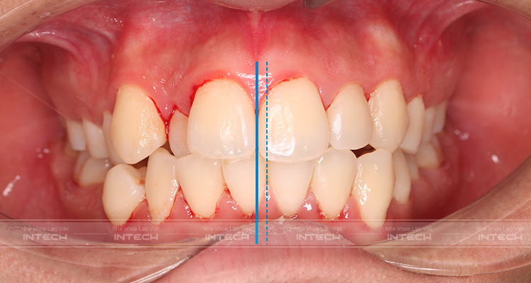
Ảnh trong miệng và ngoài mặt

- Chen chúc khấp khểnh cả hai hàm ở mức độ trung bình

- Răng cửa hàm trên bên trái bị mọc kẹt vào trong làm cho toàn bộ hàm trên bên trái bị xô sang bên phải khiến đường giữa hàm trên và hàm dưới bị lệch

Phần hàm trên bên trái có răng cửa có hình thể bất thường.

Đường giữa hai hàm răng lệch

Răng cửa hàm trên mọc kẹt

Hàm răng kém thẩm mỹ của bạn Trần Đức Khải

Phân tích trên phim Panorama

- Xuất hiện 4 chiếc răng số 8 trên cung hàm.

Phân tích phim sọ nghiêng

Chỉ số trên phim sọ nghiêng

- Chỉ số ANB (chỉ số đánh giá tương quan trước sau của hàm trên và hàm dưới) = 4,7 so với tiêu chuẩn = 2 - 4,5

- Chỉ số chụp răng cửa hàm trên 106,1 độ, trong khi đó tiêu chuẩn = 98 - 106 độ

- Trục răng cửa hàm dưới bình thường là 100,3 độ, tiêu chuẩn là 90 độ dẫn đến trục răng cửa hàm trên hàm dưới đang có độ chìa lớn so với tiêu chuẩn.

Răng chen chúc, khấp khểnh là dạng khuyết điểm về răng phổ biến. Tình trạng này không chỉ ảnh hưởng đến thẩm mỹ nụ cười của bạn Đức Khải mà còn khiến cho Khải gặp khó khăn trong ăn uống, vệ sinh răng miệng hằng ngày.

2. Kế hoạch điều trị

Dựa trên những dữ liệu đầu vào qua thăm khám trực tiếp, thông số trên phim chụp X- quang và công nghệ niềng răng X- Matrix, bác sĩ tại Nha khoa Lạc Việt Intech đưa ra kế hoạch điều trị cho bạn Đặng Đức Khải như sau:

  • Nhổ 4R4 để tạo khoảng trống, sắp đều cung răng hai hàm
  • Cải thiện đường giữa hàm trên đưa về tiệm cận so với đường giữa hàm dưới 
  • Kéo lùi toàn bộ nhóm răng cửa trước về phía sau răng.

Công nghệ niềng răng X-Matrix sẽ gợi ý vị trí đặt mắc cài chính xác để răng dịch chuyển theo đúng kế hoạch điều trị. Sau khi gắn mắc cài để điều chỉnh đường giữa, bác sĩ sẽ tiến hành nhổ răng và thực hiện các giai đoạn tiếp theo trong kế hoạch điều trị.

3. Kết quả dự kiến và cảm nhận của khách hàng

Nhờ phần mềm Auto lign của công nghệ niềng răng X- Matrix mà chúng ta có thể nhìn thấy kết quả sau niềng răng của bạn Trần Đức Khải. 

  • Toàn bộ răng hai hàm đã đều đẹp, nằm đúng vị trí trên cung hàm
  • Đường giữa hai hàm trên dưới trùng nhau
  • Đưa về khớp cắn chuẩn
  • Răng cửa mọc đúng vị trí. 

Mô phỏng tình trạng răng trước

Mô phỏng kết quả niềng răng sau điều trị

Sau khi nghe bác sĩ tư vấn về kế hoạch điều trị, bạn Đặng Đức Khải đã quyết định niềng răng mắc cài kim loại tại Nha khoa Lạc Việt Intech. Sau buổi gắn mắc cài, Đức Khải chia sẻ: “Hiện tại, mình chưa quen với sự có mặt của mắc cài trong miệng. Tuy nhiên, nó cũng không ảnh hưởng nhiều đến sinh hoạt của mình. Trong quá trình gắn mắc cài, bác sĩ thao tác nhẹ nhàng, cẩn thận và mình không cảm thấy khó chịu hay đau đớn gì cả. Hy vọng sau 18 tháng, mình sẽ có được hàm răng đều đẹp, hết khấp khểnh”.

Hy vọng các bạn đã hiểu rõ hơn về tình trạng răng của bạn Đức Khải và kế hoạch điều trị mà bác sĩ đưa ra. Nếu bạn có bất kỳ thắc mắc nào hay muốn tư vấn về tình trạng răng của mình, hãy liên hệ ngay Hotline 19006421 để được chuyên gia giải đáp!

Chia sẻ

Tin cùng chủ đề

Đăng ký tư vấn

Vui lòng để lại thông tin và nhu cầu của Quý Khách để được tư vấn

Đặt lịch hẹn Messenger Liên hệ Zalo Địa chỉ