Trước và sau khi niềng - Sự khác biệt khó tin của 9X răng chen chúc khấp khểnh

Quản trị viên
17/11/2023
Từng không tự ti và bị cười chê vì hàm răng khấp khểnh, Quế Vy ở thời điểm hiện tại đã thăng hạng nhan sắc với vẻ đẹp trong trẻo, ngọt ngào cùng hàm răng đều đẹp nhờ niềng răng. 

 

Từng không tự ti và bị cười chê vì hàm răng khấp khểnh, Quế Vy ở thời điểm hiện tại đã thăng hạng nhan sắc với vẻ đẹp trong trẻo, ngọt ngào cùng hàm răng đều đẹp nhờ niềng răng. 

Tự ti vì nụ cười kém duyên

Có một hàm răng cùng một nụ cười đẹp là mơ ước của nhiều cô gái. Tuy nhiên không phải ai cũng may mắn có được hàm răng đều đẹp. Ở độ tuổi hồn nhiên, ngây thơ của lứa tuổi học sinh, Nguyễn Quế Vy đã phải sống trong nỗi tự ti vì hàm răng khấp khểnh chen chúc. 

Tình trạng răng trước của khách hàng Quế Vy (Ảnh: Nha khoa Lạc Việt Intech)

Quế Vy cho biết tình trạng này ảnh hưởng rất lớn đến vấn đề thẩm mỹ. Là con gái ai cũng mong muốn mình sẽ có diện mạo thật xinh đẹp. Thế nhưng hàm răng khấp khểnh lại là rào cản lớn khiến Vy thiếu tự tin trong giao tiếp với mọi người. Đặc biệt khi cười Vy thường xuyên lấy tay che miệng hoặc không dám cười tươi vì sợ hàm răng không mấy đều đẹp. 

Không chỉ ảnh hưởng tới diện mạo bên ngoài, thẩm mỹ khuôn mặt, tình trạng răng thưa còn làm ảnh hưởng không nhỏ tới quá trình ăn uống Quế Vy. Với hàm răng chen chúc, khớp cắn lệch Vy đã gặp rất nhiều khó khăn trong việc ăn nhai hàng ngày. Khớp cắn lệch đã khiến cô bạn cắn xé, ăn nhai thức ăn không hề dễ dàng. Lâu dần, Vy còn có tâm lý lười và sợ ăn bởi vốn dĩ cắn đồ ăn đã khó, khi ăn rồi Vy còn bị giắt thức ăn và kẽ răng gây nhiều bất tiện và khó chịu. 

Nhận thấy tình trạng này này ảnh hưởng rất lớn tới cuộc sống của mình, đồng thời nhận được sự động viên từ gia đình, Quế Vy đã tìm hiểu thông tin và quyết tâm niềng răng với mong muốn lấy lại hàm răng đều đẹp cùng nụ cười tự tin. Vy cho rằng, chỉ có niềng răng mới khiến cô có thể “vịt hóa thiên nga”, bởi vậy hành trình niềng răng lột xác ngoạn mục của Quế Vy đã bắt đầu từ đây. 

Thăng hạng nhan sắc sau 2 năm niềng răng

Biết đến Lạc Việt Intech qua các hội nhóm review và tham khảo thông tin từ mạng internet, Quế Vy đã lựa chọn niềng răng tại đây bởi nhận thấy có rất nhiều phản hồi tích cực của các “đồng niềng”. 

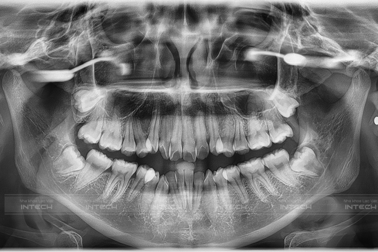
Kế quả chụp phim CT Conebeam của Quế Vy tại Lạc Việt Intech 

Sau khi thăm khám, dựa trên các dữ liệu chụp phim và tình trạng ban đầu, đội ngũ chuyên gia tại Lạc Việt Intech đã lên phác đồ điều trị cụ thể nhất cho Quế Vy. Qua đó bạn sẽ được niềng răng bằng mắc cài kim loại kết hợp công nghệ X-Matrix. 

X-Matrix là công nghệ niềng răng hiện đại đang được áp dụng tại Nha khoa Lạc Việt Intech. Công nghệ này không chỉ hỗ trợ bác sĩ lên kế hoạch điều trị một cách chính xác, lựa chọn mắc cài và dây cung cá nhân hoá nhằm tối ưu hoá kết quả điều trị. Qua đó cũng sẽ giúp khách hàng biết trước kết quả, niềng răng nhẹ nhàng, không đau gây đau đớn và hạn chế biến chứng.

Với trình độ tay nghề chuyên môn giỏi của đội ngũ bác sĩ kết hợp cùng công nghệ tiên tiến hiện đại nhất, sau 24 tháng, Quế Vy đã chính thức được tháo niềng. Kết quả cuối cùng, Vy đã lấy lại hàm răng đều đẹp, khớp cắn đưa về hạng I, cung cười thẩm mỹ. 

Chia sẻ về hành trình niềng răng, Quế Vy nhớ lại: “Lúc đầu niềng răng mình hơi sợ vì mình phải nhổ răng và sợ đau. Thời gian đầu đeo niềng mình chưa quen nên có hơi khó chịu chút. Tuy nhiên trộm vía sau này mình thấy niềng răng rất nhẹ nhàng và không đau gì cả. Lúc mình mới niềng thì mình rất ngại ít dám cười vì có dây cung mắc cài, còn nếu có cười thì cũng che miệng. Giờ đây mình không còn phải ngại ngùng gì nữa rồi”. 

 Hình ảnh trước và sau khi niềng răng của khách hàng Nguyễn Quế Vy (Ảnh: Nha khoa Lạc Việt Intech)

Sau khi tháo niềng, Quế Vy đã cảm thấy bản thân thay đổi rất nhiều khi tự tin và cười nhiều hơn. Nhìn những hình ảnh sau khi niềng răng, chính Vy cũng không thể tin bản thân mình đã thật sự thay đổi đến ngỡ ngàng. Gia đình, người thân và bạn bè xung quanh dành rất nhiều lời khen ngợi cho diện mạo hoàn toàn mới này của cô nàng. Chia sẻ với chúng tôi Vy cho biết niềng răng đã khiến cô nàng thật sự “vịt hóa thiên nga”. 

Qua đó, Quế Vy cũng gửi lời nhắn nhủ tới các bạn có khuyết điểm về răng miệng còn chưa dám niềng răng: ”Có 1 số bạn sợ niềng sẽ đau, nhưng các bạn đừng sợ. Hiện nay đã có nhiều công nghệ hiện đại giúp niềng răng không đau. Công nghệ X-Matrix tại Lạc Việt Intech đã khiến mình không còn có nỗi sợ nào khi niềng răng nữa cả. Mạnh dạn đầu tư cho bản thân, chắc chắn các bạn sẽ nhận lại kết quả xứng đáng”. 

Khách hàng gặp phải tình trạng sai lệch trên răng như hô, móm, chen chúc khấp khểnh cần được hỗ trợ hãy liên hệ tới Hotline: 19006421 để được chuyên gia tư vấn thăm khám hoàn toàn miễn phí!

Chia sẻ

Tin cùng chủ đề

Đăng ký tư vấn

Vui lòng để lại thông tin và nhu cầu của Quý Khách để được tư vấn

Đặt lịch hẹn Messenger Liên hệ Zalo Địa chỉ