TRÊN 30 TUỔI CÓ NIỀNG RĂNG ĐƯỢC KHÔNG, HIỆU QUẢ NHƯ THẾ NÀO?

Quản trị viên
23/08/2024

30 tuổi có niềng răng được không là vấn đề khá nhiều người quan tâm

 

1. Độ tuổi lý tưởng nhất đề thực hiện niềng răng

Trước khi tìm hiểu 30 tuổi có niềng răng được không, chúng ta phải nắm được vấn đề cơ bản nhất – độ tuổi lý tưởng để niềng răng là bao nhiêu.

Theo nghiên cứu của nha khoa thế giới, độ tuổi từ 8 – 18 tuổi là lý tưởng nhất đề thực hiện niềng răng chỉnh nha. Bởi lúc này răng và xương hàm đang phát triển, chưa cố định nên còn mềm yếu và dễ điều chỉnh. Thực hiện nẹp răng thẩm mĩ ở độ tuổi này sẽ cho hiệu quả thẩm mỹ cao, nhanh chóng và tiết kiệm nhất.

Độ tuổi niềng răng lý tưởng nhất là từ 8 – 18 tuổi

Bởi niềng răng là phương pháp thông qua các khí cụ mắc cài, dây cung hoặc khay niềng để tạo lực tác động lên răng, đưa răng di chuyển đến vị trí mới. Khi đã qua độ tuổi này, là lúc răng vĩnh viễn đã mọc cố định thì việc điều chỉnh sẽ khó khăn và mất nhiều thời gian, tốn kém chi phí hơn.

Vì vậy đối với những trường hợp 30 tuổi trở lên, niềng răng có hiệu quả không sẽ phụ thuộc vào nhiều yếu tố.

 

2. Các yếu tố quyết định 30 tuổi có niềng răng được không

30 tuổi niềng răng được không phụ thuộc vào các yếu tố sau:

30 tuổi có niềng răng được không phụ thuộc vào bác sỹ

Không chỉ với những trường hợp trên 30 tuổi mà kể cả với mọi lứa tuổi, bác sỹ sẽ là nhân tố quan trọng nhất quyết định hiệu quả cũng như sự an toàn khi niềng răng. Kỹ thuật niềng răng phức tạp, đòi hỏi phải được thực hiện bởi bác sỹ có trình độ chuyên môn cao, tay nghề giỏi và giàu kinh nghiệm để thực hiện quy trình niềng răng chuẩn. Bác sỹ đóng vai trò quan trọng xuyên suốt cả quá trình niềng răng, bao gồm kiểm tra và tư vấn, lên phác đồ điều trị, thiết kế mắc cài và thiết lập lực tác động phù hợp cho từng giai đoạn. Thực hiện quy trình niềng răng chính xác thì mới đạt được hiệu quả cao và an toàn tuyệt đối.

30 tuổi có niềng răng được không phụ thuộc vào trang thiết bị máy móc

Chỉnh nha giai đoạn này khá khó khăn nên chỉ bác sỹ giỏi là chưa đủ mà cần phải có sự hỗ trợ của trang bị máy móc đầy đủ, hiện đại. Quy trình niềng răng sẽ diễn ra thuận lợi, an toàn và nhanh chóng nếu được sự hỗ trợ của máy móc hiện đại như máy chụp Xquang răng và toàn hàm, máy đo định lượng mật độ xương hàm, hệ thống nhổ răng siêu âm không sang chấn…

Niềng răng sẽ đạt hiệu quả nếu được thực hiện bởi bác sỹ giỏi và máy móc hiện đại

30 tuổi có niềng răng được không phụ thuộc vào công nghệ tiên tiến

Việc đáp ứng điều kiện về bác sỹ mà máy móc hiện đại sẽ giúp bạn không còn phải lo ngại 30 tuổi có nên niềng răng không nữa. Tuy nhiên nếu chỉ vậy thì mới chỉ mang lại kết quả cao còn yếu tố thời gian vẫn không thay đổi, phải tốn nhiều thời gian mới đạt kết quả. Ngày nay với kỹ thuật nha khoa hiện đại, các công nghệ tiên tiến được ra đời và ứng dụng thành công vừa hỗ trợ nâng cao hiệu quả chỉnh nha lại vừa rút ngắn thời gian điều trị đáng kể. Vì vậy 30 tuổi niềng răng được không hay để đạt hiệu quả tối ưu và nhanh chóng cần phải có sự hỗ trợ của các công nghệ tiên tiến.

 

3. 30 tuổi có niềng răng được không tại nha khoa Lạc Việt?

Như đã nói ở trên, 30 tuổi niềng răng được không phụ thuộc vào nhiều yếu tố. Những yếu tố này chỉ được đáp ứng khi thực hiện tại trung tâm nha khoa uy tín.

Hiện nay nha khoa Lạc Việt đã trở thành một trong những sự lựa chọn hàng đầu của đông đảo khách hàng về trung tâm nha khoa chỉnh nha uy tín nhất nhờ những ưu thế nổi trội sau:

– Đội ngũ các bác sỹ đều là chuyên gia nha khoa hàng đầu tại Việt Nam, đã được đào tạo chuyên sâu về chỉnh nha tại các trường danh tiếng cả trong nước và nước ngoài. Với lòng yêu nghề, trình độ và kinh nghiệm hơn 10 năm, các bác sỹ đã thực hiện thành công hàng ngàn ca niềng răng chỉnh nha từ đơn giản đến phức tạp nhất.

 

– Phòng khám vô trùng tuyệt đối và được trang bị hệ thống máy móc, thiết bị đủ đầy, hiện đại bậc nhất. Như máy chụp Xquang Panorama Cefalo tích hợp ALign Pro cho kết quả kiểm tra chính xác, giúp bác sỹ lên phác đồ điều trị chuẩn xác, máy Extech đo định lượng mật độ xương hàm để từ đó thiết lập lực tác động phù hợp, hệ thống nhổ răng siêu âm không sang chấn giúp thực hiện thao tác nhổ răng trước khi niềng một cách an toàn, không đau đớn…

 

Với bác sỹ giỏi và trang thiết bị hiện đại, khi đến với nha khoa Lạc Việt bạn sẽ không còn phải lo ngại vấn đề trên 30 tuổi có niềng răng được không nữa.

Hơn nữa, hiện nay nha khoa Lạc Việt đã ứng dụng thành công các công nghệ chỉnh nha tiên tiến trên thế giới. Đặc biệt là công nghệ mắc cài 3M UGSL cho hiệu quả thẩm mỹ tối ưu, an toàn tuyệt đối và rút ngắn thời gian điều trị đến ⅔ so với các phương pháp niềng răng thông thường.

Ngoài ra, nếu quý khách đang muốn cắm răng implant hãy lựa chọn Lạc Việt Intech để sở hữu hàm răng đẹp như mong đợi nhé!

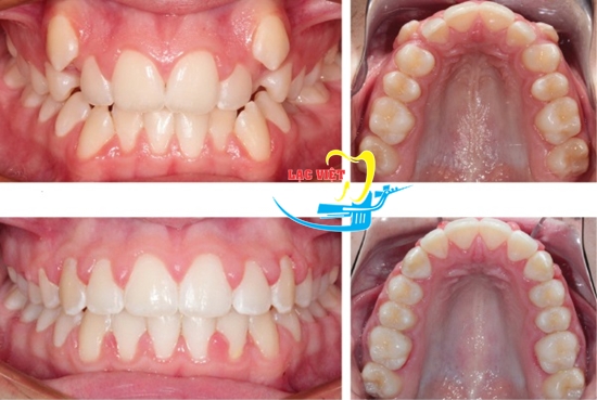
Kết quả một trường hợp niềng răng cho bệnh nhân 30 tuổi tại nha khoa Lạc Việt (*)

(*) Lưu ý hiệu quả khác nhau trong từng trường hợp cụ thể

Trên đây là giải đáp của chúng tôi về vấn đề trên 30 tuổi có niềng răng được không và hiệu quả như thế nào. Để đạt hiệu quả cao và nhanh chóng, bạn phải lựa chọn thực hiện tại trung tâm nha khoa  tại Hà Nội uy tín với các tiêu chí như đã nói ở trên. Mọi vấn đề khác về sức khỏe răng miệng cần được giải đáp, xin vui lòng liên hệ Hotline 0972.181.011. Nha khoa Lạc Việt luôn sẵn sàng đồng hành cùng bạn trên con đường chinh phụ nụ cười!

Chia sẻ

Tin cùng chủ đề

Đăng ký tư vấn

Vui lòng để lại thông tin và nhu cầu của Quý Khách để được tư vấn

Đối tác của Nha khoa lạc việt intech

Osstem Implant
Osstem Implant
test
test1
Đặt lịch hẹn Messenger Liên hệ Zalo Địa chỉ