Nâng khớp cắn trong niềng răng - Vì sao 70% khách hàng "bắt buộc" phải nâng khớp ?

Linh Vu
30/08/2025

Trong quá trình niềng răng, không ít người lo lắng rằng sẽ phải ăn cháo hàng tháng trời vì không nhai được. Trên thực tế, nguyên nhân chính không phải do đau nhức quá mức, mà đa phần là vì nâng khớp cắn – một kỹ thuật hỗ trợ trong chỉnh nha. Theo thống kê, có tới 70% bệnh nhân niềng răng cần nâng khớp để đảm bảo quá trình di chuyển răng diễn ra thuận lợi. 

Bài viết dưới đây sẽ giúp bạn hiểu rõ nâng khớp cắn là gì, vì sao cần thực hiện, có gây hại không và cách thích nghi khi được bác sĩ chỉ định. Nội dung được tham vấn chuyên môn bởi bác sĩ Hạ Linh – chuyên gia chỉnh nha tại nha khoa Lạc Việt Intech.

Nâng khớp cắn là gì?

Nâng khớp cắn (còn gọi là nâng khớp) là một kỹ thuật nha khoa chuyên sâu, được thực hiện trong quá trình niềng răng. Kỹ thuật này sử dụng vật liệu nha khoa (thường là composite hoặc Fuji) để tạo ra một "điểm chạm" giả, làm cho răng hàm trên và hàm dưới không chạm vào nhau một cách trực tiếp khi ăn nhai.

 

70% khách hàng 70% khách hàng "bắt buộc" phải nâng khớp

Mục đích chính của việc nâng khớp cắn là:

  • Tạo khoảng trống: Giúp các răng di chuyển thuận lợi mà không bị cản trở bởi lực cắn từ hàm đối diện.

  • Bảo vệ mắc cài: Ngăn chặn việc răng hàm trên chạm và làm bung mắc cài ở hàm dưới (đặc biệt trong các trường hợp cắn sâu).

  • Giảm lực nhai: Giúp giảm áp lực lên răng và dây cung, hỗ trợ quá trình dịch chuyển răng diễn ra suôn sẻ hơn.

Tại sao bạn phải nâng khớp khi niềng răng?

Nâng khớp không phải là kỹ thuật bắt buộc cho tất cả mọi người, nhưng lại cực kỳ cần thiết cho khoảng 70% trường hợp niềng răng. Kỹ thuật này thường được áp dụng trong các trường hợp cụ thể sau:

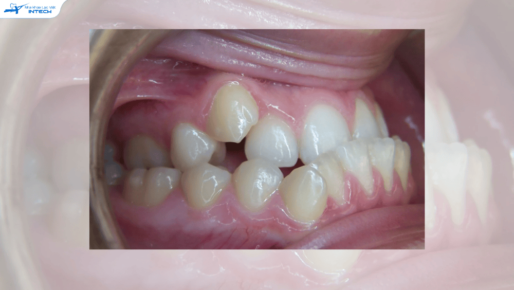
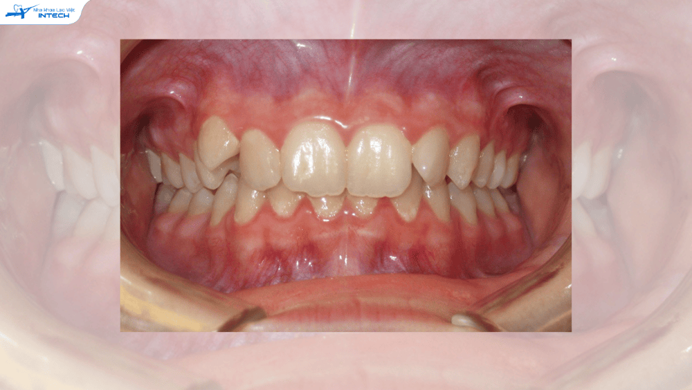
 1. Khớp cắn sâu

Đây là tình trạng răng cửa hàm trên che phủ quá nhiều răng cửa hàm dưới. Nếu không nâng khớp, khi ăn nhai, răng cửa hàm trên sẽ cắn trực tiếp vào mắc cài hàm dưới, gây bung tuột mắc cài, làm gián đoạn quá trình điều trị và có thể gây tổn thương răng. Nâng khớp sẽ giúp tách hai hàm răng, tạo không gian an toàn cho răng di chuyển. 

Khách phải nâng khớp khi gặp tình trạng khớp cắn sâu

2. Khớp cắn ngược

Hay còn gọi là móm, là khi răng hàm dưới ở phía ngoài so với răng hàm trên. Nâng khớp cắn giúp loại bỏ sự cản trở giữa hai hàm, tạo điều kiện thuận lợi cho răng hàm trên di chuyển ra ngoài và răng hàm dưới di chuyển vào trong, đưa khớp cắn về vị trí đúng.

70% khách hàng Khách hàng bị khớp cắn sâu "nắt buộc" phải nâng khớp

3. Răng chen chúc, khấp khểnh nặng

Trong những trường hợp răng mọc lộn xộn, chen chúc nghiêm trọng, việc nâng khớp sẽ tạo thêm khoảng trống cần thiết để các răng có thể dịch chuyển và sắp xếp lại đúng vị trí, tránh va chạm vào nhau hoặc vào mắc cài, đảm bảo quá trình niềng răng diễn ra hiệu quả.

Các vị trí nâng khớp cắn phổ biến

Nâng khớp cắn có thể được thực hiện ở nhiều vị trí khác nhau, tùy thuộc vào tình trạng răng của từng người. Hai vị trí phổ biến nhất là:

  • Nâng khớp vùng răng hàm: Bác sĩ sẽ đặt vật liệu nâng khớp lên mặt nhai của răng số 6 hoặc số 7 ở hàm trên hoặc hàm dưới. Phương pháp này giúp tách toàn bộ khớp cắn, tạo khoảng trống cho các răng cửa di chuyển dễ dàng. Nâng khớp vùng răng hàm thường ít gây khó chịu hơn và dễ thích nghi hơn.

  • Nâng khớp vùng răng cửa: Vật liệu nâng khớp được đặt ở mặt trong của 2-4 răng cửa hàm trên. Khi cắn lại, hai hàm chỉ chạm vào phần nâng khớp ở răng cửa. Phương pháp này thường gây cộm vướng và khó ăn nhai hơn so với nâng khớp ở răng hàm, nhưng trong một số trường hợp cụ thể, đây là lựa chọn cần thiết.

Sống chung với "điểm chạm" mới: Lưu ý sau khi nâng khớp

Sau khi nâng khớp cắn, bạn sẽ có cảm giác cộm vướng, mỏi hàm và khó khăn khi ăn nhai. Tuy nhiên, bạn hoàn toàn có thể thích nghi được.

  • Thời gian thích nghi: Cảm giác khó chịu này thường chỉ kéo dài 1-2 tuần đầu tiên.

  • Chế độ ăn uống: Trong 1-2 ngày đầu, nên ăn các thức ăn mềm, lỏng như cháo, súp, sinh tố để làm quen với khớp cắn mới. Hạn chế đồ ăn quá cứng hoặc quá dai để tránh làm bong vật liệu nâng khớp.

  • Kiêng cữ: Cần kiêng ăn nhai 1-2 tiếng sau khi nâng khớp để vật liệu đông cứng hoàn toàn.

  • Xử lý khi bị bong: Nếu vật liệu nâng khớp bị bong, hãy liên hệ ngay với nha khoa để gắn lại, tránh làm ảnh hưởng đến quá trình điều trị và làm chậm tiến độ niềng răng.

Thời gian nâng khớp không cố định, có thể kéo dài từ vài tuần đến vài tháng. Bác sĩ sẽ tháo bỏ khi khớp cắn đã được điều chỉnh và răng đã di chuyển đủ để không cần sự hỗ trợ của điểm nâng khớp nữa.

Giải đáp những hiểu lầm thường gặp về nâng khớp cắn

Có rất nhiều thắc mắc và hiểu lầm xoay quanh việc nâng khớp cắn. Dưới đây là những câu hỏi thường gặp nhất:

  • Nâng khớp là do bác sĩ làm sai kỹ thuật? Hoàn toàn không. Nâng khớp là một phần của phác đồ điều trị chuyên môn, không phải là lỗi kỹ thuật. Đây là một kỹ thuật hỗ trợ cần thiết để giúp quá trình niềng răng diễn ra thuận lợi hơn.

  • Nâng khớp có làm lệch khớp thái dương hàm không? Nếu được thực hiện đúng cách, nâng khớp không những không gây hại mà còn giúp định hướng lại khớp thái dương hàm về vị trí lý tưởng.

  • Nâng khớp có làm răng yếu đi không? Đây chỉ là một kỹ thuật tạm thời, không gây ảnh hưởng xấu đến độ chắc khỏe của răng. Răng sẽ không bị yếu hay lung lay nếu bạn chăm sóc đúng cách.

 

Kết luận

Nâng khớp cắn là một kỹ thuật hỗ trợ cực kỳ quan trọng, giúp quá trình niềng răng diễn ra an toàn, thuận lợi và đạt hiệu quả tối ưu. Mặc dù có thể gây chút khó chịu ban đầu, nhưng cảm giác này hoàn toàn có thể thích nghi được và không ảnh hưởng đến sinh hoạt hàng ngày.

Nếu bạn được bác sĩ chỉ định nâng khớp cắn, hãy tin tưởng vào phác đồ điều trị và kiên trì. Thành quả cuối cùng sẽ là một nụ cười đều đẹp và một khớp cắn lý tưởng.

Chia sẻ

Tin cùng chủ đề

Đăng ký tư vấn

Vui lòng để lại thông tin và nhu cầu của Quý Khách để được tư vấn

Đối tác của Nha khoa lạc việt intech

Osstem Implant
Osstem Implant
test
test1
Đặt lịch hẹn Messenger Liên hệ Zalo Địa chỉ