Tạo khoảng trong niềng răng là gì? Có mấy phương pháp?

BTV
21/09/2024

Tạo khoảng trong niềng răng là gì?

Tạo khoảng là tạo thêm khoảng trống trên cung răng để dàn đều hoặc kéo lui các răng, nhằm điều trị tình trạng chen chúc, khấp khểnh hoặc hô.


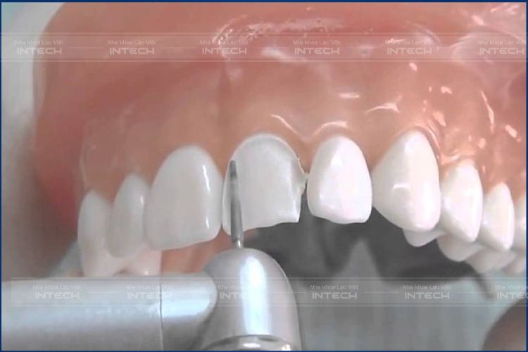
Hình ảnh tạo khoảng trong niềng răng

Chỉ định tạo khoảng trong chỉnh nha

Hầu hết các trường hợp sai lệch khớp cắn đều cần khoảng để răng dịch chuyển, trừ những case răng thưa – có sẽ khoảng hở giữa các răng từ trước. Sau đây là những trường hợp được chỉ định tạo khoảng niềng răng:

Chen chúc

Chen chúc là tình trạng bất thường kích thước răng và chiều dài cung răng – khoảng cần có (tổng kích thước các răng theo chiều ngang) lớn hơn khoảng hiện có (chiều dài cung răng), các răng sắp xếp lộn xộn trên đường cong khớp cắn, gây khó khăn khi vệ sinh răng miệng, sang chấn khớp cắn và mất thẩm mỹ.

Tình trạng này cần điều trị bằng cách tạo khoảng để sắp đều các răng.


Tạo khoảng trống khi niềng răng chen chúc

Hô răng và xương ổ răng

Hô răng và xương ổ răng xảy ra khi trục răng cửa hàm trên, hàm dưới hoặc cả 2 hàm ngả ra phía trước, có thể là mức độ nhẹ, trung bình hoặc nặng.

Răng hô khiến gương mặt mất đi tính thẩm mỹ, mặt nghiêng lồi và nụ cười kém duyên, ảnh hưởng rất nhiều đến giao tiếp hàng ngày.

Trường hợp này, bác sĩ cần tạo khoảng trống để kéo lui nhóm răng trước, mang đến hiệu quả giảm hô tốt nhất, cải thiện thẩm mỹ mặt nghiêng.

Sai khớp cắn hạng III

Sai khớp cắn hạng III là tình trạng răng cửa hàm dưới ở phía trước so với hàm trên, cắn ngược vùng răng trước hoặc răng sau hoặc cả hai. Sai lệch này thường được gọi là móm, tạo kiểu hình mặt nghiêng lõm, mất thẩm mỹ.

Những trường hợp này, bác sĩ cần tạo khoảng để kéo lùi nhóm răng trước hàm dưới nhằm cải thiện tình trạng cắn ngược đưa về độ cắn phủ, cắn chìa sinh lý.

Cắn sâu, cắn chéo

Có khá nhiều dạng sai khớp cắn như cắn sâu, cắn chéo, cắn đối đầu đều cần tạo khoảng trống để niềng răng, giúp răng dịch chuyển để lồng múi tốt với nhau.

Điều chỉnh khớp cắn, giúp hai hàm đạt khớp cắn chuẩn cũng là mục đích chính mà cả bác sĩ và bệnh nhân cùng hướng tới khi chỉnh nha. Hàm trên và hàm dưới cân xứng với nhau sẽ tạo sự hài hòa nhất cho khuôn mặt và mang đến nhiều lợi ích về sức khỏe

Các phương pháp tạo khoảng trong niềng răng

Nong rộng cung răng

Nong hàm là kĩ thuật làm rộng cung răng theo chiều ngang làm răng chiều dài cung răng.

Nong xương sẽ mang đến hiệu quả tốt nhất trên những bệnh nhân còn tăng trưởng, thường là dưới 12 tuổi với nữ hoặc dưới 14 tuổi đối với nam, lúc này đường khớp giữa khẩu cái còn chưa đóng hoàn toàn. Ở người trưởng thành, việc nong hàm chỉ đơn thuần là nong răng – điều chỉnh trục các răng ngả ra phía ngoài.

Chỉ định:
· Hẹp vòm khẩu cái
· Chen chúc ở mức độ nhẹ
· Hô/ Móm nhẹ
· Cắn chéo răng sau trên những case hạng III (nong rộng cung răng HT).


Tạo khoảng bằng phương pháp nong rộng cung răng

Xẻ kẽ

Xẻ kẽ là một kỹ thuật xâm lấn vào men răng. Bác sĩ chỉnh nha sẽ làm giảm kích thước các răng theo chiều ngang bằng cách mãi kẽ 2 bên thân răng từ đó tạo khe hở giữa các răng để giải chen chúc hoặc giảm hô. Thông thường, bác sĩ sẽ chỉ định mài răng từ 0,3-0,5mm cho mỗi răng và thường áp dụng ở nhóm răng cửa để giảm thiểu tối đa tình trạng sâu răng do dắt thức ăn ở răng sau.

Như đã trình bày ở trên, xẻ kẽ tác động đến cấu trúc men răng, do đó không nên lạm dụng quá nhiều.
Các trường hợp có chỉ định xẻ kẽ bao gồm:
· Răng cửa hình tam giác cần mài kẽ để có răng hình dáng phù hợp hơn, điều trị tình trạng tam giác đen vùng cổ răng.
· Chen chúc nhẹ.
· Hô/ móm mức độ nhẹ
· Bất thường kích thước răng hàm trên / hàm dưới (Bất thường chỉ số Bolton)


Xẻ kẽ trong khoảng trong niềng răng

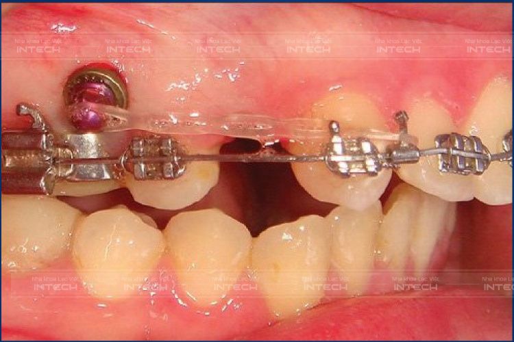
Nhổ răng hàm nhỏ

Nhổ răng hàm nhỏ được chỉ định trong các trường hợp cụ thể sau đây:
· Chen chúc trung bình đến nặng
· Răng ngầm
· Hô/móm nặng cần nhổ răng để có khoảng kéo lùi tối đa

Rất nhiều bệnh nhân lo lắng nhổ răng gây nguy hiểm, gây ảnh hưởng đến dây thần kinh và làm giảm chức năng ăn nhai. Trên thực tế, răng hàm nhỏ có chân răng ngắn, 1 chân răng và có rất ít chức năng ăn nhai. Nhiều nghiên cứu đã chỉ ra rằng, nhổ bỏ những răng này, bệnh nhân vẫn duy trì được khả năng ăn nhai ổn định.

Nếu lựa chọn được nha khoa uy tín với các bác sĩ chuyên khoa chỉnh nha chuyên môn cao, ứng dụng các công nghệ hiện đại (tính toán khoảng cần có, khoảng hiện có, khoảng cần kéo lui) thì sẽ đảm bảo an toàn tuyệt đối. Với kế hoạch rõ ràng, phác đồ điều trị tối ưu thì mọi kỹ thuật trong điều trị sẽ mang đến kết quả tốt nhất, hạn chế tối ra sự can thiệp không cần thiết.


Nhổ răng tạo khoảng trong niềng răng

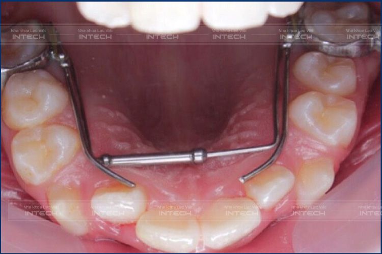
Di xa

Với phương pháp này, bác sĩ sẽ tận dụng khoảng của răng khôn – răng số 8 để kéo lui nhóm răng sau, tạo khoảng kéo lui/ dàn đều nhóm răng trước.

Các trường hợp di xa cần sự hỗ trợ của khí cụ neo chặn tạm thời trên xương – minivis để hỗ trợ kéo cá răng hàm lớn về khoảng nhổ răng khôn.
Chỉ định:
· Hô/ móm mức độ nhẹ
· Chen chúc nhẹ đến trung bình

Nếu bạn đang tìm hiểu cấy ghép răng bằng phương pháp implant có thể tới ngay Nha khoa Lạc Việt Intech để được tư vấn chi tiết.

Như vậy có thể thấy, tạo khoảng trong niềng răng là kỹ thuật cực kỳ quan trọng để đạt được sự thành công khi niềng răng. Dù thực hiện theo cách nào thì cũng hãy đảm bảo thực hiện bởi bác sĩ giỏi chuyên môn cao và ứng dụng công nghệ hiện đại để có được phác đồ điều trị phù hợp.

 
Chia sẻ

Tin cùng chủ đề

Đăng ký tư vấn

Vui lòng để lại thông tin và nhu cầu của Quý Khách để được tư vấn

Đối tác của Nha khoa lạc việt intech

Osstem Implant
Osstem Implant
test
test1
Đặt lịch hẹn Messenger Liên hệ Zalo Địa chỉ