RĂNG MÓM LÀ GÌ, PHÂN BIỆT VỚI HÀM MÓM NHƯ THẾ NÀO VÀ CÁCH KHẮC PHỤC

Quản trị viên
23/08/2024

Răng móm là một dạng sai lệch khớp cắn ngược

 

1. Răng móm là gì?

Đây là một dạng sai lệch khớp cắn do khớp cắn bị ngược, vòm hàm dưới phủ ngoài vòm hàm trên. Hay khi khép miệng lại, hàm trên thường sẽ nằm ngoài hàm dưới còn khi bị móm thì hàm dưới sẽ nằm ngoài hàm trên. Vì vậy với khái niệm răng móm là gì này, nó sẽ không chỉ gây mất thẩm mỹ, mất tự tin giao tiếp mà còn ảnh hưởng nghiêm trọng đến chức năng ăn nhai và phát âm của răng… Ngoài ra tình trạng này nếu kéo dài còn gây ảnh hưởng tới sức khỏe, hệ tiêu hóa và nhất là dạ dày.

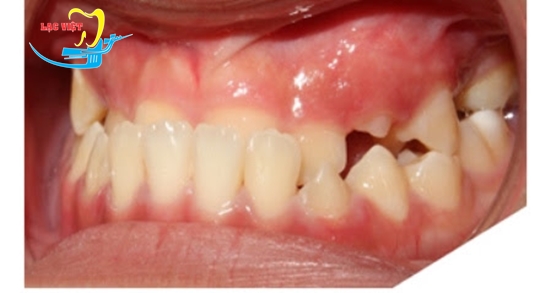
Hàm răng bị móm sẽ có biểu hiện vòm hàm dưới phủ ngoài vòm hàm trên

 

2. Răng móm là gì và cách phân biệt răng móm – hàm móm

Việc phân biệt răng móm hay hàm móm là điều rất quan trọng để định hướng phương pháp điều trị.

Khi chúng ta bị móm sẽ thấy tương quan hàm trên ở bên trong hàm dưới, trong khi răng hàm dưới phải ở trong so với hàm trên thì mới đạt chuẩn. Đặc điểm này rất dễ nhận ra bằng mắt thường quan sát nhưng để xác định răng bị móm do xương hàm hay do răng thì phải trải qua cuộc kiểm tra và thăm khám bởi bác sỹ tại địa chỉ nha khoa uy tín.

– Biểu hiện của các trường hợp móm do răng là răng hàm trên mọc lùi vào trong còn răng hàm dưới mọc chìa ra ngoài. Bạn có thể quan sát đặc điểm này bằng mắt nhưng để có kết quả chính xác về tỷ lệ sai lệch thì cần phải thực hiện đo đạc và kiểm tra kỹ lưỡng.

– Biểu hiện của các trường hợp móm do xương hàm là xương hàm trên bị ngắn hơn so với xương hàm dưới. Những trường hợp này thường thuộc dạng phức tạp, khó điều chỉnh. Để khẳng định móm do xương hàm cũng như đo đạc tỷ lệ sai lệch chính xác thì bệnh nhân phải được chụp Xquang toàn hàm để kiểm tra.

 

3. Răng móm là gì và cách khắc phục

Khi đã xác định được răng móm là gì và móm do răng hay xương hàm, mức độ nặng nhẹ ra sao, bệnh nhân sẽ được bác sỹ sẽ tư vấn phương pháp điều trị phù hợp nhất.

Cách khắc phục các trường hợp móm do xương hàm

Phẫu thuật là phương pháp khắc phục duy nhất với trường hợp móm xương hàm (*)

(*) Lưu ý hiệu quả khác nhau trong từng trường hợp cụ thể

Đối với những trường hợp này, sẽ chỉ có một cách duy nhất để điều chỉnh là phẫu thuật. Bác sỹ sẽ can thiệp trực tiếp lên xương hàm, cắt bớt phần xương bị móm sau đó đẩy lùi hàm về phía sau, sao cho đạt tỷ lệ cân đối giữa khớp cắn hai hàm. Phẫu thuật sẽ mang lại hiệu quả nhanh chóng chỉ sau một lần điều trị.

Cách khắc phục các trường hợp móm do răng

Các trường hợp này sẽ có nhiều phương pháp điều chỉnh hơn, trong đó hai phương pháp phổ biến nhất là niềng răng và mài răng bọc sứ.

>>>>> Có thể bạn muốn biết: Địa chỉ niềng răng uy tín tại Hà Nội

– Mài răng bọc sứ là giải pháp mang lại hiệu quả nhanh chóng chỉ sau hai lần hẹn với bác sỹ để thực hiện hai thao tác là mài răng và bọc sứ.

Mài răng bọc sứ là phương pháp cho hiệu quả nhanh chóng

Bác sỹ sẽ tiến hành mài 5 mặt răng những chiếc bị chìa ra ngoài sao cho đều đặn và thẳng đứng trên cùng hàm. Sau đó thiết kế mão sứ có màu sắc và hình dáng giống hệt răng thật, bọc bên ngoài bảo vệ trụ răng đã mài. Phương pháp này cho hiệu quả thẩm mỹ cao và nhanh chóng nhưng do tính chất mài răng tác động cấu trúc xương hàm nên chỉ được áp dụng với các trường hợp móm nhẹ.

– Niềng răng móm được ưa chuộng hơn cả bởi những đặc điểm nổi trội. Đây là phương pháp thông qua các khí cụ được gắn lên mặt răng để tác động lực kéo, đưa răng di chuyển từ từ về vị trí mong muốn trên cung hàm, chấm dứt tình trạng răng móm. Niềng răng được các chuyên gia nha khoa hàng đầu tin dùng và được rất nhiều người ưa chuộng bởi các ưu điểm sau:

Niềng răng được tin chọn hàng đầu về các ưu điểm nổi trội

  • Đạt hiệu quả thẩm mỹ tối ưu nhất, không chỉ điều chỉnh sai lệch răng móm mà còn đồng thời khắc phục các sai lệch khác như răng thưa, hô vẩu, khấp khểnh (Nếu có)
  • Kết quả đạt được sẽ duy trì vĩnh viễn, không tái phát
  • Đảm bảo an toàn tuyệt đối do không hề ảnh hưởng đến cấu trúc của răng hay xương hàm.
  • Các loại niềng răng ngày càng đa dạng với đặc điểm và chi phí khác nhau, phù hợp với điều kiện chi trả của mọi đối tượng khách hàng.

Dù lựa chọn phẫu thuật, mài răng bọc sứ hay niềng răng thì đều phải được thực hiện tại trung tâm nha khoa uy tín để đảm bảo hiệu quả tối ưu, nhanh chóng, an toàn tuyệt đối và chi phí hợp lý. Hiện nay tại nha khoa Lạc Việt, răng móm là gì hay phương pháp nào khắc phục triệt để sẽ không còn đáng lo ngại nữa nhờ các ưu thế về bác sỹ giỏi, chuyên môn sâu và giàu kinh nghiệm cùng sự hỗ trợ của trang thiết bị và công nghệ hiện đại.

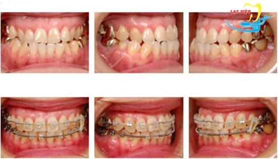
Kết quả một trường hợp niềng răng móm tại nha khoa Lạc Việt (*)

(*) Lưu ý hiệu quả khác nhau trong từng trường hợp cụ thể

Trên đây là giải đáp của chúng tôi về vấn đề răng móm là gì cũng như các phương pháp khắc phục. Để biết trường hợp của mình móm do răng hay do xương hàm, khắc phục bằng phẫu thuật, niềng răng hay bọc răng sứ thì bạn phải tới gặp bác sỹ để trực tiếp kiểm tra và đưa ra kết luận. Ngoài ra, nếu cô chú/anh chị đang cần trồng răng implant răng hàm thì Lạc Việt Intech chính là địa chỉ uy tín được nhiều khách hàng lựa chọn hiện nay.

Mọi vấn đề khác về sức khỏe răng miệng cần giải đáp, xin vui lòng liên hệ Hotline 0971.066.726. Nha khoa Lạc Việt luôn sẵn sàng đồng hành cùng bạn trên con đường chinh phục nụ cười!

Chia sẻ

Tin cùng chủ đề

Đăng ký tư vấn

Vui lòng để lại thông tin và nhu cầu của Quý Khách để được tư vấn

Đối tác của Nha khoa lạc việt intech

Osstem Implant
Osstem Implant
test
test1
Đặt lịch hẹn Messenger Liên hệ Zalo Địa chỉ