RĂNG KHỂNH 2 BÊN CÓ NIỀNG ĐƯỢC KHÔNG?

Quản trị viên
23/08/2024

Có rất nhiều trường hợp bị khểnh cả 2 bên

Trả lời:

Xin chào Thảo Mai, cảm ơn bạn đã tin tưởng và gửi thắc mắc về cho trung tâm Nha khoa Lạc Việt, với những thắc mắc của bạn về vấn đề niềng răng khểnh 2 bên, chúng tôi xin giải đáp như sau:

Răng khểnh 2 cái mọc lệch lạc trên cung hàm thực chất là răng nanh, nhưng do trên cung hàm không còn chỗ trống nên chúng buộc phải mọc một cách lệch lạc như vậy. Nguyên nhân có thể là do kích cơ răng to mà khung xương hàm lại quá nhỏ. Rất nhiều người gặp phải tình trạng mọc cùng lúc 2 răng khểnh, tuy không gây ảnh hưởng nhiều tới sức khỏe nhưng lại ảnh hưởng tới thẩm mỹ của răng và sức khỏe răng miệng về lâu về dài. Chúng sẽ tạo với các răng kế cận ở thế kẽ 3 răng, dễ giắt nhét thức ăn gây mùi và bệnh lý răng miệng như sâu răng, viêm nướu, viêm tủy …

 

1. Tại sao cần niềng răng khểnh 2 bên?

Niềng răng là phương pháp chỉnh nha răng khểnh tối ưu nhất (*)

(*) Lưu ý hiệu quả khác nhau trong từng trường hợp cụ thể

Nếu răng khểnh mọc với độ chếch vừa phải và tỷ lệ hợp lý sẽ khiến gương mặt của bạn thêm duyên dáng và cuốn hút hơn, thu hút được thiện cảm của người đối diện, tuy nhiên trong những trường hợp những người có răng khểnh 2 bên sai lệch quá mức sẽ đem đến cho bạn rất nhiều phiền phức như:

– Khó khăn khi vệ sinh răng miệng, làm sạch các mảng bám thức ăn trong kẽ chân gây ra viêm lợi và sâu răng, ảnh hưởng đến các răng bên cạnh.

– Răng khểnh mọc lệch, nhô cao khiến môi bị hở khi khép miệng dẫn tới viêm phổi, viêm họng.

– Ảnh hưởng đến tính thẩm mỹ và sự hài hòa của khuôn mặt.

Lúc này giải pháp an toàn và mang lại hiệu quả cao nhất cho bạn chính là phương pháp niềng 2 răng khểnh vì chúng sẽ giúp nắn chỉnh, sắp xếp hàm răng trở nên đều đặn hơn, ngăn chặn các bệnh lý về răng miệng nguy hiểm nhất.

 

2. Phương pháp niềng răng khểnh 2 bên tại nha khoa Lạc Việt

Cùng với sự phát triển của các công nghệ nha khoa hiện đại thì có rất nhiều phương pháp niềng răng ra đời đem đến sự lựa chọn phong phú cho khách hàng. Đến với nha khoa Lạc Việt, 2 răng khểnh gây mất thẩm mỹ sẽ không còn là vấn đề khiến bạn lo ngại nữa.

>>>>> Tham khảo: Con trai răng khểnh có nên niềng răng không?

Có thể kể tới các phương pháp niềng răng phổ biến như: Niềng răng bằng mắc cài kim loại, niềng răng mắc cài sứ, niềng răng mặt trong hay niềng răng không mắc cài invisalign… Mỗi phương pháp này có những ưu điểm và nhược điểm riêng, tuy nhiên để có thể quyết định được cách nào phù hợp nhất thì bạn nên bớt thời gian tới trực tiếp cơ sở của nha khoa Lạc Việt để được bác sỹ thăm khám, tư vấn và chỉ định cho bạn.

Tại nha khoa Lạc Việt có rất nhiều loại khí cụ niềng răng

Có nhiều trường hợp điều trị không đúng phương pháp đã dẫn tới những hiệu quả không như mong muốn. Và cũng tùy vào mức độ răng khểnh nặng nhẹ như thế nào, độ tuổi ra sao … bác sỹ sẽ quyết định giải pháp tối ưu nhất cho bạn.

 

3. Quy trình niềng răng khểnh 2 bên tại nha khoa Lạc Việt

Quá trình tiến hành niềng 2 răng khểnh tại Nha Khoa Lạc Việt đã được các chuyên gia nha khoa uy tín và đông đảo khách hàng kiểm chứng về chất lượng, độ an toàn và tính chính xác đạt theo đúng tiêu chuẩn quốc tế với 6 bước cơ bản như sau:

Quy trình niềng răng khểnh tại nha khoa Lạc Việt

Bước 1: Kiểm tra tình trạng răng miệng và tư vấn 

Bác sỹ tiến hành thăm khám tình trạng răng miệng tổng quát của bạn sau đó sẽ tiến hành chụp phim để kiểm tra cấu trúc răng, vị trí của răng khểnh, mức độ chồi lên so với những răng còn lại và ảnh hưởng như thế nào tới khuôn hàm và gương mặt, từ đó đưa ra quyết định có nên niềng răng khểnh 2 bên hay không và lựa chọn bằng phương pháp nào phù hợp nhất.

Bước 2: Lập phác đồ điều trị

Lên kế hoạch niềng 2 răng khểnh bằng phân mềm 3D, qua hình ảnh trực quan bác sĩ sẽ tư vấn cụ thể hơn cho bệnh nhân về phương pháp cần thực hiện. Qua sự tư vấn của bác sĩ khách hàng cùng thống nhất lựa chọn loại khí cụ nha khoa phù hợp.

Bước 3: Ký hợp đồng niềng răng

Sau khi thống nhất phương pháp niềng răng khểnh 2 bên, khách hàng và bác sỹ thực hiện sẽ tiến hành ký kết hợp đồng niềng răng, cam kết về thời gian và kết quả đạt được.

Bước 4: Vệ sinh răng miệng và thiết kế khí cụ niềng răng

Nha sỹ tiến hành vệ sinh răng miệng cho khách hàng, loại bỏ những mảng bám thức ăn, vôi răng và tiếp theo là thực hiện lấy dấu mẫu hàm răng của khách hàng bằng công nghệ Scan 3D. Các số liệu này sẽ được chuyển qua kỹ thuật viên thiết mắc cài hay khay niềng răng phù hợp, chính xác nhất.

Bước 5: Gắn mắc cài và khám định kỳ

Bác sĩ tiến hành gắn cố định mắc cài niềng răng, thiết lập lực đẩy đối với niềng răng mắc cài hay hướng dẫn khách hàng cách đeo khay đối với niềng răng tháo lắp. Sau khi bác sĩ gắn khí cụ niềng răng sẽ tiến hành kiểm tra độ khít sát của mắc cài, khay niềng răng; lên lịch hẹn thăm khám kế tiếp. Đồng thời, tư vấn và hướng dẫn bạn cách chăm sóc, vệ sinh răng miệng hằng ngày, những thói quen xấu và chế độ ăn phù hợp giúp bạn đạt được kết quả niềng răng khểnh 2 bên tốt nhất.

Bước 6: Tháo mắc cài 

Khi răng đã di chuyển đến vị trí cuối cùng, bác sỹ sẽ thực hiện tháo mắc cài, khay niềng và cho bệnh nhân đeo thêm hàm cố định trong thời gian nhất định để giúp răng cố định chắc chắn trên cung hàm, không xê dịch. Ngoài ra, nếu cô chú/anh chị đang tìm hiểu cấy răng thì hãy đến ngay Lạc Việt Intech để được tư vấn chi tiết nhé!

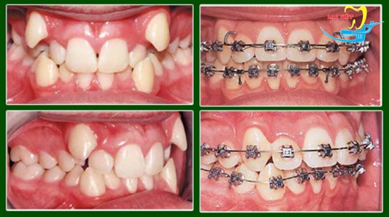
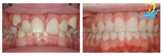
Kết quả một trường hợp niềng 2 răng khểnh tại nha khoa Lạc Việt (*)

(*) Lưu ý hiệu quả khác nhau trong từng trường hợp cụ thể

Về chi phí của phương pháp niềng răng khểnh 2 bên này, bạn có thể tham khảo chi tiết tại website của trung tâm nhakhoalacviet.vn, tại đây chúng tôi cũng thường xuyên cập nhật những chương trình khuyến mãi, giảm giá ưu đãi nhất cho khách hàng. Vì vậy, mời bạn qua trực tiếp cơ sở của Lạc Việt để được các chuyên gia hàng đầu thăm khám và tư vấn cho bạn nhé!

Chia sẻ

Tin cùng chủ đề

Đăng ký tư vấn

Vui lòng để lại thông tin và nhu cầu của Quý Khách để được tư vấn

Đối tác của Nha khoa lạc việt intech

Osstem Implant
Osstem Implant
test
test1
Đặt lịch hẹn Messenger Liên hệ Zalo Địa chỉ