NIỀNG RĂNG VÔ HÌNH CÓ HIỆU QUẢ KHÔNG VÀ CHI PHÍ CÓ ĐẮT KHÔNG?

Quản trị viên
23/08/2024

Niềng răng vô hình là phương pháp chỉnh nha tiên tiến

Niềng răng vô hình hay chính là niềng răng không mắc cài là một kỹ thuật chỉnh nha mới. Ngoài ra phương pháp này còn có tên gọi là niềng răng trong suốt, khay niềng trong suốt hay máng nắn trong suốt. Tất cả các tên gọi này đều xuất phát từ tính chất của nó là được làm từ chất liệu trong suốt, rất khó phát hiện ngay cả khi đối diện. Khay niềng được thiết kế mỏng, ôm sát khít thân răng và tính chất đàn hồi tác động lực kéo lên răng, giúp răng di chuyển từ từ đến vị trí mong muốn trên cung hàm.

 

2. Niềng răng vô hình có hiệu quả không?

Để biết niềng răng vô hình có hiệu quả không, phải tìm hiểu về ưu và nhược điểm của phương pháp này là gì.

Ưu điểm của phương pháp niềng răng vô hình

Niềng răng vô hình mang tính thẩm mỹ cao

Ngoài ưu điểm mang tính thẩm mỹ cao trong suốt thời gian điều trị, phương pháp này còn mang nhiều ưu điểm khác như:

  • Dễ dàng tháo lắp nên thận tiện cho việc ăn uống. Việc vệ sinh răng miệng cũng dễ hơn, hạn chế tình trạng gây nên các bệnh lý như sâu răng, viêm lợi, viêm nha chu…
  • Khay được làm từ chất liệu chuyên dụng trong nha khoa nên đảm bảo thân thiện với môi trường răng miệng, với sức khỏe. Đồng thời khay niềng không có mùi vị như mắc cài kim loại, trọng lượng nhẹ nên tạo cảm giác thoải mái, không vướng mắc khó chịu.
  • Hạn chế tác động lên má và nướu so với mắc cài truyền thống

Nhược điểm của phương pháp niềng răng vô hình

  • Tính linh động thấp do khay niềng đeo lên toàn vòm răng làm hạn chế việc di chuyển và việc tác động lên từng răng với lực khác nhau sẽ khó hơn.
  • Hiệu quả thấp hơn so với niềng răng mắc cài do sự kém linh động, đặc biệt với các trường hợp răng bị sai lệch mức độ nặng thì sẽ không mang lại được hiệu quả như ý.
  • Thời gian điều trị lâu dài, nhất là khay Invisalign phải đặt tại Mỹ và phải đợi khá lâu.
  • Chi phí niềng răng vô hình cũng cao hơn rất nhiều so với niềng răng mắc cài, nhất là đối với khay Invisalign.

Các trường hợp sai lệch nặng niềng răng vô hình sẽ không mang lại hiệu quả như ý muốn (*)

(*) Lưu ý hiệu quả khác nhau trong từng trường hợp cụ thể

Vậy niềng răng invisalign có tốt không? về tính thẩm mỹ trong thời gian điều trị thì niềng răng vô hình tốt hơn niềng răng mắc cài nhưng xét về hiệu quả thì lại ngược lại. Niềng răng mắc cài có thể khắc phục được mọi trường hợp từ đơn giản đến phức tạp nhất nhờ tính linh động cao và mỗi mắc cài sẽ chịu trách nhiệm riêng với một răng.

Tuy nhiên với trường hợp đã trưởng thành và có công việc giao tiếp nhiều đồng thời răng bị sai lệch ở mức độ nhẹ thì niềng răng vô hình sẽ là giải pháp tốt để đảm bảo kín đáo, thẩm mỹ mà vẫn đạt được hiệu quả cao.

 

3. Niềng răng vô hình bao nhiêu tiền?

Như đã nói ở trên, đây là một trong những nhược điểm của phương pháp chỉnh nha thẩm mỹ tiên tiến này.

Hiện nay có hai phương pháp niềng răng vô hình phổ biến nhất là khay Invisalign và Clear Aligner. Trong đó khay Invisalign có giá cao hơn rất nhiều so với khay Clear Aligner. Do để có khay Invisalign, bác sỹ phải gửi mẫu hàm sang trung tâm chế tác độc quyền tại Mỹ. Tại đây, giá khay niềng răng vô hình này được tính chung cho toàn thế giới, đồng nghĩa tại Việt Nam sẽ có mức giá chung với các nước phát triển. Vì vậy chi phí niềng răng khi sử dụng khay niềng Invisalign là rất cao.

Thay vì chọn khay Invisalign, bạn có thể sử dụng khay Clear Aligner được sản xuất theo công nghệ Hàn Quốc và có thể chế tác ngay tại phòng khám. Phương pháp này tiết kiệm hơn rất nhiều mà vẫn đảm bảo hiệu quả không thua kém khay Invisalign.

Khay Clear Aligner có giá thấp hơn nhiều so với khay Invisalign

Hiện nay tại nha khoa Lạc Việt, dù lựa chọn phương pháp niềng răng nào đều đảm bảo được thực hiện bởi các bác sỹ tay nghề giỏi, chuyên môn sâu và giàu kinh nghiệm cùng sự hỗ trợ của trang thiết bị và công nghệ hiện đại. Đặc biệt nha khoa Lạc Việt có sự liên kết chặt chẽ với trung tâm chế tác Invisalign tại Hoa Kỳ nên đảm bảo nhanh chóng nhận được khay niềng để tiến hành điều trị sớm nhất cho bệnh nhân. Hay với khay Clear Aligner thì có thể chế tác ngay tại phòng khám và có mức giá hợp lý nhất.

Quý khách có thể tham khảo bảng giá niềng răng vô hình tại nha khoa Lạc Việt ngay dưới đây:

Bảng giá dịch vụ niềng răng Invisalign:

 

MỨC ĐỘ KHÓ SỐ LƯỢNG CẶP KHAY GIÁ NIÊM YẾT GIÁ KHUYẾN MÃI (TT TRẢ THẲNG GIÁ KHUYẾN MÃI (TT TRẢ GÓP)
Ca Comprehensive kết hợp với khí cụ phức tạp Không giới hạn số khay 159.700.000 đ 95,800,000 đ 103,800,000 đ
Ca Comprehensive Không giới hạn số khay 149.400.000 đ 89,600,000 đ 97,100,000 đ
Ca Moderate Từ 26 cặp trở xuống 128.800.000 đ 77,300,000 đ 83,700,000 đ
Ca Lite Từ 14 cặp trở xuống 97.900.000 đ 68,500,000 đ 73,400,000 đ
Ca Express Từ 7 cặp trở xuống 66.900.000 đ 60,200,000 đ 63,000,000 đ

Bất kỳ tại trung tâm nha khoa tại Hà Nội nào hiện nay, chi phí niềng răng ngoài dựa vào loại khí cụ lựa chọn còn phụ thuộc vào nhiều yếu tố như tình trạng răng miệng và độ tuổi bệnh nhân. Răng càng sai lệch nặng và ở độ tuổi càng cao thì càng cần lượng khay niềng lớn và chi phí niềng răng vô hình sẽ cao hơn.

Ngoài ra phí niềng răng vô hình còn bao gồm các phí phụ khác như nhổ răng trước khi niềng để tạo khoảng trống cho răng di chuyển, điều trị các bệnh lý sâu răng, viêm lợi, viêm nha chu…

Với tiêu chí lấy chất lượng điều trị làm mục tiêu và đảm bảo chi phí hợp lý nhất, nha khoa Lạc Việt đã trở thành sự lựa chọn hàng đầu về trung tâm nha khoa uy tín, giá rẻ nhất. 

Hiện nay, cấy răng cũng là một giải pháp làm đẹp hàm răng tốt nhất mà bạn có thể tìm hiểu nhé!

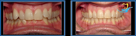
Kết quả một trường hợp niềng răng vô hình tại nha khoa Lạc Việt (*)

(*) Lưu ý hiệu quả khác nhau trong từng trường hợp cụ thể Trên đây là giải đáp của chúng tôi về vấn đề niềng răng vô hình có hiệu quả không và chi phí cho phương pháp này. Để được tư vấn chi tiết hơn, bạn nên trực tiếp tới phòng khám để được bác sỹ kiểm tra cụ thể. Mọi vấn đề khác về sức khỏe răng miệng cần được giải đáp xin vui lòng liên hệ Hotline 0971.066.726. Nha khoa Lạc Việt luôn sẵn sàng đồng hành cùng bạn trên con đường chinh phục nụ cười!

Chia sẻ

Tin cùng chủ đề

Đăng ký tư vấn

Vui lòng để lại thông tin và nhu cầu của Quý Khách để được tư vấn

Đối tác của Nha khoa lạc việt intech

Osstem Implant
Osstem Implant
test
test1
Đặt lịch hẹn Messenger Liên hệ Zalo Địa chỉ