Bộ dụng cụ niềng răng tại nhà gồm những gì? Có hiệu quả không?

Quản trị viên
01/02/2023

1. Giới thiệu 2 cách niềng răng tại nhà phổ biến nhất

Hiện nay có không ít người muốn niềng răng tại nhà để tiết kiệm chi phí và không cần tốn thời gian tới nha khoa để chỉnh nha. Có rất nhiều cách để chỉnh nha tại nhà bao gồm các công cụ chỉnh nha tự chế hoặc các khay trainer silicon. Cụ thể:

1.1. Sử dụng bộ niềng răng tại nhà - hàm trainer

Bộ niềng răng tại nhà thường là các khay niềng silicon hoặc khay niềng bằng nhựa áp dụng niềng răng được cho cả người lớn và trẻ em. Bộ dụng cụ niềng răng tại nhà này được bán rất nhiều trên thị trường với giá từ 200 nghìn đồng. Đây là mức giá thấp hơn rất nhiều so với khi thực hiện niềng răng ở các cơ sở nha khoa.

Tuy nhiên, bộ khay niềng tại nhà này thường được sản xuất chung một mẫu hàm và không có nguồn gốc xuất xứ rõ ràng nên sẽ không mang lại hiệu quả cao do mỗi người khác nhau sẽ gặp phải những tình trạng sai lệch khác nhau.

bộ niềng răng tại nhà

Bộ dụng cụ niềng răng tại nhà

1.2. Tự niềng răng bằng vật dụng tự chế

Ngoài hàm trainer thì một số người còn tự chế công cụ để niềng răng hoặc thậm chí dùng tay và lưỡi để tạo lực mỗi ngày.

Niềng răng bằng dây chun: Đây là phương pháp đơn giản và dễ thực hiện nhất. Bạn chỉ cần sử dụng một sợi dây chun thật chắc chắn và có độ co giãn tốt để kéo các răng sai lệch nằm liền kề nhau để giúp chúng có thể ngay ngắn thẳng hàng.

Niềng răng bằng dây thép: Tương tự như trên, người niềng răng sẽ tự chế mắc cài và dây cung từ những sợi dây thép mà không sử dụng mắc cài chính hãng như ở các nha khoa. Biện pháp này cũng không cần đến sự hỗ trợ từ các bác sĩ.

Niềng răng bằng tay, lưỡi: Người niềng dùng lưỡi đẩy hoặc dùng tay để kéo nắn chỉnh để giúp các răng lệch lạc về đúng vị trí. Tuy nhiên, lực đẩy từ tay và lưỡi là rất yếu nên khó có thể khiến răng di chuyển hiệu quả được.

cách niềng răng tại nhàNiềng răng tại nhà bằng chun buộc

2. Niềng răng tại nhà có hiệu quả không? Bác sĩ giải đáp

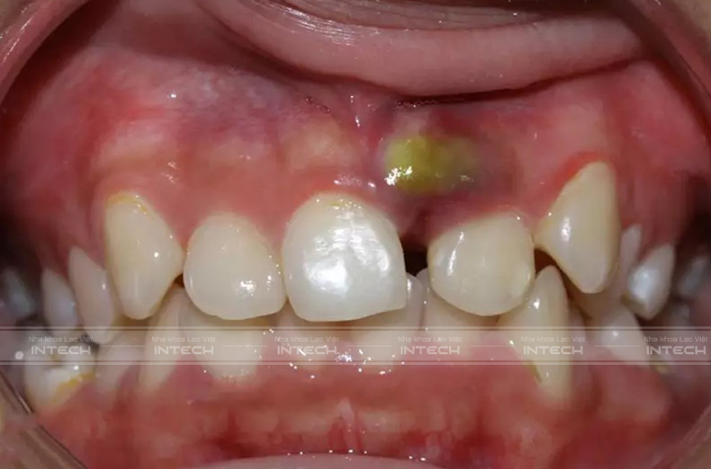
Theo các bác sĩ chỉnh nha chuyên sâu tại nha khoa Lạc Việt Intech, niềng răng là kỹ thuật khó, mỗi người khác nhau sẽ gặp phải những tình trạng khác nhau cần được chụp phim và thăm khám kỹ lưỡng rồi mới tiến hành niềng răng. Những phương pháp niềng răng tại nhà nêu trên không những không mang lại hiệu quả mà còn có nguy cơ gây ra một số biến chứng sau:

Khiến răng bị ê buốt, đau nhức kéo dài: Tình trạng răng khác nhau nhưng tất cả đều sử dụng chung một hàm cố định sẽ khiến cho các răng di chuyển xô lệch, sai hướng, sai vị trí. Đồng thời những hàm niềng răng tại nhà không thể điều chỉnh lực kéo cần thiết ở mỗi giai đoạn khiến cho chân răng không được ổn định dẫn đến ê buốt, đau nhức kéo dài.

Khiến cho răng bị xô lệch hơn trước: Nếu không có kiến thức chuyên môn sâu về niềng răng sẽ rất khó có thể kiểm soát được lực kéo và khiến răng di chuyển mất kiểm soát khiến răng ngày càng xô lệch hơn, khấp khểnh hơn.

Ảnh hưởng đến chức năng ăn nhai: Niềng răng không đúng kỹ thuật sẽ khiến cho chân răng bị lung lay, đau nhức ê buốt cũng ảnh hưởng khá nhiều đến việc ăn nhai của người niềng. Đặc biệt, trong trường hợp tự chế mắc cài và dây cung có thể khiến cho các mô mềm bị tổn thương, ảnh hưởng đến xương hàm và cung răng. Điều này khiến cho việc ăn nhai trở nên khó khăn hơn.

Gây nguy cơ viêm tủy răng và chết tủy: Đây là biến chứng nặng nhất khi tự niềng răng tại nhà khi lực kéo quá mạnh, chân răng di chuyển đột ngột khiến cho mạch máu bị đứt gây chết tủy.

tự niềng răng tại nhà

Niềng răng tại nhà gây ra biến chứng nguy hiểm

Khiến xương và khớp cắn cũng bị sai lệch theo: Biến chứng này thường xảy ra khi niềng răng tại nhà cho trẻ nhỏ. Ở trẻ nhỏ, xương hàm đang trong giai đoạn phát triển, nếu thực hiện niềng răng không đúng sẽ làm ảnh hưởng đến cả sự hình thành và phát triển của cung hàm gây ra những sai lệch về khớp cắn.

Niềng răng tại nhà gây viêm nhiễm vùng nướu: Như đã nói ở trên, mắc cài tự chế từ sắt gây tổn thương nướu hay sự dịch chuyển sai lệch gây tổn hại mạch máu khiến cho nướu bị chịu áp lực nhiều hơn, dẫn đến viêm nhiễm.

Ngoài ra, khi sử dụng chun buộc niềng răng, chúng có thể vô tình trượt lên chân răng và lấn sâu vào nướu gây đứt mạch máu quanh chân răng, tổn thương nướu.

Gây nhiễm trùng: Bộ dụng cụ tự niềng răng tại nhà thường không được khử trùng khử khuẩn đầy đủ nên rất dễ sinh ra vi khuẩn gây hại gây nhiễm trùng nướu và ảnh hưởng xấu đến sức khỏe răng miệng.

3. Giải pháp niềng răng công nghệ cao an toàn, hiệu quả tại nha khoa Lạc Việt

Nha khoa Lạc Việt Intech là một địa chỉ đáng tin cậy khi bạn tìm kiếm một nha khoa niềng răng. Không chỉ có đội ngũ bác sĩ tay nghề cao, mỗi bác sĩ từng điều trị thành công cho hơn 500 khách hàng mà nha khoa còn trang bị đầy đủ trang thiết bị hiện đại và vật liệu chỉnh nha đảm bảo chất lượng, nhập khẩu chính hãng.

3.1. Bác sĩ chỉnh nha giỏi, dày dặn kinh nghiệm

Bác sĩ là người trực tiếp thăm khám và lên kế hoạch điều trị cho bạn, là người đóng vài trò quyết định trong việc đem lại hiệu quả tối ưu và ngăn ngừa những biến chứng do niềng răng sai lệch gây ra.

Vì vậy, việc lựa chọn bác sĩ điều trị là vô cùng cần thiết. Bác sĩ tại Lạc Việt Intech đều đã có chứng chỉ hành nghề và thực hiện chỉnh nha cho hơn 500 trường hợp khách hàng nên bạn hoàn toàn có thể tin tưởng.

3.2. Thiết bị hỗ trợ hiện đại

Đây là công cụ hỗ trợ đắc lực cho bác sĩ giúp gia tăng độ chính xác trong chẩn đoán, lên kế hoạch điều trị cũng như mô phỏng kết quả sau cùng. Điều này giúp bác sĩ sớm nhận ra các di chuyển không khả thi và điều chỉnh kế hoạch kịp thời, từ đó tiết kiệm thời gian và tối ưu hóa kết quả điều trị. Lạc Việt Intech trang bị đầy đủ máy móc hiện đại nhất phục vụ niềng răng an toàn, hiệu quả như: CT ConeBeam, iTero 5D, Panorama, Cephalo…

Ngoài ra, gắn răng implant cũng là một giải pháp làm đẹp răng hiệu quả được nhiều người lựa chọn tại Lạc Việt Intech.

3.3. Vật liệu chỉnh nha chất lượng cao

Chỉnh nha gắn liền với các khí cụ: Mắc cài, dây cung, máng trong suốt, minivis… Bạn cần lựa chọn địa chỉ niềng răng cửa thưa đảm bảo chất lượng của những khí cụ này nếu muốn quá trình niềng răng của mình diễn ra thuận lợi và hiệu quả.

3.4. Công nghệ niềng răng mắc cài độc quyền X-Matrix

Đây là công nghệ niềng răng mắc cài hiện đại nhất hiện nay không chỉ giúp bạn xem trước được quá trình răng dịch chuyển qua từng giai đoạn mà còn xem trước được kết quả cuối cùng.

Đồng thời, việc áp dụng AI vào việc lập kế hoạch điều trị còn giúp bác sĩ lựa chọn vị trí gắn mắc cài và dây cung tốt nhất, khả năng dịch chuyển tịnh tiến cả răng và xương ổ răng giúp rút ngắn 4 – 6 tháng niềng răng so với các công nghệ niềng răng thông thường khác.

Xem thêm video về công nghệ X-Matrix dưới đây:

Kết luận:

Như vậy, bạn tuyệt đối không nên tự niềng răng tại nhà mà hãy đến các nha khoa uy tín, chất lượng cao để được thăm khám chi tiết và lên phác đồ điều trị hiệu quả để tránh biến chứng nguy hiểm. Nếu cần hỗ trợ thêm bất cứ thông tin nào về niềng răng – chỉnh nha, hãy gọi đến hotline 19006421 hoặc đến nha khoa Lạc Việt Intech để được giải đáp.

Chia sẻ

Tin cùng chủ đề

Đăng ký tư vấn

Vui lòng để lại thông tin và nhu cầu của Quý Khách để được tư vấn

Đối tác của Nha khoa lạc việt intech

Osstem Implant
Osstem Implant
test
test1
Đặt lịch hẹn Messenger Liên hệ Zalo Địa chỉ