Niềng răng mắc cài sứ là gì? Quy trình niềng răng sứ thế nào?

Quản trị viên
23/08/2024

Niềng răng mắc cài sứ là gì? 

null

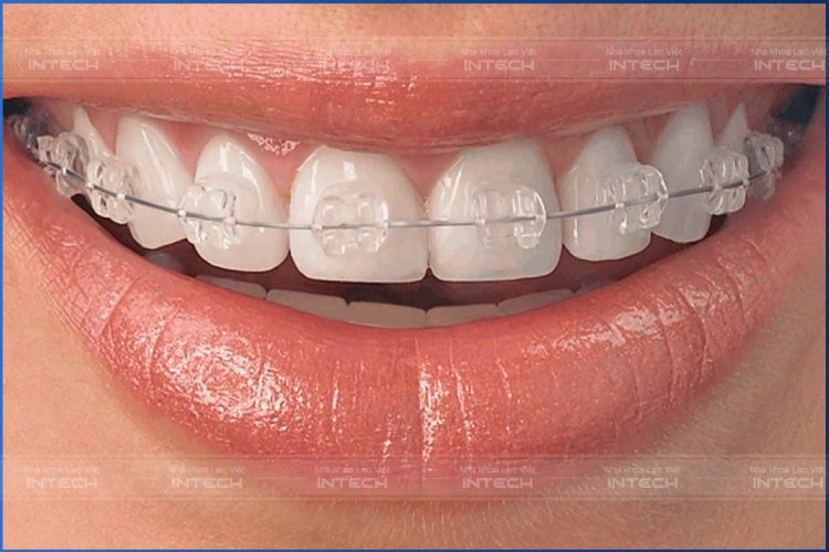
Chỉnh nha bằng mắc cài sứ – Phương pháp chỉnh nha phổ biến hiện nay

Niềng răng sứ là một trong những phương pháp chỉnh nha sử dụng bộ khí cụ để nắn chỉnh các răng sai lệch về vị trí đúng trên cung hàm. Tuy nhiên, nếu như niềng răng mắc cài kim loại sử dụng bộ mắc cài được làm bằng vật liệu inox thì niềng răng sứ sử dụng các mắc cài được làm bằng chất liệu sứ. 

Nhờ màu sắc trắng trong của mắc cài sứ tương đồng với màu răng thật, vậy nên bạn sẽ không còn phải lo lắng bị lộ mắc cài khi niềng. Phương pháp này được đánh giá tối ưu cả về hiệu quả và thẩm mỹ. 

Trường hợp nào có thể niềng răng cài sứ? 

null

null

Khắc phục răng hô, chen chúc bằng phương pháp chỉnh nha bằng sứ

Niềng răng bằng mắc cài sứ có thể áp dụng cho mọi trường hợp sai lệch trên răng từ đơn giản đến phức tạp. Cụ thể, phương pháp này đã thành công khi điều trị các ca: 

  • Răng hô 
  • Răng móm
  • Răng thưa
  • Răng khấp khểnh
  • Các dạng sai lệch khớp cắn, hàm lệch, hàm hẹp

Các loại niềng răng mắc cài sứ hiện nay

null

3 phương pháp niềng răng sứ hiện nay

Hiện nay chỉnh nha bằng sứ được chia thành 3 loại chủ yếu với những đặc trưng khác nhau, cụ thể: 

  • Niềng răng sứ truyền thống: Phương pháp này bao gồm 2 loại là niềng răng sứ thường và mắc cài sứ pha lê (Khác nhau ở chất liệu mắc cài), còn lại, cơ chế hoạt động vẫn là kết hợp với dây cung, dây thun để nắn chỉnh răng về vị trí mong muốn. 
  • Niềng răng sứ tự buộc: Phương pháp này không cần đến dây thun trong chỉnh nha nhờ thiết kế cơ chế tự buộc của mắc cài, nhờ đó, tình trạng bung tuột dây cung sẽ không xảy ra, giúp quy trình niềng răng diễn ra nhanh chóng, hiệu quả. 
  • Niềng răng sứ dây trong: Đây là phương pháp sử dụng chất liệu dây niken mà trắng trong, tạo nên tính thẩm mỹ rất cao, tuy nhiên, điểm hạn chế là chất liệu này dễ vỡ và có độ bền thấp. 

Niềng răng bằng sứ sử dụng loại dây cung gì?

null

Sự thay đổi theo từng giai đoạn của khách hàng sau khi niềng răng mắc cài sứ

Có 2 loại dây cung được sử dụng trong chỉnh nha bằng mắc cài sứ, bạn có thể tìm hiểu qua những đặc điểm dưới đây: 

  • Dây cung bằng thép không gỉ: Chất liệu này được đánh giá cao về độ bền, cững, vì vậy lực kéo với răng rất ổn định và hiệu quả. Tuy nhiên, điểm hạn chế là dây cung không đẹp mắt, làm ảnh hưởng đến thẩm mỹ.
  • Dây cung niken trong: Loại dây này có màu trong suốt nên không dễ bị lộ, tuy nhiên, xét trên độ bền chắc lại không bằng thép không gỉ. 

Ưu nhược điểm của phương pháp chỉnh nha mắc cài sứ

null

Đánh giá ưu nhược điểm của niềng răng sứ

Về ưu điểm: 

  • Hiệu quả chỉnh nha của mắc cài sứ cao, tương tự như mắc cài kim loại, có thể khắc phục mọi sai lệch từ đơn giản đến phức tạp
  • Với màu sắc mắc cài sứ gần giống với màu răng thật, phương pháp này mang lại tính thẩm mỹ cao, rất phù hợp cho những người thường xuyên phải giao tiếp
  • Vật liệu sứ cũng rất an toàn, lành tính, loại bỏ được những hiện tượng như viêm lợi, bị kích ứng khi đeo mắc cài

Về nhược điểm: 

  • Mắc cài sứ có độ bền kém hơn mắc cài kim loại, dễ xảy ra hiện tượng nứt, vỡ mắc cài 
  • Thời gian đầu khi mới gắn mắc cài hoặc trong những lần siết răng định kỳ, bạn sẽ thấy hơi ê nhức, tuy nhiên đây cũng là dấu hiệu cho thấy răng dịch chuyển và ở bất kỳ phương pháp nào cũng xảy ra. Vì vậy, sau 1 – 2 tuần làm quen bạn sẽ cảm thấy dễ chịu hơn. 

Quy trình niềng răng bằng sứ diễn ra như thế nào?

null

Quy trình chỉnh nha bằng mắc cài sứ tại Nha khoa Lạc Việt Intech

Tương tự với phương pháp chỉnh nha bằng mắc cài kim loại truyền thống, niềng răng sứ có quy trình thực hiện rất đơn giản, bao gồm các bước như sau: 

  • Bước 1: Thăm khám, chụp phim và quét dấu răng
  • Bước 2: Tư vấn kế hoạch điều trị dựa trên các dữ liệu trên 
  • Bước 3: Ký kết hợp đồng điều trị 
  • Bước 4: Vệ sinh răng miệng, điều trị các bệnh lý răng miệng (nếu có)
  • Bước 5: Gắn mắc cài 
  • Bước 6: Tái khám chỉnh nha định kỳ 
  • Bước 7: Tháo mắc cài và đeo hàm duy trì sau niềng

Giá niềng sứ bao nhiêu tiền?

Giá niềng sứ cao hơn so với niềng răng mắc cài kim loại bởi ưu điểm về tính thẩm mỹ. Quý khách hàng có thể tham khảo bảng giá niềng răng mắc cài sứ đang được áp dụng tại Nha khoa Lạc Việt Intech qua bảng dưới đây: 

Bảng giá niềng răng mắc cài sứ

Gói dịch vụ Loại khí cụ sử dụng Chỉ định điều trị Giá gốc Giá ưu đãi trả thẳng Giá ưu đãi trả góp 50%
Mắc cài sứ buộc chun - Mắc cài sứ Symetri Clear MBT Slot 0.22 của Ormco(Mỹ).
- Dây cung NI - TI kích hoạt nhiệt tự trình HA.
- Hệ thống cố định dây cung Ligature
- Hệ thống khí cụ đóng khoảng kích hoạt biến nhiệt Multiloop
Mọi loại sai lệch: Hô, móm, khấp khểnh, thưa,... và mọi độ tuổi. 40.000.000 32.000.000 36.000.000
Mắc cài sứ tự động - Mắc cài sứ tự động Damon Clear 2 Slot 0.22 của Ormco(Mỹ).
- Dây cung NI - TI kích hoạt nhiệt tự trình HA.
- Hệ thống cố định dây cung bằng nắp khóa zirconium nguyên khối
- Hệ thống khí cụ đóng khoảng kích hoạt biến nhiệt Multiloo
Mọi loại sai lệch: Hô, móm, khấp khểnh, thưa,... và mọi độ tuổi. 55.000.000 44.000.000 49.500.000

Lưu ý:

  • Mức chi phí này đã bao gồm các khoản phí chụp X-quang, scan hàm, tư vấn kế hoạch điều trị, thăm khám định kỳ và đeo hàm duy trì sau niềng. 
  • Đối với trường hợp niềng răng một hàm, giá sẽ bằng 2/3 mức chi phí trên. Các chương trình ưu đãi không áp dụng cho niềng răng một hàm. 

Tại sao giá niềng răng sứ lại cao hơn niềng răng mắc cài kim loại

Niềng răng sứ có mức giá niêm yết dao động từ 36 – 51 triệu, trong khi niềng răng mắc cài kim loại dao động từ 19 – 32 triệu đồng. Mức chênh lệch khá lớn khiến cho nhiều khách hàng đặt câu hỏi vì sao giá tiền chỉnh nha mắc cài sứ lại cao hơn các phương pháp khác. 

Nguyên nhân được xác định bởi: 

  • Mắc cài sứ đảm bảo được tính thẩm mỹ cho người chỉnh nha trong suốt quá trình điều trị 
  • Vật liệu sứ an toàn với cơ thể, loại bỏ các tình trạng kích ứng khi đeo mắc cài 
  • Tính hiệu quả của niềng răng mắc cài sứ không hề thua kém các phương pháp khác

Ngoài ra, mức giá chênh lệch còn có thể do phương pháp bạn lựa chọn là buộc chun hoặc tự động. Việc lựa chọn địa chỉ nha khoa, công nghệ niềng răng cũng sẽ ảnh hưởng phần nào đến chi phí. 

Lưu ý khi chỉnh nha bằng mắc cài sứ có hiệu quả cao nhất

Niềng răng là một quá trình dài đòi hỏi sự kiên trì, nỗ lực của chính khách hàng kết hợp với phác đồ điều trị chuyên sâu của nha sĩ. Đối với chỉnh nha mắc cài sứ, bạn cần lưu ý những thông tin dưới đây: 

  • Tìm hiểu thật kỹ thông tin về nha khoa, chất liệu mắc cài, giá thành trước khi quyết định ký hợp đồng chỉnh nha 
  • Mắc cài sứ dễ nứt vỡ trong quá trình niềng nên bạn cần hết sức cẩn thận khi ăn uống và vệ sinh răng miệng 
  • Hạn chế những vận động mạnh trong quá niềng răng để đề phòng những rủi ro không đáng có 
  • Sau khi tháo mắc cài cần thực hiện đeo hàm duy trì đúng theo chỉ dẫn của nha sĩ nhằm tránh tình trạng răng chạy sau niềng

Những câu hỏi thường gặp về niềng răng bằng sứ

Câu hỏi: Thời gian niềng răng mắc cài sứ bao lâu? So với niềng răng kim loại phương pháp nào nhanh hơn? 

Trả lời: Thời gian chỉnh nha bằng sứ thường dao động từ 12 – 24 tháng hoặc lâu hơn tùy vào tình trạng răng, kế hoạch điều trị, công nghệ chỉnh nha… Mắc cài sứ được đánh giá rất cao về tính thẩm mỹ, tuy nhiên, lực kéo của mắc cài sứ lại yếu hơn mắc cài kim loại, vì vậy trong cùng một trường hợp, thời gian niềng răng mắc cài sứ sẽ lâu hơn mắc cài kim loại. 

Câu hỏi: Khi niềng răng sứ, răng có chuyển màu ố vàng không?

Trả lời: Răng chuyển sang màu ố vàng khi niềng nguyên nhân chủ yếu là do vấn đề chăm sóc răng miệng hoặc bạn sử dụng thuốc lá, thực phẩm nặng màu quá nhiều… Vì vậy, để tránh tình trạng này bạn cần chăm sóc răng miệng một cách kỹ càng nhé. 

Câu hỏi: Niềng răng bằng sứ có hiệu quả không? 

Trả lời: Dựa trên dữ liệu của hàng triệu ca niềng thành công, có thể khẳng định niềng răng mắc cài sứ mang lại hiệu quả chỉnh nha cao cho các trường hợp sai lệch trên răng.

Địa chỉ niềng răng sứ giá tốt, hiệu quả nhất hiện nay

Nha khoa Lạc Việt Intech với hơn 15 năm xây dựng và phát triển hiện đang là trung tâm niềng răng chuyên sâu thẩm mỹ mang đến cho khách hàng những trải nghiệm tốt nhất với mức giá phù hợp. Nếu bạn đang muốn thực hiện giải pháp cấy ghép implant thì Lạc Việt Intech là địa chỉ uy tín mà bạn nên lựa chọn.

Đối với chỉnh nha mắc cài sứ, Lạc Việt Intech áp dụng công nghệ X-Matrix độc quyền giúp mang lại hiệu quả chỉnh nha hoàn hảo nhờ khả năng cá nhân hóa mắc cài, tính toán chi tiết lực di chuyển lên từng mắc cài. Bên cạnh đó, công nghệ nổi bật trong chỉnh nha còn phát huy tối đa các ưu điểm của công nghệ thường, hỗ trợ khách hàng xem trước kết quả điều trị, hạn chế tình trạng nhổ răng và loại bỏ các biến chứng. 

Hàng nghìn khách hàng đã lựa chọn niềng răng mắc cài sứ tại Nha khoa Lạc Việt Intech và có được kết quả chỉnh nha hoàn hảo. Liên hệ ngay qua hotline của Lạc Việt Intech để được tư vấn về gói niềng răng mắc cài sứ kèm theo nhiều ưu đãi hấp dẫn!

 
Chia sẻ

Tin cùng chủ đề

Đăng ký tư vấn

Vui lòng để lại thông tin và nhu cầu của Quý Khách để được tư vấn

Đối tác của Nha khoa lạc việt intech

Osstem Implant
Osstem Implant
test
test1
Đặt lịch hẹn Messenger Liên hệ Zalo Địa chỉ