NIỀNG RĂNG MẮC CÀI 3M UGSL LÀ GÌ VÀ GIÁ BAO NHIÊU LÀ HỢP LÝ?

Quản trị viên
23/08/2024

Niềng răng mắc cài 3M UGSL là công nghệ tiên tiến bậc nhất hiện nay

 

1. Niềng răng mắc cài 3M UGSL là gì?

Niềng răng 3M UGSL là gì hay mắc cài 3M là gì? Đây là phương pháp chỉnh nha toàn diện từ chiểu răng, thế răng và phương răng cho đến tỷ lệ khớp cắn.

Tất cả mọi trường hợp sai lệch do răng gây ra đều có thể khắc phục triệt để bằng niềng răng mắc cài 3M UGSL, bao gồm:

– Răng khấp khểnh, răng thưa, răng hô vẩu, răng móm…

– Các sai lệch khớp cắn như cắn hở, cắn sâu, cắn lệch, cắn chéo…

Ngoài ra những trường hợp hàm sai lệch như hàm lệch, hàm hẹp, hàm méo… ở mức độ nhẹ đều có thể điều chỉnh dứt điểm bằng phương pháp niềng răng tiên tiến này.

Hệ thống mắc cài của phương pháp niềng răng mắc cài 3M UGSL được chế tác dựa trên công nghệ tiên tiến của tập đoàn nha khoa xuyên quốc gia 3M ESPE. Sự khác biệt của loại mắc cài này với các mắc cài thông thường là chất lượng đảm bảo, định vị chắc chắn và có tính năng tạo lực.

 

2. Ưu điểm của niềng răng mắc cài 3M UGSL

Mắc cài 3M UGSL được sáng chế dựa trên nhu cầu thực tế về vấn đề thời gian niềng răng quá dài và các mắc cài dễ bị bung tuột… Do đó khi ứng dụng công nghệ tiên tiến này, mọi vấn đề đó không còn đáng lo ngại nữa:

Niềng răng mắc cài 3M UGSL cho hiệu quả thẩm mỹ tối đa

+ Hàm răng sau niềng răng đạt kết quả đều đặn, thẳng hàng, răng mọc thẳng đứng, phương răng song song với thế thẳng đứng và chiều răng chuẩn.

+ Xương hàm cân đối, vòm hàm đẹp và hài hòa với cấu trúc khuôn mặt

+ Khớp cắn đạt tỷ lệ chuẩn, ngăn chặn ảnh hưởng đến khớp thái dương hàm…

Niềng răng mắc cài 3M UGSL đảm bảo an toàn tuyệt đối

Mắc cài 3M UGSL thiết kế thông minh

+ Các mắc cài có hình bình hành với thiết kế 80 lỗ mặt sàng giúp định vị chắc chắn trên răng

+ Kháng mỏi cao nhờ cơ chế tự buộc Nitinol, từ đó xác định đúng hướng di chuyển của răng đồng thời tác động lực kéo, đưa răng di chuyển về vị trí mong muốn.

+ Hạn chế ma sát tối đa nên đảm bảo răng không bị yếu đi hay mòn men sau điều trị.

+ Mắc cài không bị bung tuột nên không mất nhiều thời gian chỉnh sửa và không gây ảnh hưởng đến môi và má.

Niềng răng mắc cài 3M UGSL rút ngắn thời gian điều trị tối đa

+ Phần mềm Dolphin 11.7 cùng sự hỗ trợ của Mini vít giúp răng di chuyển đúng hướng mà bác sỹ lên sẵn trong phác đồ điều trị mà không hề xảy ra sai khác, rút ngắn thời gian chỉnh nha.

+ Khi đạt được vị trí cuối cùng cũng là lúc chân răng trong xương hàm đã cố định khá chắc chắn. Vì vậy thời gian đeo hàm cố định sẽ được rút ngắn tối đa.

 

3. Niềng răng mắc cài 3M UGSL giá bao nhiêu?

Niềng răng mắc cài 3M UGSL nói riêng và niềng răng thẩm mỹ nói chung là kỹ thuật nha khoa phức tạp, đòi hỏi phải được thực hiện tại trung tâm nha khoa uy tín để tránh tình trạng tiền mất tật mang, tốn kém thời gian.

Vậy thế nào là một địa chỉ nha khoa uy tín, đảm bảo niềng răng mắc cài 3M UGSL giá bao nhiêu hợp lý nhất và hiệu quả thẩm mỹ tối ưu. Đó phải là trung tâm đáp ứng đầy đủ các tiêu chí sau:

– Sở hữu đội ngũ bác sỹ tay nghề giỏi, chuyên môn sâu và giàu kinh nghiệm

– Trang thiết bị máy móc hiện đại, đảm bảo quá trình niềng răng diễn ra thuận lợi

– Ứng dụng các công nghệ tiên tiến trên thế giới

– Quy trình niềng răng đạt chuẩn Y tế thế giới

– Dịch vụ chăm sóc khách hàng chất lượng và chi phí điều trị hợp lý

Hiện nay tại nha khoa Lạc Việt, mọi trường hợp niềng răng nói chung và niềng răng mắc cài 3M UGSL nói riêng đều được thực hiện bởi các bác sỹ là thạc sỹ chuyên ngành răng hàm mặt của trường đại học Y Hà Nội và đã được đào tạo chỉnh nha chuyên sâu tại các trường danh tiếng ở Pháp và Hoa Kỳ. Cùng với đó là sự hỗ trợ của hệ thống máy móc hiện đại nhập khẩu chính hãng từ châu Âu, đảm bảo quy trình niềng răng diễn ra thuận lợi và chuẩn xác. Đặc biệt, nha khoa Lạc Việt không ngừng tiếp thu và ứng dụng các công nghệ chỉnh nha tiên tiến bậc nhất trên thế giới.

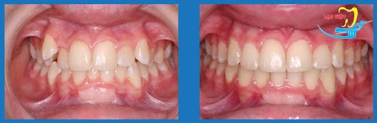
Kết quả một trường hợp niềng răng mắc cài 3M UGSL tại nha khoa Lạc Việt (*)

(*) Lưu ý hiệu quả khác nhau trong từng trường hợp cụ thể

Với tiêu chí lấy chất lượng điều trị làm mục tiêu và đảm bảo chi phí niềng răng mắc cài 3M UGSL giá bao nhiêu hợp lý nhất, nha khoa Lạc Việt đã trở thành một trong những lựa chọn hàng đầu về địa chỉ nha khoa giá rẻ và uy tín nhất.

Quý khách có thể tham khảo bảng giá niềng răng 3M UGSL nói riêng và niềng răng thẩm mỹ nói chung tại nha khoa Lạc Việt ngay dưới đây:

Bảng giá dịch vụ niềng răng mắc cài mặt trong:

 

LOẠI NIỀNG RĂNG XUẤT XỨ GIÁ NIÊM YẾT GIÁ KHUYẾN MÃI (TT TRẢ THẲNG) GIÁ KHUYẾN MÃI (TT TRẢ GÓP)
Mắc cài mặt lưỡi 3D CLB Hàn Quốc 66.900.000 đ 50.200.000 đ 53.500.000 đ
Mắc cài mặt lưỡi 3D DTC Mỹ 80.900.000 đ 52.600.000 đ 55.700.000 đ
Mắc cài mặt lưỡi cá nhân 3D Incognito Mỹ 103.000.000 đ 77.300.000 đ 82.400.000 đ

Bảng giá niềng răng mắc cài mặt ngoài:

 

GÓI DỊCH VỤ LOẠI KHÍ CỤ SỬ DỤNG CHỈ ĐỊNH ĐIỀU TRỊ GIÁ GỐC GIÁ ƯU ĐÃI TRẢ THẲNG GIÁ ƯU ĐÃI TRẢ GÓP 50%
Mắc cài kim loại buộc chun đơn giản - Mắc cài Tomy (Nhật) hoặc OrthoQuest (Hàn Quốc).
- Dây cung CO - BA và hệ thống khí cụ sinh lực tiêu chuẩn cơ.
- Răng thưa dưới 0,5mm.
- Răng khấp khểnh không quá 0,5mm
30.000.000 24.000.000 27.000.000
Mắc cài kim loại buộc chun tiêu chuẩn - Mắc cài UGSL 3M Unitek MBT Slot 0.22 (Mỹ).
- Dây cung NI - TI kích hoạt nhiệt tự trình HA.
- Hệ thống cố định dây cung Ligature
- Hệ thống khí cụ đóng khoảng kích hoạt biến nhiệt Multiloop
Mọi loại sai lệch: Hô, móm, khấp khểnh, thưa,... và mọi độ tuổi. 38.000.000 30.400.000 34.200.000
Mắc cài kim loại tự động. - Mắc cài kim loại tự động AO - MBT Slot 0.22 phủ nano titanium (không ma sát) của american orthodontics (Mỹ).
- Dây cung NI - TI kích hoạt nhiệt tự trình HA.
- Hệ thống cố định dây cung bằng khóa titanium nguyên khối.
- Hệ thống khí cụ đóng khoảng kích hoạt biền nhiệt Multiloop.
Mọi loại sai lệch: Hô, móm, khấp khểnh, thưa,... và mọi độ tuổi. 44.000.000 35.200.000 39.600.000
Mắc cài sứ buộc chun - Mắc cài sứ Symetri Clear MBT Slot 0.22 của Ormco(Mỹ).
- Dây cung NI - TI kích hoạt nhiệt tự trình HA.
- Hệ thống cố định dây cung Ligature
- Hệ thống khí cụ đóng khoảng kích hoạt biến nhiệt Multiloop
Mọi loại sai lệch: Hô, móm, khấp khểnh, thưa,... và mọi độ tuổi. 40.000.000 35.000.000 37.000.000
Mắc cài sứ tự động - Mắc cài sứ tự động Damon Clear 2 Slot 0.22 của Ormco(Mỹ).
- Dây cung NI - TI kích hoạt nhiệt tự trình HA.
- Hệ thống cố định dây cung bằng nắp khóa zirconium nguyên khối
- Hệ thống khí cụ đóng khoảng kích hoạt biến nhiệt Multiloop.
Mọi loại sai lệch: Hô, móm, khấp khểnh, thưa,... và mọi độ tuổi. 60.000.000 51.200.000 55.000.000

Bảng giá dịch vụ niềng răng Invisalign:

 

MỨC ĐỘ KHÓ SỐ LƯỢNG CẶP KHAY GIÁ NIÊM YẾT GIÁ KHUYẾN MÃI (TT TRẢ THẲNG GIÁ KHUYẾN MÃI (TT TRẢ GÓP)
Ca Comprehensive kết hợp với khí cụ phức tạp Không giới hạn số khay 159.700.000 đ 95,800,000 đ 103,800,000 đ
Ca Comprehensive Không giới hạn số khay 149.400.000 đ 89,600,000 đ 97,100,000 đ
Ca Moderate Từ 26 cặp trở xuống 128.800.000 đ 77,300,000 đ 83,700,000 đ
Ca Lite Từ 14 cặp trở xuống 97.900.000 đ 68,500,000 đ 73,400,000 đ
Ca Express Từ 7 cặp trở xuống 66.900.000 đ 60,200,000 đ 63,000,000 đ

Trên đây là giải đáp của chúng tôi về vấn đề niềng răng mắc cài 3M UGSL là gì và giá bao nhiêu là hợp lý nhất. Mọi vấn đề khác về sức khỏe răng miệng hoặc cấy răng cần được giải đáp, xin vui lòng liên hệ Hotline 0971.066.726. Nha khoa Lạc Việt chúc bạn luôn luôn tự tin với hàm răng chắc – khỏe – đẹp!

Chia sẻ

Tin cùng chủ đề

Đăng ký tư vấn

Vui lòng để lại thông tin và nhu cầu của Quý Khách để được tư vấn

Đối tác của Nha khoa lạc việt intech

Osstem Implant
Osstem Implant
test
test1
Đặt lịch hẹn Messenger Liên hệ Zalo Địa chỉ