Niềng răng khấp khểnh mất bao lâu? Chi phí hết bao nhiêu tiền?

Quản trị viên
24/02/2023

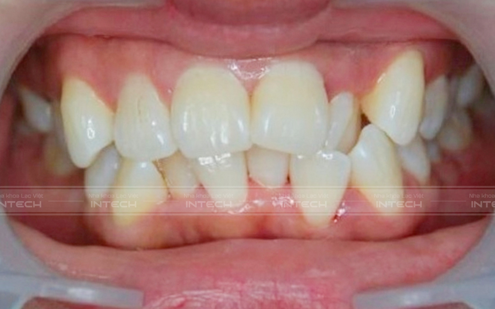
1. Răng khấp khểnh là gì?

Răng khấp khểnh (chen chúc) theo phân loại khớp cắn của Angle là dạng sai khớp cắn hạng I. Đây là dạng khớp cắn không có sự bất thường nào về đối xứng hay khoảng cách giữa các răng hàm số 6 hàm trên so với răng hàm dưới số 6 hàm dưới mà chỉ bị lệch lạc ở trên các răng số 1, 2, 3, 4 phía trước. 

Hay để dễ hiểu hơn, răng khấp khểnh là tình trạng răng mọc sai vị trí, mọc chen chúc, xô lệch, chồng chéo trên cung hàm. Các răng khấp khểnh thường mọc lệch theo hướng đưa ra ngoài hay lệch vào trong dẫn tới sai lệch khớp cắn, gây khó khăn trong ăn nhai và mất thẩm mỹ trong giao tiếp.

Bạn có thể nhận biết dễ dàng về dấu hiệu của sai khớp cắn hạng I:

  • Khi cắn xuống, trên vết cắn sẽ thấy rõ sự chênh lệch giữa các răng.
  • Trong ăn nhai và giao tiếp sẽ thường xuyên cắn phải lưỡi hoặc má trong.
  • Mỏi hàm khi ăn nhai và khó cắn xé thức ăn.
  • Một số trường hợp phát âm không chuẩn.

Răng khấp khểnh

45% người trưởng thành gặp phải tình trạng răng khấp khểnh

2. Răng khấp khểnh là do đâu?

Có rất nhiều nguyên nhân dẫn đến tình trạng răng mọc khấp khểnh, chen chúc. Cụ thể:

  • Do di truyền: Nếu bố mẹ có một hàm răng khấp khểnh thì khả năng răng con mọc khấp khểnh cũng sẽ rất cao.
  • Kích thước cung hàm nhỏ hơn kích thước của răng vĩnh viễn: Khi đó các răng sẽ không có đủ chỗ để mọc đều trên cung hàm, từ đó dẫn đến việc răng mọc chen chúc, mọc lệch hoặc mọc chồng lên nhau.
  • Sự bất thường trong quá trình thay răng sữa: Răng sữa thay quá sớm so với độ tuổi bình thường khiến cho khoảng trống dành cho răng vĩnh viễn thay thế không đủ, từ đó mọc lệch. Hoặc trường hợp răng sữa thay quá muộn so với độ tuổi cũng khiến răng vĩnh viễn không có chỗ mọc, dẫn đến răng mọc chen chúc, xô lệch nhau
  • Các thói quen xấu hình thành từ khi còn nhỏ như mút tay, đẩy lưỡi, ngậm ti giả,... cũng gây ảnh hưởng đến cấu trúc cung hàm, từ đó khiến răng mọc khấp khểnh.

3. Ảnh hưởng của răng khấp khểnh

Hàm răng khấp khểnh, chen chúc gây ảnh hưởng rất nhiều đến thẩm mỹ và sức khỏe răng miệng, cụ thể:

3.1 Ảnh hưởng đến khả năng ăn nhai

Việc các răng mọc không đúng vị trí, mọc lệch, mọc chồng lên nhau cũng khiến cho khớp cắn bị sai lệch. Khi khớp cắn bị lệch thì lực tự nhiên tác động lên răng trong quá trình ăn nhai sẽ không đều khiến việc nhai nghiền thức ăn bị ảnh hưởng rất nhiều, từ đó ảnh hưởng đến đường tiêu hoá.

Cùng với đó, tình trạng răng khấp khểnh cũng gây ảnh hưởng đến cơ mặt và khớp thái dương hàm, dẫn đến lệch mặt, mỏi cơ hay đau nhức khớp thái dương hàm.

3.2 Mất tính thẩm mỹ

Một tác hại mà ai cũng thấy được khi gặp phải tình trạng răng khấp khểnh đó chính là tính thẩm mỹ. Một hàm răng không đều sẽ dẫn tới một nụ cười không được tươi và không đạt chuẩn, từ đó gây khó khăn, tự ti trong giao tiếp hàng ngày.

3.3 Gây bệnh lý về răng miệng

Răng khấp khểnh, chen chúc khiến cho thức ăn dễ dính vào các kẽ răng và rất khó có thể vệ sinh sạch sẽ. Lâu dần sẽ dẫn đến tình trạng viêm nướu, viêm lợi, viêm nha chu... hoặc trầm trọng hơn là tiêu xương, tụt lợi khiến răng lung lay, mất răng sớm, giảm tuổi thọ của răng.

4. Các phương pháp niềng răng khấp khểnh

Các phương pháp niềng răng khấp khểnh

Các phương pháp niềng răng khấp khểnh

Hiện nay, có 3 phương pháp niềng răng khấp khểnh. Đó là:

4.1 Niềng răng mắc cài mặt ngoài

  • Phân loại theo cấu tạo mắc cài

Mắc cài buộc chun

Dây cung được giữ trong rãnh mắc cài và tác dụng lực bằng chun tại chỗ. Nhược điểm của loại mắc cài này là ma sát được sinh ra giữa chun và dây cung nên răng di chuyển chậm hơn và thức ăn dễ bám vào chun, mắc cài sẽ khó vệ sinh hơn. Tuy nhiên, ưu điểm vượt trội của loại mắc cài này là chi phí phải chăng – phù hợp với mọi đối tượng khách hàng.

Mắc cài tự buộc

Mắc cài được thiết kế có các khoá thông minh, cánh để giữ dây cung mà không cần sử dụng các chun tại chỗ, giảm ma sát do đó răng di chuyển nhanh hơn, tạo lực tốt hơn. Với loại mắc cài này, khách hàng sẽ tiết kiệm thời gian hơn khi vệ sinh răng miệng.

  • Phân loại theo vật liệu

Mắc cài kim loại:

Mắc cài kim loại khá cứng chắc, vật liệu tương hợp với dây cung, lực ma sát nhỏ. Ưu điểm là rút ngắn thời gian điều trị, mắc cài bền không lo ngại những vấn đề liên quan đến gãy, vỡ mắc cài, chi phí rẻ. Nhược điểm duy nhất của loại mắc cài này là thẩm mỹ kém.

Mắc cài sứ:

Niềng răng mắc cài sứ là phương pháp chỉnh nha có cơ chế hoạt động và áp dụng hệ thống khí cụ tương tự như mắc cài kim loại. Điểm khác biệt của phương pháp này đó là mắc cài sẽ được làm từ chất liệu sứ cao cấp, có màu sắc giống với răng thật nên tính thẩm mỹ sẽ cao hơn.Tuy nhiên, chúng rất dễ gãy, vỡ và làm tăng thời gian điều trị.

4.2 Mắc cài mặt trong (niềng răng mắc cài mặt lưỡi)

Đây là phương pháp sử dụng hệ thống dây cung, mắc cài, các khí cụ nha khoa kèm theo để tác động lực từ mặt răng bên trong.Và đòi hỏi trình độ chuyên môn bác sĩ giỏi để đảm bảo kết quả điều trị.

  • Ưu điểm:

– Tính thẩm mỹ cao

– Phương pháp niềng răng mặt trong giúp rút ngắn thời gian niềng răng cho khách hàng.

  • Nhược điểm:

– Bất tiện khi ăn uống: Nguyên nhân hiện tượng này là do mắc cài chạm vào lưỡi gây kích ứng lưỡi trong suốt quá trình niềng răng

– Gây khó khăn khi nói chuyện: dây cung và mắc cài sẽ trực tiếp chạm vào lưỡi ảnh hưởng đến khả năng phát âm của bạn.

– Gây khó khăn khi vệ sinh răng miệng: Khi đeo niềng răng mặt trong rất khó để vệ sinh răng miệng, đặc biệt các vụn thức ăn thừa đánh răng không sạch làm răng nguy cơ mắc các bệnh lý răng miệng là rất cao

4.3 Niềng răng khấp khểnh bằng khay trong suốt invisalign

Đây là phương pháp niềng răng khấp khểnh hiện đại, không sử dụng hệ thống mắc cài và dây cung mà sử dụng hệ thống khay niềng trong suốt để dàn đều và đưa hàm răng về vị trí mong muốn. 

Trong quá trình niềng răng, người niềng sẽ được cá nhân hoá một hệ thống các khay niềng được đánh dấu từ 1 cho đến khay cuối cùng. Các khay niềng này được thiết kế dựa trên tình trạng răng của từng bệnh nhân và từng giai đoạn theo kế hoạch điều trị mà bác sĩ đã xây dựng cho bệnh nhân đó.

Trung bình, một người niềng sẽ mang khoảng từ 20-40 khay niềng tùy theo tình trạng răng. Khoảng 2 tuần sẽ thay khay 1 lần cho đến khi đạt được khớp cắn chuẩn.

Ưu điểm:

  • Thẩm mỹ tối đa do các khay niềng trong suốt
  • Dễ dàng tháo lắp để ăn uống cũng như vệ sinh răng miệng
  • Biết trước kết quả điều trị: Hiện nay tại nha khoa Lạc Việt Intech là một trong số ít những nha khoa sở hữu máy Itero 5D cho phép xây dựng kế hoạch điều trị và cho khách hàng xem trước kết quả điều trị. Vì vậy, các khách hàng đang có tình trạng răng khấp khểnh hoàn toàn có thể yên tâm lựa chọn phương pháp niềng invisalign tại Nha khoa Lạc Việt Intech để làm mới lại nụ cười của mình.
  • Tiết kiệm thời gian đến nha khoa thăm khám và chỉnh nha
  • Hạn chế nhổ răng.

Nhược điểm:

  • Chi phí cao nhất trong các phương pháp niềng răng.
  • Bệnh nhân cần tuân thủ đeo khay niềng đủ 22 giờ/ngày.

5. Niềng răng khấp khểnh có đau không?

Niềng răng khấp khểnh có đau không? - Câu trả lời là “Có”. Tình trạng đau xảy ra ở các giai đoạn: Trong khoảng 72 giờ đầu sau khi gắn mắc cài, giai đoạn siết răng, giai đoạn nhổ răng (nếu có). Để giải thích nguyên nhân vì sao lại đau, các bạn cùng tìm hiểu nhé.

5.1 Sau khi gắn mắc cài

Quá trình niềng răng bắt đầu khi các bác sĩ đặt các khí cụ nha khoa như: mắc cài, dây cung hay khay niềng trong suốt lên hàm răng. Khi những khí cụ này được đặt lên, chúng bắt đầu sinh lực và tác động lên răng.

Răng bắt đầu dịch chuyển khi được lực tác động. Bắt đầu là quá trình chèn ép và kéo dãn. Quá trình này gây ra tình trạng thiếu máu vi cục bộ và kèm theo cảm giác đau tức. Tuy nhiên, tình trạng này sẽ chỉ diễn ra trong vòng 72h khi đặt khí cụ.

Mặt khác, quá trình bồi xương tại vị trí cũ và tiêu xương tại vị trí mới khi răng dịch chuyển diễn ra đều đặn và chậm chạp. Chính vì thế, quá trình này không gây ra bất kỳ đau đớn hay cảm giác bất thường nào khác.

Tóm lại, cho dù bạn niềng răng bằng bất kỳ phương pháp gì, bạn sẽ luôn có cảm giác đau tức nhẹ ở các răng trong 72h đầu và sau đó sẽ nhanh chóng biến mất. Đó là biểu hiện khởi đầu của quá trình dịch chuyển răng.

5.2 Giai đoạn nhổ răng để tạo khoảng trống

Nếu tình trạng răng khấp khểnh nặng, phức tạp, bác sĩ sẽ nhổ răng để tạo khoảng trống cho răng dịch chuyển. Thông thường, răng số 4 hoặc số 5 sẽ được chỉ định nhổ. Trong quá trình nhổ răng, bác sĩ sẽ thực hiện gây tê, do đó bạn sẽ không cảm thấy đau đớn khủng khiếp như mình tưởng. Sau khi hết thuốc tê, các cơn đau sẽ xuất hiện trong khoảng 3- 5 ngày, tùy vào cơ địa của từng người.

5.3 Giai đoạn siết dây cung

Trong quá trình bác sĩ điều chỉnh lại lực kéo dây cung, hàm răng của bạn sẽ phải chịu áp lực khá mạnh. Do đó, bạn sẽ cảm thấy khá khó chịu. Đồng thời, ở giai đoạn này nếu bạn nói chuyện quá nhanh hay ăn đồ ăn cứng sẽ khiến môi và má bị tổn thương, chảy máu.

5.4 X- Matrix - Công nghệ niềng răng khấp khểnh không đau

Với phương pháp truyền thống, để thể đo lường chính xác mật độ xương xung quanh chân răng và tính toán tác dụng lực bao nhiêu là hợp lý, bác sĩ hoàn toàn dựa vào kinh nghiệm. Hoặc bác sĩ sẽ test dò dựa vào ngưỡng đau của bệnh nhân bằng cách đưa khí cụ vào và đặt lực lên, nếu thấy bệnh nhân đau quá thì giảm bớt lực.

Tuy nhiên, các nghiên cứu mới nhất đã chỉ ra rằng, việc sử dụng lực mạnh trong chỉnh nha không những không làm cho răng di chuyển nhanh hơn, mà ngược lại còn làm cho răng di chuyển chậm hơn do phản ứng kháng xương của cơ thể, mặt khác còn mang lại nhiều biến chứng như tiêu xương ổ răng, tiêu ngót chân răng, chết tủy răng.

Ngày nay, các phương pháp chỉnh nha mới luôn cố gắng sử dụng các công nghệ để tạo ra được lực chỉnh nha nhẹ - nhưng liên tục, duy trì ổn định trong suốt thời gian từ lần hẹn khám này đến lần hẹn khác để giúp răng di chuyển nhanh chóng, ổn định và an toàn.

Tuy nhiên, đa phần các phương pháp hoặc là sinh ra lực mạnh - ngắt quãng, hoặc là lực nhẹ, nhưng sẽ hết ngay sau một thời gian ngắn, do đó phải rút ngắn khoảng cách giữa các lần hẹn để đặt lại lực, khiến bệnh nhân phải đi lại nhiều lần (bình thường bệnh nhân chỉnh nha sẽ hẹn 1 - 2 tháng 1 lần đến để theo dõi răng di chuyển và đặt lại lực kéo).

Với công nghệ SmileStream trong X Matrix, công nghệ này có thể giúp bác sĩ tính toán chính xác cần đặt bao nhiêu lực vào mỗi răng để bệnh nhân không bị đau mà vẫn đảm bảo quá trình dịch chuyển răng diễn ra an toàn, nhanh chóng và hiệu quả. 

Bên cạnh đó, SmileStream giúp các bác sĩ lựa chọn cá nhân hóa mắc cài, tầm soát mật độ xương, đồng thời tính toán lực khác xương vỏ giúp cho răng luôn di chuyển trong xương ổ răng nhẹ nhàng không đau.

6. Niềng răng khấp khểnh mất thời gian bao lâu?

Thời gian niềng răng khấp khểnh của mỗi bệnh nhân là khác nhau, tùy thuộc vào mức độ khấp khểnh nhẹ hay khấp khểnh nặng, khí cụ chỉnh nha và kỹ thuật chỉnh nha của bác sĩ. Trung bình, thời gian niềng răng khấp khểnh sẽ dao động từ 1,5 - 3 năm để đạt được kết quả chỉnh nha như mong muốn. 

Hiện nay với việc áp dụng công nghệ X-Matrix trong chỉnh nha tại Nha khoa Lạc Việt Intech, sẽ hỗ trợ bác sĩ lên kế hoạch điều trị chính xác cho từng bệnh nhân, từ đó giúp rút ngắn ⅓ thời gian niềng răng. 

SmileStream của X- Matrix giúp đo đạc chính xác mật độ xương, cấu trúc vi mạch máu từng vùng xung quanh răng cần di chuyển từ đó đưa ra gợi ý răng vào vùng an toàn. Thuật toán thông minh của Smile Stream sẽ tự động tính toán lực di chuyển tối ưu cho từng răng, định vị dẫn đường chính xác vị trí tối ưu nhất để đặt mắc cài trên thân răng, lựa chọn các loại mắc cài cá nhân hóa phù hợp, lựa chọn dây cung cá nhân sinh lực phù hợp.

Công nghệ định vị dẫn đường giúp chọn vị trí với độ bám hoàn hảo của mắc cài trên bề mặt răng, hạn chế bong mắc cài. Từ đó giúp phức hợp thân răng - chân răng di chuyển một cách chính xác, hiệu quả và nhanh chóng về vị trí mong muốn trong kế hoạch của bác sĩ chỉnh nha. 

Niềng răng nhanh hơn cùng X - Matrix

6. Chi phí điều trị răng khấp khểnh là bao nhiêu?

Chi phí niềng răng khấp khểnh sẽ phụ thuộc vào tình trạng răng, phương pháp niềng răng, tay nghề bác sĩ và cơ sở vật chất - kỹ thuật của nha khoa. Bạn có thể tham khảo chi phí niềng răng khấp khểnh tại Nha Khoa Lạc việt Intech dưới đây:

Bảng giá niềng răng mắc cài mặt ngoài:

Gói dịch vụ Loại khí cụ sử dụng Chỉ định điều trị Giá gốc Giá ưu đãi trả thẳng Giá ưu đãi trả góp
Khí cụ 2*4 hoặc 2*6   Tiền chỉnh nha răng trẻ em Từ 8 - 15 triệu    
Mắc cài kim loại buộc chun tiêu chuẩn - Mắc cài Nhật, Mỹ
- Dây cung NI - TI kích hoạt nhiệt tự trình HA.
- Hệ thống cố định dây cung Ligature
- Hệ thống khí cụ đóng khoảng kích hoạt biến nhiệt Multiloop
Mọi loại sai lệch: Hô, móm, khấp khểnh, thưa,... và mọi độ tuổi. 38.000.000 33.500.000 36.200.000
Mắc cài kim loại tự động. - Mắc cài kim loại tự động Nhật, Mỹ.
- Dây cung NI - TI kích hoạt nhiệt tự trình HA.
- Hệ thống cố định dây cung bằng khóa titanium nguyên khối.
- Hệ thống khí cụ đóng khoảng kích hoạt biền nhiệt Multiloop.
Mọi loại sai lệch: Hô, móm, khấp khểnh, thưa,... và mọi độ tuổi. 44.000.000 37.300.000 39.600.000
Mắc cài sứ buộc chun - Mắc cài sứ Nhật, Mỹ.
- Dây cung NI - TI kích hoạt nhiệt tự trình HA.
- Hệ thống cố định dây cung Ligature
- Hệ thống khí cụ đóng khoảng kích hoạt biến nhiệt Multiloop
Mọi loại sai lệch: Hô, móm, khấp khểnh, thưa,... và mọi độ tuổi. 40.000.000 37.400.000 38.500.000
Mắc cài sứ tự động - Mắc cài sứ tự động Nhật, Mỹ.
- Dây cung NI - TI kích hoạt nhiệt tự trình HA.
- Hệ thống cố định dây cung bằng nắp khóa zirconium nguyên khối
- Hệ thống khí cụ đóng khoảng kích hoạt biến nhiệt Multiloop.
  60.000.000 51.200.000 55.000.000

 

CÁC CHI PHÍ KHÁC
Miniscrew 2.000.000
Dịch vụ tiền chỉnh nha  
Hàm Transfoce 3D 9.000.000 đ
Nong hàm tháo lắp 1 chiều 3.000.000 đ
Nong hàm tháo lắp 2 chiều 6.000.000 đ
Twinblock 6.000.000 đ
Monoblock 6.000.000 đ
Máng trượt 3.000.000 đ
Facemask -RPE 1 ốc nong 9.000.000 đ
Facemask -RPE 2 ốc nong 12.000.000 đ
Hàm nong nhanh cố định 1 hàm 6.000.000 đ
Hàm nong nhanh cố định 2 hàm 9.000.000 đ

 

Giá niềng răng mặt trong (mặt lưỡi):

LOẠI NIỀNG RĂNG XUẤT XỨ CƠ CHẾ ĐIỀU TRỊ GIÁ NIÊM YẾT GIÁ KHUYẾN MẠI (TT TRẢ THẲNG) GIÁ KHUYẾN MẠI (TT TRẢ GÓP)
Mắc cài mặt lưỡi 3D CLB Hàn Quốc Buộc chun cổ điển 66.900.000 đ 50.200.000 đ 53.500.000 đ
Mắc cài mặt lưỡi 3D DTC Mỹ Tự động khóa Smart 80.900.000 đ 52.600.000 đ 55.700.000 đ
Mắc cài mặt lưỡi cá nhân 3D Incognito Mỹ Tự buộc cá nhân hóa 103.000.000 đ 77.300.000 đ 82.400.000 đ

Chi phí niềng răng khấp khểnh bằng khay trong suốt Invisalign:

MỨC ĐỘ KHÓ XUẤT XỨ SỐ LƯỢNG CẶP KHAY GIÁ NIÊM YẾT

GIÁ KHUYẾN MÃI TRẢ THẲNG

GIÁ KHUYẾN MÃI TRẢ GÓP

Ca Express Mỹ Từ 7 cặp trở xuống 66.900.000 đ 60.200.000 đ 63.600.000 đ
Ca Lite Mỹ Từ 14 cặp trở xuống 97.900.000 đ 68.500.000 đ 73.400.000 đ
Ca Moderate Mỹ Từ 26 cặp trở xuống 128.800.000 đ 77.300.000 đ 83.700.000 đ
Ca Comprehensive Mỹ Không giới hạn số khay 149.400.000 đ 89.600.000 đ 97.100.000 đ
Ca Comprehensive kết hợp với khí cụ phức tạp Mỹ Không giới hạn số khay 159.700.000 đ 95.800.000 đ 103.800.000 đ

Lưu ý:

  • Giá trên đã bao gồm chi phí nhổ răng để niềng răng, chi phí hàm duy trì sau niềng răng, chi phí chụp phim đo sọ để chẩn đoán, lập kế hoạch khi niềng răng.
  • Giá niềng răng một hàm bằng ⅔ tổng giá và không áp dụng các chương trình khuyến mãi cho trường hợp niềng răng một hàm.

Ngoài ra, bạn cũng có thể tham khảo thêm các chương trình ưu đãi dành cho lĩnh vực chỉnh nha tại Nha khoa Lạc Việt Intech.

Nếu bạn muốn biết cụ thể chi phí niềng răng khấp khểnh của mình là bao nhiêu, hãy đến trực tiếp Nha khoa uy tín để được các bác sĩ thăm khám. Tại đây, dựa trên các dữ liệu chụp X-quang, scan toàn hàm,... bác sĩ sẽ có những phân tích và đưa ra câu trả lời chính xác nhất cho bạn.

7. Địa chỉ niềng răng khấp khểnh uy tín:

Để quá trình niềng răng khấp khểnh đạt được hiệu quả cao nhất, bạn cần chọn cho mình một địa chỉ Nha khoa uy tín, có đội ngũ bác sĩ chuyên môn cao, công nghệ điều trị tiên tiến, trang thiết bị - máy móc - cơ sở hạ tầng hiện đại. Và nha khoa Lạc Việt Intech với hơn 15 năm hình thành, phát triển -  tự hào là một trong số ít những nha khoa đáp ứng được đủ các yêu cầu trên.

Hãy cùng tìm hiểu những lý do bạn nên lựa chọn nha khoa Lạc Việt Intech để niềng răng khấp khểnh:

7.1 Đội ngũ bác sĩ chuyên gia giỏi, giàu kinh nghiệm:

100% các bác sĩ tại nha khoa Lạc Việt Intech đều tốt nghiệp chuyên khoa răng - hàm - mặt tại các trường đại học y khoa hàng đầu cả nước cùng các bằng cấp, chứng chỉ chuyên môn về chỉnh nha.

Đặc biệt, mỗi bác sĩ đều có kinh nghiệm trên 500 case lâm sàng, bao gồm cả những case phức tạp. Các bác sĩ cũng thường xuyên tham gia các hội thảo về chỉnh nha trong và ngoài nước để không ngừng cập nhật kiến thức về công nghệ chỉnh nha tiên tiến trên thế giới, giúp nâng cao tay nghề nhằm mang đến kết quả điều trị tốt nhất cho khách hàng.

Khách hàng Đào Thị Vui trước và sau niềng răng khấp khểnh tại Nha khoa Lạc Việt Intech

Trước và sau niềng răng khấp khểnh tại Nha khoa Lạc Việt Intech

7.2 Cơ sở vật chất hiện đại, công nghệ tiên tiến:

Mỗi cơ sở tại Nha khoa Lạc Việt Intech đều được trang bị đầy đủ các máy móc hiện đại như: Máy chụp CT Conebeam, máy quét dấu hàm iTero 5D, máy nhổ răng bằng sóng siêu âm,...

Nha khoa Lạc Việt Intech cũng là đơn vị nha khoa tiên phong đưa trí tuệ nhân tạo vào điều trị chỉnh nha với công nghệ X-Matrix độc quyền giúp:

  • Cá nhân hoá mắc cài, nhân đôi hiệu quả điều trị
  • Xem trước kết quả điều trị
  • Niềng răng không đau
  • Tái cấu trúc gương mặt, thiết kế nụ cười đạt chuẩn
  • Rút ngắn ⅓ thời gian niềng răng

10 case niềng răng khấp khểnh thành công nhất tại nha khoa Lạc Việt Intech

7.3 Chính sách bảo hành minh bạch cùng những ưu đãi hấp dẫn tri ân khách hàng:

Nha khoa Lạc Việt Intech cam kết hoàn lại toàn bộ chi phí điều trị nếu như không đạt được hiệu quả điều trị như cam kết.

Cùng với đó, nhằm tri ân khách hàng đã luôn tin tưởng và ủng hộ, nha khoa Lạc Việt Intech triển khai nhiều chương trình ưu đãi cực hấp dẫn cho dịch vụ niềng răng. Để không bỏ qua các ưu đãi hấp dẫn, quý khách vui lòng liên hệ hotline 096.192.0606 để được hỗ trợ. Nếu bạn đang cần trồng răng bằng cấy ghép implant có thể liên hệ ngay Lạc Việt Intech.

Hy vọng bài viết trên đã giúp bạn giải đáp những thắc mắc liên quan đến vấn đề niềng răng khấp khểnh. Để biết rõ tình trạng răng của mình và lựa chọn được phương pháp niềng răng phù hợp, bạn hay đến trực tiếp nha khoa để được các bác sĩ tư vấn miễn phí nhé!

Chia sẻ

Tin cùng chủ đề

Đăng ký tư vấn

Vui lòng để lại thông tin và nhu cầu của Quý Khách để được tư vấn

Đối tác của Nha khoa lạc việt intech

Osstem Implant
Osstem Implant
test
test1
Đặt lịch hẹn Messenger Liên hệ Zalo Địa chỉ