Niềng răng cửa thưa, lệch, hô có được không? Bao nhiêu tiền?

Quản trị viên
08/02/2023

1. Khi nào cần phải niềng răng cửa? Các khuyết điểm hay gặp ở 2 răng cửa

Các khiếm khuyết ở răng cửa thường là động lực rất mạnh thôi thúc nhiều người tìm đến giải pháp niềng răng để khắc phục do ảnh hưởng lớn đến thẩm mỹ nụ cười cũng như khả năng phát âm hay ăn nhai. Dưới đây là những vấn đề thường gặp nhất ở răng cửa

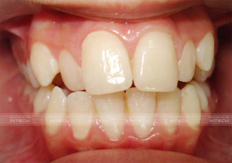
1.1. Răng cửa thưa

Đây là hiện tượng các răng cửa không tiếp xúc với nhau, giữa chúng xuất hiện các khoảng trống được gọi là các khe thưa. Nguyên nhân có thể do kích thước các răng quá nhỏ, do răng ngầm, thiếu răng bẩm sinh hoặc do các tật xấu như đẩy lưỡi... Khiếm khuyết này thường rất dễ nhận thấy vì nó nằm ở phía trước, khi cười nói sẽ lộ ra khiến bạn kém tự tin hơn.

1.2. Răng cửa hô

Răng cửa hô hay còn được gọi là răng cửa chìa, là tình trạng trục răng cửa hai hàm, đặc biệt là hàm trên, ngả ra phía trước. Điều này thường tạo ra một khuôn mặt nhìn nghiêng hô gây mất thẩm mỹ.

niềng 2 răng cửaRăng cửa hô ảnh hưởng xấu đến thẩm mỹ

1.3. Răng cửa cụp

Đây là hiện tượng trục răng cửa hàm trên cụp vào trong, thường ảnh hưởng chủ yếu đến thẩm mỹ nụ cười. Những trường hợp này thường đi kèm với khớp cắn sâu và cười hở lợi, là những vấn đề cần nẹp răng để khắc phục.

1.4. Răng cửa chen chúc

Đây là tình trạng các răng phía trước không có đủ chỗ để mọc đúng vị trí khiến chúng phải xoay trục hoặc mọc lệch ra khỏi cung hàm. Vấn đề này gây ra tình trạng khấp khểnh răng, ảnh hưởng lớn đến thẩm mỹ khi cười, giảm tự tin khi giao tiếp. Trong một số trường hợp, sự chen chúc vùng răng cửa còn góp phần dẫn đến sai khớp cắn toàn bộ hàm răng do chúng mọc sai vị trí.

2. Niềng 2 răng cửa có hiệu quả không? Bác sĩ giải đáp

Câu hỏi được rất nhiều khách hàng đặt ra là nếu chỉ có nhu cầu điều chỉnh các khiếm khuyết của răng cửa thì chỉ niềng răng cửa thưa có được không? Đứng dưới góc độ chuyên môn chỉnh nha, bác sĩ khuyên bạn không nên làm điều này bởi các lí do sau:

Thông thường rất hiếm các trường hợp chỉ có vấn đề nằm ở răng cửa, nghĩa là khi răng cửa mang các khiếm khuyết thì các vùng răng khác (răng nanh, răng hàm...) trên cung hàm cũng có vấn đề cần giải quyết. Việc chỉ niềng răng cửa thưa đơn thuần sẽ không điều trị được tất cả vấn đề đó.

Hàm răng là một thể thống nhất, các răng trên cung hàm có mối liên hệ mật thiết với nhau, khi tác động đến các răng cửa sẽ làm thay đổi các răng kề cận ảnh hưởng trực tiếp đến khớp cắn và chức năng của hàm răng.

Các phương án thay thế: Trong những trường hợp vì một lí do nào đó, bệnh nhân thực sự chỉ muốn cải thiện vùng răng cửa thì bác sĩ có thể đưa ra các giải pháp thay thế: dán sứ veneer, bọc răng sứ... Mà không khuyên bệnh nhân chỉ niềng răng cửa thưa.

Như vậy, chỉ niềng răng cửa thưa là một phương pháp không được khuyên dùng và hiếm khi được áp dụng. Chính vì vậy, khi nói “niềng răng cửa” ta hiểu rằng ta đang nhắc đến phương pháp niềng răng cả hàm để cải thiện các vấn đề về răng cửa.

Xem thêm video bác sĩ giải thích chi tiết niềng 2 răng cửa có được không?

3. Các phương pháp để niềng 2 răng cửa tốt nhất

3.1. Niềng răng cửa bằng mắc cài

Đây là phương pháp niềng răng phổ biến nhất hiện nay. Ra đời từ rất sớm và vẫn mang lại hiệu quả tốt cho đến hiện nay. Phương pháp niềng răng bằng mắc cài cũng đa dạng như: Niềng răng mắc cài sứ, niềng răng mắc cài kim loại, mắc cài tự buộc và mắc cài buộc chun.

Để thực hiện niềng răng, bác sĩ sẽ gắn hệ thống khí cụ bao gồm: dây cung, mắc cài lên răng để tạo lực siết cho răng di chuyển. Với mắc cài buộc chun thì sẽ có thêm chun buộc để cố định dây cung trong rãnh mắc cài.

Đây là phương pháp niềng răng cửa có chi phí thấp nhất hiện nay.

Có 2 phương pháp niềng răng cửa thưa là mắc cài và Invisalign

3.2. Niềng răng cửa bằng khay niềng trong suốt Invisalign

Invisalign là phương pháp niềng răng hiện đại nhất hiện nay, áp dụng công nghệ hiện đại và mang lại nhiều hiệu quả vượt trội. Thay vì sử dụng mắc cài, dây cung thì Invisalign sử dụng máng trong suốt để nắn chỉnh răng.

Máng niềng được làm từ nhựa dẻo cao cấp, chuyên dụng có thể tạo lực kéo đẩy để răng di chuyển hiệu quả, an toàn. Điểm nổi bật của niềng răng trong suốt Invisalign còn ở chỗ đảm bảo tính thẩm mỹ gần như tuyệt đối cho người niềng. Khay niềng trong suốt ôm sát răng nên người đối diện rất khó để nhận ra bạn đang niềng răng.

Không chỉ vậy, niềng răng trong suốt Invisalign còn có thể giúp bạn rút ngắn 4 - 6 tháng niềng răng so với khi niềng răng bằng mắc cài thông thường. Đây là phương pháp niềng răng thưa có chi phí cao nhất hiện nay.

3.3. Niềng răng cửa giá bao nhiêu tiền?

Niềng răng cửa giá bao nhiêu phụ thuộc vào nhiều yếu tố: Loại khí cụ (mắc cài, máng trong suốt), kế hoạch điều trị (có cần các khí cụ bổ trợ hay không), độ tuổi niềng răng, công nghệ niềng răng áp dụng…

Bạn có thể tham khảo bảng chi phí niềng răng tương ứng với các phương pháp niềng răng tại Nha khoa Lạc Việt Intech như sau:

Gói dịch vụ Loại khí cụ sử dụng Chỉ định điều trị Giá gốc Giá ưu đãi trả thẳng Giá ưu đãi trả góp
Khí cụ 2*4 hoặc 2*6   Tiền chỉnh nha răng trẻ em Từ 8 - 15 triệu    
Mắc cài kim loại buộc chun tiêu chuẩn - Mắc cài Nhật, Mỹ
- Dây cung NI - TI kích hoạt nhiệt tự trình HA.
- Hệ thống cố định dây cung Ligature
- Hệ thống khí cụ đóng khoảng kích hoạt biến nhiệt Multiloop
Mọi loại sai lệch: Hô, móm, khấp khểnh, thưa,... và mọi độ tuổi. 38.000.000 33.500.000 36.200.000
Mắc cài kim loại tự động. - Mắc cài kim loại tự động Nhật, Mỹ.
- Dây cung NI - TI kích hoạt nhiệt tự trình HA.
- Hệ thống cố định dây cung bằng khóa titanium nguyên khối.
- Hệ thống khí cụ đóng khoảng kích hoạt biền nhiệt Multiloop.
Mọi loại sai lệch: Hô, móm, khấp khểnh, thưa,... và mọi độ tuổi. 44.000.000 37.300.000 39.600.000
Mắc cài sứ buộc chun - Mắc cài sứ Nhật, Mỹ.
- Dây cung NI - TI kích hoạt nhiệt tự trình HA.
- Hệ thống cố định dây cung Ligature
- Hệ thống khí cụ đóng khoảng kích hoạt biến nhiệt Multiloop
Mọi loại sai lệch: Hô, móm, khấp khểnh, thưa,... và mọi độ tuổi. 40.000.000 37.400.000 38.500.000
Mắc cài sứ tự động - Mắc cài sứ tự động Nhật, Mỹ.
- Dây cung NI - TI kích hoạt nhiệt tự trình HA.
- Hệ thống cố định dây cung bằng nắp khóa zirconium nguyên khối
- Hệ thống khí cụ đóng khoảng kích hoạt biến nhiệt Multiloop.
  60.000.000 51.200.000 55.000.000

 

CÁC CHI PHÍ KHÁC
Miniscrew 2.000.000
Dịch vụ tiền chỉnh nha  
Hàm Transfoce 3D 9.000.000 đ
Nong hàm tháo lắp 1 chiều 3.000.000 đ
Nong hàm tháo lắp 2 chiều 6.000.000 đ
Twinblock 6.000.000 đ
Monoblock 6.000.000 đ
Máng trượt 3.000.000 đ
Facemask -RPE 1 ốc nong 9.000.000 đ
Facemask -RPE 2 ốc nong 12.000.000 đ
Hàm nong nhanh cố định 1 hàm 6.000.000 đ
Hàm nong nhanh cố định 2 hàm 9.000.000 đ

 

Bảng giá niềng răng mặt trong

LOẠI NIỀNG RĂNG XUẤT XỨ CƠ CHẾ ĐIỀU TRỊ GIÁ NIÊM YẾT GIÁ KHUYẾN MẠI (TT TRẢ THẲNG) GIÁ KHUYẾN MẠI (TT TRẢ GÓP)
Mắc cài mặt lưỡi 3D CLB Hàn Quốc Buộc chun cổ điển 66.900.000 đ 50.200.000 đ 53.500.000 đ
Mắc cài mặt lưỡi 3D DTC Mỹ Tự động khóa Smart 80.900.000 đ 52.600.000 đ 55.700.000 đ
Mắc cài mặt lưỡi cá nhân 3D Incognito Mỹ Tự buộc cá nhân hóa 103.000.000 đ 77.300.000 đ 82.400.000 đ

Bảng giá niềng răng trong suốt invisalign

MỨC ĐỘ KHÓ XUẤT XỨ SỐ LƯỢNG CẶP KHAY GIÁ NIÊM YẾT

GIÁ KHUYẾN MÃI TRẢ THẲNG

GIÁ KHUYẾN MÃI TRẢ GÓP

Ca Express Mỹ Từ 7 cặp trở xuống 66.900.000 đ 60.200.000 đ 63.600.000 đ
Ca Lite Mỹ Từ 14 cặp trở xuống 97.900.000 đ 68.500.000 đ 73.400.000 đ
Ca Moderate Mỹ Từ 26 cặp trở xuống 128.800.000 đ 77.300.000 đ 83.700.000 đ
Ca Comprehensive Mỹ Không giới hạn số khay 149.400.000 đ 89.600.000 đ 97.100.000 đ
Ca Comprehensive kết hợp với khí cụ phức tạp Mỹ Không giới hạn số khay 159.700.000 đ 95.800.000 đ 103.800.000 đ

4. Giải đáp các thắc mắc về niềng răng cửa

Để giúp bạn hiểu hơn về niềng răng nói chung và niềng răng cửa thưa nói riêng, nha khoa Lạc Việt Intech đã tổng hợp một số câu hỏi được nhiều khách hàng quan tâm nhất và giải đáp chi tiết dưới đây.

4.1. Răng cửa to có niềng được không?

Bác sĩ chuyên khoa nha khoa Lạc Việt Intech cho biết, răng cửa to hoàn toàn có thể niềng được. Bạn cần đến trực tiếp nha khoa để được bác sĩ tư vấn cụ thể về phác đồ điều trị, thời gian niềng, phương pháp niềng răng.

niềng răng cửa thưaRăng cửa to vẫn có thể niềng được bình thường

Để đạt hiệu quả niềng răng tốt nhất bạn cũng cần tuân thủ một số lưu ý khi niềng răng như tái khám đúng hẹn, vệ sinh răng miệng sạch sẽ, có chế độ ăn uống phù hợp, không ăn đồ quá cứng hay cay nóng...

4.2. Niềng 2 răng cửa thưa, mọc lệch mất bao lâu?

Như các bác sĩ đã chia sẻ ở trên, chúng ta không nên niềng 2 răng cửa thưa mà cần niềng răng cả 2 hàm để điều chỉnh sai lệch trên răng và cân đối khớp cắn. Vì thế, niềng răng cửa thưa cũng sẽ có thời gian niềng tương tự như khi niềng răng thông thường. Cụ thể

Nếu tình trạng răng miệng của bạn chỉ thưa ở cấp độ trung bình và không gặp phải sai lệch nào khác thì thời gian niềng răng có thể từ 18 - 24 tháng.

Nếu tình trạng răng phức tạp hơn, cần thực hiện nhiều thủ thuật kèm theo hơn sẽ cần nhiều thời gian hơn và có thể lên đến 30 tháng.

Thời gian niềng răng cũng phụ thuộc vào yếu tố công nghệ, độ tuổi niềng răng, phương pháp niềng răng.

Hiện nay, implant răng là một giải pháp làm đẹp hàm răng hiệu quả. Nếu bạn chưa hiểu rõ về phương pháp này hãy liên hệ ngay Lạc Việt Intech nhé!

Kết luận

Hi vọng bài viết trên đã cung cấp đủ thông tin để giúp bạn trả lời các thắc mắc về việc chỉ niềng răng cửa thưa có được không và chi phí niềng răng cửa. Nếu bạn còn bất kì thắc mắc gì, hãy gọi đến hotline 19006421 để được giải đáp.

Chia sẻ

Tin cùng chủ đề

Đăng ký tư vấn

Vui lòng để lại thông tin và nhu cầu của Quý Khách để được tư vấn

Đối tác của Nha khoa lạc việt intech

Osstem Implant
Osstem Implant
test
test1
Đặt lịch hẹn Messenger Liên hệ Zalo Địa chỉ